Сиалоаденит, воспаление слюнной железы, — серьезное заболевание, влияющее на качество жизни. Слюнные железы важны для пищеварения, и их воспаление вызывает неприятные симптомы и осложнения. В статье рассмотрим основные симптомы сиалоаденита, его причины и методы лечения, включая эффективные домашние способы помощи. Знание этих аспектов поможет читателям распознать проблему и принять меры для ее устранения.
Общие сведения
Сиалоаденит представляет собой воспаление слюнных желез. В ротовой полости человека находятся три пары слюнных желез, которые вырабатывают слюну и выводят её в полость рта через специальные протоки, что способствует нормальному пищеварению. Эти железы включают околоушные, подчелюстные и подъязычные. Основные функции слюны заключаются в смягчении пищи и облегчении её проглатывания. При воспалении слюнных желез выработка слюны может затрудняться, что вызывает значительные неудобства во время еды. В процессе заболевания могут наблюдаться болезненные ощущения, отечность лица и другие симптомы. Если воспаление прогрессирует, возможно образование гнойной полости или опухоли. Сиалоаденит может развиваться как у детей, так и у взрослых. Поражение слюнных желез требует консультации врача и соответствующего лечения. Код сиалоаденита по МКБ-10 — K11.2.
В данной статье мы рассмотрим, как проявляются воспалительные заболевания слюнных желез и какое лечение является наиболее эффективным в таких случаях.
Врачи отмечают, что сиалоаденит, воспаление слюнной железы, может быть вызван различными факторами, включая инфекции, аутоиммунные заболевания и механические травмы. Симптомы заболевания часто включают отек, боль в области железы и затрудненное глотание. Специалисты подчеркивают важность ранней диагностики и лечения, так как запущенные случаи могут привести к серьезным осложнениям, таким как абсцессы или хронические воспалительные процессы. Врачи рекомендуют пациентам обращать внимание на гигиену полости рта и своевременно обращаться за медицинской помощью при появлении первых признаков заболевания. Лечение может включать антибиотики, противовоспалительные препараты и, в некоторых случаях, хирургическое вмешательство. Профилактика также играет ключевую роль, и врачи советуют избегать факторов риска, таких как обезвоживание и стресс.
https://youtube.com/watch?v=UtTLSa3QJa0
Патогенез
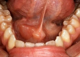
В ротовой полости человека находятся три пары крупных слюнных желез. Околоушные железы расположены под ушной раковиной спереди и являются наиболее крупными. Подчелюстные железы находятся под нижней челюстью, а подъязычные — под слизистой оболочкой дна рта с обеих сторон языка. Эти железы вырабатывают слюну, которая поступает в ротовую полость через специальные протоки. Слюна играет важную роль в процессе пищеварения, облегчая пережевывание твердой пищи.
Патологические процессы реактивно-дистрофического характера развиваются поэтапно. На первой стадии отсутствуют явные симптомы воспаления, однако наблюдается застой лимфы вокруг кровеносных сосудов и протоков. Сосуды переполняются кровью, а лимфа вблизи протоков железы застаивается, что приводит к разрыхлению соединительной ткани. Ацинусы (концевые отделы слюнной железы) остаются неповрежденными, и в них накапливаются мукополисахариды и муцин.
На второй стадии заболевания проявляются явные признаки хронического воспалительного процесса. Отмечаются атрофические изменения в концевых отделах железы, а также инфильтрация в склерозированной строме. Вокруг выводных протоков железы формируется фиброзная ткань, а в просветах протоков накапливаются лимфоциты и эпителиальные клетки.
На третьей стадии происходит почти полная атрофия паренхимы железы, которая заменяется соединительной тканью. Кровеносные сосуды расширяются, а протоки железы могут как расширяться, так и сужаться в случае сжатия соединительной тканью.
| Признак/Характеристика | Острый сиалоаденит | Хронический сиалоаденит |
|---|---|---|
| Начало заболевания | Внезапное, острое | Постепенное, рецидивирующее |
| Боль | Интенсивная, пульсирующая, усиливается при еде | Тупая, ноющая, периодическая, может отсутствовать |
| Отек | Выраженный, болезненный, локализованный | Умеренный, плотный, может быть диффузным |
| Температура тела | Повышенная (до 38-39°C и выше) | Нормальная или субфебрильная |
| Общее состояние | Ухудшение, недомогание, слабость | Удовлетворительное, периодическое ухудшение |
| Выделения из протока | Гнойные, мутные, с примесью хлопьев | Скудные, мутные, иногда с солевыми пробками |
| Пальпация железы | Резко болезненная, плотная | Умеренно болезненная, плотная, бугристая |
| Лимфатические узлы | Увеличены, болезненны | Могут быть увеличены, безболезненны |
| Осложнения | Абсцесс, флегмона, сепсис | Камни слюнных желез, фиброз, атрофия железы |
| Лечение | Антибиотики, противовоспалительные, дренирование | Консервативное, физиотерапия, при обострении — как острый |
Классификация
Учитывая особенности протекания заболевания, различают острый и хронический сиалоденит.
В зависимости от нозологической самостоятельности выделяют две формы данной болезни:
- Первичная – это самостоятельное заболевание.
- Вторичная – возникает как осложнение на фоне других заболеваний, таких как грипп, ангина и др.
По причинам возникновения болезни можно выделить:
- Травматический – результат травм и воздействия внешних факторов.
- Лучевой – вызван облучением.
- Токсический – обусловлен химическим воздействием.
- Инфекционный – развивается после внедрения инфекции.
- Аллергический.
- Аутоиммунный.
- Обструктивный – возникает из-за закупорки выводного протока инородным телом или рубцовым сужением.
В зависимости от места поражения выделяют:
- Воспаление подъязычной слюнной железы – этот воспалительный процесс также известен как сублингвит.
- Воспаление околоушной слюнной железы — в этом случае наблюдается отек щек и признаки общей интоксикации. Сиалоаденит околоушной слюнной железы также называется паротитом.
- Сиалоаденит подчелюстной слюнной железы — воспаление подчелюстной слюнной железы. При этом заболевании часто развивается калькулезный сиалоаденит, который характеризуется образованием конкрементов в протоках слюнных желез или в их паренхиме.
С учетом состояния паренхимы выделяются следующие формы заболевания:
- Интерстициальный сиалоаденит – поражается только строма.
- Паренхиматозный сиалоаденит – затрагивает как строму, так и паренхиму.
В зависимости от характера воспалительного процесса различают следующие формы сиалоаденита:
- Гнойная.
- Серозная.
- Геморрагическая.
- Соединительнотканная.
- Деструктивная.
- Гранулематозная.
- Фибропластическая.
- Сиалоаденит без деформации железы.
- Сиалоаденит с рубцеванием железы.
Также выделяют эпидемический и неэпидемический сиалоаденит.
- Эпидемическая форма заболевания возникает на фоне вирусных инфекций.
- Неэпидемическая форма диагностируется при закупорке слюнной железы, что может происходить из-за травм, слюнокаменной болезни или попадания инородных тел в протоки.
Воспаление слюнной железы, или сиалоаденит, вызывает множество обсуждений среди пациентов и врачей. Люди часто делятся своими переживаниями о болезненных ощущениях и отеке в области челюсти. Многие отмечают, что симптомы могут проявляться неожиданно, и это вызывает тревогу. Некоторые пациенты рассказывают о трудностях с глотанием и сухостью во рту, что значительно ухудшает качество жизни. Важно отметить, что многие обращаются к врачу только тогда, когда боль становится невыносимой, что может затруднить диагностику. В социальных сетях можно встретить советы по домашнему лечению, но специалисты предупреждают, что самолечение может усугубить ситуацию. В целом, люди стремятся получить больше информации о причинах и методах лечения, чтобы избежать повторения неприятного опыта.
https://youtube.com/watch?v=ileClPyMBb0
Причины
Существует несколько факторов, способствующих возникновению сиалоаденита:
- Неправильная гигиена полости рта.
- Заболевания, влияющие на состав и вязкость слюны.
- Перенесенные хирургические вмешательства.
- Инфекционные заболевания, такие как грипп, энцефалит, герпес, ОРВИ и другие.
- Заболевания ротовой полости, включая кариес, пульпит, периодонтит и прочие.
- Сухость во рту.
- Лечение с использованием химиотерапии и лучевой терапии.
- Сахарный диабет.
- Нарушения обмена минералов, приводящие к образованию камней.
Эпидемическая форма заболевания возникает в результате инфекционных процессов. Наиболее часто она развивается при паротите (свинке), вирус которого передается от инфицированных людей через воздух.
Неэпидемическая форма, как правило, связана с блокировкой слюнных желез. Это может происходить из-за травм или попадания инородных тел. Кроме того, причиной этой формы болезни может быть слюннокаменная болезнь ( сиалолитиаз). Если у пациента развивается сиалолитиаз в подчелюстной слюнной железе, образовавшиеся камни могут перекрывать протоки.
Симптомы воспаления слюнной железы
Признаки воспалительного процесса зависят от места его локализации.
При развитии подчелюстного сиалоаденита можно наблюдать следующие симптомы:
- Боль в области поднижнечелюстной железы, усиливающаяся при жевании.
- Увеличение отечности в районе слюнной железы.
- Повышение температуры тела.
- Вкус соли или гноя во рту.
- Отек лица.
- Покраснение и отечность в ротовой полости.
Если возникает сиалоаденит подъязычной слюнной железы, симптомы будут схожи. Устье протоков железы может покраснеть и отекать. Болевые ощущения могут быть более выраженными, чем при подчелюстном сиалоадените.
При околоушном сиалоадените симптомы становятся более заметными. Наблюдается значительная отечность и асимметрия лица, покраснение кожи. Пациента может беспокоить сухость во рту. Боль усиливается при пальпации пораженной области. Температура тела повышается, общее состояние ухудшается. Возможна одышка. При пальпации околоушной слюнной железы выделяется мутная слюна с примесью гноя.
Симптомы слюннокаменной болезни могут проявляться аналогично. Пациент испытывает болезненные ощущения и сухость во рту, ему трудно открывать и закрывать рот.
https://youtube.com/watch?v=aZq0mCQfpkU
Анализы и диагностика сиалоаденита
Диагностика сиалоаденита осуществляется с использованием клинических, аппаратных и лабораторных методов.
Клинические методы заключаются в сборе жалоб и анамнеза пациента. Врач также проводит визуальный осмотр.
Лабораторные исследования включают общий анализ крови и мочи, а также биохимический анализ крови. Дополнительно анализируется слюна, в которой при наличии воспалительного процесса можно обнаружить лейкоциты и гнойные примеси.
Аппаратные методы диагностики заболеваний слюнных желез в первую очередь включают сиалографию с контрастированием, что позволяет получить рентгеновский снимок железы. Это исследование помогает выявить наличие камней, сужение выводного протока и другие препятствия, мешающие нормальному выделению слюны.
Компьютерная томография (КТ) и магнитно-резонансная томография (МРТ) целесообразны при подозрении на наличие камней.
Ультразвуковое исследование (УЗИ) позволяет оценить структуру железы и особенности воспалительного процесса.
Термосиалография используется для измерения температуры железы.
Биопсия слюнной железы выполняется под контролем ультразвука.
Сиалоэндоскопия.
Лечение воспаления слюнной железы
Сиалоаденит подчелюстной слюнной железы может лечиться как в условиях стационара, так и в домашних условиях. В зависимости от ситуации применяются как консервативные методы, так и хирургическое вмешательство. Выбор подходящей стратегии лечения должен осуществляться врачом после постановки диагноза.
Лекарства
Эритромицин, Пенициллин, Фурацилин, Димексид, Новокаин, Парацетамол, Ибупрофен
Лечение воспаления слюнных желез может проводиться как в домашних условиях, так и в стационаре, с использованием следующих медикаментов:
- Антибиотики – такие как Эритромицин, Пенициллин, Цефалоридин и другие. Эти препараты назначаются в случае, если воспаление вызвано бактериальной инфекцией.
- Для восстановления клеточных мембран рекомендуется использовать Альфа-токоферол.
- Антисептические средства – применяются для полоскания рта. К ним относятся Фурацилин, Хлоргексидин и другие.
- Компрессы – на воспаленные участки накладывают компрессы с Димексидом.
- При необходимости выполняется блокада с использованием Новокаина, что способствует стимуляции слюноотделения. Также могут применяться другие препараты для улучшения выделения слюны.
- Для облегчения болевого синдрома и снижения температуры применяются Парацетамол и Ибупрофен.
- В некоторых случаях могут быть назначены средства для укрепления иммунной системы – такие как сироп шиповника, настойка эхинацеи и другие.
Процедуры и операции
Физиотерапевтические процедуры являются эффективным способом лечения.
- Электрофорез на область слюнной железы может проводиться с использованием 1% раствора лизоцима или 1% раствора аскорбиновой кислоты.
- Лазерная терапия применяется для улучшения кровообращения, рекомендуется использовать лазер внутри протока.
- УВЧ-терапия помогает уменьшить воспаление и ускоряет процесс выздоровления.
- Гирудотерапия способствует восстановлению организма и повышению иммунной защиты.
Лечение слюннокаменной болезни включает хирургические методы. В случае диагностики сиалолитиаза, удаление камней может быть выполнено амбулаторно. Процедура осуществляется под местной анестезией, после чего следует антисептическая обработка. В некоторых случаях требуется дальнейшее расширение и промывание протока.
При частых рецидивах заболевания может возникнуть необходимость в удалении пораженной слюнной железы.
Помимо медикаментозного лечения и процедур, важным аспектом терапии является соблюдение гигиенических норм в ротовой полости. Зубы рекомендуется чистить после каждого приема пищи.
Питание должно быть тщательным: еду следует жевать медленно и маленькими кусочками. Температура пищи не должна быть слишком высокой или низкой.
Лечение народными средствами
Народные методы лечения следует использовать исключительно в качестве дополнения к основным терапевтическим мерам. Рассмотрим несколько эффективных способов народного лечения:
- Полоскание рта – для этой процедуры можно использовать раствор соли и соды (на 1 стакан воды по 1 чайной ложке соли и соды). Также полезно полоскать рот настоями трав, таких как шалфей, дубовая кора, календула и ромашка. Чтобы приготовить настой для полоскания, необходимо 2 столовые ложки трав залить 3 литрами кипятка. Дайте настояться в течение часа и используйте для полоскания несколько раз в день. Однако при наличии гнойных процессов полоскание не рекомендуется.
- Для повышения слюноотделения полезно употреблять лимонный сок, клюквенный морс или жевательные конфеты.
- 5 столовых ложек хвои следует залить 1 литром воды, довести до кипения, настоять и принимать дважды в день по 50 мл.
Профилактика
Для предотвращения возникновения сиалоаденита важно следовать ряду профилактических рекомендаций:
- Избегать курения.
- Соблюдать правила гигиены полости рта.
- Обращаться к врачу при любых заболеваниях ротовой полости, включая инфекционные и воспалительные процессы.
- Вести активный и здоровый образ жизни.
- Сбалансированно питаться, включая в рацион больше полезных продуктов.
- Поддерживать иммунную систему.
У детей
Воспаление слюнных желез у детей может возникать из-за вирусной или бактериальной инфекции. Например, паротит, известный как свинка, часто встречается у детей. Кроме того, причиной воспалительного процесса в слюнных железах может быть сиалолитиаз. Крайне важно, чтобы ребенка как можно скорее осмотрел специалист, который сможет назначить адекватное лечение. Родителям следует обратить внимание на то, чтобы ребенок придерживался правил гигиены полости рта и правильно питался.
Диета
Диета для повышения иммунитета
- Эффективность: лечебный результат через 3 недели
- Сроки: от 1 до 3 месяцев и более
- Стоимость продуктов: 1600-1800 рублей в неделю
Во время лечения важно следить за питанием, чтобы поддержать иммунную систему. В некоторых случаях врачи рекомендуют соблюдать так называемую слюногонную диету. Однако при наличии калькулезного сиалоаденита необходимо обязательно удалить камни механическим способом, так как изменение рациона не приведет к выздоровлению от этого вида заболевания.
Слюногонная диета включает в себя такие продукты:
- Квашеная капуста, кислые ягодные морсы, лимонный сок, соленья.
- Цитрусовые фрукты.
- Кислые леденцы.
- Свежие овощи.
- Соки из капусты и моркови.
- Отвар шиповника.
Из рациона следует исключить продукты, способствующие образованию камней:
- Сыры и творог.
- Тофу.
- Миндаль и кунжут.
- Рыба.
- Молоко.
Последствия и осложнения
Если не начать лечение болезни своевременно, могут возникнуть следующие осложнения:
- Воспалительные заболевания ротовой полости.
- Гнойные инфекции.
- Паротит.
- Тромбофлебит.
- Сращение стенок слюнной железы.
- Появление доброкачественных опухолей в слюнной железе.
- Медиастинит.
Прогноз
Прогноз положительный. После завершения лечения пациент восстанавливается. Тем не менее, существует вероятность возникновения рецидивов заболевания.
Список источников
- Борисов В. В. Исследование и терапия сиалоаденитов // Медицина и фармакология: современный взгляд на актуальные проблемы. — 2016. — С. 88-94.
- Болезни и травмы слюнных желез / И.Ф. Ромачева и др. — М., 1987. — 238 с.
- Рузин Г. П. Краткий курс лекций по хирургической стоматологии и челюстно-лицевой хирургии / Геннадий Петрович Рузин. — К. : «Книга плюс», 2006. — 231 с.
Советы по уходу за полостью рта при сиалоадените
Сиалоаденит, или воспаление слюнной железы, может значительно повлиять на качество жизни пациента, вызывая дискомфорт и боль. Правильный уход за полостью рта в этот период играет важную роль в облегчении симптомов и предотвращении осложнений. Ниже представлены рекомендации, которые помогут поддерживать здоровье полости рта при наличии сиалоаденита.
1. Поддержание гигиены полости рта
Регулярная и тщательная гигиена полости рта является основой профилактики инфекций и воспалений. Рекомендуется:
- Чистить зубы не менее дважды в день с использованием мягкой зубной щетки и фторсодержащей пасты.
- Использовать зубную нить или межзубные щетки для удаления остатков пищи из межзубных пространств.
- Полоскать рот антисептическими растворами, чтобы уменьшить количество бактерий в полости рта.
2. Увлажнение полости рта
При сиалоадените может наблюдаться сухость во рту, что усугубляет дискомфорт. Для борьбы с этим состоянием рекомендуется:
- Пить достаточное количество воды в течение дня, чтобы поддерживать уровень увлажненности.
- Использовать увлажняющие спреи для полости рта или специальные жевательные резинки без сахара, которые стимулируют слюноотделение.
- Избегать употребления алкоголя и кофеина, так как они могут способствовать обезвоживанию.
3. Правильное питание
Питание играет важную роль в процессе восстановления. Рекомендуется:
- Употреблять мягкую и легко усваиваемую пищу, чтобы избежать травмирования воспаленных участков.
- Избегать острых, кислых и слишком горячих блюд, которые могут раздражать слизистую оболочку рта.
- Включать в рацион продукты, богатые витаминами и минералами, особенно витамином C, который способствует заживлению тканей.
4. Избегание раздражающих факторов
Важно минимизировать воздействие факторов, которые могут усугубить воспаление. Рекомендуется:
- Отказаться от курения и избегать пассивного курения, так как табачный дым может ухудшить состояние слизистой.
- Сократить потребление сладостей и углеводов, которые могут способствовать росту бактерий в полости рта.
- Избегать стрессовых ситуаций, так как стресс может негативно сказаться на иммунной системе и замедлить процесс выздоровления.
5. Регулярные визиты к стоматологу
Регулярные осмотры у стоматолога помогут контролировать состояние полости рта и выявлять возможные осложнения на ранних стадиях. Рекомендуется:
- Посещать стоматолога не реже одного раза в полгода для профилактических осмотров и профессиональной чистки зубов.
- Сообщать врачу о любых изменениях в состоянии полости рта, таких как увеличение боли, отек или изменение вкусовых ощущений.
Следуя данным рекомендациям, пациенты с сиалоаденитом могут значительно улучшить свое состояние и ускорить процесс выздоровления. Забота о полости рта в этот период является важным аспектом комплексного подхода к лечению и профилактике заболеваний слюнных желез.
Вопрос-ответ
Какая бактерия вызывает сиалоаденит?
Чаще всего сиалоаденит вызывается Staphylococcus aureus, иногда высевается стрептококк, кишечная палочка и другая анаэробная флора. Воспаление околоушных желез также может развиться у пациентов, перенесших лучевую терапию полости рта или лечение рака щитовидной железы радиоактивным йодом.
Чем опасен сиалоаденит?
Чем опасен сиалоаденит? Обширное гнойное воспаление в челюстно-лицевой зоне представляет серьезную угрозу, поскольку инфекция может распространяться на околозубные ткани, гайморовы пазухи и другие отделы. Длительное воспаление зачастую осложняется рубцеванием выводных протоков, что вызывает ксеростомию.
Советы
СОВЕТ №1
Обратите внимание на гигиену полости рта. Регулярная чистка зубов и использование антисептических ополаскивателей помогут предотвратить инфекции, которые могут привести к воспалению слюнных желез.
СОВЕТ №2
Увлажняйте слизистую оболочку рта. Пейте достаточное количество воды и используйте специальные увлажняющие гели или спреи для рта, особенно если у вас есть проблемы с сухостью во рту.
СОВЕТ №3
Следите за своим питанием. Включите в рацион продукты, богатые витаминами и минералами, особенно витамином C, который поддерживает иммунную систему и здоровье слюнных желез.
СОВЕТ №4
При первых признаках воспаления, таких как боль или отек в области челюсти, обратитесь к врачу. Раннее обращение за медицинской помощью поможет избежать осложнений и ускорит процесс выздоровления.


