Стафилококк — род бактерий, включающий виды, вызывающие инфекции у человека. В статье рассмотрим сапрофитный, гемолитический и эпидермальный стафилококк, их симптомы у взрослых и беременных, а также методы лечения кожных проявлений. Понимание этих микроорганизмов и способов их передачи поможет в диагностике, лечении и профилактике стафилококковых инфекций. Обсудим анализы для выявления стафилококка и правильные действия при его наличии в организме.
Общие сведения
Стафилококк — что это такое? Стафилококк не является болезнью, а представляет собой род бактерий, вызывающих множество заболеваний, которые объединяются под общим названием «стафилококковая инфекция». Прежде чем углубиться в разнообразие заболеваний, связанных с этим микроорганизмом, важно понять, что такое стафилококк, его особенности, источники и причины появления. Стафилококк (лат. Staphylococcus) — это род грамположительных бактерий округлой формы (кокков), которые широко распространены в природе. В норме стафилококки являются частью условно-патогенной микрофлоры различных млекопитающих и находятся в организме человека на протяжении всего желудочно-кишечного тракта, на коже, в мочеполовой системе (особенно у женщин) и на слизистых оболочках дыхательных путей как у взрослых, так и у детей. Понятие «условно-патогенный» подразумевает, что этот микроорганизм может долгое время находиться в организме человека, не причиняя ему вреда, и заболевание развивается только при определенных условиях, таких как ослабление иммунной системы.
Стафилококк является одной из наиболее распространенных бактерий, обитающих на коже и слизистых оболочках человека. Врачи отмечают, что большинство людей являются носителями этой бактерии, но не всегда она вызывает заболевания. Однако при ослаблении иммунной системы или наличии повреждений кожи стафилококк может стать причиной серьезных инфекций, таких как фурункулы, пневмония и даже сепсис. Специалисты подчеркивают важность своевременной диагностики и лечения инфекций, вызванных стафилококком, так как некоторые штаммы, например, золотистый стафилококк, могут быть устойчивыми к антибиотикам. Профилактика, включая соблюдение гигиенических норм и укрепление иммунитета, играет ключевую роль в предотвращении инфекций. Врачи рекомендуют не игнорировать симптомы и обращаться за медицинской помощью при первых признаках инфекции.
https://youtube.com/watch?v=PAv-5k4CU80
Какой вред наносят стафилококки организму человека?
Стафилококковая инфекция, также известная как стафилококкоз, представляет собой серьезную угрозу для здоровья человека, проявляясь в виде различных заболеваний, вызванных этим микроорганизмом. Стафилококк способен поражать множество систем организма, включая желудочно-кишечный тракт (гастроэнтериты), полость рта, кожные покровы, дыхательные пути (стафилококковые пневмонии), суставы (артриты), слизистые мочевыводящих путей (эндометриты и уретриты), а также оболочки мозга и глаза. При попадании в открытые раны он может спровоцировать гнойные воспалительные процессы и даже сепсис. Особенно опасен стафилококк в сочетании с грибами и вирусами, а также в условиях детских капельных инфекций, которые снижают общую реактивность организма и могут приводить к местным и общим осложнениям.
В отличие от большинства возбудителей инфекционных заболеваний у детей, которые воздействуют на определенные участки тканей, стафилококк проявляет свою «всеядность» и может поражать различные области. Например, стафилококковая инфекция кожи может локализоваться в любом месте тела — на лице, руках, спине, шее (импетиго, фурункулы, абсцессы), а также в ушах, вызывая отит, или на слизистых оболочках глаз, уретры, влагалища, полости рта и в кишечнике. У новорожденных стафилококк часто становится причиной гнойных воспалительных процессов в области пупочной ранки и различных повреждений кожи, таких как ссадины и царапины. У взрослых стафилококк чаще всего обнаруживается в мочеполовой системе: у мужчин — в уретре и простате, у женщин — в цервикальном канале, что может отражаться в анализах мочи и мазках из влагалища (вагинальный стафилококк). Токсины стафилококка обладают выраженным сенсибилизирующим эффектом, вызывая токсические поражения почек и сердечной мышцы, а также аллергические реакции. Стафилококковая инфекция может выступать как самостоятельным (первичным) заболеванием, так и вторичной инфекцией.
| Вид стафилококка | Основные места обитания | Характерные заболевания |
|---|---|---|
| Staphylococcus aureus (Золотистый стафилококк) | Кожа, слизистые оболочки (нос, горло), кишечник | Фурункулы, карбункулы, абсцессы, пневмония, сепсис, пищевые отравления, синдром токсического шока |
| Staphylococcus epidermidis (Эпидермальный стафилококк) | Кожа, слизистые оболочки | Инфекции, связанные с медицинскими имплантатами (катетеры, протезы), эндокардит, инфекции мочевыводящих путей |
| Staphylococcus saprophyticus (Сапрофитный стафилококк) | Кожа, слизистые оболочки мочеполовой системы | Инфекции мочевыводящих путей (цистит, уретрит), особенно у молодых женщин |
| Staphylococcus haemolyticus (Гемолитический стафилококк) | Кожа, слизистые оболочки | Инфекции, связанные с медицинскими имплантатами, бактериемия, эндокардит |
| Staphylococcus lugdunensis (Стафилококк лугдуненсис) | Кожа, слизистые оболочки | Эндокардит, инфекции кожи и мягких тканей, инфекции костей и суставов |
Виды стафилококка
Род Staphylococcus включает более 26 видов этого микроорганизма, однако только 4 из них имеют прямое отношение к человеческому организму. К ним относятся:
Золотистый стафилококк (Staphylococcus aureus). Это наиболее патогенный вид стафилококка, который вырабатывает коагулазу, способствующую свертыванию плазмы крови. Он чаще всего обитает в носовых проходах и подмышечных впадинах, но также может находиться в желудочно-кишечном тракте, гортани, на коже промежности и волосистой части головы. Хроническое носительство золотистого стафилококка наблюдается у медицинского персонала, наркоманов и людей с атопическими дерматитами. Этот микроорганизм является распространенным возбудителем послеоперационных раневых инфекций и может вызывать различные кожные заболевания, такие как сикоз вульгарный, гидраденит, остиофолликулит, экзема, абсцессы, фурункулы и другие. Он также может поражать верхние дыхательные пути, желудочно-кишечный тракт и слизистые оболочки, а в тяжелых случаях приводит к синдрому стафилококкового токсического шока.
Гемолитический стафилококк (лат. staphylococcus haemolyticus). Основные колонии гемолитического стафилококка находятся на кожных покровах в области промежности и подмышек. Обычно он проявляет свою патогенность при ослабленном иммунитете, поражая слизистые оболочки дыхательных путей и вызывая фарингит, гнойную ангину, а также заболевания верхних дыхательных путей, такие как бронхит и трахеит. Кроме того, он может быть причиной других воспалительных процессов, включая раневые инфекции, конъюнктивит и инфекции мочевыводящих путей, связанные с катетеризацией. Стафилококк haemolyticus обладает способностью к гемолизу, то есть разрушению клеток.
Эпидермальный стафилококк (лат. staphylococcus epidermidis) – этот вид обитает на коже человека и в нормальных условиях не вызывает заболеваний. Эпидермальный коагулазоотрицательный стафилококк является частью нормальной микрофлоры кожи. Однако при механических повреждениях или медицинских вмешательствах он может стать причиной кожных заболеваний у людей с ослабленным иммунитетом.
Кроме того, Staphylococcus epidermidis проявляет высокую тропность к инородным материалам и является основным возбудителем инфекций, связанных с имплантацией медицинских устройств, таких как эндопротезы. Он также часто вызывает внутрибольничные инфекции, особенно у пациентов с ослабленным иммунитетом и среди медицинского персонала. Инфекции органов дыхания, вызванные этим микроорганизмом, встречаются крайне редко и, как правило, у людей с серьезными нарушениями иммунной системы.
Сапрофитный стафилококк (лат. staphylococcus saprophyticus) считается наименее опасным представителем стафилококков, однако в определенных условиях он может вызывать заболевания. Чаще всего он становится причиной инфекций мочевых путей, таких как воспаление мочевого пузыря ( цистит) и уретры ( уретрит), особенно у женщин, ведущих активную половую жизнь, что связано с анатомическими особенностями их мочеполовой системы. Эти заболевания часто протекают бессимптомно, так как сапрофитный стафилококк обладает устойчивостью к антибиотикам и плохо поддается лечению.
К ключевым характеристикам стафилококка можно отнести:
- Способность поражать практически любые органы и ткани в организме человека.
- Постоянное присутствие на коже и слизистых оболочках, контактирующих с внешней средой.
- Высокую устойчивость к различным внешним факторам.
- Сложную антигенную структуру.
- Высокую изменчивость и устойчивость к антибиотикам, что определяет особенности эпидемического процесса и лечения.
Широкое распространение стафилококка, разнообразие нозологических форм и клинических проявлений, склонность к острым тяжелым течениям и хронизации инфекционного процесса, а также быстрое развитие устойчивости к антибиотикам подчеркивают важность этого возбудителя гнойно-септических инфекций и необходимость внимательного отношения к стафилококковым инфекциям со стороны врачей различных специальностей.
Стафилококк — это род бактерий, о которых часто говорят в медицинских кругах и среди людей, сталкивающихся с инфекциями. Многие отмечают, что эти микроорганизмы могут вызывать различные заболевания, от легких кожных инфекций до более серьезных состояний, таких как пневмония или сепсис. Люди делятся своим опытом, рассказывая о том, как стафилококк может проявляться на коже в виде гнойничков или фурункулов, и как важно своевременно обращаться к врачу. Некоторые упоминают о проблемах, связанных с антибиотикорезистентными штаммами, такими как MRSA, что вызывает беспокойство и необходимость в более тщательном подходе к лечению. В целом, обсуждения о стафилококке подчеркивают важность профилактики и осведомленности о здоровье.
https://youtube.com/watch?v=Z1Eq31lnAyQ
Какой врач лечит стафилококк?
Стафилококковая инфекция привлекает внимание врачей различных направлений. В частности, ее терапией занимаются инфекционисты, дерматологи, урологи, гинекологи, кардиологи, семейные врачи, педиатры и многие другие специалисты. Часто для эффективного лечения необходимо обратиться к нескольким врачам.
Патогенез
Патогенез стафилококковых инфекций может проявляться как в виде локальных патологий, так и в виде системных заболеваний. Проникновение стафилококков в организм происходит через механические повреждения эпителиального барьера или при блокировке выводных протоков волосяных фолликулов и кожных желез (стафилококки не способны проходить через неповрежденный эпителий). После попадания в организм начинается патологический процесс, который начинается с прикрепления стафилококка (адгезии) к молекулам межклеточного матрикса или клеточной поверхности. Этот процесс осуществляется с помощью адгезинов — специфических молекул, находящихся в клеточной стенке стафилококков (тейхоевые кислоты и белки). Рецепторы, взаимодействующие с адгезинами, представлены комплементарными структурами, расположенными на поверхности эукариотических клеток, а также в межклеточном матриксе (коллаген, фибриноген, ламинин, фибронектин и другие). После адгезии начинается колонизация тканей. В процессе, происходящем на наружных покровах, размножение возбудителя сопровождается воспалительной реакцией различной степени выраженности. На этом фоне в прилегающих капиллярах происходит тромбообразование и отложение фибрина по периферии очага, что приводит к образованию фиброзной капсулы. Клетки в центре очага разрушаются, образуя густой характерный гной. В тех случаях, когда защитные механизмы организма не способны ограничить инфекционно-воспалительный процесс в области входных ворот, стафилококки проникают в лимфатическую и кровеносную системы, вызывая поражение внутренних органов и систем.
https://youtube.com/watch?v=YgauKl29i6Q
Классификация
Основным критерием для классификации стафилококков является их способность производить экстрацеллюлярный фермент — коагулазу, который способствует свертыванию крови. В зависимости от этого выделяют следующие группы:
- коагулаза-положительные стафилококки (также известные как коагулазопозитивные), среди которых наиболее известным представителем является патогенный золотистый стафилококк;
- коагулаза-отрицательные стафилококки (или коагулазонегативные). К этой категории относятся сапрофитные и эпидермальные стафилококки, которые менее патогенны и обычно встречаются в нормальной микрофлоре человеческой кожи, не вызывая серьезных заболеваний.
Стафилококковую инфекцию можно разделить на локальные формы (которые затрагивают кожу, слизистые оболочки, кости, внутренние органы, суставы, пупочный канатик и молочные железы) и генерализованные формы (такие как септикопиемия и септикоцемия). Также стоит отдельно упомянуть пищевые токсикоинфекции, вызванные эндотоксином стафилококка.
Причины
Основной причиной возникновения стафилококковых инфекций в настоящее время является золотистый стафилококк. К менее значимым факторам, способствующим развитию инфекции, относятся коагулазонегативные стафилококки, такие как Staphylococcus epidermidis и Staphylococcus saprophyticus. Однако в условиях медицинских учреждений именно штаммы Staphylococcus epidermidis часто становятся источником внутрибольничных инфекций. Несмотря на то что их вирулентность ниже по сравнению с S. aureus, они способны прочно прикрепляться к инородным телам и сохраняться на них длительное время благодаря выделению полисахаридного адгезина, который способствует начальной фиксации к инородному объекту, а также полисахарида, образующего слизистую оболочку на поверхности инородного тела. Эта оболочка защищает бактерии от иммунных реакций организма, в частности, от действия фагоцитов. Коагулазонегативные стафилококки не выделяют токсины или ферменты в окружающую среду, однако их присутствие на инородном теле, например, катетере, может вызвать местные или, реже, системные воспалительные реакции. Поскольку Staphylococcus epidermidis может прикрепляться к различным материалам, практически все инородные тела могут быть обсеменены этими микроорганизмами.
Развитие стафилококковых инфекций часто связано с предшествующим носительством стафилококков в различных экологических нишах. Основные факторы риска для развития манифестных форм стафилококковой инфекции у носителей включают:
- Иммунодефицитные состояния (например, недостаточность фагоцитоза — нейтропения).
- Нарушение целостности кожи и слизистых оболочек (например, при инъекционном введении лекарств, ранах или ожогах).
- Угнетение нормальной микрофлоры кожи и слизистых.
- Инвазивные медицинские процедуры (искусственная вентиляция легких, интубация трахеи).
- Пребывание в закрытых учреждениях (дома престарелых, интернаты, родильные дома).
- Длительная госпитализация.
- Хронический алкоголизм или инъекционная наркомания.
- Перенесенные острые респираторные вирусные инфекции, которые могут повредить мерцательный эпителий дыхательных путей и способствовать колонизации стафилококком.
- Неблагоприятная эпидемиологическая ситуация.
- Тяжелые истощающие заболевания (например, поствирусная пневмония, бронхоэктатическая болезнь, герпес, ВИЧ, гепатит).
Вероятность развития стафилококковой инфекции значительно возрастает при длительном применении иммунодепрессантов, антибиотиков, гормональных препаратов, а также на фоне химио- и лучевой терапии.
Особенно высокий риск стафилококкового сепсиса наблюдается у пациентов с иммунодефицитом, онкологических больных, находящихся в хирургических, ожоговых и родильных отделениях, а также у детей с хромосомными аномалиями, врожденными пороками развития и недоношенных с низкой массой тела. Вероятность инфекционных осложнений увеличивается при искусственной вентиляции легких и длительной катетеризации сосудов или мочевыводящих путей.
Эпидемилогия
Микробиология патогена
Стафилококки — это грамположительные бактерии, имеющие шарообразную форму и размер от 0,5 до 1,5 мкм. Они могут встречаться как поодиночке, так и в парах или в виде гроздей. Эти микроорганизмы не образуют спор и не обладают подвижностью.
Идеальная температура для их роста составляет 30–37 °С. Стафилококки обладают высокой устойчивостью к внешним условиям: они легко переносят высушивание, воздействие солнечного света, высокие температуры и химические вещества. Например, они могут выдерживать нагрев до 60°С в течение одного часа, а при температуре 150°С сохраняют жизнеспособность на протяжении 10 минут. Прямой солнечный свет не наносит им вреда в течение 10-12 часов, а в условиях сухого жара они могут выживать до 2 часов. В пыли стафилококки могут оставаться активными до 100 дней, а в гнойных выделениях — до 200 дней. Они также устойчивы к высоким концентрациям хлористого натрия, этанолу и фенолу. Однако их можно уничтожить с помощью таких веществ, как фуксин, перекись водорода, бриллиантовый зеленый, йод и анилиновые красители.
Стафилококки обладают множеством факторов, которые способствуют их патогенности. К ним относятся:
- структурные элементы клеток (белки клеточной стенки и капсула);
- выделяемые вещества — продукты их жизнедеятельности, такие как экзотоксины (гемотоксин, дермотоксин, энтеротоксин, летальный токсин, лейкотоксин) и экзоферменты, участвующие в обмене веществ (пептидазы, протеазы, липазы, карбогидразы, фосфатазы). Эти ферменты регулируют питание, обмен веществ, дыхание и рост бактерий, а также ферменты, способствующие защите и агрессии (лецитиназа, коагулаза, фибринолизин, гиалуронидаза), которые помогают бактериям выживать, размножаться и распространяться в организме, активно препятствуя формированию гуморальных и клеточных иммунных ответов.
Каждый вид стафилококков имеет свой уникальный набор патогенных факторов.
Как передается стафилококк?
Источником заражения являются пациенты с различными формами стафилококковой инфекции, а также здоровые носители, которых в человеческой популяции насчитывается от 20 до 30%. Определить, заразен ли человек, визуально не всегда возможно. Наибольшую опасность представляют лица с открытыми инфекционными очагами, такими как пиодермии, фурункулы, импетиго, раны и абсцессы, а также те, у кого поражены верхние дыхательные пути или слизистые оболочки глаз (например, конъюнктивит, ринит, ангина, фарингит), и желудочно-кишечный тракт ( энтероколит/ гастроэнтероколит). Здоровые носители, у которых патоген локализуется на слизистой носа, также представляют собой серьезную угрозу. Особенно рискованными являются работники медицинских учреждений, у которых часто выявляются антибиотикоустойчивые штаммы, и заразиться можно при посещении лечебных стационаров, особенно в роддомах и хирургических отделениях. Очень редко стафилококк передается от животных, если он присутствует на их коже (например, у собак, коров, лошадей и свиней).
Как происходит передача от человека к человеку?
Основными путями передачи возбудителя между людьми являются воздушно-капельный и контактный, реже — фекально-оральный. Также существует пищевой (алиментарный) путь передачи, который чаще всего связан с кондитерскими изделиями и молочными продуктами, сильно загрязненными стафилококком. У новорожденных и детей первого года жизни заражение может происходить через руки матери или медицинского персонала, при контакте с загрязненными игрушками и предметами ухода, а также при употреблении инфицированного молока и питательных смесей. Передается ли стафилококк половым путем? Хотя стафилококк не является возбудителем инфекций, передающихся половым путем, если он присутствует у вашего полового партнера, то при ослаблении иммунной системы в результате длительных контактов риск заражения существует.
Стафилококковая инфекция может проявляться как в виде отдельных случаев, так и в виде групповых эпидемий, особенно в закрытых учреждениях. Заболеваемость не имеет ярко выраженной сезонности и может наблюдаться в течение всего года. Из-за высокой изменчивости антигенной структуры патогена перекрестный иммунитет отсутствует.
При алиментарном заражении ( пищевые токсикоинфекции) важным фактором является количество токсинов в продуктах, загрязненных стафилококком.
Симптомы
Стафилококки не имеют специфической привязанности к определённым органам, поэтому их инфекции могут проявляться в различных частях тела. На сегодняшний день выделяют около 100 различных форм стафилококковой инфекции. Симптоматика этих инфекций зависит от того, в каких органах или тканях происходит патологический процесс. В связи с этим можно выделить следующие группы:
- Инфекции кожи и подкожной клетчатки, такие как ( панариций, фолликулит, пемфигус, пиодермии, гидраденит, фурункул, мастит, карбункул, флегмона, абсцесс).
- Инфекции опорно-двигательного аппарата, включая ( артриты/ остеомиелиты).
- Инфекции ЛОР-органов, такие как носоглотка и зев ( назофарингит, синусит, ангины, тонзиллит); а также органов дыхания ( пневмонии, гнойный плеврит, абсцессы легких).
- Инфекции мочевыводящих и половых органов, включая ( цистит, эндометрит, пиелонефрит, абсцесс околопочечный).
- Инфекции сердечно-сосудистой системы, такие как ( эндокардит/ перикардит, флебиты).
- Поражения центральной нервной системы, включая ( менингит, менингоэнцефалит, абсцесс мозга).
- Специфические поражения, вызванные токсинами, такие как ( синдром «ошпаренной кожи», болезнь Риттера — синдром «ошпаренных» младенцев).
- Пищевые токсикоинфекции, включая ( энтерит, гастроэнтероколит, энтероколит).
- Генерализованные инфекции, такие как сепсис (септикопиемия/ септицемия) и синдром токсического шока.
Из-за разнообразия форм стафилококковых инфекций в данной статье мы можем рассмотреть лишь некоторые симптомы, проявляющиеся у взрослых, а также наиболее распространённые виды поражений.
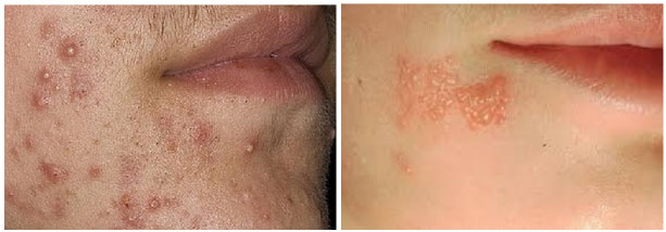
Стафилококковая инфекция кожи/подкожной клетчатки
Чаще всего причиной заболеваний является эпидермальный стафилококк. Симптоматика, связанная с этим микроорганизмом, проявляется в виде поражений верхнего слоя кожи ( пиодермия, фолликулит) и глубоких тканей, включая подкожную клетчатку ( панариций, фурункул/ карбункул, флегмона, абсцесс, рожистое воспаление). Ниже представлены изображения, демонстрирующие, как стафилококк может выглядеть на коже тела и лица.
Признаки поражения кожи и подкожной клетчатки зависят от конкретной нозологической формы, которую можно определить по жалобам пациента и характерным клиническим проявлениям. Например, фолликулит проявляется покраснением и отеком в области волосяного фолликула с образованием пустул, заполненных гнойным содержимым, что может привести к образованию язвочек с гнойной корочкой, гиперпигментацией, а в редких случаях — к образованию рубцов. Панариций, возникающий на пальцах рук, может протекать как в легкой форме ( паронихия/ подкожный панариций), так и в тяжелой (суставной/сухожильный/костный панариций).
Для гидраденита, фурункулов и карбункулов характерно образование гнойного очага синюшно-багрового цвета, сопровождающегося пульсирующими или дергающими болями, которые могут мешать ночному сну. При обширных поражениях возможно развитие интоксикации организма. После вскрытия гнойника состояние пациента обычно улучшается. В случае ограниченного гнойного процесса (абсцесс) или его распространения по тканям (флегмона) общее состояние пациента ухудшается — наблюдаются лихорадка и выраженная интоксикация.
Стафилококковая инфекция может также затрагивать органы дыхания, включая синуситы, ангины, пневмонии, гнойный плеврит и абсцессы легких.
Синуситы и трахеиты, вызванные стафилококком, обычно развиваются как осложнения различных респираторных вирусных инфекций, проявляясь типичными симптомами этих заболеваний. При поражении миндалин стафилококковая инфекция может проявляться в виде острого тонзиллита с характерной симптоматикой, которая в дальнейшем может перейти в хронический тонзиллит.
Пневмония, вызванная стафилококком, отличается тяжелым и бурным течением, сопровождающимся общим недомоганием, выраженным интоксикационным синдромом, высокой температурой с частыми ознобами, выраженной одышкой и болезненным кашлем. Для стафилококковой пневмонии характерно резкое ухудшение состояния, выраженная интоксикация и повторяющиеся ознобы, а также сильная одышка.
Клиническая картина часто предшествует симптомам ОРЗ или гнойной инфекции кожи. Стафилококковая пневмония может проявляться в форме односторонней сливнойбронхопневмонии, стафилококкового инфильтрата, абсцедирующей пневмонии, буллезной деструкции легких или легочно-плевральной формы. Симптоматика во многом зависит от вирулентности штамма стафилококка, возраста пациента и наличия сопутствующих заболеваний. Пневмония сопряжена с высоким риском развития осложнений, таких как абсцесс легких, эмпиема плевры, остеомиелит, стафилококковый перикардит, менингит и метастатические абсцессы в различных участках мягких тканей, а также токсическое поражение миокарда, что представляет серьезную угрозу для жизни пациента. Подтвердить наличие стафилококка и его роль в развитии пневмонии можно только с помощью бактериологических методов.
ЛОР-заболевания, вызванные стафилококком
Обычно наружный или средний отит возникает на фоне ангины, гайморита или других заболеваний ЛОР-органов, вызванных стафилококками. Это заболевание проявляется снижением слуха, гнойными выделениями, болевыми ощущениями и появлением посторонних звуков. При стафилококковом конъюнктивите пациенты отмечают резь в глазах и слезотечение. Гнойные выделения могут накапливаться во время сна, что приводит к склеиванию ресниц.
Стафилококковая инфекция опорно-двигательного аппарата (артриты/остеомиелиты)
Патологические изменения в опорно-двигательном аппарате обычно начинаются с поражения кожи или мягких тканей, после чего инфекционный агент проникает в костную ткань через кровеносную систему. Стафилококковый остеомиелит чаще всего затрагивает бедренную, плечевую и большеберцовую кости. Это проявляется сильными болями, которые могут быть дергающего, рвущего или выкручивающего характера, и возникают на фоне общего недомогания, усиливаясь при движении. Если гной выходит за пределы кости (в случае прорыва гнойника), может развиться флегмона окружающих тканей с образованием свища.
Гнойные стафилококковые артриты обычно являются следствием стафилококковой инфекции мягких тканей или остеомиелита. Пациенты отмечают резкие стреляющие или пульсирующие боли в суставе. При осмотре сустав выглядит отечным, а кожа над ним имеет покраснение. Из-за болевого синдрома движения в суставе затруднены. Для остеомиелита и артрита характерны такие симптомы, как разбитость, озноб и повышение температуры тела.
Стафилококковая инфекция сердечно-сосудистой системы
Стафилококковый гнойный перикардит/ эндокардит проявляется в результате инфекции. Гнойный перикардит чаще всего возникает как вторичное осложнение при распространении инфекции у пациентов с абсцессом легкого, пневмонией или эмпиемой плевры. Накопление гноя в перикарде приводит к сжатию сердечной мышцы, что вызывает нарушения в работе сердца, проявляющиеся болевыми ощущениями, цианозом кожи, тахикардией и одышкой. Стафилококковый эндокардит, как правило, наблюдается после операций на открытом сердце и проявляется такими симптомами, как слабость, одышка, повышение температуры, боли в грудной клетке и кашель. Ущерб клапанам может привести к развитию сердечных пороков или сердечной недостаточности.
Стафилококковая инфекция мочевыводящих/половых органов
Наиболее распространёнными заболеваниями мочеполовой системы, вызванными стафилококками, являются уретрит, эндометрит, острый гнойный пиелонефрит, пионефроз и абсцесс почки. Стафилококк проникает в почки или матку, чаще всего восходящим путём через уретру, влагалище и мочевой пузырь, а также может попадать в организм через кровь. Эти заболевания имеют свои характерные симптомы, среди которых можно выделить боли, ознобы, признаки интоксикации, изменения в моче и специфические выделения.
Пищевая токсикоинфекция
Пищевые токсикоинфекции, вызванные стафилококками, возникают в результате загрязнения продуктов питания патогенными микроорганизмами, в основном золотистым стафилококком и его токсинами. Эти инфекции чаще всего развиваются после употребления тортов и кремов, молока и молочных изделий, мороженого, а также рыбных, мясных и овощных блюд, которые были инфицированы. Основной причиной заболевания является энтеротоксин, обладающий высокой устойчивостью к температуре.
При попадании в организм продукта, содержащего энтеротоксин, обычно возникает острый гастроэнтерит. Инкубационный период в данном случае довольно короткий — от 1 до 7 часов. Заболевание проявляется такими симптомами, как слабость, тошнота, рвота, спазмы и боли в нижней части живота (в кишечнике), а также общая интоксикация и частый водянистый стул. В редких случаях может наблюдаться обезвоживание. Температура тела, как правило, остается в пределах нормы. Симптомы, как правило, быстро исчезают, даже без специального лечения.
Генерализованные процессы стафилококкового генеза
Стафилококковый сепсис чаще всего возникает на фоне заболеваний легких, почек, сердца, а также при наличии крупных гнойных образований в мягких тканях, суставах или костях. Для данного состояния характерна волнообразная лихорадка, сопровождающаяся частыми и сильными ознобами. Также наблюдаются дыхательная и сердечно-сосудистая недостаточность, а также почечная дисфункция. У пациентов отмечаются заостренные черты лица, серый оттенок кожи и нарушения сознания. Возможен также рост вторичных гнойных очагов.
Синдром стафилококкового токсического шока проявляется высокой температурой тела (39-40°С), появлением обширной красной пятнистой сыпи по всему телу, гиперкератозом (шелушением кожи) на ладонях и стопах, артериальной гипертензией, а также признаками полиорганной недостаточности. Со стороны желудочно-кишечного тракта могут возникать рвота и диарея, также отмечаются мышечные боли, гематологические расстройства ( тромбоцитопения/ нейтропения), печёночно-почечная недостаточность и угнетение сознания. В большинстве случаев это состояние заканчивается летальным исходом для пациента.
Анализы и диагностика
Диагноз стафилококковой инфекции устанавливается на основе следующих критериев:
- Нахождение характерных грамположительных кокков, имеющих гроздевидную форму, в мазках, взятых у мужчин и женщин из пораженных участков, при проведении бактериоскопического анализа.
- Изоляция штаммов возбудителя из различных биологических материалов, таких как гной, фекалии, мокрота, моча, кровь, слизь из носа или зева, спинномозговая жидкость, а также из смывов с медицинского оборудования и инвентаря. Для этого используется метод посева на плотные питательные среды. Наибольшее значение имеет выделение стафилококковой культуры из стерильных биосубстратов, таких как кровь, моча, плевральный экссудат и спинномозговая жидкость. Исследование на наличие стафилококка осуществляется по направлению врача, а выбор биосубстрата зависит от конкретного заболевания.
- В случае пищевой токсикоинфекции проводится выделение штаммов стафилококка из посевов, которые совпадают с источником инфекции, а также определение стафилококкового энтеротоксина в пищевых продуктах с помощью метода иммуноферментного анализа (ИФА).
Как берут анализ на стафилококк?
Сдача биоматериала требует внимательной подготовки к лабораторному исследованию, которое включает в себя следующие рекомендации:
- Прекратите прием антибиотиков и других медикаментов за 7 дней до сдачи биоматериала или через 14 дней после завершения их использования.
- Для сбора кала или мочи используйте стерильные контейнеры.
- Время доставки образца в лабораторию не должно превышать 3-х часов с момента его получения.
- Накануне сдачи кала на анализ избегайте использования слабительных средств; кал можно хранить в холодильнике на короткий срок.
- Мазок на стафилококк из слизистых носоглотки или рта следует брать натощак, до чистки зубов.
Интерпретация показателей лабораторных исследований
При положительном результате анализа на наличие стафилококка в кале у взрослых важно учитывать их количественное содержание. Если количество микроорганизмов невелико (<10^3-10^2), это указывает на носительство, то есть потенциальный возбудитель присутствует, но его размножение подавляется иммунной системой. В норме золотистый стафилококк в кале отсутствует, а уровень коагулазонегативных стафилококков не должен превышать 10^4 КОЕ/1 г кала. Если же показатель превышает 10^4 (например, 10^5 или 10^6), это может свидетельствовать о дисбактериозе или стафилококковом воспалительном процессе.
Нормальные значения для staphylococcus haemolyticus и staphylococcus saprophyticus в урогенитальных мазках у мужчин и женщин не должны превышать титр 1х10^4. Эти микроорганизмы являются частью нормальной микрофлоры, и лечение антимикробными средствами в данном случае не требуется. Нормальные показатели staphylococcus epidermidis у мужчин составляют 2-3 КОЕ/мл. Увеличение этого показателя свыше 10^4 КОЕ (например, 5 КОЕ/мл) может указывать на наличие воспалительного процесса.
Важно отметить, что при исследовании любого стерильного биоматериала (например, СМЖ или крови) обнаружение S. aureus имеет клиническое значение независимо от его концентрации. В то же время в нестерильных образцах клиническую значимость имеют только высокие концентрации патогена, что указывает на его ключевую роль в развитии воспаления.
Для идентификации ДНК S. aureus, S. haemolyticus, S. epidermidis и S. saprophyticus в биологическом материале применяется метод ПЦР, результаты которого могут быть как количественными, так и качественными. После выделения штамма стафилококка с помощью дискодиффузионного метода проводится тестирование на устойчивость к антибиотикам, особенно к оксациллину. Штаммы, устойчивые к этому антибиотику, следует считать устойчивыми ко всем р-лактамным антибиотикам, включая цефалоспорины. Стоимость анализа на стафилококк в лаборатории Инвитро с определением чувствительности выделенного штамма к антибиотикам колеблется в пределах 1480-1650 рублей.
Лечение
Лечение стафилококковой инфекции зависит от множества факторов, включая нозологическую форму, степень тяжести заболевания и устойчивость возбудителя к антибиотикам. Тактика лечения определяется в первую очередь локализацией патологического процесса и его тяжестью. В связи с невозможностью охватить все нозологические формы, мы сосредоточимся на кожных заболеваниях, вызванных стафилококком, и общих принципах терапии.
При ограниченных поражениях кожи, связанных с эпидермальным стафилококком, лечение обычно проводится амбулаторно. Терапия поверхностных пиодермий включает использование местных средств — спиртовых растворов (камфорный или салициловый спирт), а также анилиновых красителей ( Бриллиантовый зеленый, Фукорцин). Для дезинфекции кожных покровов можно применять Фурацилин, Перекись водорода, Йод, Хлоргексидин и Хлорофиллипт. При необходимости фликтены или пустулы вскрываются и обрабатываются указанными препаратами.
В случае распространенной формы заболевания применяются мази или кремы с антибиотиками ( Фузидиевая кислота, Гелиомициновая мазь, Фуцидин, Бактробан, Мупироцин), что помогает уничтожить патогенные микроорганизмы на коже. Если наружная терапия не приносит результатов, а также при более глубоких пиодермиях и поражениях кожи на лице, шее (фурункулы, карбункулы, гидраденит, гнойные абсцессы), особенно осложненных лимфаденитом, лечение продолжается назначением антибиотиков для перорального приема (таблетки), с учетом чувствительности, высокой биодоступности и длительного периода полувыведения, минимизируя влияние на биоценоз.
При рецидивирующих или хронических формах пиодермий рекомендуется специфическая иммунотерапия: вводится адсорбированный стафилококковый анатоксин под кожу или в нижний угол лопатки с интервалом 3–5 дней, увеличивая дозу. Также используется стафилококковый бактериофаг, в зависимости от характера инфекции (внутрикожно, подкожно, внутримышечно, местно через катетер в мочевой пузырь, с клизмой в прямую кишку, внутрисуставно и в другие полости) в течение 5-14 дней. Отзывы о препарате положительные, многие пациенты рекомендуют его, а стоимость бактериофага (100 мл) колеблется от 875 до 1200 рублей.
В лечении затяжных и хронических форм стафилококковой инфекции кожи ( стафилодермия, гидраденит, фурункулы/ карбункулы) активно используется Антифагин (лечебная стафилококковая вакцина), способствующая формированию специфического противостафилококкового иммунитета, а также Иммуноглобулин человека антистафилококковый, который эффективно повышает неспецифическую резистентность организма и часто назначается при стафилококковой пневмонии/ сепсисе как у детей, так и у взрослых. Ослабленным пациентам рекомендуется назначение иммуномодулирующих средств ( Т-активин, Изопринозин).
Антибиотики при стафилококковой инфекции
Эффективная антибактериальная терапия является ключевым элементом в лечении стафилококковых инфекций. Выбор местного антибиотика обычно не вызывает затруднений, однако подбор препарата для системной терапии может быть сложным и зависит от тяжести заболевания и чувствительности выделенного штамма к различным медикаментам.
При лечении инфекций, вызванных метициллин-чувствительными штаммами стафилококков, а также в рамках эмпирической терапии в тяжелых случаях или при внебольничных стафилококковых инфекциях до получения результатов бактериологического анализа, рекомендуется назначение, прежде всего, Оксациллина, макролидов ( Азитромицин, Кларитромицин, Джозамицин); фторхинолонов ( Левофлоксацин, Ципрофлоксацин, Моксифлоксацин); линкозамидов ( Клиндамицин, Линкомицин); цефалоспоринов ( Зиннат) и других препаратов. Для повышения антибактериальной активности при тяжелых формах стафилококковой инфекции целесообразно применять комбинированные схемы антибиотиков, такие как аминогликозиды+р-лактамы; р-лактамы+клиндамицин; ко-тримоксазол+рифампицин; аминогликозиды+ванкомицин; фузидин+рифампицин и другие.
Продолжительность антибактериальной терапии зависит от клинической формы стафилококковой инфекции. При локализованных формах антибиотики назначаются на 5-7 дней, тогда как при генерализованных формах, таких как гнойный артрит, остеомиелит, сепсис, эндокардит, курс лечения может составлять от 3 до 6 недель и даже дольше. Не рекомендуется самостоятельно выбирать препараты и определять, какие антибиотики использовать при лечении стафилококковой инфекции. Лечение тяжелых форм требует обязательной госпитализации в специализированное отделение. В случаях рецидивирующего или затяжного течения, а также при недостаточной эффективности лечения может быть использована аутовакцина, которая изготавливается индивидуально для каждого пациента.
При пищевой стафилококковой токсикоинфекции назначение антибиотиков не является целесообразным. В таких случаях проводится промывание желудка с использованием воды, в которую добавляют марганец, раствор натрия гидрокарбоната (сода), а также восполнение объема жидкости с помощью солевых растворов ( Регидрон, раствор Глюкозы, Оралит, Физраствор, Трисоль, Ацесоль, Хлосоль). Для связывания и выведения токсинов рекомендуется прием энтеросорбентов ( Смекта, Энтеросгель и другие). При необходимости могут быть назначены антидиарейные препараты и антистафилококковый анатоксин.
Лечение стафилококка народными средствами
Согласно имеющимся данным, лечение с помощью народных средств не дает желаемых результатов и не устраняет стафилококковую инфекцию в организме. Тем не менее, в легких случаях такие средства могут быть применены для облегчения симптомов, но только после консультации с врачом. Например, при стафилококковой ангине рекомендуется полоскать горло отварами календулы, ромашки, череды, шалфея или бузины. Для укрепления иммунной системы можно использовать отвар эхинацеи или шиповника, корень имбиря, алоэ с медом, а также травяные чаи. Важно помнить, что стафилококковая инфекция часто приводит к осложнениям, которые могут представлять серьезную угрозу для жизни.
Лекарства
Бриллиантовый зеленый, перекись водорода, фуцидин, бактробан, мупироцин, оксациллин, азитромицин, кларитромицин, клиндамицин, линкомицин, левофлоксацин, изопринозин.
Процедуры и операции
Хирургическое вмешательство, проводимое по медицинским показаниям, включает в себя вскрытие и дренирование гнойных образований, а также удаление мертвых тканей.
У детей
К характерным клиническим проявлениям стафилококковой инфекции у новорожденных относятся:
- Частые поражения кожи и слизистых оболочек (такие как пиодермия, дерматит Риттера, флегмона).
- Генерализация инфекции с одновременным вовлечением нескольких внутренних органов.
- Быстрая динамика местных воспалительных изменений (гнойный или некротический распад тканей) в течение нескольких часов.
- Глубокие и обширные язвенно-некротические изменения стенки кишечника, что может привести к перфорации и быстрому развитию перитонита ( язвенно-некротический энтероколит у новорожденных).
- Наличие расстройств гемокоагуляции и гемодинамики.
- Тяжелое течение заболевания с высокой летальностью.
У новорожденных наиболее распространенными кожными поражениями являются пузырчатка (пемфигус), пиодермия, буллезное локальное импетиго, а также генерализованная скарлатиноподобная сыпь. У детей старшего возраста стафилококковое поражение кожи чаще всего проявляется в виде фурункулеза и фолликулита, реже — гидраденита или карбункула. При возникновении тяжелых форм заболевания все дети, независимо от возраста, должны быть госпитализированы. Новорожденных следует направлять в инфекционный стационар даже при незначительных симптомах для предотвращения распространения внутрибольничной инфекции.
При беременности
Установлено, что даже при физиологически нормальном течении беременности возникает состояние частичного временного иммунодефицита, что способствует успешному вынашиванию плода с точки зрения иммунологии. В этот период наблюдается снижение фагоцитарной активности нейтрофилов и макрофагов, что увеличивает восприимчивость к инфекциям. Различные виды стафилококков (гемолитический, эпидермальный) часто обнаруживаются в мазках из зева, носа, а также в бактериальных посевах (например, в моче или во влагалище).
Важно отметить, что концентрации гемолитического, эпидермального и сапрофитного стафилококков на слизистых носа и зева до 10 в 4 степени не требуют проведения санации. Однако наличие золотистого стафилококка, даже в допустимой концентрации (носительство), требует лечения, так как на фоне снижения иммунитета во время беременности он может инфицировать плодные оболочки и плод, что может привести к преждевременным родам или различным инфекционным осложнениям после родов.
Рекомендуется проводить лечение без применения антибиотиков, или назначать их только при наличии золотистого стафилококка в высокой концентрации или быстром росте. В противном случае рекомендуется использовать стафилококковый бактериофаг в виде орошений или тампонов, которые следует применять дважды в день на два часа, а также бактериальную вакцину. На 32, 34 и 36 неделях беременности необходимо сделать прививку стафилококковым анатоксином. Иммунизация не оказывает негативного влияния на течение беременности и состояние женщины.
Диета
Хотя не существует универсальной диеты для лечения стафилококковой инфекции из-за разнообразия ее форм, правильное питание является важной частью комплексной терапии многих заболеваний, вызванных стафилококками. Например, при кожных поражениях рекомендуется Диета при кожных заболеваниях; при возникновении фурункулов или карбункулов — Диета при фурункулёзе; при стафилококковой ангине — Диета при ангине; при пневмонии — Диета при пневмонии и так далее.
Для пациентов с пищевой стафилококковой инфекцией показано щадящее питание, которое в целом соответствует Диетическому столу № 4. В первые сутки рекомендуется соблюдать водно-солевую паузу. В рацион следует включить рис, слизистые супы, неконцентрированные бульоны, отварную нежирную рыбу, протертое или молотое мясо, омлеты, картофельное пюре, каши, подсушенный хлеб, творог, кисели и сухое печенье. По мере уменьшения диареи пациента переводят на Стол № 2, а через несколько дней — на общий стол.
В общем, при стафилококковых инфекциях рекомендуется ограничить потребление соли (до 10 г), концентрированных бульонов, крепкого чая и кофе, бобовых, ржаного хлеба, жирных сортов мяса и рыбы, копченостей, острых приправ и специй, сала, консервов и алкоголя.
Профилактика
Профилактика стафилококковых инфекций включает как специфические, так и неспецифические методы.
Специфическая профилактика, или иммунизация, направлена на защиту людей с повышенным риском заболевания, например, тех, кто часто получает травмы кожи. В этом случае вводится очищенный адсорбированный стафилококковый анатоксин, который способствует выработке специфических антител в организме.
Иммунный ответ, возникающий в результате такой процедуры, обладает как антибактериальными, так и антитоксическими свойствами, направленными против стафилококкового экзотоксина. Для иммунизации также применяется стафилококковая лечебная вакцина, известная как антифагин стафилококковый. Прививка осуществляется по специальной схеме, указанной в инструкции. В аптечной сети стоимость стафилококковой вакцины (антифагина) колеблется от 2000 до 2500 рублей за упаковку, и отзывы о препарате в целом положительные. Для предотвращения гнойных послеоперационных осложнений могут быть назначены антибиотики.
Неспецифическая профилактика включает в себя:
- Санитарно-гигиенические мероприятия, направленные на прерывание путей передачи инфекции. Это включает в себя своевременное выявление источников инфекции (людей с гнойничковыми поражениями кожи или заболеваниями верхних дыхательных путей), дезинфекцию помещений, строгое соблюдение санитарно-эпидемиологических норм в закрытых и лечебных учреждениях, разделение потоков сырья и готовой продукции, а также соблюдение правил тепловой обработки и технологии приготовления пищи, условий хранения продуктов и сроков их реализации.
- Общепрофилактические мероприятия — это соблюдение правил личной гигиены, своевременная обработка микротравм кожи антисептиками (такими как зеленка или йод), поддержание иммунной системы (сбалансированное питание, периодический прием витаминно-минеральных комплексов, отказ от вредных привычек, ведение здорового образа жизни, своевременное лечение вирусных заболеваний дыхательных путей и избегание переохлаждений).
Последствия и осложнения
К серьезным осложнениям, вызванным стафилококковой инфекцией, можно отнести эндокардит, недостаточность сердечно-сосудистой системы, менингит/ менингоэнцефалит, пневмоторакс, перфорацию стенки кишечника и отек головного мозга.
Прогноз
Прогноз при стафилококковой инфекции варьируется в зависимости от формы заболевания и степени его тяжести. Например, при поражениях кожи и верхних дыхательных путей чаще всего прогноз оказывается благоприятным, и пациенты полностью выздоравливают. Однако в случае стафилококковой пневмонии прогноз становится более серьезным, и в некоторых ситуациях могут сохраняться остаточные изменения и развиваться хроническая форма заболевания. Особенно неблагоприятный прогноз наблюдается при септическом течении инфекции, что касается в первую очередь детей младшего возраста и пожилых людей с ослабленным иммунитетом. В таких случаях уровень смертности остается высоким.
Список источников
- Белобородов В. Б., Митрохин С. Д. Стафилококковые инфекции. Инфекции и антимикробная терапия, 2003; 5 (1): 12-18.
- Инфекционные болезни: национальное руководство. Краткое издание / под редакцией Ющука Н. Д., Венгерова Ю. В. – 2019. 848 страниц.
Профилактика инфекций, вызванных стафилококком
Профилактика инфекций, вызванных стафилококком, является важной задачей как для медицинских работников, так и для населения в целом. Стафилококки – это группа бактерий, которые могут вызывать различные инфекции, от легких кожных заболеваний до серьезных системных инфекций. Основные меры профилактики направлены на снижение риска заражения и распространения этих микроорганизмов.
1. Личная гигиена. Одним из самых эффективных способов предотвращения инфекций является соблюдение правил личной гигиены. Регулярное мытье рук с мылом, особенно после посещения общественных мест, контакта с животными или перед едой, значительно снижает риск передачи стафилококков. Использование антисептиков на спиртовой основе также может быть полезным, особенно в условиях, где доступ к воде и мылу ограничен.
2. Обработка ран. При возникновении порезов, ссадин или других повреждений кожи важно правильно обрабатывать раны. Необходимо промывать их под проточной водой и использовать антисептические средства для предотвращения инфицирования. Закрытие ран стерильными повязками также помогает защитить их от попадания бактерий.
3. Устранение источников инфекции. Важно следить за состоянием здоровья домашних животных, так как стафилококки могут передаваться от них к человеку. Регулярные ветеринарные осмотры и вакцинация животных помогут снизить риск передачи инфекций. Также следует избегать контакта с людьми, у которых есть активные инфекции, особенно с открытыми ранами.
4. Правильное хранение и приготовление пищи. Стафилококки могут находиться в пищевых продуктах, особенно в мясных и молочных изделиях. Для предотвращения пищевых инфекций важно соблюдать правила хранения продуктов, избегать их длительного нахождения при комнатной температуре и тщательно готовить пищу. Также следует избегать перекрестного загрязнения, используя разные разделочные доски и ножи для сырого мяса и готовых продуктов.
5. Вакцинация. Научные исследования продолжаются в области разработки вакцин против стафилококковых инфекций. Хотя на данный момент нет широко доступной вакцины, вакцинация против других инфекций, таких как грипп, может помочь укрепить иммунную систему и снизить риск развития стафилококковых инфекций.
6. Образование и осведомленность. Повышение уровня осведомленности о стафилококках и связанных с ними инфекциях среди населения также играет важную роль в профилактике. Образовательные программы, направленные на информирование о способах передачи, симптомах и методах предотвращения инфекций, могут помочь людям принимать более обоснованные решения о своем здоровье.
Соблюдение этих профилактических мер может существенно снизить риск инфекций, вызванных стафилококками, и способствовать общему улучшению здоровья населения.
Вопрос-ответ
Что такое стафилококк и какие виды существуют?
Стафилококк — это род бактерий, которые имеют шаровидную форму и часто образуют гроздья, напоминающие виноград. Существует несколько видов стафилококков, наиболее известные из которых — Staphylococcus aureus, Staphylococcus epidermidis и Staphylococcus saprophyticus. Staphylococcus aureus может вызывать серьезные инфекции, тогда как другие виды чаще являются частью нормальной микрофлоры кожи и слизистых оболочек.
Каковы симптомы инфекции, вызванной стафилококком?
Симптомы стафилококковой инфекции могут варьироваться в зависимости от места заражения. Общие признаки включают покраснение, отек и боль в области инфекции. В случае системной инфекции могут наблюдаться лихорадка, озноб и общее недомогание. Более серьезные инфекции, такие как пневмония или инфекция крови, могут проявляться более тяжелыми симптомами, требующими немедленного медицинского вмешательства.
Как осуществляется лечение стафилококковых инфекций?
Лечение стафилококковых инфекций зависит от их тяжести и локализации. В большинстве случаев назначаются антибиотики, однако из-за устойчивости некоторых штаммов, таких как MRSA (метициллин-устойчивый стафилококк), выбор антибиотика может быть ограничен. Важно также проводить дренирование абсцессов и другие процедуры, если это необходимо. Всегда следует консультироваться с врачом для выбора оптимального метода лечения.
Советы
СОВЕТ №1
Регулярно мойте руки с мылом, особенно после посещения общественных мест и перед едой. Это поможет снизить риск заражения стафилококком и другими инфекциями.
СОВЕТ №2
Избегайте контакта с открытыми ранами или кожными инфекциями у других людей. Если у вас есть порезы или ссадины, закройте их чистой повязкой, чтобы предотвратить попадание бактерий.
СОВЕТ №3
Поддерживайте чистоту в доме, особенно в местах, где вы часто бываете, таких как кухня и ванная. Регулярная дезинфекция поверхностей поможет уменьшить количество бактерий в вашем окружении.
СОВЕТ №4
Если у вас появились симптомы инфекции, такие как покраснение, отек или гнойные выделения, обратитесь к врачу. Раннее лечение поможет предотвратить осложнения и распространение инфекции.


