Туберкулез легких — распространенное инфекционное заболевание, представляющее серьезную угрозу для здоровья. Это хроническое заболевание, вызванное микобактериями, может протекать бессимптомно на ранних стадиях, что затрудняет диагностику и лечение. В статье рассмотрим основные симптомы туберкулеза легких, а также методы его диагностики и лечения, что поможет читателям обратиться за медицинской помощью.
Патогенез
Туберкулез легких у взрослых возникает, когда возбудители попадают в дыхательные пути через капли мокроты и слюны инфицированного человека или через частицы пыли, в которых микобактерии могут сохраняться до пяти месяцев. Проникнув в легкие, они вызывают повреждение тканей, воспалительные процессы и пролиферацию, что приводит к образованию туберкулезной гранулемы (очага первичной инфекции): творожистый некроз с накоплением эпителиоидных клеток в центре, окруженный лимфоцитами и гигантскими клетками Пирогова-Лангханса снаружи.
Инфекция, исходящая из первичного инфильтрата в легких, распространяется по лимфатическим сосудам в лимфатические узлы. При активной форме туберкулеза казеозно измененные внутригрудные лимфоузлы становятся источником распространения микобактерий и могут привести к диссеминированному туберкулезу. Микобактерии из лимфоузлов проникают в кровеносные сосуды и легкие. При гематогенной диссеминации очаги инфекции возникают в обоих легких. В случае гематогенного диссеминированного туберкулеза в легких обнаруживаются мелкие, множественные очаги, размером с просяное зерно ( милиарный туберкулез).
Кавернозная форма туберкулеза представляет собой стадию распада очагового, инфильтративного или диссеминированного туберкулеза. В воспалительном очаге казеозные массы под действием ферментов становятся жидкими и отторгаются через бронхи, а образовавшаяся полость заполняется воздухом или жидкостью, если дренаж бронха нарушен. При отсутствии или недостаточном лечении кавернозная форма может перейти в фиброзно-кавернозный туберкулез, при котором стенки каверны фиброзируются и отделяются от окружающих тканей легких.
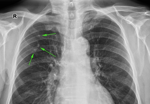
Согласно статистике, туберкулез правого легкого встречается чаще, что связано с анатомическими и физиологическими особенностями органа дыхания: правое легкое более короткое и широкое, главный бронх длиннее и делится на три ветви. Наличие трех долей в правом легком подчеркивает его важность для дыхания и газообмена, что делает его более уязвимым к инфекциям.
Врачи подчеркивают, что туберкулез легких остается одной из серьезных проблем общественного здравоохранения. Несмотря на достижения медицины, заболеваемость не снижается, особенно в регионах с низким уровнем жизни. Специалисты отмечают, что ранняя диагностика и адекватное лечение играют ключевую роль в борьбе с этой болезнью. Они акцентируют внимание на важности регулярных обследований, особенно для групп риска. Врачи также предупреждают о необходимости повышения осведомленности населения о симптомах туберкулеза, таких как длительный кашель, потеря веса и ночные поты. Профилактика, включая вакцинацию и контроль за распространением инфекции, остается важной задачей для снижения заболеваемости.
https://youtube.com/watch?v=DJ9Q3VHE5VM
Классификация
Клинические формы туберкулеза:
- Первичный туберкулезный комплекс — это начальная стадия заболевания, при которой в легких возникают воспалительные изменения, а также поражаются лимфатические узлы в грудной области.
- Очаговый туберкулез легких — характеризуется наличием ограниченного очага размером до 1 см в одном или нескольких сегментах легкого. Воспалительный процесс может быть продуктивным (преобладающим), экссудативным или казеозным. Существует две формы: мягкоочаговая и фиброзноочаговая. Мягкоочаговая форма на рентгене выглядит как свежие, «мягкие» тени, что указывает на активное заболевание.
- Казеозная пневмония — это состояние, при котором наблюдается казеозно-некротическое воспаление в пределах доли легкого. Для этой формы характерны тяжелое состояние пациента, интоксикация и выделение бактерий.
- Инфильтративный туберкулез легких — проявляется образованием туберкулезных образований размером более 1 см, где преобладает экссудативное воспаление с некрозом. Это состояние быстро прогрессирует и может привести к разрушению легочной ткани с обсеменением. Рентгенологическая картина может варьироваться: от округлых слабоинтенсивных теней до нечетких облаков, а также вовлечения всей доли легкого или образования больших теней с междолевыми перегородками.
- Диссеминированный туберкулез легких — характеризуется множественными очагами, возникающими в результате распространения микобактерий по легким различными путями (гематогенным, лимфогенным и смешанным). Эта форма чаще встречается у пожилых людей с ослабленным иммунитетом (например, при приеме иммунодепрессантов или наличии ВИЧ/СПИДа). У детей и подростков она встречается редко. В остром гематогенном диссеминированном туберкулезе в легких образуются мелкие очаги, напоминающие просяное зерно — это милиарный туберкулез. Диссеминированный туберкулез может быть острым, подострым или хроническим. Хроническая форма развивается при многократной диссеминации у пациентов, которые не получили адекватного лечения. На рентгене могут быть видны как свежие, так и кальцинированные очаги, а также каверны с тонкой стенкой.
- Кавернозный туберкулез — возникает при слиянии мелких и средних очагов, что приводит к образованию каверн с тонкими стенками и без выраженного фиброза. Чаще всего каверны располагаются симметрично в верхних долях обоих легких. При отсутствии или недостаточном лечении эта форма может перейти в фиброзно-кавернозную, где наблюдается выраженный фиброз легочной ткани и стенок каверн.
- Фиброзно-кавернозный туберкулез — это хроническая форма заболевания, при которой в легких образуются фиброзные каверны. Она отличается устойчивостью к лечению, а пациенты становятся резервуарами и источниками инфекции. Заболевание может длиться от 5 до 10 лет с периодами обострений и ремиссий, при этом периодически выделяются микобактерии. У некоторых пациентов наблюдается прогрессирующее течение с осложнениями, такими как кровохарканье, казеозная пневмония, легочное кровотечение, пневмоторакс и эмпиема плевры. Фиброзный туберкулез может протекать без каверн, приводя к пневмосклерозу, эмфиземе и бронхоэктазам.
- Туберкулема — это округлое образование размером от 1 см и более, состоящее из казеозных масс и окруженное капсулой. Туберкулемы считаются следствием перенесенной инфильтративной формы. Они могут быть как одиночными, так и множественными, образуя конгломераты и слоистые структуры, поскольку каждое обострение заканчивается образованием капсулы. Клинически туберкулемы могут иметь стабильное течение без признаков реактивации в течение нескольких лет или проявляться обострениями, когда вокруг образуется новая зона воспаления.
- Цирротический туберкулез — это последняя стадия заболевания, при которой легочная ткань почти полностью замещается соединительной.
Стадии туберкулеза:
- Первичное инфицирование — это период, когда микобактерии проникают в организм и вызывают повреждение тканей. В месте размножения бактерий развивается специфическое воспаление с активацией иммунного ответа (клеточного и гуморального). В процесс вовлекаются лимфатические узлы, формируя первичный туберкулезный комплекс. При ослабленном иммунитете и неблагоприятных условиях жизни, а также плохом питании первичное инфицирование может перейти в активную форму.
- Латентное течение — воспаление исчезает, очаг рассасывается и кальцинируется. Этот вариант возможен при сильном иммунном ответе.
- Активная форма — возбудитель остается в организме и периодически активируется.
Фазы процесса:
- Инфильтрация, распад, обсеменение.
- Рассасывание, рубцевание и обызвествление.
| Аспект | Описание | Важность |
|---|---|---|
| Возбудитель | Mycobacterium tuberculosis (палочка Коха) | Крайне высокая, определяет специфику диагностики и лечения |
| Пути передачи | Воздушно-капельный (при кашле, чихании, разговоре) | Высокая, обуславливает меры профилактики и изоляции |
| Факторы риска | Снижение иммунитета (ВИЧ, диабет), недоедание, скученность, курение | Высокая, позволяет выявлять группы риска и проводить скрининг |
| Симптомы | Кашель (более 3 недель), лихорадка, ночная потливость, потеря веса, слабость | Высокая, указывает на необходимость обращения к врачу и обследования |
| Диагностика | Рентген легких, микроскопия мокроты, ПЦР, Диаскинтест/Манту | Крайне высокая, позволяет подтвердить диагноз и начать лечение |
| Лечение | Длительный курс антибиотиков (изониазид, рифампицин, пиразинамид, этамбутол) | Крайне высокая, обеспечивает излечение и предотвращает распространение |
| Профилактика | Вакцинация БЦЖ, своевременное выявление и лечение, улучшение жилищных условий | Высокая, направлена на снижение заболеваемости и смертности |
| Осложнения | Легочное кровотечение, пневмоторакс, дыхательная недостаточность, туберкулез других органов | Высокая, могут привести к инвалидности или смерти |
| Устойчивость к препаратам | Развитие резистентности к антибиотикам | Крайне высокая, требует применения резервных препаратов и усложняет лечение |
Причины туберкулеза легких
Возбудителем заболевания является микобактерия туберкулеза (Mycobacterium tuberculosis), которая является причиной большинства случаев этой болезни. Данная микобактерия представляет собой крупную палочковидную бактерию, не образующую спор и не выделяющую экзотоксины. Среди возбудителей выделяются как «старые», так и «новые» штаммы, одним из которых является M. tuberculosis кластера Beijing, наиболее распространенный в России. Микобактерии этого кластера отличаются высокой контагиозностью и способностью быстро развивать устойчивость к лекарственным препаратам. Они обладают высокой устойчивостью к различным условиям окружающей среды: могут выдерживать низкие температуры, нагревание до 80-90 °C, а также высушивание и многие химические дезинфектанты.
Туберкулез легких — это заболевание, о котором многие говорят с опаской и настороженностью. Люди часто ассоциируют его с чем-то опасным и неизлечимым, что порождает страх и стигматизацию. В общественном сознании укоренилось мнение, что туберкулез — это болезнь бедных, что приводит к предвзятости и изоляции заболевших. Однако, несмотря на распространенные мифы, важно понимать, что туберкулез можно лечить, и многие пациенты успешно справляются с этой болезнью. В последние годы растет осведомленность о важности профилактики и ранней диагностики, что помогает разрушать стереотипы. Люди начинают говорить о туберкулезе как о проблеме общественного здоровья, требующей внимания и поддержки, а не осуждения. Это изменение в восприятии может сыграть ключевую роль в борьбе с заболеванием и улучшении качества жизни тех, кто с ним сталкивается.
https://youtube.com/watch?v=ZcRSypAx1-o
Каким путем передается туберкулез легких?
Существует несколько способов передачи инфекции:
-
Основной — воздушно-капельный. При кашле, чихании или даже разговоре инфицированный человек выделяет с мокротой микобактерии. Крупные капли оседают и, высыхая, попадают в воздух, откуда могут быть inhalированы здоровыми людьми. Мелкие капли могут оставаться в воздухе до 2-3 часов, что также увеличивает риск заражения.
-
Воздушно-пылевой. Микобактерии могут долго сохраняться и накапливаться в домашней пыли или в помещениях, где находится больной. Чтобы минимизировать риск передачи инфекции, необходимо ежедневно проводить влажную уборку полов и всех поверхностей с использованием дезинфицирующих средств.
-
Алиментарный. Возбудитель может содержаться в молоке и мясе животных, страдающих туберкулезом. При недостаточной термической обработке этих продуктов возможно заражение, что приводит к поражению лимфоузлов пищеварительной системы.
-
Контактный. Микобактерии могут оседать на предметах в помещениях, где находится больной — на столах, стульях, мягкой мебели, коврах, книгах и игрушках. Для предотвращения передачи инфекции важно регулярно очищать поверхности с дезинфицирующими средствами и убирать мягкие предметы, которые нельзя продезинфицировать.
-
Внутриутробный путь. Этот способ передачи встречается крайне редко. Заражение плода происходит через инфицированную плаценту и пуповину, что приводит к гематогенному распространению инфекции.
Симптомы туберкулеза
Данное заболевание имеет постепенное начало. За несколько недель или месяцев до появления явных симптомов можно заметить ранние проявления: слабость, потливость, уменьшение аппетита и потерю веса.
Основные признаки у взрослых:
Клиническая картина инфильтративной формы зависит от размеров инфильтрата. Лобулярный инфильтрат может протекать без выраженных симптомов или с минимальными проявлениями. В других случаях заболевание проявляется как пневмония, сопровождающаяся кашлем, интоксикацией, одышкой и редко — кровохарканьем. Бронхолегочные симптомы при туберкуломе обычно отсутствуют, однако может наблюдаться легкая интоксикация: незначительная температура, потливость по ночам, повышенная утомляемость в течение дня и снижение работоспособности. Признаки туберкулеза легких, такие как кровохарканье или легочное кровотечение, чаще встречаются при кавернозной и фиброзно-кавернозной формах заболевания.
Продолжительность болезни влияет на форму грудной клетки. Она может деформироваться, грудная стенка уплощается, промежутки между ребрами сужаются, а сама грудная клетка становится асимметричной. При пальпации исследуются лимфатические узлы. При перкуссии можно обнаружить притупление перкуторного звука в случае наличия плеврита или инфильтрации легочной ткани, а тимпанический звук — при пневмотораксе, эмфиземе или крупных полостях, заполненных воздухом. На начальных стадиях аускультации изменения могут быть незначительными, но с прогрессированием заболевания они усиливаются: ослабленное дыхание, влажные или сухие хрипы.
https://youtube.com/watch?v=jfq5imhL_oE
Анализы и диагностика
Существует два ключевых понятия: «выявление» и «диагностика». Выявление включает в себя такие процедуры, как флюорография, туберкулинодиагностика, микроскопия мазка мокроты, а также сбор жалоб и анамнеза у людей из группы риска (например, неблагополучные семьи, асоциальные элементы, лица, вернувшиеся из мест лишения свободы). Эти методы помогают заподозрить наличие заболевания.
Диагностика туберкулеза представляет собой более глубокое обследование пациентов, у которых есть подозрение на болезнь. Сочетание клинических, рентгенологических, инструментальных и микробиологических методов позволяет подтвердить или опровергнуть диагноз. Окончательное решение о диагнозе принимает фтизиатр, который собирает информацию о жалобах и изучает анамнез жизни и болезни пациента. Он уточняет условия жизни, питание, контакт с больными туберкулезом, характер работы, наличие вредных привычек и сопутствующих заболеваний, а также назначает дополнительные исследования.
- Клинический анализ крови — при активном воспалительном процессе наблюдается увеличение числа лейкоцитов, повышение СОЭ и палочко-ядерный сдвиг влево.
- Протеинограмма — снижение уровня альбуминов и увеличение α- и γ-глобулинов указывает на активность воспалительного процесса.
- Микроскопия мазков мокроты после окрашивания — это распространенный метод микробиологической диагностики, однако он не отличается высокой чувствительностью, так как позволяет выявить заболевание только при значительном выделении микобактерий. Мокроту необходимо сдавать несколько раз, а достоверность результатов зависит от правильности сбора образцов, квалификации лаборантов и качества лабораторного оборудования.
- Культуральный метод — это посев мокроты на специальные среды. Этот метод более чувствителен по сравнению с микроскопией, но для получения результата требуется длительное время — рост микобактерий занимает около 2,5 месяцев. Поэтому данный метод не подходит для ранней диагностики.
- Лучевые методы — рентгенография и томография являются основными при диагностике. Легкие пациентов с туберкулезом демонстрируют наличие очаговых, деструктивных и инфильтративных изменений, плевральный выпот и асимметричное увеличение корней. Очаги могут находиться не только в верхней доле (классический случай), но также затрагивать среднюю и нижнюю доли легкого. Подострая диссеминация проявляется множественными двусторонними очагами, которые чаще всего располагаются в верхних отделах и имеют тенденцию к слиянию. Эти очаги обычно сопровождаются перифокальной инфильтрацией. Однако рентгенологические признаки могут быть неспецифичными: при длительном течении туберкулеза могут развиваться пневмофиброз, бронхоэктазы и эмфизема, что усложняет диагностику. Наличие остаточных изменений в виде кальцинированных очагов может указывать на перенесенный туберкулез, и в таких случаях пациента направляют на более детальное обследование — компьютерную томографию.
- Компьютерная томография легких — это исследование, которое позволяет более детально оценить протяженность, плотность и структуру очагов. Трехмерные изображения предоставляют больше информации, чем рентгенография.
- Фибробронхоскопия — у 30-40% пациентов дополнительно выявляется туберкулез бронхов (инфильтративные и язвенные поражения слизистой). Во время бронхоскопии также выполняются биопсия и смыв из бронхов.
- Спирография — исследование функции внешнего дыхания. При различных формах туберкулеза часто наблюдается рестриктивный тип нарушений внешнего дыхания. При наличии бронхообструктивного синдрома, который может сопутствовать основному заболеванию, характерны обструктивные нарушения.
- Иммунодиагностика — проба Манту (введение подкожно Туберкулина для определения антител к микобактериям) проводится ежегодно до 7 лет. Она позволяет оценить состояние противотуберкулезного иммунитета после вакцинации БЦЖ, сделанной в роддоме, или после инфицирования. О возможном инфицировании может свидетельствовать вираж пробы — появление положительной реакции (папула более 5 мм) после ранее отрицательных результатов или усиление предыдущей реакции на 6 мм. Диаскинтест проводится ежегодно с 8 до 17 лет. Он положителен у лиц, инфицированных микобактерией. Наиболее точным является метод T-SPOT — его чувствительность достигает 99%, что позволяет выявить даже скрытую инфекцию.
- ПЦР — метод, позволяющий обнаружить ДНК микобактерий в мокроте за 1-2 дня. Он отличается высокой чувствительностью и специфичностью.
- Электрокардиография — у пациентов выявляются снижение вольтажа, экстрасистолия, синусовая тахикардия, гипертрофия правых отделов сердца.
Лечение туберкулеза легких
Лечение туберкулеза зависит от его формы, степени тяжести и наличия бактериовыделения. Оно может осуществляться амбулаторно, в дневном стационаре, санатории или в круглосуточном противотуберкулезном стационаре. Госпитализация требуется в следующих случаях:
- обнаружение микобактерий, независимо от других факторов;
- наличие осложнений ( кровохарканье, кровотечение, легочно-сердечная недостаточность, пневмоторакс);
- среднетяжелое и тяжелое течение заболевания;
- возникновение серьезных побочных эффектов от лечения.
Ключевым элементом терапии является химиотерапия, которая проводится на протяжении длительного времени с использованием комбинаций нескольких препаратов. Устойчивость возбудителя к лекарствам требует применения сложных схем лечения. Существует пять режимов химиотерапии, которые назначаются с учетом индивидуальной чувствительности микобактерий к лекарственным средствам.
Для определения чувствительности микобактерий к Изониазиду и Рифампицину, которые относятся к средствам первого ряда, а также к фторхинолонам, проводятся молекулярно-биологические исследования, выявляющие мутации ДНК. Кроме того, выполняется культуральный тест чувствительности, который охватывает широкий спектр препаратов, включая Стрептомицин, Этамбутол, Левофлоксацин, Пиразинамид, Канамицин, Моксифлоксацин, Амикацин, Этионамид, Бедаквилин, Протионамид и другие.
Химиотерапия делится на два этапа:
- Интенсивная терапия — на этом этапе лечение направлено на максимальное уничтожение возбудителя, уменьшение легочных изменений, устранение симптомов и прекращение бактериовыделения. Этот этап также может служить подготовкой к хирургическому вмешательству.
- Продолжение лечения — на этом этапе подавляется оставшаяся популяция возбудителей, что способствует дальнейшему уменьшению воспалительных процессов и туберкулезной активности.
При лекарственно-чувствительной форме заболевания в течение 6-7 месяцев назначаются: Изониазид, Рифампицин, Этамбутол/Комбутол, Пиразинамид/Линамид.
В фазе интенсивного лечения используются сразу 4 препарата в течение 2-3 месяцев, а на этапе продолжения — 3 препарата на протяжении 4-5 месяцев.
Если наблюдается устойчивость к основным препаратам, назначаются резервные средства: Левофлоксацин, Моксифлоксацин, Линезолид, Бедаквилин, Циклосерин, Деламанид, Меропенем, Амикацин, Стрептомицин, Спарфлоксацин, Клофазимин, Этионамид, Имипенем.
Химиотерапия может проводиться до операции или в сочетании с ней.
Лекарства
Изониазид, Рифампицин, Рифабутин, Пиразинамид, Этамбутол, Спарфлоксацин, Стрептомицин, Канамицин, Амикацин, Левофлоксацин, Меропенем, Циклосерин.
Процедуры и операции
Оперативное вмешательство осуществляется в тех случаях, когда химиотерапия не дает ожидаемого результата. Основные показания для проведения операции включают:
- туберкулему размером более 3 см;
- наличие каверн;
- возникновение осложнений ( кровотечения, эмпиемы, пневмоторакса, бронхиального свища);
- фиброзно-кавернозную форму заболевания.
В течение первых 2-3 месяцев после начала терапии определяется необходимость хирургического вмешательства. Если возникают легочные кровотечения или наблюдается ухудшение казеозной пневмонии, операцию могут провести раньше установленного срока. В зависимости от типа и распространенности заболевания применяются следующие методы:
- Резекция легких — наиболее распространенный метод. Это могут быть краевые или сегментарные резекции. При обширном процессе выполняется лобэктомия, мультисегментарная резекция или двусторонняя резекция. Полное удаление легкого показано при тотальном поражении.
- Торакопластика — применяется в случаях, когда резекция противопоказана.
- Операции на каверне — кавернопластика, дренирование, кавернотомия.
- Экстраплевральная пломбировка.
- Плеврэктомия — удаление плевры одного из легких.
- Декортикация легкого — освобождение легкого от плевральных наложений.
- Дренирование плевральной полости — выполняется при пневмотораксе и эмпиеме плевры.
- Коллапсотерапия — создание искусственного пневмоторакса путем введения газа в плевральную полость для частичного спадения легкого. Управляемый коллапс способствует образованию рубцов на деструктивных участках. Данный метод лечения продолжается 1,5 года, в течение которых газ периодически подкачивается с помощью специального аппарата. Этот подход используется при кавернах, казеозной пневмонии, цирротическом туберкулезе и адгезивном плеврите.
Туберкулез у детей
У детей первичное туберкулезное поражение наблюдается чаще всего. В этой категории наибольшее распространение имеет туберкулез внутригрудных лимфоузлов, который составляет 75-80% случаев, а также первичный туберкулезный комплекс. Первичные формы заболевания у детей, как правило, протекают довольно благоприятно и зачастую бессимптомно.
Диагностика туберкулеза осуществляется с помощью иммунодиагностических тестов. Раннее выявление возможно благодаря туберкулиновым пробам и диаскинтесту. Результаты туберкулиновой пробы Манту анализируются через 48-72 часа, что позволяет получить информацию о состоянии противотуберкулезного иммунитета или наличии инфекции. Отрицательный или сомнительный результат указывает на отсутствие инфицирования или серьезное угнетение иммунной системы. Папула размером более 17 мм свидетельствует о наличии заболевания. Переход от отрицательного результата к положительному при папуле 10 мм также указывает на инфицирование.
Дети младшего возраста чаще всего заболевают после контакта с инфицированным. Симптоматика включает: повышение температуры (как постоянное, так и периодическое), снижение активности, потерю веса, ночную потливость, боль в грудной клетке, кашель, продолжающийся более 3 недель, а также одышку при распространенном процессе. Поскольку бактериовыделение наблюдается лишь у 5-6% детей, определить чувствительность микобактерий к лекарственным препаратам затруднительно. Тем не менее, в 80% случаев спектр препаратов совпадает с тем, что используется для лечения больного, от которого произошло заражение ребенка. Этот аспект учитывается при назначении химиотерапии. Устойчивость микобактерий к препаратам также можно выявить с помощью молекулярно-генетических методов, а микобактерии могут быть выделены из кала (так как дети могут проглатывать мокроту).
Продолжительность интенсивной фазы лечения варьируется от 3 до 8 месяцев, а общий курс терапии может составлять 15-18 месяцев. Дети с туберкуломами и оставшимися после лечения кавернами подлежат хирургическому вмешательству.
Диета при туберкулезе
Диета при туберкулезе легких
- Эффективность: отсутствуют данные
- Сроки: отсутствуют данные
- Стоимость продуктов: 1900-2000 руб. в неделю
Диета для пациентов с туберкулезом легких направлена на укрепление иммунной системы и повышение устойчивости к болезни. Рекомендуемая суточная калорийность составляет 3000-3500 калорий, что достигается за счет увеличения потребления белков, жиров и углеводов: 60% калорий должны поступать из белков животного происхождения, а 30% — из растительных жиров.
В ежедневном рационе обязательно должны присутствовать: говядина, куриное мясо, рыба, молочные продукты, яйца, а также растительное и сливочное масла. Витамины и минералы пациент получает из свежих сезонных фруктов и ягод, орехов и сухофруктов. Разрешены любые каши и макароны из цельнозерновой муки, а также выпечка и хлебобулочные изделия из цельного зерна. Питание следует распределить на 5 приемов пищи — 3 основных и 2 дополнительных.
Профилактика
Профилактика охватывает несколько ключевых направлений.
Социальная профилактика:
- ведение здорового образа жизни;
- создание комфортных условий труда и жизни;
- борьба с наркоманией и алкоголизмом;
Санитарная профилактика:
- изоляция пациентов с инфекционными формами туберкулеза;
- ограничение доступа людей, страдающих туберкулезом, к работе в пищевой отрасли, родильных домах, образовательных учреждениях и общественном транспорте;
- проведение санитарно-просветительской работы, где сам пациент должен соблюдать гигиенические нормы, чтобы предотвратить заражение других;
- реализация противоэпидемических мероприятий в очагах инфекции.
Специфическая профилактика включает вакцинацию и ревакцинацию БЦЖ, которая осуществляется в соответствии с Национальным календарем прививок. Вакцинацию БЦЖ новорожденные получают в родильном доме (на 3–7-й день жизни), а ревакцинация проводится в возрасте 7 и 14 лет.
Последствия и осложнения
К осложнениям можно отнести:
- кровохарканье;
- кровотечения;
- пневмоторакс;
- бронхолегочные свищи;
- недостаточность легочно-сердечной системы;
- ателектаз;
- экссудативный плеврит, который часто становится первым признаком или возникает одновременно с диссеминацией;
- повторная бактериемия и обсеменение.
Последствия диссеминированной формы могут включать: сетчатый фиброз, кальцинированные участки, цирроз, плевральные наложения, рубцы плевры, эмфизему, гипертрофию правого желудочка, а также внелегочные очаги туберкулеза (в костях, мочеполовой системе, глазах, лимфатических узлах).
Прогноз
Подострый диссеминированный туберкулез и острый милиарный туберкулез, если не получать должного лечения, могут значительно ухудшиться: очаги увеличиваются в размерах, возникают полости распада, и развивается казеозная пневмония. Без терапии заболевание может продолжаться до полугода и, как правило, приводит к летальному исходу. В отсутствие лечения уровень смертности превышает 50%. Однако при своевременном и адекватном лечении прогнозы становятся благоприятными — очаги уменьшаются, а полости заживают. Если же очаги не исчезают полностью, существует риск повторной бактериемии.
Список источников
- Абрамченко А.В., Романова М.И., Гайда А.И., Можокина Г.Н., Самойлова А.Г., Васильева И.А. Эффективность и безопасность краткосрочных схем химиотерапии при лекарственно-устойчивом туберкулезе: обзор литературы и метаанализ. Туберкулез и болезни легких. 2025;103(2):26-37.
- Клинические рекомендации. Туберкулез у взрослых. Российское Общество Фтизиатров. Национальная ассоциация некоммерческих организаций фтизиатров «Ассоциация фтизиатров», 2025г, 166 с.
- Клинические рекомендации. Туберкулез у детей. Российское Общество Фтизиатров. Национальная ассоциация некоммерческих организаций фтизиатров «Ассоциация фтизиатров», 2024.
- Шубина А.Т., Бородулина Е.А., Герасимов А.Н., Яковлева Е.В. Туберкулез легких в практике пульмонолога. Сибирский научный медицинский журнал. 2021; 41 (3): 78—84.
- Проблема диагностики туберкулеза в практике врача-пульмонолога / Е.А. Бородулина, Л.В. Поваляева, Э.В. Бородулина [и др.] // Вестник современной клинической медицины. — 2017. — Т. 10, вып. 1. — С.89—93.
Психологические аспекты и поддержка пациентов
Туберкулез легких не только представляет собой серьезную физическую угрозу для здоровья, но и оказывает значительное влияние на психологическое состояние пациентов. Заболевание может вызывать широкий спектр эмоций, включая страх, тревогу, депрессию и изоляцию. Понимание этих психологических аспектов является важной частью комплексного подхода к лечению туберкулеза.
Первоначально диагноз туберкулеза может вызвать у пациента шок и отрицание. Многие люди ассоциируют это заболевание с тяжелыми последствиями и стигматизацией, что может привести к социальной изоляции. Пациенты могут испытывать страх перед тем, как их заболевание воспримут окружающие, что может усугубить их эмоциональное состояние. Важно, чтобы медицинские работники и близкие люди поддерживали пациента, помогая ему справиться с этими негативными эмоциями.
Тревога и депрессия являются распространенными реакциями на диагноз. Пациенты могут беспокоиться о своем будущем, финансовом состоянии, возможности трудоустройства и о том, как болезнь повлияет на их близких. Эти чувства могут быть усилены длительным лечением, которое требует регулярного приема медикаментов и частых визитов к врачу. Психологическая поддержка, включая консультации с психотерапевтом, может помочь пациентам справиться с этими эмоциями и адаптироваться к новым условиям жизни.
Социальная поддержка также играет ключевую роль в процессе восстановления. Поддержка со стороны семьи, друзей и сообщества может значительно улучшить психологическое состояние пациента. Группы поддержки, где пациенты могут делиться своим опытом и получать советы от других, столкнувшихся с аналогичными проблемами, могут стать важным источником эмоциональной поддержки. Это позволяет пациентам чувствовать себя менее одинокими и более уверенными в своем лечении.
Кроме того, важно учитывать, что некоторые пациенты могут испытывать сложности с соблюдением режима лечения из-за психологических факторов. Депрессия и тревога могут снизить мотивацию к лечению, что может привести к ухудшению состояния. Поэтому медицинские работники должны активно работать над созданием доверительных отношений с пациентами, чтобы выявлять и преодолевать барьеры, которые могут мешать соблюдению режима лечения.
В заключение, психологические аспекты туберкулеза легких являются важной частью общего процесса лечения. Поддержка со стороны медицинских работников, семьи и сообщества может значительно улучшить качество жизни пациентов и способствовать успешному выздоровлению. Психологическая помощь должна быть интегрирована в стандартные протоколы лечения, чтобы обеспечить пациентам всестороннюю поддержку в их борьбе с заболеванием.
Вопрос-ответ
Каковы основные симптомы туберкулеза легких?
Основные симптомы туберкулеза легких включают постоянный кашель, который может сопровождаться кровью, потерю веса, ночные поты, усталость и лихорадку. Если вы заметили эти признаки, важно обратиться к врачу для диагностики.
Как происходит передача туберкулеза легких?
Туберкулез легких передается воздушно-капельным путем. Это означает, что бактерии, вызывающие туберкулез, могут распространяться через воздух, когда зараженный человек кашляет, чихает или разговаривает. Поэтому важно соблюдать меры предосторожности в общественных местах.
Какие методы диагностики используются для выявления туберкулеза легких?
Для диагностики туберкулеза легких применяются различные методы, включая рентгенографию грудной клетки, анализ мокроты на наличие бактерий, а также кожные и кровяные тесты. Эти методы помогают врачам установить наличие инфекции и определить ее стадию.
Советы
СОВЕТ №1
Регулярно проходите медицинские осмотры и флюорографию. Это поможет выявить туберкулез на ранних стадиях, когда лечение наиболее эффективно.
СОВЕТ №2
Обратите внимание на симптомы, такие как длительный кашель, потеря веса и ночные поты. Если вы заметили их у себя или близких, немедленно обратитесь к врачу.
СОВЕТ №3
Соблюдайте правила гигиены и избегайте контакта с людьми, у которых диагностирован туберкулез. Используйте маски в общественных местах, особенно в закрытых помещениях.
СОВЕТ №4
Поддерживайте иммунную систему: правильно питайтесь, занимайтесь физической активностью и избегайте стрессов. Здоровый образ жизни поможет вашему организму бороться с инфекциями.





