Ателектаз легкого — серьезное состояние, которое может возникнуть у детей и требует внимательного подхода к диагностике и лечению. Понимание причин, симптомов и последствий ателектаза важно для родителей и медицинских работников, так как раннее выявление и адекватная терапия могут улучшить прогноз и предотвратить осложнения. В статье рассмотрим основные аспекты ателектаза легкого у детей, что поможет осознать важность своевременного обращения за медицинской помощью.
Общие сведения
Ателектаз легкого — это медицинское состояние, при котором происходит спадение легкого или его части из-за недостатка воздуха в альвеолах. Это явление может возникать по нескольким причинам, включая нехватку сурфактанта, закупорку бронхиальных путей или сжатие легочной ткани. Важно отметить, что существует физиологический ателектаз, который наблюдается в состоянии покоя и служит резервом для организма во время физической активности, сопровождаясь гиповентиляцией определенной области легкого.
Врачи отмечают, что ателектаз легкого представляет собой серьезное состояние, требующее внимательного подхода к диагностике и лечению. Это состояние характеризуется частичным или полным спадением легочной ткани, что приводит к снижению газообмена и может вызвать кислородное голодание организма. Специалисты подчеркивают важность раннего выявления причин ателектаза, таких как обструкции дыхательных путей, инфекции или травмы. Лечение может варьироваться от физиотерапии и дыхательных упражнений до более инвазивных методов, таких как бронхоскопия. Врачи также акцентируют внимание на необходимости профилактики, особенно у пациентов с высоким риском, например, после операций или при хронических заболеваниях легких. Правильный подход к лечению и реабилитации может значительно улучшить прогноз и качество жизни пациентов.
https://youtube.com/watch?v=M0kxyiAItaM
Патогенез
При ателектазе наблюдается общее снижение поверхности легких, что приводит к спадению части альвеол и уменьшению их количества, способного к нормальной работе.
В легких человека содержится более 300 миллионов альвеол, в которых кровь циркулирует как параллельно, так и последовательно во время вентиляции. Это создает условия для газообмена между воздухом в альвеолах и кровью в легочных капиллярах. При ателектазе в тех участках, которые не вентилируются, перфузия отсутствует, что нарушает процесс газообмена и может вызвать дыхательную недостаточность. Усложнение ситуации приводит к транссудации и образованию локального отека. В дальнейшем это может привести к развитию пневмосклероза, когда функциональная паренхима заменяется соединительной тканью.
| Причина ателектаза | Механизм развития | Клинические проявления |
|---|---|---|
| Обструкция бронха (слизь, опухоль, инородное тело) | Нарушение проходимости бронха, воздух не поступает в альвеолы, они спадаются | Одышка, кашель, боль в груди, снижение дыхательных шумов над пораженной областью |
| Компрессия легкого (плеврит, пневмоторакс, опухоль) | Внешнее давление на легкое, препятствующее его расправлению | Одышка, боль в груди, смещение средостения, снижение дыхательных шумов |
| Дефицит сурфактанта (РДС у новорожденных, ОРДС) | Недостаточное количество сурфактанта, снижающего поверхностное натяжение альвеол, что приводит к их спадению | Тяжелая одышка, цианоз, тахипноэ, снижение сатурации кислорода |
| Нарушение нервной регуляции (травма спинного мозга, наркоз) | Снижение или отсутствие иннервации дыхательных мышц, что приводит к неэффективному дыханию и спадению альвеол | Поверхностное дыхание, гиповентиляция, одышка, снижение дыхательных шумов |
| Позиционный ателектаз (длительное пребывание в одном положении) | Сдавление легкого собственным весом или органами средостения, что приводит к нарушению вентиляции и спадению альвеол | Незначительная одышка, снижение дыхательных шумов, может быть бессимптомным |
Классификация
Ателектаз можно классифицировать в зависимости от времени его появления (врожденный или приобретенный) и степени распространенности:
- тотальный;
- частичный, который может проявляться в одной или нескольких долях — долевом, в сегментах — сегментарном, а также в базальных отделах — дисковидном.
Ателектаз легкого — это состояние, которое вызывает множество обсуждений среди пациентов и медицинских специалистов. Многие люди, столкнувшиеся с этой проблемой, отмечают, что симптомы могут быть довольно разнообразными: от одышки и кашля до болей в груди. Некоторые пациенты делятся своим опытом, рассказывая о том, как ателектаз повлиял на их повседневную жизнь, ограничивая физическую активность и вызывая тревогу. Врачебные рекомендации часто включают дыхательную гимнастику и физиотерапию, что вызывает положительные отзывы. Однако не все понимают, что ателектаз может быть как временным, так и хроническим состоянием, что требует индивидуального подхода к лечению. Обсуждая это заболевание, люди подчеркивают важность ранней диагностики и регулярного наблюдения у специалистов, чтобы избежать серьезных осложнений.
https://youtube.com/watch?v=1CmftAEFwWI
Ателектаз нижней доли левого легкого
Долевой ателектаз чаще всего возникает из-за блокировки долевых или сегментарных бронхов. Бронхиальное дерево представляет собой сложную сеть воздухопроводящих трубочек, начинающуюся от трахеи и разделяющуюся на два основных бронха, которые ведут к легким. В этой системе насчитывается 21 порядок бронхов, которые постепенно разветвляются до бронхиол.
Ателектаз нижней доли может вызвать смещение нижней части средостения — области, расположенной между плевральными полостями и содержащей такие органы, как сердце, пищевод, вилочковая железа и другие.
Ателектаз верхней доли правого легкого
Ателектаз верхней доли сопровождается легким смещением верхнего средостения. Это состояние вызывает компенсаторное увеличение средней доли и верхней части нижней доли.
https://youtube.com/watch?v=Rrnh_F6_5LQ
Дисковидный ателектаз легкого
Дисковидное уменьшение паренхимы смежных долей легкого возникает при диффузных заболеваниях бронхиального дерева, которые чаще всего обусловлены пневмонитами, фиброзирующими альвеолитами и саркоидозом.
Синдром средней доли
Существует форма ателектаза, при которой происходит закупорка крупного бронха средней доли правого легкого (в левом легком такой ситуации не наблюдается). Это может быть вызвано увеличением лимфатического узла, который возник в результате перенесенного туберкулеза, воспалительных процессов или онкологических заболеваний.
Ателектаз также классифицируется в зависимости от причин и механизмов его возникновения:
- обтурационный (возникает из-за закупорки дыхательных путей);
- функциональный (связан с нарушениями процесса расправления легкого во время вдоха);
- компрессионный (основной причиной является сдавление — компрессия);
- смешанный (может включать в себя сочетание вышеупомянутых факторов).
Обтурационный ателектаз
Обтурационный механизм возникновения данной патологии связан с блокировкой бронхиального просвета различными инородными предметами, рвотными массами, слизью, кровью, а также новообразованиями. В некоторых случаях наблюдается полное закрытие просвета, что называется дистелектазом. В зонах, где нарушен воздушный поток, происходит его резорбция – всасывание в капиллярной системе легких, что приводит к застойному полнокровию и другим нарушениям в лимфо- и кровообращении, а также может способствовать развитию склерозирования. Если обтурирующий элемент не будет устранен в течение трех суток, это может привести к необратимым последствиям.
Функциональный ателектаз
Наиболее часто данное состояние наблюдается у пациентов, находящихся в постели. Оно связано с нарушениями в механике движений диафрагмы, снижением её подвижности или угнетением дыхательного центра. В таких случаях можно заметить гипопневматоз и ухудшение дыхательной эластичности отдельных участков легких, чаще всего — базальных долей, что характерно для дисковидного типа.
Кроме того, проблемы с движением диафрагмы и глубиной вдоха могут возникать при повышении внутрибрюшного давления (например, при асците или метеоризме), а также из-за острых болей (как при фибринозном плеврите или перитоните), при ожирении, использовании слишком тугих корсетов и медицинских повязок, а также в результате паралича диафрагмы.
Компрессионный ателектаз
Компрессионное спадение легкого, также известное как коллапс, возникает в результате сжатия легкого газами или жидкостями извне, такими как экссудат, транссудат, кровь или фиброзная ткань. Механизм компрессионного ателектаза имеет более благоприятный прогноз для лечения, поскольку в его патогенезе отсутствуют эндобронхиальные факторы. Это означает, что спадение легкого не приводит к значительной задержке лимфы или полнокровию.
Причины ателектаза легкого
Причины ателектаза у новорожденных и у пациентов с ранее расправленными легкими:
- Первичная врожденная патология может возникнуть из-за закупорки дыхательных путей, затопления околоплодными водами или слизью, а также из-за недостатка сурфактанта, который обычно поддерживает альвеолы в открытом состоянии.
- Вторичные ателектазы могут развиваться при «затоплении» альвеол, например, воспалительным экссудатом при пневмонии, бронхите, ларинготрахеите, а также в результате внутригрудных опухолей, плеврального выпота, инфаркта легкого, увеличения лимфоузлов, образования кист, скопления гноя, а также воздуха и жидкости в плевральных полостях — пневмо- и гидроторакса, механической закупорки инородными предметами, рвотными массами, кровью, слизью, мокротами и другими веществами.
Кроме того, спадение легкого (рефлекторное) может произойти из-за травмы, например, при переломах ребер, отравлении барбитурами, спазмах бронхов, а также нарушении вентиляции легких во время хирургических операций и анестезии.
Симптомы
Проявления быстро развившегося ателектаза значительно отличаются от тех, что возникают постепенно. У пациента обычно наблюдаются следующие симптомы:
- резкая боль в грудной клетке;
- учащение сердечного ритма;
- усиление одышки;
- появление цианоза и замедление дыхания в пораженной части грудной клетки по сравнению со здоровой;
- ослабление дыхательных звуков и голосового дрожания;
- развитие инфекционных осложнений, проявляющихся в виде повышения температуры.
Обтурационный синдром ателектаза проявляется малопродуктивным кашлем, а при аускультации в пораженной области дыхание либо не слышно, либо значительно ослаблено.
В отличие от этого, медленное развитие ателектаза характеризуется слабо выраженными клиническими признаками, и для его диагностики требуется рентгенография. Это может привести к склеротическим изменениям в легочной ткани, известным как фиброателектаз.
Анализы и диагностика
В дополнение к сбору анамнеза, изучению жизненной истории и проведению хирургических вмешательств, осуществляется осмотр кожных покровов, а также прослушивание легких с помощью фонендоскопа. Оценивается состояние сердечно-сосудистой системы, после чего назначаются исследования, направленные на изучение безвоздушных участков легких и воздушности легочной ткани, такие как:
- рентгенография;
- томография;
- бронхография.
Лечение
Терапия ателектазов сосредоточена на восстановлении полноценной дыхательной функции, устранении слизистых пробок и восстановлении проходимости дыхательных путей (включая бронхоскопию и отсос содержимого трахеи), а также на аэрации участков легких, которые не получают воздух, и на лечении вторичных инфекций. В этом процессе используются отхаркивающие, муколитические и антибиотические средства.
Лекарства
ЭтимизолСальбутамолПульмозим
Процедуры и операции
При компрессионном ателектазе применяются следующие методы:
- дренирование плевральной полости;
- выполнение плевральных пункций.
Если речь идет об опухолях бронха, может потребоваться хирургическое вмешательство, а также лучевая или консервативная терапия.
При механической закупорке и необходимости удаления слизи или гноя используется бронхоскоп и аппарат «искусственный кашель».
В случае функциональных нарушений, таких как дистензионный функциональный ателектаз, рекомендуется проводить дыхательную гимнастику и вдыхать газовые смеси, включая диоксид углерода и кислород. В крайних случаях может быть выполнена резекция пораженной части легкого.
У детей
Наиболее частой причиной ателектаза (ацинарного типа) у новорожденных является нарушение выработки сурфактанта — комплекса фосфолипидов, который образуется клетками альвеол II типа. Сурфактант играет ключевую роль в снижении поверхностного натяжения на границе раздела воздуха и воды, что способствует поддержанию стабильности альвеол во время выдоха. При его недостатке развивается респираторный дистресс-синдром новорожденных, что приводит к спадающим альвеолам. Это, в свою очередь, уменьшает диффузионную поверхность легких, что вызывает гипоксию рестриктивного (ограничительного) типа и усугубляет гиалинизацию альвеолярных мембран.
Ателектаз у детей может возникать не только как первичное нерасправление терминальных дыхательных структур, но также быть следствием гипоплазии или незрелости, что часто связано с недоношенностью.
В некоторых случаях легкие младенцев не расправляются полностью после рождения из-за механической закупорки бронхиальных просветов слизью. Также возможно «затопление» околоплодными водами, что может произойти в результате асфиксии во время родов, когда дыхательный центр активируется только после первого вдоха.
Список источников
- Адо А.Д. Патологическая физиология. Учебное пособие для медицинских университетов. Москва: Триада-Х, 2000. — 285 с.
- Николаев А.В. Топографическая анатомия и оперативная хирургия. — 2-е издание, исправленное и дополненное. — 2009, Том 2. — 480 с.
- Палеева Н.Р. Заболевания органов дыхания. — Москва: Медицина, 2000. — 699 с.
Прогноз и осложнения
Прогноз при ателектазе легкого зависит от причины его возникновения, степени поражения легочной ткани, а также от своевременности и адекватности лечения. В случае быстрого выявления и устранения причины ателектаза, а также при отсутствии сопутствующих заболеваний, прогноз может быть благоприятным. Однако при запущенных формах или наличии хронических заболеваний легких, таких как хроническая обструктивная болезнь легких (ХОБЛ) или бронхиальная астма, прогноз может ухудшаться.
Осложнения ателектаза могут быть разнообразными и включают в себя:
- Инфекция легких: Ателектаз может привести к застою секрета в легких, что создает благоприятные условия для развития пневмонии.
- Дыхательная недостаточность: Значительное снижение объема легких может привести к недостаточному насыщению крови кислородом, что требует немедленного вмешательства.
- Плеврит: Воспаление плевры может возникнуть в результате инфекции или раздражения, вызванного ателектазом.
- Увеличение давления в грудной клетке: При наличии обструкции может произойти смещение средостения, что также может негативно сказаться на дыхательной функции.
- Хронические изменения в легочной ткани: Длительный ателектаз может привести к необратимым изменениям в легких, таким как фиброз, что затрудняет восстановление нормальной функции легких.
Для предотвращения осложнений важно своевременно диагностировать и лечить ателектаз. Это может включать в себя физиотерапию, бронхоскопию, а также в некоторых случаях хирургическое вмешательство для устранения причины обструкции. Регулярное наблюдение и контроль состояния пациента также играют ключевую роль в снижении риска осложнений.
В заключение, ателектаз легкого требует внимательного подхода к диагностике и лечению, поскольку его последствия могут быть серьезными и угрожать жизни пациента. Своевременное вмешательство и адекватная терапия могут значительно улучшить прогноз и снизить риск развития осложнений.
Вопрос-ответ
Чем опасен ателектаз легкого?
Ателектаз легкого вызывает спадение части тканей, из-за чего альвеолы в этой области выпадают из функциональности. Кислород поступает в кровь только через здоровые участки, поэтому его уровень снижается. В результате может развиться дыхательная недостаточность.
Что такое ателектаз простыми словами?
Ателектаз легкого (МКБ J98.1) — состояние участка легочной ткани, при котором в альвеолах либо совсем нет воздуха, либо воздух содержится в небольшом количестве. В результате этого значительно уменьшается площадь газообмена и развивается дыхательная недостаточность.
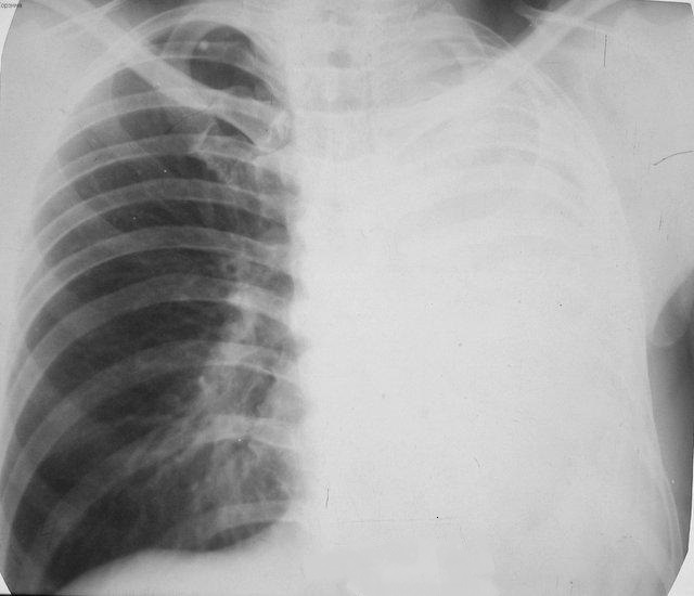
Как выглядит ателектаз на рентгене?
На прямой рентгенограмме хорошо виден ателектаз верхней доли правого легкого в виде однородного затемнения треугольной формы с четкими контурами.
В чём разница между пневмонией и ателектазом?
Ателектаз представляет собой неполное расширение легочной паренхимы с сопутствующей потерей объема, тогда как пневмония является инфекцией паренхимы и обычно не связана с потерей объема.
Советы
СОВЕТ №1
Регулярно проходите медицинские обследования, особенно если у вас есть предрасположенность к заболеваниям легких. Раннее выявление проблем может помочь предотвратить развитие ателектаза.
СОВЕТ №2
Следите за своим дыханием и обращайте внимание на любые изменения, такие как одышка или боль в груди. При возникновении таких симптомов немедленно обращайтесь к врачу для диагностики и лечения.
СОВЕТ №3
Поддерживайте активный образ жизни и занимайтесь физической активностью, чтобы улучшить функцию легких. Упражнения, такие как дыхательная гимнастика, могут помочь предотвратить ателектаз.
СОВЕТ №4
Избегайте курения и воздействия токсичных веществ, так как они могут негативно сказаться на здоровье легких. Если вы курите, рассмотрите возможность обращения за помощью к специалистам для отказа от курения.



