Зубной камень — распространенная проблема, которая может вызвать серьезные стоматологические заболевания. В статье рассмотрим причины его возникновения, влияние на здоровье полости рта и методы удаления, включая профессиональные и домашние способы. Понимание этих аспектов поможет сохранить здоровье зубов и избежать неприятных последствий.
Общие сведения
Зубной наддесневой и поддесневой камень (лат. calculus dentalis) — это нерастворимые минерализованные отложения, которые образуются на поверхности зубов. Они формируются из зубного налета и остатков пищи под воздействием ферментов слюны и благодаря активности микроорганизмов, обитающих в полости рта.
По статистике, зубной камень обнаруживается у 80% людей. Он может образовываться как на естественных зубах, так и на искусственных (протезах). Появление зубного камня возможно уже в подростковом возрасте, а его накопление увеличивается с возрастом. Наддесневой камень чаще всего встречается у детей в возрасте 9-15 лет — его обнаруживают у 40-70% из них, а в группе 16-22 лет — в 45-85% случаев. У взрослых этот показатель составляет 80-100%.
Зубной камень представляет собой конечную стадию формирования отложений на зубах. Существует два типа отложений: мягкие (неминерализованные) и твердые (минерализованные). К мягким отложениям относятся:
- Зубная бляшка, которая образуется на твердых поверхностях полости рта (зубах, протезах, пломбах) и формируется из остатков пищи и продуктов жизнедеятельности микроорганизмов, активно размножающихся на этих поверхностях.
- Зубной налет, который возникает в результате слияния бляшек на фоне недостаточной или неэффективной гигиены полости рта. Налет представляет собой густую мягкую бело-желтую массу, которая скапливается в основном у шеек зубов или, при плохой гигиене, на всей поверхности зуба.
К твердым зубным отложениям относятся минерализованные отложения на зубах — зубной камень.
Врачи отмечают, что зубной камень является одной из наиболее распространенных стоматологических проблем. Он образуется в результате минерализации налета, который скапливается на зубах. Специалисты подчеркивают, что наличие зубного камня может привести к серьезным последствиям для здоровья полости рта, включая воспаление десен и кариес. Регулярные визиты к стоматологу и профессиональная чистка зубов помогают предотвратить образование камня. Врачи рекомендуют также соблюдать гигиену полости рта, используя зубные щетки и пасты с фтором, а также ополаскиватели. Важно помнить, что профилактика всегда проще и эффективнее, чем лечение запущенных заболеваний.
https://youtube.com/watch?v=Bikf8wV9FRM
Опасен ли и если да, то чем опасен зубной камень?
К сожалению, многие люди воспринимают зубной камень лишь как эстетическую проблему. Однако современные исследования показывают, что его наличие может стать катализатором для развития кариеса, а также, при проникновении в десны, привести к воспалительным заболеваниям пародонта, что в конечном итоге может закончиться потерей зуба. Это связано как с механическим воздействием на десны, так и с влиянием продуктов жизнедеятельности микроорганизмов, которые обитают на зубных отложениях. Зубной камень, постепенно отодвигая десну от шейки зуба, вызывает ее изъязвление, расширение десневого кармана и изменение состава десневой жидкости. В таких условиях микроорганизмы, находящиеся на поверхности зубного камня, выделяют биологически активные вещества (токсины), которые раздражают ткани десен, способствуя развитию и поддержанию воспалительного процесса, а также постепенному разрушению пародонтальных тканей.
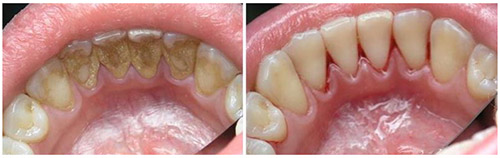
Кроме того, зубной камень может стать причиной неприятного запаха изо рта, изменения цвета зубов и кровоточивости десен, что создает значительный эстетический дискомфорт. В целом, контроль за количеством и качеством зубных отложений является важнейшим аспектом профилактики кариеса и заболеваний пародонта. На следующем рисунке представлено, как выглядит зубной камень.
| Причина образования | Последствия для здоровья | Методы профилактики и удаления |
|---|---|---|
| Недостаточная гигиена полости рта (нерегулярная или неправильная чистка зубов) | Кариес (разрушение эмали зуба) | Регулярная и правильная чистка зубов (минимум 2 раза в день по 2 минуты) |
| Употребление большого количества сладкой и крахмалистой пищи | Гингивит (воспаление десен) | Ограничение потребления сладкого и крахмалистого, ополаскивание рта после еды |
| Курение и употребление алкоголя | Пародонтит (воспаление тканей, окружающих зуб) | Отказ от курения и чрезмерного употребления алкоголя |
| Нарушение обмена веществ | Неприятный запах изо рта (галитоз) | Сбалансированное питание, употребление достаточного количества воды |
| Неправильный прикус | Потеря зубов | Использование зубной нити и ирригатора |
| Использование некачественных зубных щеток и паст | Образование зубных карманов | Регулярные профессиональные чистки зубов у стоматолога (1-2 раза в год) |
| Генетическая предрасположенность | Повышенная чувствительность зубов | Использование зубных паст с фтором и кальцием |
| Некоторые заболевания ЖКТ | Эстетические проблемы (потемнение эмали) | Своевременное лечение заболеваний ЖКТ |
Характеристика зубного камня
Наддесневой зубной камень образуется на зубах выше уровня десен. Обычно он имеет белый или светло-желтоватый оттенок и отличается твердой текстурой. Окраска зубного камня может изменяться под воздействием курения и рациона питания. Более светлые отложения имеют меньшую плотность и твердость, образуются быстрее и в большем объеме. В то время как темные отложения более плотные и твердые, их образование происходит медленнее и в меньших количествах.
Этот тип зубного камня относится к слюнному, так как его основные составляющие (органические вещества и минералы) поступают из слюны. Он может встречаться как на отдельных зубах, так и на нескольких или даже на всех зубах. Чаще всего наддесневой камень образуется на больших коренных зубах верхней челюсти и на передних зубах нижней челюсти. Реже наблюдаются мостообразные отложения вдоль соседних зубов.
Состав наддесневого камня включает как неорганические (до 90%), так и органические компоненты. Неорганическая часть представлена в основном фосфатом кальция (76,0%), карбонатом кальция (4,1%) и фосфатом магния. Другие элементы содержатся в минимальных количествах. Основные неорганические компоненты включают кальций (40%), фосфор (около 20%), магний (до 1%) и карбонаты (примерно 1,9%), а также микроэлементы, такие как медь, марганец, натрий, цинк, вольфрам, бром, фтор, алюминий и железо. Около двух третей неорганической части составляют кристаллические вещества, среди которых выделяются апатиты: магниевый апатит, гидроксиапатит, брусит и октакальция фосфат. Стабильность апатитов уменьшается в следующем порядке: гидроксиапатит > фторапатит > франколит.
Структура наддесневого зубного камня варьируется в зависимости от соотношения органических (аморфных) и кристаллических веществ. Выделяют три основные группы:
- Кристаллически-зернистые. Эти отложения встречаются у людей с небольшим количеством зубного камня и низким содержанием минералов. Их структура характеризуется неупорядоченным расположением кристаллов в слоях органического вещества, где фосфат кальция образует пористую массу в виде зерен размером 0,1–0,25 мм.
- Концентрически-скорлуповидные. Эти отложения чаще всего наблюдаются при значительном количестве зубного камня. Их структура отличается выраженной слоистостью, где кристаллы фосфата кальция чередуются с органическими веществами.
- Колломорфные. В таких камнях фосфат кальция образует массивные темно-бурые скопления, пронизанные органическими веществами.
Органическая часть наддесневого камня состоит из комплекса протеин-полисахаридов, включая лейкоциты, эпителиальные клетки и различные микроорганизмы. Примерно 10% органического состава составляют углеводы — такие как глюкоза, рамноза, галактоза, манноза, галактозамины, галактуроновая и глюкуроновая кислоты, а также глюкозамины. Липиды представлены свободными жирными кислотами, нейтральными жирами, холестерином и фосфолипидными эфирами. Протеины слюны составляют 6,0–8,0% и включают практически все аминокислоты.
Внутренняя структура наддесневого зубного камня имеет множество неровностей на фоне аморфной поверхности, которая менее минерализована, чем выступающие участки. Большинство микроорганизмов в зубном камне являются нежизнеспособными. Грамположительные кокки чаще всего располагаются на периферии камня, особенно в местах, где развиваются гнойные процессы.
Поддесневой зубной камень обычно находится в пародонтальных карманах и не виден при обычном осмотре ротовой полости. Для его обнаружения требуется зондирование. Его распространенность ниже, чем у наддесневого, однако у людей старше 40 лет он встречается значительно чаще. Поддесневой камень имеет темно-коричневый цвет, плотную структуру и высокую твердость, прочно прикреплен к зубной поверхности.
Этот тип камня относится к сывороточному, так как его минерализация происходит за счет десневой жидкости, напоминающей сыворотку крови. Состав поддесневого камня в целом схож с составом наддесневого, но в нем содержится больше магниевого апатита и меньше октакальция фосфата и брусита. Также в нем выше содержание солей кальция и фосфата. Содержание натрия увеличивается с глубиной расположения в пародонтальном кармане. Слюнные белки, присутствующие в наддесневом камне, отсутствуют в поддесневом. В камне выделяют ядро, внутреннюю и периферическую поверхности.
Состав и вид бактерий варьируются в зависимости от слоя камня: грамотрицательные волокнистые микроорганизмы находятся в поверхностных слоях поддесневого камня, тогда как грамположительные — в средних и глубоких слоях (ядре камня). Микроорганизмы на внутренней поверхности камня не обнаруживаются. На скорость образования зубного камня и его объем влияют различные факторы, такие как обмен веществ, консистенция пищи, жевание, количество и состав слюны, а также уход за полостью рта.
Несмотря на очевидную необходимость регулярного удаления зубного камня, соблюдение гигиены полости рта и посещение стоматолога до сих пор не является привычкой для почти 70% населения.
Зубной камень — это проблема, о которой говорят многие. Люди часто отмечают, что его появление связано с недостаточной гигиеной полости рта. Некоторые делятся опытом, как регулярные визиты к стоматологу помогли им избежать накопления камня. Другие же рассказывают о неприятных ощущениях и эстетических проблемах, связанных с его образованием. Многие считают, что зубной камень может стать причиной более серьезных заболеваний десен, что вызывает у них тревогу. В социальных сетях активно обсуждают методы профилактики, включая использование специальных зубных паст и ополаскивателей. Однако, несмотря на все советы, не все понимают важность профессиональной чистки зубов, что приводит к распространению мифов о том, что зубной камень можно удалить самостоятельно. В итоге, тема зубного камня остается актуальной, и люди продолжают искать информацию о том, как сохранить здоровье своих зубов.
https://youtube.com/watch?v=06NcQWOwRQE
Патогенез
Образование зубного камня проходит несколько этапов, которые наглядно иллюстрированы на изображении ниже.
Зубная эмаль в нормальном состоянии покрыта пелликулой — тонкой органической пленкой, формирующейся из полипептидов, гликопротеинов, углеводов различной молекулярной массы и иммуноглобулинов. Этот процесс начинается примерно через 30-40 минут после завершения приема пищи. Основой формирования пелликулы являются гидрофобные взаимодействия и ионные связи между осажденными белками и поверхностью зубной эмали.
Формирование пелликулы является естественным процессом, и, по сути, она служит барьером, который регулирует минерализацию и деминерализацию (диффузию и проницаемость) зубной эмали, а также контролирует состав микрофлоры.
Формирование зубного налета
Формирование зубного налета начинается с образования зубной бляшки, которая затем преобразуется в налет. Зубная бляшка представляет собой плотное бесцветное образование, находящееся над пелликулой, и состоит из белков, липидов, полисахаридов и неорганических веществ, таких как фосфаты, магний, кальций и натрий. Она накапливается за счет адсорбции микроорганизмов на поверхности эмали, а ее рост происходит благодаря постоянному наслаиванию бактерий. С увеличением объема налета в нем начинает преобладать анаэробная флора. Бляшка практически не удаляется и не смывается даже при чистке зубов, и для ее удаления требуется специальный инструмент. Внутри зубной бляшки активно функционируют микроорганизмы, что сопровождается процессами их метаболизма, включая ферментативную активность и образование кислот.
Переход от бляшки к зубному налету происходит благодаря дальнейшему наслоению и образованию конгломератов микроорганизмов, слюнных протеинов, отмерших эпителиальных клеток, лейкоцитов, липидов и остатков пищи. Мягкий зубной налет не имеет постоянной внутренней структуры.
Обычно на зубах образуется налет в виде мягкого желтоватого слоя, который не может быть удален естественным образом. Этот слой формируется при недостаточной гигиене ротовой полости в течение 1–2 дней. На этой стадии уже начинаются биохимические процессы, которые могут привести к деминерализации эмали. Зубной налет состоит на 80-85% из воды и содержит минеральные компоненты, такие как фториды, кальций и неорганические фосфаты, которые связаны с бактериями и внеклеточными белками.
https://youtube.com/watch?v=Vy4XPjCvb_U
Зубной камень
Зубной налет служит органической основой для постепенной минерализации, что приводит к осаждению кальция и фосфора в виде солей и образованию зубного камня. В начале процесса формируется в основном брушит, который накапливается и создает легко удаляемый слабоминерализованный зубной камень. Помимо брушита, также образуются другие кристаллы, такие как октокальций фосфат, витлокит, гидроксиапатит, монетит и различные апатиты. Октокальций фосфат выступает в роли связующего звена между кислым солями (монетитом и брушитом) и гидроксиапатитом, переходя в последний при щелочных значениях pH, что способствует образованию апатитных солей. В процессе формирования камня участвуют фтор в виде фторапатита и фторида кальция, а также гликозаминогликаны, галактоза, фруктоза, манноза, молекулы АТФ, липиды, аминосахара и аминокислоты.
Первоначальный слой бактерий в зубном налете в основном состоит из аэробных микробных сообществ. С увеличением числа анаэробных микроорганизмов происходит выделение молочной кислоты, которая метаболизируется, что приводит к повышению pH среды. Это также связано с накоплением аммиака в зубном налете, который в сочетании с дикарбоновыми кислотами активно взаимодействует с ионами фосфатов, кальция и магния, создавая центры кристаллизации.
Пирофосфат и статерины являются ингибиторами образования зубного камня. В результате образуется первичный преципит, который затем трансформируется в пластинчатый гидроксиапатит, а позже в гексагональный гидроксиапатит. В ходе различных химических реакций запускаются процессы минерализации зубного налета и послойного отложения минеральных солей, что приводит к образованию зубного камня.
Таким образом, механизмы минерализации основываются на связывании ионов кальция с протеин-полисахаридными комплексами органической матрицы и последующем осаждении солей фосфата кальция в виде кристаллов. Для формирования зубного камня необходимо:
- образование органической матрицы (зубного налета) микроорганизмами ротовой полости;
- отложение минеральных соединений на органической матрице с образованием центров кристаллизации;
- рост кристаллов в так называемых «центрах минерализации».
В процессе формирования зубного камня выделяют несколько фаз в зависимости от состояния центров минерализации:
- 1 фаза. Продолжительность 45-60 суток с момента образования зубного налета. Для этой фазы характерно накопление минеральных веществ и начальный рост кристаллов.
- 2 фаза. Длительность от 45-60 до 700 суток. Характеризуется ростом и улучшением структуры кристаллов фосфата в центрах минерализации.
- 3 фаза. После 700 суток. Завершение формирования структуры зубного камня с полным замещением органических веществ.
Таким образом, процесс образования зубного камня в среднем занимает около 2 месяцев, после чего продолжается накопление зубного камня, его внутренняя перестройка и вытеснение органического вещества. Изначально осаждение камня происходит вдоль внутренней поверхности бляшки, в местах значительного скопления микроорганизмов, а затем отложения постепенно увеличиваются, формируя твердый монолитный камень.
Классификация
Классификация зубного камня основывается на его расположении относительно десневой ткани, в связи с чем выделяют следующие виды:
- наддесневой камень, находящийся выше уровня десневого края;
- поддесневой камень, который располагается под десной в образовавшемся патологическом кармане.
Причины возникновения зубного камня
Существует множество причин, способствующих образованию зубного камня. К основным факторам, вызывающим его появление, можно отнести:
- Нарушения обмена солей, в частности, повышенное содержание фосфатов в слюне.
- Генетическая предрасположенность к более быстрому затвердению зубного налета.
- Заболевания желудочно-кишечного тракта с повышенной кислотностью.
- Низкая эффективность процессов самоочищения ротовой жидкости (высокая вязкость слюны, увеличение слюноотделения, изменения уровня pH в полости рта).
- Микробное загрязнение ротовой полости.
- Недостаточная интенсивность жевательных движений.
- Неполноценный процесс жевания (пережевывание пищи преимущественно с одной стороны).
- Неправильное расположение зубов.
- Наличие разрушенных зубов или ортопедических и ортодонтических конструкций.
- Курение.
- Преобладание в рационе мягкой пищи и продуктов, богатых простыми углеводами (сладости и мучные изделия).
- Длительный прием антибиотиков.
Эти факторы в определенной степени объясняют, почему и как образуется зубной камень, однако единого мнения о механизме его формирования не существует.
Симптомы
Ключевыми признаками зубного камня являются изменение оттенка зубов, появление твердого налета на их поверхности, неприятный запах изо рта, а также, в редких случаях, кровоточивость десен.
Анализы и диагностика
Определить наличие наддесневого зубного камня можно как самостоятельно, так и во время визита к стоматологу. При выявлении признаков зубных отложений крайне важно установить, с каким именно типом отложений вы имеете дело – мягким зубным налетом или уже образовавшимся зубным камнем.
Для визуализации зубного камня можно использовать специальные красители, такие как Фуксин и Эритрозин. Эти средства доступны в форме ополаскивателей, растворов или таблеток и помогают окрасить участки зубов с камнем в яркие оттенки.
На рынке представлены специальные индикаторы зубного налета, например, таблетки Dent (Япония) и Динал (Россия). Самостоятельно выявить поддесневой зубной камень довольно сложно. Обычно его обнаруживают во время стандартного осмотра ротовой полости у стоматолога.
Лечение, как избавиться от зубного камня?
Лечение зубов, страдающих от отложений зубного камня, начинается с его удаления, которое может осуществляться различными способами. Наиболее популярными современными методами являются:
- Ультразвуковое удаление зубного камня.
- Лазерное удаление зубного камня.
Снятие зубного камня ультразвуком
Чистка зубного камня с использованием ультразвука осуществляется с помощью специального инструмента — скалера, который производит высокочастотные колебания и генерирует ультразвуковые волны определенной частоты. Это позволяет эффективно разрушать связи между зубами и образовавшимися отложениями. При этом насадка не контактирует с зубами, что исключает возможность повреждения эмали.
Для охлаждения и удаления частиц камня из десневых карманов и межзубных промежутков применяются антисептические растворы или очищенная вода. Процесс ультразвукового удаления завершается дополнительными процедурами, направленными на полировку зубов с использованием специальных паст и щеточек, после чего на эмаль наносится защитный слой ( Фторлак), содержащий фтористые соединения и пихтовый бальзам.
Этот препарат эффективно защищает зубы от воздействия кислот и бактерий, восстанавливает минеральный состав, укрепляет зубную эмаль и помогает предотвратить быстрое образование налета. Очистка зубов от камня, согласно многочисленным отзывам о процедуре ультразвукового удаления, не вызывает дискомфорта у пациентов и не стоит бояться этой процедуры. В настоящее время практически все стоматологические клиники предлагают своим пациентам возможность очистки зубов от налета и камня с помощью ультразвука.
Чистка зубного камня лазером
Удаление зубного камня с помощью лазера представляет собой самый современный подход. Лазерный луч разрушает зубной камень на мельчайшие частицы, которые затем вымываются из ротовой полости с помощью специального антисептического спрея. Процедура абсолютно безболезненна, так как лазерная насадка не контактирует с зубами и деснами, воздействуя только на зубные отложения.
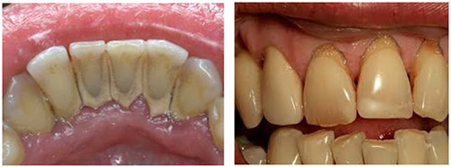
Среди достоинств лазерной чистки зубов можно выделить: высокую эффективность, отсутствие боли, а также безопасность для зубной эмали и десен. Однако использование дорогостоящего лазерного оборудования приводит к высокой стоимости данной услуги. Кроме того, не все стоматологические клиники располагают таким оборудованием. Ниже представлены фотографии до и после процедуры удаления зубного камня.
В процессе чистки также применяется абразивное средство (чаще всего бикарбонат натрия) в сочетании с водой. Эта смесь подается под высоким давлением, что позволяет эффективно удалять небольшие отложения камня из труднодоступных мест. Вызывает ли этот метод дискомфорт? В отличие от предыдущих способов, пациент может ощущать легкое неудобство. Данная методика подходит не только для удаления камня, но и для устранения налета и пигментации на зубах. Однако ее не рекомендуется использовать при воспалительных заболеваниях десен, так как это может усугубить состояние.
Стоимость чистки зубов от зубного камня может значительно варьироваться и зависит от множества факторов: степени проблемы (количество зубов, требующих очистки), выбранного метода и дополнительных услуг. Также цена определяется уровнем стоматологической клиники, стоимостью оборудования и квалификацией специалистов. Поэтому окончательная стоимость удаления зубного камня устанавливается индивидуально, а ориентировочную цену на услуги «чистка зубов» можно найти в прайс-листе клиники на ее сайте.
Рекомендуемая частота удаления зубного камня составляет от одного раза в 6 до 12 месяцев, но может быть и чаще, особенно для людей с нарушениями обмена веществ. Оптимально проводить процедуру по мере накопления отложений.
В некоторых случаях для растворения или размягчения зубного налета могут использоваться медикаментозные средства. Механизм их действия на зубные образования различен. Например, для подавления жизнедеятельности микробных ассоциаций применяются препараты фтора (такие как Натрия фторид, Витафтор, жевательные таблетки Fluor-a-day и другие), которые нарушают адсорбцию бактерий, а также бактерицидные средства для полоскания рта (например, Катамин, Хлоргексидин), обладающие высокой активностью против грамположительных и грамотрицательных бактерий.
Хлоргексидин связывает кислотные группы гликопротеидов слюны, что снижает их адсорбцию на эмали зуба и эффективно предотвращает агрегацию. Катамин, применяемый в виде аппликаций, разрушает капсулы микроорганизмов зубного налета, в результате чего бактерии теряют связь друг с другом. Далее он воздействует на клеточную стенку бактерий, вызывая ее набухание и разрушение, а также коагуляцию цитоплазмы.
Растворению и размягчению зубного налета способствуют ферментные препараты (такие как Протеаза, Декстраназа, Гиалуронидаза). Клинические исследования показывают, что полоскания рта растворами декстраназа значительно замедляют развитие зубного налета. При этом, по сравнению с контрольной группой, содержание кариесогенных стрептококков в зубном налете существенно снижается.
Все перечисленные препараты способны значительно замедлить или уменьшить процесс образования зубного налета и зубного камня, снизить вирулентность микроорганизмов, стабилизировать рост зубной бляшки и подавить кальцификацию микробных остатков, что позволяет эффективно использовать их в рациональной гигиене полости рта.
Можно ли избавиться от зубного камня в домашних условиях?
В сети можно встретить множество рекомендаций по удалению зубного камня в домашних условиях. Для этого часто используют такие средства, как сода, скорлупа грецкого ореха, сок цитрусовых (для протирания зубов), перекись водорода, черная редька, хвощ полевой и другие. Однако стоит отметить, что мнения о результативности этих методов сильно различаются. Возможно, что с помощью этих средств удастся быстро устранить незначительный мягкий налет, но полностью избавиться от зубного камня таким образом невозможно. Кроме того, удалить камень, находящийся ниже уровня десен, в домашних условиях также не представляется возможным. Поэтому при наличии плотных отложений следует обратиться за профессиональной помощью.
Процедуры и операции
Разнообразные гигиенические мероприятия для поддержания личной гигиены ротовой полости.
Диета
Специальная диета для предотвращения зубного камня не разработана, однако соблюдение определенных правил питания и внимание к процессу жевания могут существенно снизить риск его образования.
Прежде всего, ваш рацион должен быть сбалансированным и включать достаточное количество твердой пищи, такой как морковь, капуста, редис и яблоки. При этом следует ограничить потребление простых углеводов, включая сахар, сладости и мучные изделия, а также сладкие газированные напитки. Именно продукты с высоким содержанием простых углеводов способствуют быстрому образованию зубного налета и влияют на состав бактерий в полости рта, увеличивая уровень полисахаридов, вырабатываемых микрофлорой.
Профилактика
Предотвращение образования и распространения зубных отложений основывается на качественной и систематической индивидуальной гигиене полости рта, которая включает в себя:
- Чистку зубов с помощью щетки мягкой или средней жесткости (в зависимости от состояния зубов). Рекомендуется использовать пародонтологическую зубную щетку с индикатором износа щетины.
- Орошение полости рта ополаскивателями с лечебно-профилактическим эффектом после еды и перед сном.
- Регулярное очищение межзубных промежутков с помощью интердентальных средств (флоссы, зубочистки, зубные ленты, интердентальные ершики, флоссетты).
- Периодическое применение зубных паст и гелей, содержащих фтор и цитрат кальция.
- Очищение фиссур (естественных углублений на жевательной поверхности эмали) с помощью кисточек, ирригаторов или монопучковых зубных щеток.
К числу важных мероприятий также относятся:
- Оптимизация питания, включая достаточное количество жесткой пищи, такой как морковь, редис, яблоки и капуста, и ограничение потребления продуктов с простыми углеводами.
- Отказ от курения.
- Регулярные визиты к стоматологу для профессиональной чистки зубов.
Последствия и осложнения
К числу основных осложнений можно отнести гингивит, кариес и воспалительные болезни пародонта.
Прогноз
Регулярное удаление зубного камня и выполнение профилактических мер обеспечивают положительный прогноз для здоровья полости рта. В случае пренебрежения гигиеной и игнорирования зубного камня значительно возрастает вероятность возникновения гингивита, кариеса и пародонтоза.
Список источников
- Грохольский А.П. Отложения на зубах: их воздействие на зубы, околозубные ткани и весь организм / Грохольский А.П., Кодола Н.А., Центило Т.Д. – Киев: Здоровье, 2000. – 160 с.
- Косенко К.Н. Профилактическая гигиена ротовой полости / Косенко К.Н., Терешина Т.П. – Одесса: Издательство КПОГТ, 2003. – 288 с.
- Левицкий А.П. Налет на зубах / Левицкий А.П., Мизина И.К. – Киев, 1987. – 80 с.
- Леус, П. А. Зубные отложения и способы их удаления / П. А. Леус, С. С. Лобко, Л. И. Палий. Минск: БГМУ, 2001. 39 с.
- Леус, П. А. Поверхностные образования на зубах / Е. В. Боровский, В. К. Леонтьев // Биология ротовой полости. Москва: Медицина, 1991. С. 196–226.
Советы по уходу за полостью рта
Уход за полостью рта является важной частью общего здоровья и профилактики зубного камня. Правильные гигиенические процедуры помогают предотвратить образование зубного камня и сохранить зубы и десны в хорошем состоянии. Вот несколько советов, которые помогут вам поддерживать здоровье полости рта:
- Регулярная чистка зубов: Чистите зубы дважды в день, используя фторсодержащую зубную пасту. Это поможет удалить налет и предотвратить его минерализацию в зубной камень. Обратите внимание на технику чистки: используйте мягкие круговые движения и не забывайте о труднодоступных местах.
- Использование зубной нити: Зубная нить помогает удалить остатки пищи и налет между зубами, где щетка не может достать. Регулярное использование зубной нити не только предотвращает образование зубного камня, но и снижает риск заболеваний десен.
- Полоскание рта: Используйте антисептические ополаскиватели для рта, чтобы уменьшить количество бактерий в полости рта. Это поможет предотвратить образование налета и, следовательно, зубного камня.
- Регулярные визиты к стоматологу: Посещайте стоматолога не реже двух раз в год для профессиональной чистки зубов и осмотра. Стоматолог сможет удалить зубной камень, который вы не можете удалить самостоятельно, и даст рекомендации по уходу за полостью рта.
- Сбалансированное питание: Ограничьте потребление сахара и кислых продуктов, которые способствуют образованию налета. Включите в рацион больше овощей, фруктов и молочных продуктов, которые способствуют укреплению зубов и десен.
- Отказ от курения: Курение негативно влияет на здоровье полости рта и способствует образованию зубного камня. Отказ от этой привычки поможет улучшить общее состояние зубов и десен.
- Использование средств для ухода за полостью рта: Рассмотрите возможность использования средств, содержащих ксилит, который помогает предотвратить образование зубного камня, а также жевательных резинок без сахара, которые стимулируют слюноотделение и помогают очищать зубы.
Следуя этим рекомендациям, вы сможете значительно снизить риск образования зубного камня и сохранить здоровье своей полости рта на долгие годы.
Вопрос-ответ
Что будет, если не убрать зубной камень?
Последствия зубного камня. Воспаление десен: зубной камень раздражает десны, что может привести к их воспалению, кровотечению и пародонтиту. Повреждение эмали: камень может надавливать на зубы и стирать эмаль, что делает зубы более уязвимыми для кариеса.
Почему образуется зубной камень?
Основной причиной появления зубного камня стоматологи называют несоблюдение правил гигиены полости рта. Также провоцирующим фактором становится ношение брекетов и некачественных протезов. Менее очевидной причиной является отсутствие твердой пищи, обеспечивающей естественное очищение зубов.
Как понять, что у тебя зубные камни?
Первоначальный признак зубного камня — появление коричневого ободка с внутренней стороны зубов. Далее отложения переходят на наружную поверхность эмали и коронки. Цвет наслоений постепенно темнеет, возникает зуд и кровоточивость десен. Камень прорастает в десневой карман, отодвигает десну, углубляется десневой карман.
Советы
СОВЕТ №1
Регулярно чистите зубы дважды в день с использованием зубной пасты, содержащей фтор. Это поможет предотвратить образование зубного камня, так как фтор укрепляет эмаль и снижает риск кариеса.
СОВЕТ №2
Не забывайте использовать зубную нить или межзубные щетки. Эти инструменты помогут удалить остатки пищи и налет из труднодоступных мест, что значительно снизит вероятность образования зубного камня.
СОВЕТ №3
Посещайте стоматолога не реже двух раз в год для профессиональной чистки зубов. Это позволит удалить уже образовавшийся зубной камень и предотвратить его дальнейшее накопление.
СОВЕТ №4
Сократите потребление сладких и кислых продуктов, а также напитков, таких как кофе и газировка. Эти продукты могут способствовать образованию налета и зубного камня, поэтому лучше ограничить их в своем рационе.


