Эозинофилы — важные элементы иммунной системы, защищающие организм от инфекций и аллергий. В статье рассмотрим, что такое эозинофилы, их нормальные показатели в крови у детей и взрослых, а также причины повышения или понижения их уровня. Понимание норм эозинофилов и факторов, влияющих на их уровень, поможет читателям ориентироваться в вопросах здоровья и своевременно реагировать на отклонения, что особенно важно для родителей, заботящихся о здоровье детей.
Что такое эозинофилы в анализе крови?
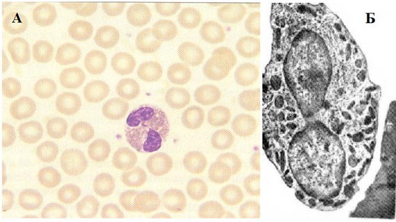
Эозинофилы, или эозинофильные гранулоциты, представляют собой разновидность лейкоцитов, характеризующихся крупными округлыми формами и двухдольчатым ядром. В их цитоплазме можно обнаружить два типа специфических гранул — мелкие и крупные. При окрашивании по методу Романовского гранулы приобретают оранжево-розовый оттенок благодаря эозину.
Крупные гранулы содержат: большой основной белок (БОП), его гомолог, эозинофильный катионный белок, эозинофильную пероксидазу и эозинофильный нейротоксин. В малых гранулах находятся кислая фосфатаза и арилсульфатаза В.
Врачи отмечают, что эозинофилы играют важную роль в иммунной системе, участвуя в борьбе с инфекциями и аллергическими реакциями. Нормальный уровень этих клеток в крови варьируется от 0 до 0,5 × 10^9 клеток на литр. При повышении их количества, что называется эозинофилией, специалисты могут заподозрить наличие аллергий, паразитарных инфекций или даже некоторых заболеваний, таких как астма. С другой стороны, пониженный уровень эозинофилов может свидетельствовать о стрессе, инфекциях или воздействии кортикостероидов. Врачи подчеркивают, что для точной диагностики необходимо учитывать не только уровень эозинофилов, но и общую клиническую картину пациента. Регулярные анализы крови помогают отслеживать изменения и своевременно реагировать на возможные проблемы со здоровьем.
https://youtube.com/watch?v=OAYR2dDkVSw
Что показывают эозинофилы в анализе крови?
Эозинофилы выполняют свои ключевые функции не в кровеносной системе, а в тканях организма. В сотрудничестве с другими типами лейкоцитов они участвуют в следующих процессах:
- детоксикации белковых продуктов;
- формировании иммунной защиты против паразитов;
- борьбе с опухолевыми образованиями;
- регуляции врожденного и адаптивного иммунитета.
Кроме того, эозинофилы играют значимую роль в воспалительных реакциях и ремоделировании тканей. Наиболее распространенными причинами повышения уровня эозинофилов в крови являются аллергические заболевания и гельминтозы.
Как обозначаются эозинофилы в анализе крови? В общем анализе крови они обозначаются как «EOS, EO».
Катионный белок эозинофилов (eosinophil cationic protein, ECP) — это катионный полипептид, обладающий разнообразной биологической активностью. Он демонстрирует антибактериальные и противовирусные свойства, а также высокую токсичность по отношению к паразитарным инфекциям и участвует в регуляции активности фибробластов.
Что показывает уровень эозинофильного катионного белка? Концентрация ECP в сыворотке крови отражает степень воспалительного процесса при различных заболеваниях.
ECP является важным маркером аллергического воспаления дыхательных путей. Он указывает на степень активации эозинофильных гранулоцитов, поддерживает хроническое воспаление и может способствовать развитию бронхолегочной обструкции. Исследования показывают, что эозинофилы и ECP могут быть вовлечены в процессы хронического ремоделирования легочной ткани.
В образцах кала уровень эозинофильного катионного белка повышается у детей с аллергической энтеропатией и аллергией на белок коровьего молока.
Что означает повышенный уровень катионного белка эозинофилов? Концентрация ECP в плазме крови увеличивается при аллергической реакции на введение аллергена, причем уровень ECP пропорционален количеству эозинофилов. Таким образом, мониторинг этого белка позволяет отслеживать течение аллергических заболеваний, оценивать эффективность лечения и предсказывать возможные астматические приступы.
Тем не менее, не всегда повышение уровня эозинофильного катионного белка связано с аллергией. Наивысшие показатели белка наблюдаются при гиперэозинофилии (значительном увеличении эозинофилов в крови), которая может возникать при лимфопролиферативных (например, лимфома Ходжкина, Т- и В-клеточные лимфомы) и миелопролиферативных заболеваниях, а также быть идиопатической.
| Возраст | Норма эозинофилов (абсолютное число, x10^9/л) | Норма эозинофилов (относительное число, %) |
|---|---|---|
| Новорожденные (до 1 месяца) | 0.02 — 0.7 | 1 — 6 |
| Дети (1 месяц — 12 лет) | 0.02 — 0.5 | 1 — 5 |
| Взрослые (старше 12 лет) | 0.02 — 0.4 | 1 — 5 |
Норма эозинофилов в крови
У здорового человека эозинофильные гранулоциты составляют 1-5% от общего числа лейкоцитов, что в абсолютных цифрах соответствует 50-250 эозинофилам на 1 мкл периферической крови.
Наибольшее количество эозинофилов наблюдается у детей младшего возраста, с течением времени их число уменьшается. При этом не зафиксировано значительных различий в зависимости от пола или этнической принадлежности. Кроме того, количество этих клеток обратно пропорционально уровню кортизола в плазме: минимальные значения фиксируются в дневное время, тогда как максимальные — ночью.
Изменения в количестве эозинофилов можно обнаружить при проведении клинического (общего) анализа крови и подсчете лейкоцитарной формулы.
Норма эозинофилов в крови — это важный показатель, который может рассказать о состоянии здоровья человека. Обычно уровень эозинофилов составляет от 0 до 0,5 × 10^9 клеток на литр крови. Многие люди не придают значения этому показателю, однако его отклонение может свидетельствовать о различных заболеваниях. Например, повышенные эозинофилы могут указывать на аллергические реакции, паразитарные инфекции или даже некоторые виды рака. С другой стороны, низкий уровень может быть связан с инфекциями или стрессом. Важно помнить, что интерпретация анализа должна проводиться врачом, который учтет все факторы, включая симптомы и историю болезни пациента. Регулярные проверки крови помогают выявить изменения на ранних стадиях и своевременно принять меры для поддержания здоровья.
https://youtube.com/watch?v=DuV-xFu4JQM
Почему повышены эозинофилы в крови, и о чем это говорит
Эозинофилия — это состояние, при котором количество эозинофильных гранулоцитов в крови превышает 5-6% (0,5-0,6 х 10^9 /л). Если же абсолютное число этих клеток превышает 15% (>1,5 х 10^9 /л), то говорят о гиперэозинофилии.
Что означает повышенное количество эозинофилов? Увеличение уровня эозинофильных гранулоцитов не является отдельным заболеванием, но может указывать на различные проблемы в организме. Эти клетки играют важную роль в иммунном ответе, особенно при аллергических реакциях.
Эозинофилию классифицируют на три степени в зависимости от количества клеток в 1 мкл:
- легкая: 400–1500 клеток;
- умеренная: 1500–5000 клеток;
- тяжелая: более 5000 клеток.
Гематологи считают эозинофилию умеренной, если уровень этих клеток в периферической крови составляет 10-15%, и выраженной, если он превышает 15%. Состояния, при которых количество эозинофилов превышает 15-20%, называют «значительной эозинофилией». В таких случаях обычно наблюдается и повышение общего числа лейкоцитов.
По причинам возникновения эозинофилию можно разделить на две категории: реактивная эозинофилия и идиопатический гиперэозинофильный синдром. Реактивная эозинофилия может быть злокачественной, когда эозинофилы являются клонированными опухолевыми клетками, или вторичной, связанной с негематологическими заболеваниями.
К основным причинам повышения уровня эозинофилов у взрослых и детей относятся:
- паразитарные инфекции: парагонимоз, филяриоз, эхинококкоз, аскаридоз, токсокароз, анкилостомоз, трихоцефалез и другие;
- аллергические и атопические состояния: крапивница, поллиноз, атопический дерматит, аллергия на лекарства, бронхиальная астма, аллергия на молочный белок;
- иммунные нарушения: первичные иммунодефициты, реакция «трансплантат против хозяина»;
- заболевания соединительной ткани и аутоиммунные болезни: эозинофильный фасциит, болезнь Крона, неспецифический язвенный колит, ангиолимфоидная гиперплазия, синдром Шегрена, узелковый периартериит, синдром Дресслера, ревматоидный артрит;
- миелопролиферативные заболевания: эозинофильный лейкоз (острый или хронический), некоторые виды острого лимфобластного лейкоза, хроническая миелоидная лейкемия;
- непаразитарные инфекции: бруцеллез, аспергиллез, инфекционный мононуклеоз (при котором повышаются эозинофилы и моноциты), скарлатина, болезнь кошачьих царапин, острый кокцидиомикоз;
- дерматологические заболевания: герпетиформный дерматит, псориаз, эксфолиативный дерматит, истинная пузырчатка;
- эозинофильные заболевания легких: аллергический бронхолегочный аспергиллез, синдром Леффлера, синдром Чардж-Стросса, эозинофильная пневмония (острая и хроническая);
- опухолевые процессы: различные виды рака и саркомы легкого, толстого кишечника, поджелудочной железы, яичников, шейки матки, лимфома Ходжкина и неходжкинская лимфома;
- эндокринные расстройства: недостаточность функции надпочечников;
- другие факторы: наследственная эозинофилия, лучевая терапия, перитонеальный диализ, цирроз печени.
Сочетание повышенного уровня эозинофилов и базофилов может указывать на миелопролиферативный процесс.
При легкой степени повышения рекомендуется повторно сдать общий анализ крови через 7-10 дней. Если уровень эозинофилов остается высоким, необходимо обратиться к терапевту для дальнейшего обследования. Лечение эозинофилии зависит от ее причины.
Причины повышения эозинофилов в крови у ребенка
Легкое или временное повышение уровня эозинофилов в крови у детей наблюдается довольно часто, но обычно это не имеет клинического значения. Наиболее распространенными причинами легкой или умеренной эозинофилии у младенцев и детей раннего возраста являются атопические заболевания и паразитарные инфекции. Однако выявить точную причину бывает непросто. Дифференциальная диагностика обширна, а обследования могут оказаться дорогостоящими и длительными, поэтому важно определить основные заболевания, требующие лечения, а не просто корректировать уровень эозинофилов.
Если у детей наблюдаются симптомы атопического дерматита, гиперэозинофилия, не характерная для атопии, а также отсутствие эффекта от стандартной терапии, это требует дополнительного обследования для исключения или подтверждения нарушений иммунного статуса. Рецидивирующие бактериальные инфекции и гнойно-септические осложнения у таких пациентов могут указывать на первичный иммунодефицит.
В детской аллергологической и инфекционной практике часто применяются фармакологические иммунотропные препараты, в частности, синтетический иммуностимулятор Полиоксидоний. Однако педиатр Комаровский утверждает, что такие лекарства могут не только не оказать положительного эффекта, но и нанести вред. Неизвестно, какие последствия могут возникнуть из-за стимуляции уже чрезмерно активной иммунной системы. Поэтому ребенку, часто болеющему или страдающему аллергией, необходимо не применение полиоксидония, а изменение образа жизни, соблюдение диеты, своевременная вакцинация и дозированная физическая активность.
https://youtube.com/watch?v=dSpxBVPLFes
Причины понижения эозинофилов в крови у ребенка и взрослого
Эозинопения, представляющая собой снижение уровня эозинофилов ниже 1% от общего числа лейкоцитов (<0,01 х 10^9/л), является довольно редким лабораторным явлением. В большинстве случаев данное состояние связано с повышением уровня гормонов надпочечников и АКТГ, что приводит к задержке эозинофилов в костном мозге.
Что означает пониженное количество эозинофилов? Это патологическое состояние указывает на снижение иммунной защиты организма против различных внешних и внутренних факторов. В сочетании с лейкопенией оно может служить неблагоприятным прогностическим признаком.
Среди причин снижения уровня эозинофилов у взрослых и детей можно выделить:
- начальную стадию инфекционно-токсического процесса;
- сильные стрессовые ситуации;
- травмы, ожоги и хирургические операции;
- сепсис;
- шоковые состояния;
- период после анафилактических реакций;
- тяжелые формы туберкулеза;
- брюшной тиф;
- агранулоцитоз и панцитопению различного происхождения;
- отравление тяжелыми металлами;
- применение стероидных гормонов;
- гиперкортицизм;
- тяжелые формы паразитарных инфекций.
При возникновении аллергических реакций в периферической крови может наблюдаться одновременное снижение как эозинофилов, так и базофилов, что связано с их накоплением в области аллергического воспаления.
Эозинопения также может развиваться во время беременности. Это объясняется увеличением объема плазмы и уменьшением общего числа форменных элементов, так как формирующаяся плацента создает дополнительный круг кровообращения. В течение двух недель после родов уровень эозинофилов обычно возвращается к норме для данного возраста.
Что означает отсутствие эозинофилов (анэозинофилия) у взрослого? Полное отсутствие этих клеток может наблюдаться при тяжелых гнойных инфекциях, родах, шоке, эклампсии, экзогенных интоксикациях и в агональном состоянии.
Выявление эозинопении требует тщательного обследования для своевременной диагностики и назначения лечения. Подход к ведению пациента зависит от причины эозинопении и степени выраженности клинических проявлений.
Список источников
- Колобовникова Юлия Владимировна, Уразова О. И., Новицкий В. В., Литвинова Л. С., Чумакова С. П. Эозинофил: актуальный взгляд на кинетику, структуру и функции // Гематология и трансфузиология. 2012. №1.
- Янкович К.И., Дмитриева А.И., Уразова О.И., Колобовникова Ю.В., Новицкий В.В., Пурлик И.Л. Эозинофилия, ассоциированная с опухолями. // Вопросы онкологии. 2016.
- Идиопатический гиперэозинофильный синдром. Д.м.н., проф. Л.А. Горячкина, к.м.н. Е.П. Терехова. Аллергология и иммунология. 1/2012.
- Шуматова Т.А., Шишацкая С.Н., Зернова Е.С., Ни А.Н, Катенкова Э.Ю., Приходченко Н.Г., Григорян Л.А., Егорова С.В. Улучшение диагностики аллергии на белки коровьего молока у детей раннего возраста // ТМЖ. 2016. №4 (66).
- Яковлев Я.Я., Рудковская Л.В., Лавринова О.В., Матвеева Н.В., Андриянова О.В. Тяжелый гиперэозинофильный синдром с кожными проявлениями у детей в практике педиатра // Мать и Дитя в Кузбассе. 2022. №3(90). С. 69-77.
Методы исследования уровня эозинофилов в крови
Для определения уровня эозинофилов в крови используются различные методы лабораторной диагностики. Основным и наиболее распространенным методом является общий анализ крови, который позволяет оценить не только количество эозинофилов, но и другие показатели, такие как уровень гемоглобина, количество лейкоцитов и тромбоцитов.
Общий анализ крови выполняется с помощью автоматических анализаторов, которые обеспечивают высокую точность и скорость получения результатов. В процессе анализа кровь пациента помещается в специальный прибор, где происходит подсчет клеток и определение их характеристик. Эозинофилы составляют небольшую долю от общего числа лейкоцитов, и их нормальное содержание в крови варьируется от 0 до 5% от общего числа лейкоцитов.
Для более детального изучения уровня эозинофилов и их функционального состояния могут применяться дополнительные методы, такие как:
- Иммунофлуоресцентный анализ: Этот метод позволяет выявить специфические маркеры на поверхности эозинофилов, что помогает в диагностике аллергических и аутоиммунных заболеваний.
- Цитофлуориметрия: Используется для анализа клеток крови с помощью флуоресцентных меток, что позволяет более точно определить количество и состояние эозинофилов.
- Микроскопия мазка крови: Этот метод позволяет визуально оценить морфологию эозинофилов и выявить возможные аномалии в их структуре.
Важно отметить, что уровень эозинофилов может варьироваться в зависимости от времени суток, состояния здоровья пациента и наличия различных заболеваний. Поэтому для получения точных результатов рекомендуется проводить анализ крови в одно и то же время суток и в одинаковых условиях.
Кроме того, для более полной картины состояния здоровья пациента может потребоваться проведение дополнительных исследований, таких как анализ на аллергены, тесты на инфекционные заболевания или оценка функции органов, отвечающих за иммунный ответ.
В заключение, выбор метода исследования уровня эозинофилов в крови зависит от клинической ситуации и целей диагностики. Комплексный подход к анализу позволяет врачу получить максимально полную информацию о состоянии пациента и, при необходимости, назначить соответствующее лечение.
Вопрос-ответ
Что такое эозинофилы и какую роль они играют в организме?
Эозинофилы — это тип белых кровяных клеток, которые играют важную роль в иммунной системе, особенно в борьбе с аллергическими реакциями и паразитарными инфекциями. Они также участвуют в регуляции воспалительных процессов и могут оказывать влияние на развитие астмы и других аллергических заболеваний.
Каковы нормальные показатели эозинофилов в крови?
Нормальные показатели эозинофилов в крови варьируются в зависимости от лаборатории, но обычно составляют от 0 до 0,5 × 10^9 клеток на литр крови. Важно учитывать, что значения могут немного отличаться в зависимости от возраста, пола и состояния здоровья пациента.
Что может означать повышенный уровень эозинофилов в крови?
Повышенный уровень эозинофилов, известный как эозинофилия, может указывать на различные состояния, включая аллергические реакции, паразитарные инфекции, некоторые аутоиммунные заболевания и даже некоторые виды рака. Для точной диагностики необходимо провести дополнительные исследования и консультацию с врачом.
Советы
СОВЕТ №1
Регулярно проходите медицинские обследования, чтобы контролировать уровень эозинофилов в крови. Это поможет выявить возможные аллергические реакции или воспалительные процессы на ранних стадиях.
СОВЕТ №2
Обратите внимание на свое питание. Употребление продуктов, богатых омега-3 жирными кислотами, может помочь снизить уровень воспаления и поддерживать нормальный уровень эозинофилов.
СОВЕТ №3
Если у вас есть аллергии, старайтесь избегать триггеров, которые могут вызывать повышение уровня эозинофилов. Консультируйтесь с аллергологом для разработки индивидуального плана управления аллергиями.
СОВЕТ №4
Следите за симптомами, такими как зуд, сыпь или затрудненное дыхание. Если вы заметили их, обратитесь к врачу для дальнейшего обследования и анализа уровня эозинофилов в крови.


