Нейрофиброматоз — группа наследственных заболеваний, существенно влияющих на качество жизни, особенно у детей. В статье рассмотрим два основных типа нейрофиброматоза, их симптомы и проявления, а также предоставим фотографии, иллюстрирующие характерные изменения. Понимание этих заболеваний важно для диагностики и лечения, что помогает управлять симптомами и улучшать здоровье детей с нейрофиброматозом.
Общие сведения
Нейрофиброматоз представляет собой группу наследственных заболеваний, которые встречаются относительно редко и характеризуются множеством симптомов, а также разнообразием фенотипов. Наиболее часто это заболевание проявляется через специфические патологические изменения, включая образование опухолей, преимущественно эктодермального происхождения, которые затрагивают кожные покровы и центральную нервную систему. Также наблюдаются характерные пигментные пятна на коже, напоминающие цвет «кофе с молоком», аномалии в развитии костного скелета и ряд других симптомов.
Согласно международной классификации болезней (МКБ-10), нейрофиброматоз имеет код Q85.0 (незлокачественный нейрофиброматоз). Это заболевание является одной из наиболее распространенных форм наследственной моногенной патологии, частота его встречаемости колеблется от 1:2000 до 1:40000. Нейрофиброматоз наследуется по аутосомно-доминантному типу, и вероятность проявления заболевания (пенетрантность) близка к 100%. При этом не наблюдается различий в частоте поражения между мужчинами и женщинами.
В целом выделяют и описывают восемь типов нейрофиброматоза, среди которых наиболее значимыми являются:
- Нейрофиброматоз первого типа (НФ 1). Этот тип составляет около 90% всех случаев нейрофиброматоза и является наиболее распространенным среди заболеваний данной группы.
- Нейрофиброматоз второго типа (НФ 2). Он встречается значительно реже (1:40000) и отличается более агрессивным течением по сравнению с НФ1.
Некоторые исследователи полагают, что из восьми форм нейрофиброматоза все, кроме НФ2, следует считать абортивными и не выделять в качестве отдельных нозологических единиц.
Врачи отмечают, что нейрофиброматоз является сложным генетическим заболеванием, которое требует внимательного подхода к диагностике и лечению. Специалисты подчеркивают важность раннего выявления симптомов, таких как кожные образования и неврологические нарушения, чтобы минимизировать возможные осложнения. Они также акцентируют внимание на необходимости мультидисциплинарного подхода, включающего дерматологов, неврологов и генетиков, для разработки индивидуальных планов лечения. Врачи рекомендуют регулярные обследования, так как это позволяет контролировать прогрессирование заболевания и своевременно реагировать на изменения в состоянии пациента. Психологическая поддержка также играет важную роль, так как заболевание может оказывать значительное влияние на качество жизни.
https://youtube.com/watch?v=Q3C3_pqJqgU
Нейрофиброматоз 1 типа (синоним «болезнь Реклингаузена»)
Частота возникновения данного заболевания у новорожденных составляет 1 на 4000, а в русской популяции — 1,28 на 10 000. Передача болезни чаще происходит по отцовской линии, чем по материнской. В более чем половине случаев проявления заболевания являются минимальными, и часто наблюдаются неполные и моносимптомные формы. Около 80% случаев нейрофиброматоза являются спорадическими и возникают в результате новых мутаций. Из-за высокой частоты мутаций, связанных с геном NF1, предполагается либо его чрезвычайная мутабельность, либо наличие мутаций в нескольких локусах этого гена.
Нейрофиброматоз I типа отличается выраженным полиморфизмом клинических проявлений, прогрессирующим течением и частым вовлечением различных органов и систем, что может привести к серьезным осложнениям, иногда заканчивающимся летальным исходом. Болезнь Реклингхаузена (нейрофиброматоз) имеет четкую тенденцию к медленному прогрессированию. Существуют два периода резкого увеличения активности патологического процесса: первый — с 5 до 10 лет, второй — с 35 до 50 лет. При этом во втором периоде активности в подавляющем большинстве случаев (около 75%) наблюдается малигнизация опухолевых образований. К факторам, способствующим росту нейрофибром, относятся состояния и возрастные изменения, сопровождающиеся гормональными перестройками организма, такие как беременность и период полового созревания.
Одной из особенностей заболевания является специфическая последовательность появления симптомов нейрофиброматоза 1-го типа в зависимости от возраста пациента, что создает трудности в его диагностике у детей раннего возраста. Например, у детей первых лет жизни или с рождения заболевание может проявляться лишь в виде некоторых признаков, чаще всего это крупные пигментные пятна или скелетные дисплазии и плексиформные нейрофибромы, в то время как другие характерные симптомы могут проявиться значительно позже (в возрасте 5-15 лет). Учитывая, что степень выраженности, течение и скорость прогрессирования заболевания могут значительно варьироваться, становится понятным, почему диагностика затруднена, что приводит к ее запоздалому выявлению.
| Тип Нейрофиброматоза | Основные Характеристики | Возможные Осложнения |
|---|---|---|
| Нейрофиброматоз 1 типа (НФ1) | Множественные пятна «кофе с молоком», нейрофибромы кожи и подкожной клетчатки, узелки Лиша в радужке, костные аномалии (дисплазия клиновидной кости, псевдоартроз), глиомы зрительного нерва. | Сколиоз, эпилепсия, трудности в обучении, злокачественные опухоли оболочек периферических нервов (MPNST), феохромоцитома, васкулопатия. |
| Нейрофиброматоз 2 типа (НФ2) | Двусторонние вестибулярные шванномы (опухоли слухового нерва), менингиомы, шванномы других черепных и спинномозговых нервов, катаракта. | Потеря слуха, нарушение равновесия, паралич лицевого нерва, гидроцефалия, спинальная миелопатия, потеря зрения. |
| Шванноматоз | Множественные шванномы (кроме вестибулярных), отсутствие вестибулярных шванном, отсутствие других признаков НФ1 или НФ2. | Хроническая боль, неврологические нарушения в зависимости от локализации шванном, сдавление нервов и спинного мозга. |
Нейрофиброматоз 2 типа
Нейрофиброматоз второго типа может проявляться независимо от нейрофиброматоза первого типа. Симптоматика этого заболевания зависит от локализации патологического процесса и связана с поражением головного или спинного мозга. В спинном мозге чаще всего затрагиваются оболочки спинальных корешков в шейном и поясничном отделах, что проявляется в виде шванном (доброкачественная опухоль из шванновских клеток нервных оболочек) и конского хвоста (задние корешки). При вовлечении головного мозга могут пострадать черепно-мозговые нервы, продолговатый мозг и Варолиев мост. Реже наблюдается поражение периферических нервов, что может привести к образованию эпендимом и менингиом.
Средний возраст, в котором начинают проявляться признаки нейрофиброматоза II типа, составляет около 20 лет, а диагноз устанавливается примерно в 28 лет. В отличие от НФ-I, который обычно проявляется в раннем детстве с кожными симптомами, НФ-II чаще всего начинает проявляться в молодом возрасте, в первую очередь через развитие глухоты, связанной с образованием вестибулярных шванном, а также другими симптомами, которые являются вторичными по отношению к спинальным шванном и менингиомам.
Нейрофиброматоз — это заболевание, о котором многие люди знают недостаточно. Чаще всего его обсуждают в контексте медицинских исследований и поддержки пациентов. Люди, столкнувшиеся с этой болезнью, делятся своими историями, подчеркивая важность ранней диагностики и понимания симптомов. В социальных сетях можно встретить группы, где пациенты и их семьи обмениваются опытом, советами и моральной поддержкой. Многие отмечают, что открытое обсуждение нейрофиброматоза помогает снять стигму и повысить осведомленность общества. Однако, несмотря на усилия, существует множество мифов и недопонимания, что подчеркивает необходимость образовательных программ. Важно, чтобы люди знали о заболевании, его проявлениях и возможностях лечения, чтобы поддерживать тех, кто с ним живет.
https://youtube.com/watch?v=g_Zs0Vb77HI
Патогенез
В основе патогенетических изменений при нейрофиброматозе первого типа лежит высокая частота спонтанных мутаций в гене NF1, расположенном на хромосоме 17q11.2. Этот ген отвечает за синтез цитоплазматического белка-онкосупрессора нейрофибромина, который производится в нервных и специализированных клетках нейроглии. Нейрофибромин включает в себя уникальный домен, который обеспечивает супрессорный эффект в отношении пролиферации клеток, преимущественно нейроэктодермального происхождения, путем инактивации адаптерного белка Ras. Этот белок играет роль ингибитора митогенных сигнальных путей. При наличии такого генетического дефекта в хромосоме 17q происходит нарушение динамического равновесия в регуляции роста, что приводит к смещению в сторону пролиферации и образованию доброкачественных опухолей.
На сегодняшний день описано более 500 различных мутаций в гене на хромосоме 17q, которые препятствуют выполнению регулирующей функции гена NF1 в процессе онкогенеза. Механизм, лежащий в основе клинических проявлений, до сих пор не установлен с полной точностью. Считается, что патология связана с развитием опухолей из нервных оболочек, таких как невриномы и нейрофибромы. Примерно половина случаев возникает в результате новых мутаций.
При нейрофиброматозе второго типа генетический дефект находится на 22 хромосоме (22q12) и отвечает за синтез белка Мерлина, который также выполняет функцию супрессора опухолевого роста. Он играет ключевую роль в регулировании пролиферации клеток нейроэктодермального происхождения. При мутации, затрагивающей синтез Мерлина в одной из хромосом, на клеточном уровне изменения не наблюдаются. Однако при симметричной мутации (повреждении) аллельного гена в клетке синтез Мерлина прекращается, что приводит к смещению равновесия в регуляции роста в сторону пролиферации и, как следствие, к образованию доброкачественных опухолей.
Классификация
Классификация нейрофиброматоза основывается на клинических и морфологических характеристиках заболевания, в связи с чем выделяют следующие типы:
- Периферический нейрофиброматоз (тип 1) — в клинической картине преобладают поражения периферических нервов и кожи.
- Центральный нейрофиброматоз (тип 2) — в патологический процесс в основном вовлекаются черепные нервы и спинальные корешки.
https://youtube.com/watch?v=Qnq3pAovgzQ
Причины
Основной причиной нейрофиброматоза первого типа являются множественные мутации в одном из самых длинных и сложно структурированных генов NF1, расположенном на хромосоме 17q11.2. Эти мутации возникают в результате инактивации, в основном, отцовской аллели. Что касается нейрофиброматоза второго типа, то его причиной служит генетический дефект, находящийся на 22-й хромосоме (22q12).
Симптомы
Нейрофиброматоз Реклингхаузена, как правило, проявляется множественными нейрофибромами, которые располагаются вдоль периферических нервов. Эти образования представляют собой округлые болезненные узелки, находящиеся в толще кожи и варьирующие по размеру. Нейрофибромы выглядят как узелки на коже, имеющие нормальный или синюшно-красный оттенок и мягкую эластичную текстуру.
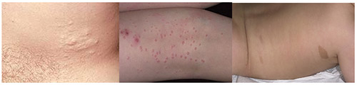
С раннего возраста, начиная с новорожденности, у детей наблюдаются мелкие «кофейные пятна», напоминающие веснушки, с четкими границами и ровными краями. Эти пятна чаще всего располагаются на участках тела с кожными складками, таких как паховая область, подмышки и живот. По мере роста ребенка количество этих пятен увеличивается (от единичных до нескольких сотен), а их размеры могут достигать 2-5 сантиметров в диаметре, иногда они становятся темнее. Важно отметить, что у детей до полового созревания диагностически значимыми считаются пятна диаметром более 5 мм, а после — более 15 мм. Ниже представлены фотографии начальной стадии нейрофиброматоза.
У детей в первые годы жизни мягкие кожные опухоли обычно отсутствуют, но начинают появляться к 10-15 годам, причем их количество значительно увеличивается в период полового созревания. При пальпации эти образования безболезненны, однако, если они затрагивают периферические нервы, могут возникать боли и гипестезии. На коже также могут наблюдаться другие изменения: участки депигментации, сосудистые пятна, очаговое поседение волос и гипертрихоз. Возможен рост нейрофибром. Плексиформная нейрофиброма может образовывать крупные опухоли, состоящие из кожных и подкожных тканей.
Некоторые исследователи, такие как В.В. Мордовцева, выделяют четыре варианта клинического течения нейрофиброматоза I типа:
- наличие незначительных пигментных пятен, напоминающих веснушки, в сочетании с крупными «кофейными» пятнами, при отсутствии нейрофибром или с единичными опухолями;
- преобладание крупных пигментных кофейных пятен на коже с небольшим количеством нейрофибром;
- доминирование нейрофибром с незначительным количеством пигментных пятен (в виде веснушек или крупных);
- смешанный тип.
Дополнительные симптомы нейрофиброматоза могут проявляться изменениями в костной системе, такими как различные деформации позвоночника — сколиозы, лордосколиозы, кифосколиозы, псевдоартрозы, а также утончение и искривление длинных трубчатых костей, что может приводить к патологическим переломам. Часто наблюдаются лицевые дисморфии, включая аномалии глазных щелей, гипертелоризм, деформацию ушных раковин и неправильную форму черепа. У пациентов с НФ-I также могут быть отмечены макроцефалия, низкий рост, дисплазия клиновидной кости и затылочной части черепа.
Среди характерных поражений нервной системы выделяются судорожный и гипертензионно-гидроцефальный синдромы, опухоли ЦНС, такие как эпендимома, астроцитома, глиома зрительного нерва и ствола мозга, а также эпилепсия, проявляющаяся соответствующими симптомами. Например, глиома зрительного нерва может вызывать нарушения зрения.
Для NF1 также характерны дополнительные проявления, включая когнитивные расстройства, варьирующие от легких до выраженных, часто в сочетании с умеренным снижением IQ, трудностями в освоении чтения, письма и математики, а также нервно-психической неуравновешенностью. У пациентов могут наблюдаться эндокринные расстройства, такие как нарушения полового созревания, феохромоцитома, проблемы с ростом и другие. Со стороны сосудистой системы часто фиксируется стеноз почечных артерий с повышением артериального давления, окклюзия артерий и болезнь Мойа-Мойа.
Клинические проявления НФ2 включают развитие двусторонних шванном или шванном других черепных и спинальных нервов при минимальных экстраневральных и кожных симптомах. Двусторонняя шваннома (невринома) слухового нерва является одним из основных признаков, встречающимся почти в 90% случаев, но редко диагностируемым у детей; чаще она развивается в позднем подростковом или раннем взрослом возрасте.
В значительно меньшем количестве случаев (около 10%) встречаются различные менингиомы (спинальные, интракраниальные, менингиомы зрительных нервов), глиомы и эпендимомы. Первым симптомом часто становится снижение или потеря слуха, а также шум в ушах, что может сопровождаться атаксией и головокружением. Пятна на коже цвета «кофе с молоком» в большинстве случаев отсутствуют или присутствуют в небольшом количестве. У 50-70% пациентов с нейрофиброматозом 2 типа диагностируются зрительные нарушения, такие как гемартромы, катаракты, ретинобластомы и менингиомы зрительных нервов.
Ниже в таблице представлены характерные проявления нейрофиброматоза 1 и 2 типа.
Анализы и диагностика
Диагноз нейрофиброматоза 1 типа устанавливается на основании как абсолютных, так и относительных клинических признаков, а также результатов инструментальных методов диагностики:
- Компьютерная томография (КТ) или магнитно-резонансная томография (МРТ) позвоночника, головного мозга и внутренних органов.
- Рентгенографическое исследование позвоночника.
- Электрокохлеография.
- Офтальмоскопическое исследование.
- Импедансометрия.
- Генетическое тестирование и анализ родословной.
Лечение
На сегодняшний день не существует патогенетического лечения нейрофиброматоза. В большинстве случаев применяется симптоматическая терапия, что подтверждается данными специализированных форумов. Например, при выраженном болевом синдроме рекомендуется использование нестероидных противовоспалительных средств (НПВС), таких как Диклофенак, Мелоксикам, Ибупрофен, Нимесулид, Напроксен, Кетопрофен, Пироксикам. Также могут быть назначены неопиоидные анальгетики ( Парацетамол, Анальгин, Бутадион, Аспирин и другие) и опиоидные анальгетики ( Трамадол, Фентанил, Налбуфин, Тримеперидин), а также трициклические антидепрессанты (с осторожностью из-за повышенного риска судорожного синдрома), Нейронтин ( Габапентин), Топирамат. Консервативная терапия включает курсовое назначение препаратов, которые воздействуют на:
- дегрануляцию тканевых базофилов (применяется Кетотифен);
- пролиферацию клеточных элементов (используются ретиноиды — Ацитретин, Этретинат, Бексаротен, Тазаротен);
- снижение уровня гликозаминогликанов во внеклеточном матриксе ( Гиалуронидаза).
Согласно последним рекомендациям, лечение нейрофиброматоза может осуществляться с применением новых перспективных препаратов для таргетной терапии, которые воздействуют на определенные механизмы в патогенезе заболевания. Для таргетной терапии используются два типа молекул: маломолекулярные соединения и моноклональные антитела. К таким препаратам относятся Бевацизумаб ( Авастин), Эрлотиниб, Иматиниб, Салиразиб, Лапатиниб ( Тайверб).
В случаях малигнизации опухолей назначаются химиотерапия и лучевая терапия. При когнитивных нарушениях и низкой обучаемости у детей рекомендуется обучение в специализированных учебных заведениях, а также социальная реабилитация для взрослых пациентов.
Лекарства
КетотифенМелоксикам
Процедуры и операции
В случае сколиоза и костных деформаций рекомендуется проведение ортопедических операций. Хирургическое вмешательство также показано при наличии болезненных липом, нейрофибром или крупных папиллом, особенно если опухоли расположены в зонах, подверженных частым травмам, или представляют собой значительный косметический дефект.
Симптомы нейрофиброматоза у детей
Симптомы нейрофиброматоза 1 типа у детей схожи, однако проявление характерных признаков зависит от возраста ребенка. В таблице ниже представлены основные признаки нейрофиброматоза I типа и возможные осложнения у детей в разные возрастные периоды (по данным Википедии).
Одним из наиболее распространенных проявлений являются «кофейные пятна» на коже. Также представлено изображение нейрофиброматоза у детей.
У детей с NF1 может наблюдаться незначительное нарушение координации движений и пониженный мышечный тонус. Кроме того, у многих детей размер головы превышает норму по сравнению с их сверстниками (более 4 стандартных отклонений). Они могут также отставать в росте. Такие дети часто проявляют меньшую инициативу и имеют эмоциональные ограничения по сравнению с другими детьми. Около 12% детей с NF1 имеют характерный фенотип: антимонголоидный разрез глаз, гипертелоризм (увеличенное расстояние между парными органами, такими как глаза), низко расположенные уши, стеноз легочной артерии и шейный птеригум. Нейрофиброматоз II типа у детей встречается крайне редко.
Диета
Не существует специально разработанной диеты для людей с нейрофиброматозом.
Профилактика
Основой профилактических мер является проведение пренатальной диагностики №Б1, которая обязательно осуществляется в случаях, когда у родителей имеются больные, бессимптомные или малосимптомные носители патологического гена. Если наблюдаются признаки роста, увеличения размеров или изменения плотности и цвета нейрофибром, необходимо обратиться к онкологу и обеспечить постоянное наблюдение за пациентом.
Последствия и осложнения
Осложнения могут проявляться в самых различных формах и включают в себя:
- Злокачественную трансформацию опухолей.
- Потерю зрения или слепоту.
- Появление феохромоцитомы.
- Эссенциальную артериальную гипертензию.
- Стеноз почечной артерии.
- Васкулиты и васкулопатии, затрагивающие церебральные и коронарные артерии, а также компрессионную невропатию.
- Деформации позвоночника и грудной клетки, такие как сколиозы, лордосколиозы, кифосколиозы и псевдоартрозы.
- Утонение и искривление длинных трубчатых костей, что может приводить к патологическим переломам.
- Нарушения внешнего вида.
- Когнитивные расстройства, включая синдром дефицита внимания.
Прогноз
Прогноз для каждого пациента уникален и в значительной степени зависит от степени выраженности заболевания и скорости его прогрессирования. Продолжительность жизни людей с нейрофиброматозом в целом сопоставима со средней по населению, однако может сокращаться на 15% в случае возникновения серьезных осложнений или злокачественных опухолей. При наличии необходимого образования и правильном подходе к трудоустройству пациенты способны вести полноценную жизнь. Тем не менее, у некоторых больных может развиваться депрессивный синдром из-за выраженных косметических дефектов.
Список источников
- Сергеев А. С. Частота мутаций при нейрофиброматозе // Автореферат диссертации на соискание ученой степени кандидата биологических наук. Москва, 1973 (Академия медицинских наук СССР, Институт медицинской генетики).
- Шнайдер Н. А. Нейрофиброматоз первого типа: болезнь Реклингхаузена / Н. А. Шнайдер, А. И. Горелов // Сибирское медицинское обозрение. — 2007. — Вып. 3 (44). — С. 91-95.
- Козлов А. В. Нейрофиброматоз 2 типа (НФ2) // Хирургия опухолей основания черепа / Под редакцией А. Н. Коновалова. — Москва: ОАО «Можайский полиграфический комбинат», 2004. — С. 169—170. — 372 с.
- Уфимцева М. А., Бочкарев Ю. М., Гальперин А. М., Головырина И. Л., Гурковская Е. П. Кожные проявления болезни Реклингхаузена // Современные проблемы науки и образования. – 2016. – Вып. 6.
- Попова А. А. Клинико-диагностические аспекты нейрофиброматоза // Университетская медицина Урала – 2016 — Вып. 2.
Психосоциальные аспекты и поддержка пациентов
Нейрофиброматоз (НФ) представляет собой группу генетических заболеваний, которые могут оказывать значительное влияние на психосоциальное состояние пациентов. Психосоциальные аспекты, связанные с НФ, включают в себя эмоциональные, социальные и психологические проблемы, с которыми сталкиваются пациенты и их семьи. Эти аспекты могут варьироваться в зависимости от типа нейрофиброматоза, степени тяжести заболевания и индивидуальных особенностей каждого пациента.
Одним из наиболее распространенных психосоциальных последствий НФ является чувство изоляции и непонимания со стороны окружающих. Пациенты могут сталкиваться с предвзятостью и стигматизацией из-за видимых проявлений заболевания, таких как кожные нейрофибромы. Это может приводить к снижению самооценки, депрессии и тревожности. Дети и подростки, страдающие от НФ, могут испытывать трудности в социальной адаптации, что может негативно сказаться на их учебе и межличностных отношениях.
Семьи пациентов также испытывают значительное эмоциональное напряжение. Родители могут испытывать чувство вины, тревоги и беспокойства за будущее своего ребенка. Важно, чтобы семьи имели доступ к ресурсам и поддержке, которые помогут им справиться с этими эмоциями. Группы поддержки, консультации с психологами и участие в специализированных мероприятиях могут оказать значительное влияние на улучшение психоэмоционального состояния как пациентов, так и их близких.
Поддержка пациентов с НФ должна быть комплексной и включать в себя не только медицинское, но и психологическое сопровождение. Психотерапия, особенно когнитивно-поведенческая терапия, может помочь пациентам справиться с тревожностью и депрессией, а также развить навыки преодоления трудностей. Важно также обучать пациентов и их семьи методам управления стрессом и эмоциональным состоянием.
Социальные программы и инициативы, направленные на повышение осведомленности о нейрофиброматозе, могут помочь уменьшить стигматизацию и предвзятость. Образовательные мероприятия, направленные на информирование общества о заболевании, могут способствовать созданию более поддерживающей и понимающей среды для пациентов и их семей.
В заключение, психосоциальные аспекты нейрофиброматоза играют важную роль в жизни пациентов и их семей. Комплексный подход к поддержке, включающий медицинскую, психологическую и социальную помощь, может значительно улучшить качество жизни пациентов и помочь им справиться с вызовами, связанными с этим заболеванием.
Вопрос-ответ
Что такое нейрофиброматоз?
Нейрофиброматоз — это группа генетических нарушений, при которых под кожей и на других частях тела образуются множественные мягкие мясистые новообразования (нейрофибромы), а на коже часто образуются плоские пятна цвета кофе с молоком. Причиной нейрофиброматоза являются мутации в определенных генах.
Что будет, если не лечить нейрофиброматоз?
Могут наблюдаться пороки развития, скелетные аномалии и трудности в обучении. Нейрофиброматоз II типа (НФ2) встречается намного реже, и для заболевания характерно наличие опухолей на вестибулярном нерве. В случае НФ2 выше риск развития других опухолей нервной системы. Могут возникнуть серьезные нарушения зрения.
Сколько лет живут с нейрофиброматозом?
Прогнозируемая продолжительность жизни больных с нейрофиброматозом 2 типа составляет в среднем 15 лет с момента постановки диагноза. Большинство из них доживает не более чем до 35 лет. В большинстве случаев нейрофиброматоз диагностируется на основании клинических данных.
Советы
СОВЕТ №1
Регулярно проходите медицинские обследования. Нейрофиброматоз может вызывать различные осложнения, поэтому важно регулярно посещать врача для контроля состояния и раннего выявления возможных проблем.
СОВЕТ №2
Общайтесь с другими людьми, страдающими от нейрофиброматоза. Поддержка и обмен опытом с теми, кто сталкивается с аналогичными трудностями, могут значительно улучшить ваше эмоциональное состояние и помочь справиться с заболеванием.
СОВЕТ №3
Изучите информацию о нейрофиброматозе. Понимание своего состояния и доступных методов лечения поможет вам принимать более обоснованные решения о своем здоровье и взаимодействии с медицинскими специалистами.
СОВЕТ №4
Заботьтесь о своем психическом здоровье. Нейрофиброматоз может вызывать стресс и тревогу, поэтому важно уделять внимание своему психоэмоциональному состоянию. Рассмотрите возможность занятий йогой, медитацией или психотерапией для улучшения общего самочувствия.


