Гиперостоз — патологическое увеличение костной ткани, возникающее в ответ на интоксикации, физические перегрузки и хронические заболевания. В статье рассмотрим гиперостоз лобной кости, его связь с болезнью Форестье и другие аспекты. Понимание гиперостоза важно для диагностики и лечения, так как оно может указывать на серьезные заболевания и требовать комплексного подхода в терапии.
Общие сведения
Гиперостозом называют патологическое увеличение содержания неизмененной костной ткани (от греческого гипер – сверх, остео — кость), которое может возникать в ответ на различные интоксикации, отравления, физические нагрузки, радиационное воздействие, онкологические заболевания, гипервитаминозвитамина А и D, эндокринные расстройства, ожирение, артериальную гипертензию, хронические инфекции, а также может быть проявлением остеомиелита. Это заболевание встречается достаточно редко и внешне напоминает спондилез. В соответствии с международной классификацией болезней (МКБ-10) ему присвоен код М48.1, который обозначает анкилозирующий гиперостоз Форестье или диффузный идиопатический скелетный гиперостоз.
Гиперостоз может затрагивать весь опорно-двигательный аппарат (генерализованный) или ограничиваться несколькими костями либо одной (локальный). Ярким примером локального гиперостоза является болезнь Форестье, которая представляет собой дегенеративно-дистрофическое поражение позвоночника, проявляющееся оссификацией и утолщением продольной связки в шейном и грудном отделах. Это заболевание чаще всего диагностируется у людей в возрасте 55–60 лет и старше.
К локальным гиперостозам также относятся:
- увеличение размеров костей черепа, преимущественно лицевых ( краниосклероз);
- разрастание нормальной костной ткани в пределах диафизов трубчатых костей;
- синдром Морганьи-Мореля-Стюарда, который характерен для пожилых женщин и затрагивает внутреннюю пластинку лобной кости.
Врачи отмечают, что гиперостоз, характеризующийся избыточным образованием костной ткани, представляет собой сложное состояние, требующее внимательного подхода к диагностике и лечению. Специалисты подчеркивают, что причины гиперостоза могут варьироваться от наследственных факторов до травм и воспалительных процессов. Важно, чтобы пациенты не игнорировали симптомы, такие как боль или ограничение подвижности, так как это может привести к серьезным осложнениям. Врачи рекомендуют регулярные обследования и, при необходимости, использование современных методов лечения, включая физиотерапию и медикаментозную терапию. Комплексный подход к терапии позволяет значительно улучшить качество жизни пациентов и предотвратить прогрессирование заболевания.
https://youtube.com/watch?v=anvyMoeee4A
Что такое гиперостоз лобной кости?
Крайне важно вовремя распознать и понять, что такое гиперостоз лобной кости. Этот процесс обычно возникает на фоне таких состояний, как вирилизм, ожирение, аменорея и других нарушений в нейроэндокринной и репродуктивной системах. Недавние исследования также показали, что синдром Морганьи может встречаться у мужчин, проявляясь в виде гиперостоза внутренней пластинки лобной кости.
У женщин механизм развития этого заболевания связан с повышением уровня мужских половых гормонов выше нормы. Это может проявляться в виде увеличения жировых отложений в области живота, изменения голоса, усиленного роста мышечной массы, а также появления бороды и усов. Эти изменения происходят постепенно, вызывая болевой синдром и дискомфорт, способствуя увеличению веса, раздражительности и нарушениям сна, а в некоторых случаях даже приводя к депрессии.
| Тип гиперостоза | Причины возникновения | Основные симптомы |
|---|---|---|
| Диффузный идиопатический скелетный гиперостоз (ДИСГ) | Неизвестны, возможна связь с метаболическими нарушениями (сахарный диабет, ожирение), генетической предрасположенностью. | Окостенение связок и сухожилий позвоночника (чаще грудного отдела), боль и скованность в спине, ограничение подвижности, дисфагия (затруднение глотания) при поражении шейного отдела. |
| Фронтальный внутренний гиперостоз (ФВГ) | Неизвестны, чаще встречается у женщин в постменопаузе, возможна связь с гормональными изменениями. | Утолщение внутренней пластинки лобной кости, головные боли, головокружения, шум в ушах, нарушения зрения, иногда бессимптомно. |
| Гиперостоз при акромегалии | Избыточная продукция гормона роста (соматотропина) гипофизом. | Увеличение размеров кистей, стоп, челюсти, носа, утолщение кожи, боли в суставах, головные боли, нарушения зрения. |
| Гиперостоз при флюорозе | Хроническое отравление фтором (избыточное поступление фтора в организм). | Утолщение костей, особенно позвоночника и таза, боли в костях и суставах, ограничение подвижности, остеосклероз. |
| Гиперостоз при болезни Педжета | Неизвестны, возможна генетическая предрасположенность, вирусные инфекции. | Утолщение и деформация костей (чаще черепа, таза, позвоночника, длинных костей конечностей), боли в костях, переломы, артрит, глухота. |
| Гиперостоз при хронической почечной недостаточности | Нарушение обмена кальция и фосфора, вторичный гиперпаратиреоз. | Утолщение костей, особенно черепа и фаланг пальцев, боли в костях, мышечная слабость, остеомаляция. |
Патогенез
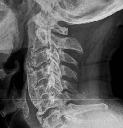
Основным признаком гиперостоза Форестье является оссификация, то есть образование костной ткани в нетипичных местах, особенно в передней продольной связке вдоль шейного и грудного отделов позвоночника.
Эта патология возникает из-за аутоиммунного воспалительного процесса, который не имеет специфических признаков и приводит к диффузным изменениям в скелете. В результате замыкательные структуры узлов заменяются сначала хрящевой, а затем костной тканью.
Чаще всего окостенение затрагивает связочный аппарат. В переднебоковых отделах могут образовываться костные разрастания, известные как гиперостозные напластования, а также «мостики» и «шпоры» позвоночника, которые не соединяются и обходят межпозвоночные диски. Это приводит к снижению подвижности позвонков, что может вызвать анкилозирование, а в некоторых случаях — полное обездвиживание и, как следствие, атрофию мышц.
Заболевание обычно имеет длительное течение, при этом не наблюдается изменений в строении внутренних органов, суставов или высоты позвонков.
Гиперостоз вызывает разнообразные мнения среди людей, особенно тех, кто сталкивается с этой патологией. Многие пациенты отмечают, что заболевание часто остается незамеченным на ранних стадиях, что приводит к запоздалой диагностике. Врачи подчеркивают важность регулярных обследований, так как гиперостоз может быть связан с другими заболеваниями, такими как остеопороз или артрит. Некоторые пациенты делятся опытом о том, как изменения в образе жизни, включая физическую активность и правильное питание, помогли им справиться с симптомами. Однако есть и те, кто сталкивается с болями и ограничениями в движении, что значительно ухудшает качество жизни. В целом, общественное мнение о гиперостозе варьируется от недопонимания до осознания необходимости более глубокого изучения этого состояния.
https://youtube.com/watch?v=lceZUeuQYFM
Классификация
В зависимости от места расположения утолщения связки выделяют передний и задний Форестье.
Причины
К основным факторам, способствующим возникновению гиперостозов, относятся:
- нарушения в нейроэндокринной системе;
- регулярные отравления;
- возрастные трансформации в соединительных тканях;
- длительные инфекционные болезни.
https://youtube.com/watch?v=6l-2rcLauZc
Причины, вызывающие болезнь форестье
Болевые ощущения и анкилозирование часто встречаются у людей в возрасте 45-50 лет, и подобные изменения нередко наблюдаются у их родителей. Ученые полагают, что генетические факторы играют ключевую роль в возникновении этой патологии. Исследования продемонстрировали, что у одной трети пациентов был обнаружен антиген, известный как human leucocyte antigen — HLA В27, ген которого отвечает за процессы костеобразования.
Симптомы
Клинические проявления болезни Форестье в основном заключаются в ограничении подвижности в пораженном сегменте позвоночника. В редких случаях у пациентов могут наблюдаться следующие симптомы:
- легкая или умеренная боль в области грудного отдела позвоночника;
- сглаживание нормальных изгибов позвоночника;
- изменения в осанке, такие как сутулость или выраженная «поза просителя»;
- дисфагия (чаще встречается на более поздних стадиях значительной оссификации шейных структур);
- атрофия мышц;
- при окостенении других связок могут возникать болевые ощущения в местах их прикрепления, включая область пяточной кости, локтевой отросток, тазобедренный сустав, седалищный бугор и надколенники.
Заболевание значительно тяжелее протекает при оссификации задней продольной связки, известной как «задний» Форестье. Утолщение этой связки приводит к прогрессирующему стенозу позвоночного канала, сдавлению спинного мозга, миелопатии и серьезным неврологическим нарушениям.
Анализы и диагностика
Несмотря на достижения современной медицины, выявить гиперостоз по клиническим признакам бывает довольно сложно. Наиболее информативным методом остается рентгенографическое исследование, а для точного определения локализации патологического процесса внутри костной структуры применяется томография. В некоторых случаях может потребоваться и радионуклидное исследование.
На рентгенограммах болезнь Форестье проявляется утолщением передней продольной связки, которая сливается с вентральными поверхностями тел позвонков, при этом высота межпозвонковых промежутков остается неизменной. В лабораторных анализах иногда наблюдается гипергликемия.
При проведении дифференциальной диагностики с другими деформирующими заболеваниями позвоночника важно учитывать отсутствие лабораторных признаков, проявлений воспалительной активности, сакроилеита, анкилоза межпозвонковых суставов и сужений межпозвонковых дисков.
Лечение
При гиперостозе чаще всего применяется консервативный подход к лечению, который включает в себя:
- использование нестероидных противовоспалительных средств и местных анестетиков (в случае сильной боли);
- массажные процедуры;
- применение пластырей и ванн;
- занятия лечебной физкультурой.
Лекарства
Индометацин и Ибупрофен
- Индометацин – это нестероидное противовоспалительное средство (НПВС), обладающее местным обезболивающим, противовоспалительным и противоотечным эффектом. Доступен в виде геля и мази для наружного применения, которые рекомендуется наносить 3-4 раза в день.
- Ибупрофен – также относится к классу НПВС и представлен в формах для наружного применения, таких как мази и гели. Эти препараты эффективны при воспалительных и дегенеративных заболеваниях, а также при различных болевых синдромах.
- Пластырь от гиперостоза CZQW и Hyperosteogeny – это удобное в использовании китайское средство, предназначенное для лечения разрастания хрящевых и костных тканей. Его действие основано на целебных свойствах лекарственных трав и инфракрасном излучении. Не рекомендуется применять беременным женщинам и лицам младше 18 лет.
Процедуры и операции
Кроме курса массажа, крайне важно уделять внимание своему позвоночнику и ежедневно тратить минимум 30 минут на занятия лечебной физкультурой и гимнастикой.
Диета при гиперостозе Форестье
Гипокалорийная диета
- Эффективность: 3-6 кг за 30 дней
- Сроки: 14-30 дней
- Стоимость продуктов: 1500-1600 руб. в неделю
Ключевым аспектом в улучшении состояния пациентов с гиперостозами является нормализация массы тела, что возможно достичь с помощью постоянной диеты. Чаще всего рекомендуется гипокалорийное питание, которое позволяет сократить количество потребляемых калорий, при этом обеспечивая организм всеми необходимыми веществами и витаминами. В рацион стоит включить больше:
- свежих овощных и фруктовых салатов;
- легких супов;
- хлебобулочных изделий из цельнозерновой или грубой муки;
- каш;
- морепродуктов;
- чаев и компотов.
Рекомендуется полностью исключить алкоголь, мучные изделия, сладости, жареную и жирную пищу, а также такие вредные продукты, как копчености, консервы, полуфабрикаты и фастфуд.
Список источников
- Под редакцией профессора Шаповалова В. М., профессора Грицанова А. И., доцента Ерохова А. Т. Травматология и ортопедия. — Санкт-Петербург: ООО «Издательство Фолиант», 2004. — 434 страницы.
- Насонова В. А. Справочник по ревматологии. Москва: Медицина, 1995 год. — 131 страница.
Прогноз и возможные осложнения
Прогноз при гиперостозе зависит от причины, вызвавшей это состояние, а также от степени выраженности изменений в костной ткани. В большинстве случаев гиперостоз является доброкачественным процессом, и при отсутствии сопутствующих заболеваний или травм прогноз может быть благоприятным. Однако в некоторых случаях гиперостоз может быть связан с более серьезными заболеваниями, такими как остеосаркома или другие опухоли, что требует более тщательного наблюдения и лечения.
Одним из возможных осложнений гиперостоза является развитие болевого синдрома, который может существенно ухудшить качество жизни пациента. Боль может быть вызвана механическим воздействием на окружающие ткани или нервные окончания, а также воспалительными процессами, возникающими в результате гиперостоза. В таких случаях может потребоваться применение анальгетиков или противовоспалительных препаратов.
Кроме того, гиперостоз может привести к ограничению подвижности в суставах, особенно если изменения затрагивают области, близкие к суставам. Это может вызвать вторичные изменения в мышцах и связках, что также негативно сказывается на функциональности конечностей. Важно проводить реабилитационные мероприятия, направленные на восстановление подвижности и укрепление мышечного корсета.
В редких случаях гиперостоз может привести к компрессии нервов или сосудов, что может вызвать неврологические симптомы или нарушения кровообращения в конечностях. Это состояние требует немедленного медицинского вмешательства и может потребовать хирургического лечения.
Также стоит отметить, что гиперостоз может быть связан с нарушениями обмена веществ, такими как остеопороз, что увеличивает риск переломов. Пациенты с гиперостозом должны быть особенно внимательны к своему состоянию и следить за признаками возможных осложнений, таких как резкая боль, отек или изменение формы конечностей.
В заключение, хотя гиперостоз в большинстве случаев имеет благоприятный прогноз, важно проводить регулярные обследования и следить за состоянием пациента, чтобы своевременно выявить и предотвратить возможные осложнения. Консультация с врачом-ортопедом или ревматологом может помочь в разработке индивидуального плана наблюдения и лечения, что позволит минимизировать риски и улучшить качество жизни пациента.
Вопрос-ответ
Какой врач лечит гиперостоз?
Лечением данного заболевания занимается ортопед-травматолог. Гиперостоз — патологическое состояние, характеризующееся повышенной концентрацией костной ткани в определенной части тела.
Что такое внутренний лобный гиперостоз?
Гиперостоз проявляется утолщением внутренней пластинки лобной кости, ожирением и появлением мужских половых признаков. Причина возникновения не выяснена. Предполагается, что гиперостоз провоцируется гормональными изменениями в период климакса. Заболевание развивается постепенно.
Что такое гиперостоз костей свода черепа?
Гиперостоз — это заболевание, проявляющееся разрастанием неизмененной костной ткани. Различают локальный и генерализованный процессы. В первом случае поражение не выходит за пределы одной кости, во втором — наблюдают множественные изменения в разных отделах скелета.
Советы
СОВЕТ №1
Обратитесь к врачу при первых симптомах. Если вы заметили необычные изменения в костях или суставной области, такие как боль или отечность, не откладывайте визит к специалисту. Раннее выявление гиперостоза может помочь избежать серьезных осложнений.
СОВЕТ №2
Следите за своим питанием. Убедитесь, что ваш рацион богат кальцием и витамином D, которые необходимы для поддержания здоровья костей. Включайте в меню молочные продукты, рыбу, орехи и зеленые овощи.
СОВЕТ №3
Регулярно занимайтесь физической активностью. Упражнения, направленные на укрепление мышц и улучшение гибкости, могут помочь поддерживать здоровье костей и суставов. Однако избегайте чрезмерных нагрузок, которые могут усугубить состояние.
СОВЕТ №4
Изучите информацию о гиперостозе. Понимание этого состояния, его причин и методов лечения поможет вам лучше справляться с ним. Чтение медицинских статей и общение с врачами могут дать вам полезные знания для управления своим здоровьем.




