Рентген кишечника — важный диагностический метод, который предоставляет информацию о состоянии пищеварительного тракта. Во время процедуры врач оценивает форму, расположение и подвижность кишечника, а также исследует его просвет и рельеф слизистой оболочки. Подготовка к рентгену и использование контрастного вещества, например, бария, критически важны для точности диагностики. Эта статья объясняет процесс проведения рентгена кишечника, необходимые подготовительные меры и данные, которые можно получить в результате исследования, что способствует более эффективному выявлению и лечению заболеваний кишечника.
Общие сведения
Кишечник представляет собой важный орган, отвечающий за процессы пищеварения и выделения, который начинается от привратника желудка и заканчивается анусом. В его анатомическом строении выделяют две основные части: тонкую и толстую кишку.
Тонкий кишечник делится на три отдела: двенадцатиперстную, тощую и подвздошную кишку. Толстый кишечник включает слепую, ободочную (включающую восходящий, поперечный и нисходящий отделы), сигмовидную и прямую кишку.
При отсутствии патологий кишечник на рентгеновских снимках практически не виден, так как он поглощает рентгеновские лучи так же, как и другие внутренние органы. Бесконтрастная рентгенография брюшной полости является первым этапом диагностики неотложных состояний, таких как разрывы полых органов, наличие инородных тел, острый панкреатит и кишечная непроходимость.
В других случаях применяется контрастирование с использованием специальных веществ или газа. Эта методика особенно полезна для выявления очаговых образований и органических изменений, таких как опухоли, дивертикулы, свищи, стенозы, стриктуры и язвы.
Рентгенологическое исследование тонкого кишечника называется энтерография. Однако, несмотря на то, что эта процедура долгое время считалась «золотым» стандартом диагностики, ее возможности довольно ограничены. Процесс прохождения контраста по тонкой кишке занимает от 2 до 4 часов, и в результате некоторые участки могут оказаться недостаточно растянутыми к моменту исследования.
Более современный метод — чреззондовая энтерография (энтероклизис, бариевая энтероклизма) — предлагает значительно больше информации. После установки назоеюнального зонда под рентгеновским контролем контрастное вещество (сульфат бария или гастрографин) вводится под давлением непосредственно в двенадцатиперстную или тощую кишку, что обеспечивает быстрое и полное растяжение кишечных петель.
Эта процедура особенно ценна для исследования тазовых сегментов подвздошной кишки, где стандартные методы диагностики часто оказываются неэффективными. Кроме того, сочетание энтероклизиса с двойным контрастированием и ретроградным введением воздуха в правую половину толстой кишки позволяет получить информацию об илеоцекальном отделе, визуализация которого представляет собой сложную задачу как рентгенологически, так и эндоскопически.
Среди недостатков энтероклизиса можно отметить длительность процедуры, высокую лучевую нагрузку и значительный дискомфорт для пациента. Также важно, чтобы манипуляция проводилась под контролем опытного специалиста в области лучевой диагностики.
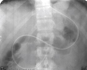
Рентгенологическое исследование толстой кишки может проводиться двумя основными методами: пероральным контрастированием («контрастный завтрак») и ирригоскопией (бариевой клизмой). При простом контрастировании во время ирригоскопии в прямую кишку вводится водная взвесь BaSO4, а для двойного контрастирования дополнительно подается воздух. Эта процедура дополняет результаты колоноскопии и предоставляет более полное представление о клинической картине заболевания.
Врачи отмечают, что рентген кишечника является важным диагностическим инструментом, позволяющим выявить различные заболевания и аномалии. С помощью этой процедуры можно получить четкие изображения, что помогает в диагностике таких состояний, как воспалительные заболевания, опухоли и кишечные непроходимости. Специалисты подчеркивают, что рентген кишечника, хотя и является эффективным методом, требует осторожности. Необходимо учитывать возможное облучение пациента и необходимость подготовки к исследованию. Врачи рекомендуют проводить эту процедуру только в случае, если другие методы диагностики не дали ясной картины. В целом, рентген кишечника остается ценным методом в арсенале гастроэнтерологов, позволяя улучшить качество диагностики и, как следствие, лечения пациентов.
https://youtube.com/watch?v=LhnAQjetpDQ
Что показывает рентген кишечника
Во время диагностики врач анализирует форму, положение и подвижность кишечника, осматривает его просвет и рельеф слизистой оболочки, а также выявляет наличие свободного газа или жидкости. Кроме того, специалист исследует моторные и эвакуаторные функции пищеварительного тракта: перистальтику, время эвакуации контрастного вещества и эластичность стенок.
| Метод исследования | Описание | Показания |
|---|---|---|
| Ирригоскопия | Рентгенологическое исследование толстого кишечника с контрастированием бариевой взвесью, вводимой через прямую кишку. | Диагностика опухолей, полипов, дивертикулов, воспалительных заболеваний (колиты), аномалий развития толстого кишечника. |
| Пассаж бария по тонкому кишечнику | Рентгенологическое исследование тонкого кишечника после приема бариевой взвеси внутрь. | Диагностика опухолей, стриктур, воспалительных заболеваний (болезнь Крона), мальабсорбции, свищей тонкого кишечника. |
| Рентгенография брюшной полости обзорная | Обзорный снимок брюшной полости без контрастирования. | Диагностика кишечной непроходимости, перфорации полого органа, наличия свободной жидкости или газа в брюшной полости. |
Показания
Направление пациента на рентгенографию кишечника с использованием контрастного вещества может осуществить терапевт, онколог, гастроэнтеролог или хирург. Основные показания для проведения данного исследования включают:
- необъяснимая потеря веса, анемия;
- присутствие крови, слизи или гноя в кале;
- нарушения моторики кишечника, изменения в частоте и характере стула (упорная диарея или запор, изменение цвета кала);
- желудочно-кишечные кровотечения неясного происхождения;
- хроническая непроходимость кишечника;
- абдоминальные боли;
- выявление новообразований, дивертикулов, свищей, рубцовых стенозов и аномалий развития;
- диагностика проблем с мезентериальным кровообращением, воспалительных заболеваний, туберкулеза кишечника, а также спаечного процесса;
- обследование пациентов после хирургического вмешательства (резекции кишечника) и оценка надежности швов межкишечного анастомоза.
Рентген кишечника — это метод диагностики, который вызывает у людей разные мнения. Многие пациенты отмечают, что процедура не такая уж и страшная, как они ожидали. В основном, они говорят о том, что важно правильно подготовиться к исследованию, следуя рекомендациям врача. Некоторые отмечают, что неприятные ощущения могут возникнуть из-за необходимости выпить контрастное вещество, но это быстро проходит.
Другие пациенты подчеркивают, что рентген помогает выявить серьезные заболевания, такие как опухоли или воспаления, что делает его важным инструментом в диагностике. Однако есть и те, кто выражает опасения по поводу радиационного облучения. В целом, большинство людей считают, что преимущества рентгена превышают возможные риски, особенно когда речь идет о здоровье.
https://youtube.com/watch?v=gLbyNvKzQRY
Противопоказания
Основным противопоказанием является подозрение на перфорацию, поскольку барий оказывает значительное раздражающее воздействие на ткани средостения и брюшной полости. Поэтому перед проведением любого рентгеноконтрастного исследования брюшной области обязательно выполняется обзорная рентгенограмма. В случае возможного прободения стенки кишечника следует заменить BaSO4 на водорастворимый контрастный препарат.
Исследование кишечника с использованием бария не рекомендуется для беременных женщин, а также для пациентов с тяжелыми состояниями, такими как тахикардия и высокое артериальное давление, при наличии массивного желудочно-кишечного кровотечения. С осторожностью данная процедура проводится при язвенных заболеваниях (из-за риска перфорации), кистозном пневматозе кишечника и у пожилых людей.
Ирригоскопия не назначается сразу после рентгеноконтрастного исследования верхних отделов пищеварительной системы, так как бариевая суспензия полностью выводится из организма только через несколько дней. Остатки контраста могут негативно сказаться на результатах обследования.
Подготовка к рентгену кишечника
Для корректной визуализации требуется предварительная очистка кишечника, так как как доброкачественные, так и злокачественные опухоли могут быть скрыты под остатками содержимого. Твердые фекальные массы, особенно те, что плотно прилегают к стенкам кишечника, могут имитировать опухолевые образования. Неполноценная подготовка может привести к недостоверным результатам обследования.
- Энтерография: за 2-3 дня до процедуры необходимо исключить из рациона продукты, способствующие образованию газов. Накануне рекомендуется употреблять жидкую пищу с низким содержанием клетчатки и пить много жидкости. Ужин должен состояться не позднее чем за 12 часов до манипуляции. Энтерография проводится натощак, утром перед ней запрещается курить и жевать жевательную резинку.
- Ирригоскопия: в течение трех дней следует придерживаться диеты, исключающей растительную клетчатку и продукты, вызывающие повышенное газообразование. Последний прием пищи должен быть не позже 18:00. Процедуру лучше проводить натощак, однако пациентам с сахарным диабетом разрешается легкий завтрак (например, стакан несладкого чая, сухарик из белого хлеба с маслом, яйцо).
При подготовке к рентгену толстого кишечника за 2-3 дня отменяются спазмолитики и прокинетики, так как эти препараты могут повлиять на мышечные элементы стенки кишечника и изменить рельеф слизистой. Жизненно важные лекарства (например, антигипертензивные, противоэпилептические и т.д.) следует принимать не позднее чем за 3 часа до процедуры, запивая их 2-3 глотками чистой негазированной воды.
Перед ирригоскопией необходимо очистить толстую кишку одним из следующих способов:
- очистительными клизмами. Для этого используется кружка Эсмарха, спринцовка не применяется. Вечером перед диагностикой нужно сделать две клизмы объемом 1,5-2 литра с интервалом в 1 час (например, в 00:00 и 20:00 или в 20:00 и 21:00). Кишечник должен быть промыт «до чистых вод» без примесей каловых масс. В день ирригоскопии за 2-3 часа до рентгена выполняются еще две клизмы объемом по 2 литра.
Преимущества метода заключаются в его простоте и доступности. Недостатки: неудобство проведения, необходимость в помощи, что часто приводит к недостаточной качественной очистке кишечника. Кроме того, введение наконечника при наличии трещин прямой кишки или геморроя может вызвать дополнительную травматизацию слизистых оболочек.
Противопоказания к подготовке с использованием слабительных препаратов: острая кишечная непроходимость, тяжелые воспалительные процессы, декомпенсированная сердечно-сосудистая или почечная недостаточность.
https://youtube.com/watch?v=XqIYRruF2II
Диета перед рентгеном кишечника
За 2-3 дня до проведения рентгеноскопии кишечника необходимо исключить из рациона следующие продукты: капусту, шпинат, щавель, грибы, орехи, бобовые, свежие овощи, фрукты и ягоды, а также некоторые виды круп (пшено, перловка), черный хлеб, молоко и молочные изделия.
Разрешенные продукты включают: нежирное мясо и рыбу, легкие бульоны, гречневую и рисовую крупы, кисломолочные продукты, белый хлеб, сыр, галетное печенье, несладкий зеленый чай, соки и компоты без мякоти. Пища должна быть полужидкой и легко усваиваемой. Рекомендуемые способы приготовления: варка, тушение и паровая обработка.
Как делают рентген кишечника
Тонкий кишечник:
- Энтерография (так называемый «контрастный завтрак») выполняется после завершения рентгенологического обследования пищевода, желудка и двенадцатиперстной кишки с использованием перорального контрастирования, либо может быть проведена как отдельная процедура.
После того как пациент принимает сульфат бария, делают повторные рентгеновские снимки тонкого кишечника через определенные интервалы времени. Обычно первый снимок получают через 15 минут, второй — через 30 минут, а затем фотографирование продолжается каждый час, пока контраст не достигнет слепой кишки. Для изучения подвижности кишечных петель снимки выполняются в положении на спине, а также на левом и правом боку.
Основным недостатком энтерографии является длительность процедуры (от 2 до 4 часов), что приводит к значительной лучевой нагрузке. Для ускорения прохождения контрастного вещества по кишечнику и сокращения времени обследования предложен следующий метод: пациент принимает 300 мл холодной бариевой массы (+4 °С) в два приема (по 150 мл) с интервалом в полчаса. Низкая температура сульфата бария способствует усилению перистальтики, сокращая время обследования до 1–1,5 часа.
Во время исследования пациент сидит с прямой спиной, голова запрокинута назад. После местного обезболивания рото- и носоглотки через нижний носовой ход в пищевод вводится зонд. В процессе продвижения катетера по рото- и гортаноглотке пациента просят делать глотательные движения.
После установки зонда в дистальной части пищевода пациент подходит к универсальному штативу рентгеновского аппарата. Под контролем рентгеноскопии специалист продолжает вводить зонд через желудок и привратник. Как только катетер выходит из желудка, штатив устанавливается горизонтально. Продвижение зонда продолжается в положении лежа на спине.
Когда катетер достигает начального отдела тощей кишки, его подключают к инфузионной системе, которая обеспечивает непрерывное поступление сернокислого бария в просвет кишки с необходимой скоростью. С помощью рентгеноскопии оцениваются: перистальтика, эластичность стенок кишечника, смещаемость петель при дыхании, а также объем содержимого кишки.
Первая обзорная рентгенограмма выполняется через 5-15 минут после попадания контраста в тощую кишку и верхние сегменты подвздошной кишки. Следующий обзорный снимок делается после контрастирования среднего отдела и тазовых сегментов подвздошной кишки. Рентгенографию илеоцекальной области необходимо проводить после эвакуации первых порций сульфата бария в слепую кишку, когда рельеф слизистых будет хорошо виден.
На втором этапе манипуляции в тонкую кишку под контролем рентгеноскопии с помощью инфузионной системы вводят 500-800 мл воздуха. По мере поступления воздуха выполняется рентгенография тощей и подвздошной кишок, а также илеоцекального отдела.
Энтероклизис может быть дополнен осмотром илеоцекального отдела и правой половины толстого кишечника после ретроградного введения воздуха в прямую кишку. Завершающим этапом диагностики является рентгеноскопия и рентгенография после удаления зонда в вертикальном положении пациента.
Толстый кишечник:
- Пероральное контрастирование (методика «контрастного завтрака») является дополнительным методом для изучения функциональных особенностей кишечника, так как при этом невозможно обеспечить равномерное распределение сульфата бария. Диагностика проводится после ирригоскопии для изучения купола слепой кишки и аппендикса, а также илеоцекального перехода и при обтурационных процессах. Пассаж бария также осуществляется для определения выпадения кишки в грыжевой мешок при вентральных грыжах.
- Ирригоскопия (ретроградное контрастирование) является основным методом визуализации толстого кишечника. Пациентам со стомами бариевую взвесь и воздух вводят непосредственно через коло- или илеостому.
Пациент укладывается на стол рентгеновского аппарата в позиции Симпса (лежа на боку с согнутыми ногами, верхняя нога должна быть приведена к животу сильнее нижней, руки располагаются за спиной). Под контролем рентгеноскопии 1,5-2 литра сульфата бария вводятся небольшими порциями в задний проход с помощью аппарата Боброва (или его модификаций).
Пациента предупреждают о возможных схваткообразных болях и позывах на дефекацию. Для их уменьшения рекомендуется глубоко и медленно дышать ртом и сжимать анальный сфинктер, чтобы предотвратить вытекание контраста.
Процесс постепенного наполнения толстого кишечника сопровождается фотографированием всех отделов. Заполнение обычно доводят до печеночного изгиба. Дальнейший пассаж бариевой массы осуществляется с помощью поворотов пациента, пальпации, натуживания и других методов. Снимки выполняются в позициях на спине и на животе.
После извлечения трубки пациент должен максимально опорожнить кишечник. Затем делают еще одну обзорную рентгенограмму для осмотра слизистой кишечника и оценки его моторной функции.
Двойное контрастирование проводится сразу после завершения диагностики с барием или как отдельная манипуляция. В первом случае после опорожнения кишечника в него вводят 1,0–1,5 литра воздуха.
Во втором случае сульфат бария вводят до момента заполнения селезеночного угла или середины поперечно-ободочной кишки, а после удаления взвеси подают воздух. При наполнении кишечника контрастной взвесью до нижних сегментов нисходящей ободочной кишки воздух инсуффлируется без предварительной эвакуации бария.
У детей
Рентгенографию кишечника с использованием бария у детей проводят только при наличии четких клинических показаний. Энтероклизис может быть выполнен у детей более старшего возраста. Процесс ирригографии схож с тем, что применяется у взрослых, однако имеются некоторые отличия:
- барий для рентгеновского исследования кишечника готовят на основе изотонического раствора соли (NaCl);
- для уменьшения дозы ионизирующего излучения введение воздуха и бария контролируется с помощью ультразвукового исследования, а не рентгеноскопии;
- головной конец пациента в положении лежа следует приподнять на 15°.
Что можно узнать из данного исследования? Результаты рентгенографии имеют свои особенности. При плотном наполнении нисходящей и сигмовидной части кишечника гаустрация практически не видна, а у новорожденных и детей в первые месяцы жизни даже при недостаточном наполнении гаустры могут не определяться. В то же время складчатость слепой кишки хорошо выражена. К другим особенностям относятся функциональная недостаточность баугиниевой заслонки и расположение печеночного и селезеночного перегибов на одном уровне.
Расшифровка результатов
На рентгеновских снимках тонкого кишечника контрастное вещество формирует характерный перистый рельеф с четкими очертаниями, который создается поперечными и косыми складками Керкринга.
Толстый кишечник на рентгене демонстрирует ясные контуры, а также симметричные круговые перетяжки, известные как гаустры. В каждом сегменте толстой кишки наблюдается разнообразие в складчатости слизистой оболочки.
Рентгенологические признаки некоторых заболеваний:
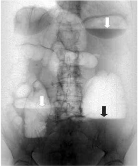
- Острая кишечная непроходимость. Это критическое состояние, требующее немедленной госпитализации в хирургический стационар. На рентгенограммах можно увидеть перерастянутые газом кишечные петли с горизонтальными уровнями жидкости, известные как чаши Клойбера.
При тонкокишечной непроходимости длина чаши превышает ее высоту. В случае, если препятствие находится в толстой кишке, наблюдается обратная картина — высота газового пузыря больше ширины уровня жидкости.
Необходимо различать механическую и динамическую непроходимость для выбора дальнейшей стратегии лечения (консервативной или хирургической). При механической непроходимости кишечные петли выше места предполагаемого патологического процесса значительно расширены, тогда как дистальнее они сужаются. Уровни жидкости располагаются на разных высотах, и их местоположение меняется из-за усиленной перистальтики.
Динамическая непроходимость характеризуется стабильной рентгенологической картиной.
-
Онкологические заболевания. Опухоли толстого кишечника встречаются чаще, чем в тонком. На рентгене рак проявляется как дефект наполнения с четкой границей между новообразованием и здоровой слизистой оболочкой. Часто опухолевый процесс приводит к круговому сужению просвета кишечника, что называют признаком «яблочного огрызка».
-
Дивертикулярная болезнь — это состояние, при котором в стенке кишечника образуются мешковидные выпячивания через мышечный слой. На рентгене контуры дивертикула выглядят четкими и ровными. При воспалении границы становятся размытыми, а в выпячивании наблюдается длительная задержка контрастного вещества.
Рентгенологические признаки НЯК: утрата гаустрации, выпрямление, укорочение и сужение просвета кишечника, а также неравномерность рельефа слизистых оболочек из-за изъязвлений. Заболевание обычно начинается с поражения прямой кишки, после чего воспалительный процесс распространяется на другие сегменты толстой кишки, принимая форму левостороннего, субтотального или тотального колита.
Для болезни Крона характерны: прерывистые поражения, стриктуры, сужение и расширение просвета кишечника, рельеф «булыжной мостовой», свищи, псевдополипы и абсцессы в брюшной полости. В зависимости от локализации выделяют терминальный илеит, колит, илеоколит и изолированное поражение верхних отделов желудочно-кишечного тракта.
При беременности
Рентгеновские исследования кишечника не рекомендуется проводить беременным женщинам, так как это может привести к потенциальным тератогенным последствиям.
Последствия и осложнения
Во время проведения энтероклизиса у пациентов с сердечно-сосудистыми заболеваниями, а также у пожилых и ослабленных людей может возникнуть тахикардия. При введении зонда иногда наблюдаются позывы к рвоте и кашель.
Крайне редко могут возникнуть такие осложнения, как перфорация стенки кишечника, образование бариевых гранулем, водная интоксикация, затеки контрастного вещества в полости и бариевая эмболия.
При использовании сернокислого бария возможны запоры, поэтому в течение 1-2 дней после процедуры рекомендуется увеличить потребление жидкости и при необходимости применять слабительные средства.
В течение 24-72 часов кал может приобретать бело-серый оттенок. Если барий не выводится более 2-3 суток, а также при появлении тошноты, рвоты, болей в животе, вздутия, повышения температуры или наличия крови в стуле, следует незамедлительно обратиться к специалисту.
Восстановление
После процедуры разрешается употребление пищи и воды. Для многих пациентов ирригоскопия и подготовка к ней могут стать значительным испытанием, поэтому в этот день рекомендуется соблюдать постельный режим, особенно для пожилых людей.
В день исследования не рекомендуется управлять автомобилем, принимать важные решения или заниматься деятельностью, требующей высокой концентрации. Лучше, если пациента встретят и сопроводят домой.
Отзывы
К рентгенологическому исследованию кишечника многие пациенты относятся с недовольством, хотя понимают его важность. Некоторые испытывают страх перед радиационным воздействием, другие же формируют негативное мнение из-за сложной подготовки к процедуре.
- … «Что я могу сказать об ирригоскопии? Это неприятно, долго и некомфортно. Изнурительные клизмы, постоянные походы в туалет, строгая диета. А в рентген-кабинете вокруг меня суетится целая команда медиков, пока я лежу голый под простыней. Исследование не прошло зря, диагноз — болезнь Крона — подтвердился. Но повторять это я точно не стану, лучше уж колоноскопия.»
- … «Несколько месяцев меня мучили вздутие и боли в животе. Аппендицит исключили, УЗИ не показало патологии. Гастроэнтеролог направил на рентген кишечника. Прием фортранса — это еще то испытание. Сначала я удивлялась, почему все говорят, что препарат отвратительный. Но после четвертого стакана меня начало тошнить. Огромным усилием воли я заставила себя допить все. Утром, к моему удивлению, тошноты не было. Врачи в рентген-кабинете были очень вежливы, интересовались моим состоянием, и это немного меня успокоило. Я совсем не стеснялась. Немного больно, когда вставляют наконечник с шариком, но в целом могу сказать, что процедура не так уж страшна.»
- … «Моему сыну, которому 3,5 года, после ирригоскопии поставили диагноз «мегадолихоколон». Подготовка была для него тяжелой, особенно отказ от фруктов и овощей. После бариевой взвеси он три дня страдал от запоров, проблему удалось решить с помощью слабительных. Пассаж бария — это не самое безопасное исследование, ведь облучение все же присутствует. Но если без рентгена невозможно установить диагноз другими методами, то, конечно, его следует проводить.»
Цена
Цена зондовой энтерографии формируется в зависимости от метода контрастирования и используемых расходных материалов, и в Москве она варьируется от 1000 до 6500 рублей.
Стоимость ирригоскопии определяется типом медицинского учреждения, где проводится процедура, качеством рентгеновского оборудования и методом контрастирования (одинарным или двойным). В среднем, цена ирригоскопии с одинарным контрастированием в Москве составляет около 3700 рублей, а с двойным контрастированием — 4000 рублей.
Список источников
- Морозов С.П., Владзимирский А.В., Ветшева Н.Н., Трофименко И.А., Кузьмина Е.С., Ледихова Н.В., Панина Е.В. Подготовка кишечника к радиологическим исследованиям / Серия «Лучшие практики лучевой и инструментальной диагностики». – Вып. 49. – Москва, 2019. – 32 страницы.
- Дибиров, М. Д. Методические рекомендации по подготовке ободочной кишки к обследованию и хирургическому лечению // Стационарозамещающие технологии: Амбулаторная хирургия. – 2016. – Вып. 1–2.
- Информативность методов лучевой диагностики при различных патологических состояниях организма. Раздел 2. Диагностика заболеваний и патологий желудочно-кишечного тракта / под ред. С.П. Морозова / Серия «Лучшие практики лучевой и инструментальной диагностики». – Вып. 19. – Москва, 2018.
- Двухэтапная зондовая энтерография / Методическое руководство для врачей рентгенологов и гастроэнтерологов. — Самара, СамГМУ. 2001. — 23 страницы.
- Сенаторова А.С., Урываева М.К. Синдром мальабсорбции у детей: диагностика, дифференциальный диагноз и лечение. Часть II // ЗР. 2010. №6.
Советы по выбору клиники
Выбор клиники для проведения рентгена кишечника — это важный шаг, который может существенно повлиять на качество диагностики и последующее лечение. При выборе медицинского учреждения следует учитывать несколько ключевых факторов.
1. Квалификация специалистов. Обратите внимание на опыт и квалификацию врачей, которые будут проводить исследование. Убедитесь, что они имеют соответствующую специализацию и опыт работы в области гастроэнтерологии и радиологии. Рекомендуется ознакомиться с отзывами пациентов о работе специалистов.
2. Оборудование. Современное оборудование играет важную роль в качестве рентгеновского исследования. Убедитесь, что клиника оснащена новейшими рентгеновскими аппаратами, которые обеспечивают высокую четкость изображений и минимальную дозу облучения. Также стоит узнать, проводятся ли в клинике дополнительные методы визуализации, такие как компьютерная томография (КТ) или магнитно-резонансная томография (МРТ), которые могут быть полезны для более точной диагностики.
3. Условия проведения исследования. Узнайте, как проходит процедура рентгена кишечника в выбранной клинике. Важно, чтобы пациенту предоставлялись все необходимые инструкции и рекомендации перед исследованием, а также чтобы соблюдались все санитарные нормы и правила. Комфортные условия и внимательное отношение персонала также играют значительную роль в общем впечатлении от процедуры.
4. Доступность и расположение. Удобное расположение клиники и доступность транспортных средств могут существенно облегчить процесс посещения. Обратите внимание на часы работы учреждения и возможность записи на прием. Некоторые клиники предлагают возможность онлайн-записи, что может быть удобным для пациентов.
5. Стоимость услуг. Рентген кишечника может иметь различную стоимость в зависимости от клиники и региона. Сравните цены в нескольких медицинских учреждениях, но не забывайте, что низкая цена не всегда означает высокое качество услуг. Лучше всего выбирать клинику, где цена соответствует качеству предоставляемых услуг.
6. Отзывы и рекомендации. Перед выбором клиники полезно ознакомиться с отзывами других пациентов. Это может дать представление о качестве обслуживания, уровне профессионализма врачей и общем уровне комфорта в клинике. Рекомендации от знакомых или врачей также могут помочь в принятии решения.
В заключение, выбор клиники для рентгена кишечника требует внимательного подхода и анализа различных факторов. Правильный выбор поможет обеспечить точную диагностику и своевременное лечение, что в конечном итоге положительно скажется на здоровье пациента.
Вопрос-ответ
Чем отличается рентген кишечника от колоноскопии?
Необходимость выбора определяется самочувствием человека при выполнении процедур. Зондовое обследование (колоноскопия) нижних отделов ЖКТ болезненно, несмотря на анестезию. Рентгеновское исследование (ирригоскопия) вызывает дискомфорт при введении бария, но не позволяет изучить внутреннюю оболочку толстого кишечника.
Какой самый лучший способ проверить кишечник?
Наиболее информативным методом лабораторной диагностики при подозрении на патологии кишечника является общий анализ кала.
Можно ли увидеть рак кишечника на рентгене?
Раковые опухоли можно обнаружить с помощью изучения рентгенограмм, выполненных в различных проекциях. Иными словами, чем больше выраженность поражения, тем легче его рентгенодиагностика.
Советы
СОВЕТ №1
Перед проведением рентгена кишечника обязательно проконсультируйтесь с врачом. Он поможет вам понять, какие показания для процедуры существуют и какие результаты можно ожидать.
СОВЕТ №2
Следуйте всем рекомендациям по подготовке к рентгену. Обычно это включает в себя соблюдение специальной диеты и очищение кишечника, что поможет получить более точные результаты.
СОВЕТ №3
Не забывайте сообщить врачу о всех лекарствах, которые вы принимаете, а также о наличии аллергий. Это важно для выбора подходящего контрастного вещества и минимизации рисков.
СОВЕТ №4
После процедуры обсудите с врачом результаты рентгена и возможные дальнейшие шаги. Это поможет вам лучше понять состояние вашего здоровья и необходимые меры для его поддержания.

