Нефроптоз, или опущение почки, — это патологическое состояние, при котором почка смещается ниже поясничной области. Это может вызвать осложнения и ухудшить здоровье пациента. В статье рассмотрим основные симптомы нефроптоза, его причины и методы лечения, что поможет читателям распознать заболевание и обратиться за медицинской помощью.
Причины нефроптоза
Почка в нормальном состоянии удерживается в области поясницы благодаря брюшным связкам, мышцам стенки живота, фасциям и поддерживающей связке. Жировая капсула почки играет ключевую роль в сохранении ее правильного положения. Ограничение движений почки также обеспечивается околопочечной клетчаткой, которая окружает орган. Однако при значительном уменьшении объема клетчатки почка может опуститься и даже изменить свое положение вокруг оси.
Связочный аппарат почки может подвергаться изменениям под воздействием различных факторов. Наиболее заметное влияние оказывают инфекционные заболевания, резкая потеря лишнего веса и снижение тонуса мышц брюшной стенки. Нефроптоз часто развивается как следствие травмы, в результате которой почка может смещаться из своего ложа.
К причинам данного заболевания также следует отнести врожденные аномалии связочного аппарата почки и множественные беременности, которые приводят к растяжению мышц.
Нефроптоз чаще всего диагностируется у женщин, причем в большинстве случаев он наблюдается справа. У худощавых женщин заболевание развивается чаще, чем у тех, кто имеет более плотное телосложение. Более высокая распространенность болезни среди женщин объясняется анатомическими особенностями их организма, такими как более широкий таз по сравнению с мужчинами, а также тем, что тонус брюшной стенки часто ослабевает во время беременности и родов. Правый нефроптоз встречается чаще, поскольку правая почка обычно расположена ниже левой, а связочный аппарат левой почки более крепкий.
Врачи отмечают, что нефроптоз, или опущение почки, является состоянием, которое может вызывать различные симптомы, включая боль в пояснице, дискомфорт и нарушения мочеиспускания. Специалисты подчеркивают, что данное заболевание чаще всего встречается у женщин, особенно в молодом и среднем возрасте. Врачи рекомендуют обращать внимание на факторы риска, такие как резкое снижение веса, физические нагрузки и наследственная предрасположенность.
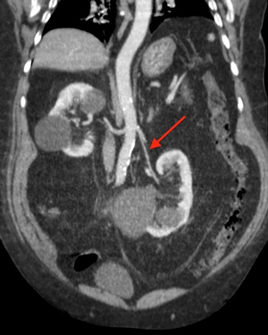
При диагностике нефроптоза важно провести ультразвуковое исследование и, при необходимости, компьютерную томографию. Лечение может варьироваться от консервативных методов, таких как ношение поддерживающего бандажа, до хирургического вмешательства в более тяжелых случаях. Врачи акцентируют внимание на необходимости своевременной диагностики и индивидуального подхода к каждому пациенту для предотвращения осложнений и улучшения качества жизни.
https://youtube.com/watch?v=od2oYHlNZD4
Классификация
Перед началом лечения заболевания важно установить его степень тяжести. В зависимости от уровня тяжести нефроптоза назначается соответствующее лечение. Это может варьироваться от хирургического вмешательства в сложных случаях до выполнения специальных упражнений. Пациентам рекомендуется не только заниматься лечебной физкультурой, но и использовать специальный бандаж.
Существует три стадии нефроптоза:
- Нефроптоз 1 степени — ставится, если нижний полюс почки опущен более чем на 1,5 поясничных позвонка. Врач может прощупать почку на вдохе через переднюю стенку живота, а на выдохе она возвращается в подреберье. При нормальном расположении почки ее можно прощупать только у очень худых пациентов, у остальных это невозможно.
- Нефроптоз 2 степени — диагностируется при опущении на более чем два позвонка. В этом случае почка полностью выходит из подреберья, когда человек стоит, а в лежачем положении она либо самостоятельно возвращается, либо может быть легко вправлена рукой.
- Нефроптоз 3 степени — устанавливается, если нижний полюс почки опущен более чем на 3 позвонка. В любом положении тела почка полностью выходит из подреберья, иногда смещаясь в малый таз.
При одностороннем или двустороннем нефроптозе почка может находиться в низком положении постоянно или возвращаться на свое место. Во втором случае речь идет о мигрирующей почке.
| Стадия нефроптоза | Степень опущения почки (в см) | Клинические проявления |
|---|---|---|
| I стадия | 2-3 см | Бессимптомное течение, иногда легкие тянущие боли в пояснице при физической нагрузке. |
| II стадия | 4-6 см | Боли в пояснице усиливаются, могут иррадиировать в пах, живот. Возможны дизурические расстройства, артериальная гипертензия. |
| III стадия | Более 6 см | Сильные постоянные боли, выраженные дизурические расстройства, частые обострения пиелонефрита, стойкая артериальная гипертензия, гидронефроз. |
Симптомы нефроптоза
Симптоматика заболевания варьируется в зависимости от его стадии. При опущении почки она не только смещается с привычного места, но и претерпевает патологические изменения. Сосуды в почке натягиваются, орган может поворачиваться вокруг своей оси. Это приводит к ухудшению кровообращения в почке, а также к перегибу мочеточника, что, в свою очередь, способствует образованию камней.
На разных стадиях опущения почки у пациента могут проявляться различные симптомы.
На первой стадии заболевания симптомы могут отсутствовать вовсе или проявляться в виде легкого снижения работоспособности и общего самочувствия. Однако болевые ощущения в этот период отсутствуют.
На второй стадии недуга периодически возникают боли в пояснице, которые усиливаются при стоячем положении. Иногда боль может проявляться приступами. Лабораторные анализы мочи показывают наличие эритроцитов и белка.
На третьей стадии заболевания боль становится более интенсивной, и наблюдаются резкие изменения в функционировании почек. Пациенты отмечают значительное снижение работоспособности. Если болезнь продолжается несколько лет, боль становится постоянной и значительно изматывает человека.
Иногда при нефроптозе боль может иррадиировать в половые органы. У пациента наблюдается снижение аппетита, а также проблемы с пищеварением — постоянные поносы или запоры. В дальнейшем могут возникнуть и расстройства нервной системы, проявляющиеся повышенной возбудимостью, раздражительностью и неврастенией. Чаще всего нефроптоз встречается у молодых женщин с хрупким телосложением, и в период беременности состояние таких пациенток может значительно ухудшаться.
Нередко нефроптоз остается невыявленным на протяжении длительного времени, или же диагноз ставится неверно. При опущении почки могут подозревать острый аппендицит, хронический колит, хронический холецистит, хронический аднексит и другие заболевания. В результате неправильного лечения состояние пациента может ухудшаться.
Чаще всего к врачам обращаются на второй стадии заболевания, когда начинают беспокоить боли в животе или боку. Иногда боль отдает в нижнюю часть живота, у пациента может возникать частая тошнота и озноб. В редких случаях пациенты жалуются на боли, напоминающие почечную колику, а в моче может появляться кровь.
Нефроптоз, или опущение почки, вызывает множество обсуждений среди пациентов и врачей. Многие люди, столкнувшиеся с этой проблемой, отмечают, что симптомы могут быть неочевидными и проявляться лишь периодическими болями в пояснице или дискомфортом в животе. Некоторые пациенты делятся, что долгое время не могли понять причину своих недомоганий, пока не обратились к специалисту. Важно отметить, что многие считают, что активный образ жизни и занятия спортом могут усугубить состояние, хотя врачи подчеркивают, что умеренные физические нагрузки, наоборот, полезны. Также часто упоминается о необходимости регулярных обследований, так как ранняя диагностика может значительно облегчить лечение. В целом, мнения о нефроптозе разнообразны, но большинство согласны, что информированность и внимание к своему здоровью играют ключевую роль в управлении этим состоянием.
https://youtube.com/watch?v=7pdaq2Gb9wI
Диагностика опущения почки
Подозрение на опущение почки может возникнуть при наличии вышеописанных симптомов. Врач обязательно проводит пальпацию почки, при этом пациент находится как в вертикальном, так и в горизонтальном положении.
Выявить патологию можно с помощью ультразвукового исследования почек, которое следует проводить как в положении лежа, так и в положении стоя.
Однако результаты УЗИ необходимо подтвердить рентгенологическим исследованием. В процессе диагностики выполняется внутривенная экскреторная урография, при этом делается один снимок в стоячем положении.
Для дифференциальной диагностики подвижности почки используется ультразвуковое цветное доплеровское исследование, позволяющее визуализировать сосуды. При необходимости могут быть применены дополнительные методы, такие как сцинтиграфия и изотопная ренография почек, которые помогают более точно определить наличие опущения почки, если у специалиста остаются сомнения.
Лечение нефроптоза
В современной медицине для лечения нефроптоза применяются как консервативные, так и хирургические методы. Консервативная терапия включает в себя рекомендации по ограничению тяжелых статических нагрузок, ношению бандажа и выполнению упражнений из специального комплекса лечебной физкультуры. Бандаж следует носить постоянно: его надевают утром в положении лежа на выдохе и снимают вечером. Также рекомендуется выполнять специальные упражнения для укрепления мышц брюшного пресса, уделяя этому 20-30 минут каждое утро.
Тем, кто страдает от недостатка массы тела, врачи советуют придерживаться высококалорийной диеты. Больным с симптомами опущения почки полезно заниматься гидротерапией, включая холодные души, компрессы и купания. Также может быть назначен массаж живота.
Медикаментозное лечение нефроптоза должен назначать только врач. Лекарственные препараты обычно рекомендуются тем пациентам, у которых на фоне опущения почки обостряются хронические заболевания. Если у пациента диагностирована артериальная гипертензия, связанная с нефроптозом, ему могут быть прописаны гипотензивные средства. Специалист поможет определить наиболее эффективные методы терапии, основываясь на анализе причин заболевания, его течения и особенностей (например, опущение правой или левой почки, стадия заболевания, возможные осложнения и т.д.).
Пациенты с диагнозом опущение почки должны регулярно проходить обследования у уролога, а также каждые полгода сдавать анализы мочи и крови, а также делать УЗИ почек и мочевого пузыря. Другие исследования назначаются врачом в зависимости от конкретной ситуации. Если у пациента не наблюдается отрицательной динамики, ему может быть рекомендовано длительное наблюдение без активного лечения.
Хирургическое вмешательство (нефропексия) показано в случаях, когда опущение почки превышает 3 позвонка или наблюдается выраженная клиническая картина. Операция также может быть необходима при снижении кровотока в почечных сосудах, нарушении функций почек или частых рецидивах мочевых инфекций.
В настоящее время используются как традиционные операции, так и малоинвазивные методы нефропексии (лапароскопические, перкутанные и мини-доступ).
Традиционные операции имеют недостатки, такие как высокая травматичность, длительный период восстановления и повышенный риск осложнений после вмешательства.
Лапароскопические операции менее травматичны, сопровождаются минимальной потерей крови, а послеоперационный период проходит легче, что позволяет пациентам быстрее покинуть стационар. В ходе таких операций часто устанавливаются специальные имплантаты, которые фиксируют почку в ее нормальном положении, что значительно снижает вероятность рецидива заболевания.
После операции в течение трех месяцев пациент должен строго следовать специальному режиму: носить бандаж, избегать физической нагрузки и регулярно посещать врача для контроля состояния здоровья. Женщинам следует помнить, что беременность возможна не ранее чем через полгода после операции.
Профилактика опущения почки
Женщинам, только что ставшим мамами, важно заботиться о своем здоровье, начиная с первых недель после родов выполнять легкие физические упражнения. В дальнейшем рекомендуется усложнять программу, вводя новые упражнения для укрепления мышц живота.
Следует внимательно следить за состоянием организма, особенно если наблюдается резкое снижение веса или произошла травма области живота. В случае подозрения на наличие заболевания необходимо пройти все необходимые обследования.
Осложнения
Нефроптоз может привести к серьезным осложнениям у пациента. Одним из наиболее распространенных последствий опущения почки является артериальная гипертензия. Это связано с перегибом сосудов, которые обеспечивают кровоснабжение почки. В некоторых случаях у человека могут возникать артериальные кризы.
Нарушение нормального оттока мочи из почечных лоханок и мочеточников может привести к развитию инфекции мочевых путей. Задержка мочи создает благоприятные условия для размножения бактерий, что, в свою очередь, вызывает частые и болезненные позывы к мочеиспусканию, а также болевые ощущения в области живота и симптомы озноба и лихорадки.
Застой мочи и снижение скорости ее поступления в мочевой пузырь могут способствовать образованию мочевых камней. Камни в почках и мочевом пузыре могут также возникать в результате нарушений обмена уратов или пуринов.
Если у пациента наблюдается опущение почки или блуждающая почка, это состояние значительно увеличивает риск травм при повреждениях живота и таза. Почка, смещенная вниз в область живота или таза, становится более уязвимой к травмам и ранениям.
Почечная колика является наиболее частым осложнением, возникающим при нефроптозе. При опущении почки колика проявляется интенсивной болью в поясничной области и сбоку. Кроме того, пациента могут беспокоить озноб, тошнота, олигурия, а также наличие белка и крови в моче.
Диета, питание при нефроптозе
Диета при нефроптозе почек
- Результативность: в течение 21-30 дней
- Период: 30-60 дней
- Цена товаров: 1250-1350 рублей за неделю
Список источников
- Тареева И.Е. Нефрология: Пособие для медицинских специалистов. Москва: Медицина. 2000;
- Урология: Руководство в трех томах / Под редакцией Н. А. Лопаткина. — Москва, 1999;
- Липшульц Л., Клайман И. (ред.) Урология: Профессиональное руководство. Санкт-Петербург: Питер; 2000;
- Казимиров В.Г., Волкова В.С. Нефроптоз. Москва: Репроцентр М; 2011.
Прогноз и восстановление после лечения нефроптоза
Прогноз при нефроптозе зависит от степени заболевания, наличия сопутствующих патологий, а также от своевременности и адекватности проведенного лечения. В большинстве случаев, при ранней диагностике и правильном подходе к лечению, прогноз является благоприятным. Однако, если нефроптоз не лечить, это может привести к серьезным осложнениям, таким как почечная недостаточность, артериальная гипертензия и другие нарушения.
После хирургического вмешательства, направленного на коррекцию положения почки, пациенты обычно могут ожидать значительное улучшение состояния. Восстановление после операции может занять от нескольких недель до нескольких месяцев, в зависимости от индивидуальных особенностей организма и сложности проведенной операции. Важно отметить, что в послеоперационный период необходимо соблюдать рекомендации врача, чтобы избежать рецидива заболевания.
Реабилитация включает в себя не только физическое восстановление, но и изменение образа жизни. Пациентам рекомендуется следить за своим весом, избегать тяжелых физических нагрузок и заниматься умеренной физической активностью, такой как прогулки или легкие упражнения. Также важно придерживаться сбалансированной диеты, богатой витаминами и минералами, что способствует общему укреплению организма.
В некоторых случаях может потребоваться регулярное наблюдение у нефролога или уролога для контроля состояния почек и предотвращения возможных осложнений. Это особенно актуально для пациентов с сопутствующими заболеваниями, такими как диабет или гипертония, которые могут усугубить течение нефроптоза.
В целом, при соблюдении всех рекомендаций и регулярном медицинском наблюдении, большинство пациентов с нефроптозом могут вести полноценную жизнь и избежать серьезных осложнений. Однако важно помнить, что каждый случай индивидуален, и прогноз может варьироваться в зависимости от множества факторов, включая общее состояние здоровья пациента и его реакцию на лечение.
Вопрос-ответ
Можно ли вылечить опущение почки без операции?
Нефроптоз на ранних стадиях можно вылечить консервативными методами: ношение специального бандажа, лечебная гимнастика для укрепления мышц брюшного пресса, восстановление веса при резком похудании и др.
Чем опасен нефроптоз почки?
Основная опасность нефроптоза заключается в осложнениях, которыми он чреват. При данной патологии значительно возрастает риск нарушений почечного кровоснабжения, что, в свою очередь, ведет к почечной недостаточности и нарушениям вывода мочи. Застой мочи же опасен тем, что может приводить к образованию камней в почках.
Как остановить опущение почки?
Оптимальным методом лечения опущения почки является лапароскопическая нефропексия с использованием сетчатого импланта. Суть операции заключается в «подвешивании» почки к поясничной мышце.
Как понять, что у тебя нефроптоз?
УЗИ почек в двух позициях – основной метод выявления патологии. Исследование проводят, лежа на спине и стоя, замеряют положение нижнего полюса органа в каждой позиции. Разница больше 2 см или целого позвонка подтверждает диагноз. Экскреторная урография – рентгеновское исследование с внутривенным контрастом.
Советы
СОВЕТ №1
Регулярно проходите медицинские обследования, особенно если у вас есть предрасположенность к заболеваниям почек. Раннее выявление нефроптоза может значительно улучшить прогноз и предотвратить осложнения.
СОВЕТ №2
Следите за своим весом и придерживайтесь здорового образа жизни. Избыточный вес может увеличить риск развития нефроптоза, поэтому важно поддерживать оптимальную массу тела через сбалансированное питание и физическую активность.
СОВЕТ №3
Обратите внимание на свою осанку и избегайте длительного сидения или стояния в одной позе. Правильная осанка помогает поддерживать органы в их естественном положении и может снизить риск опущения почки.
СОВЕТ №4
Если вы заметили симптомы, такие как боль в пояснице или изменения в мочеиспускании, не откладывайте визит к врачу. Своевременная диагностика и лечение могут предотвратить серьезные последствия для вашего здоровья.




