Здравствуйте, уважаемые специалисты форума! Я уже создавала здесь тему «Метастазы в легких и печени(?). Дополнительная диагностика для выявления очага» http://forums.rusmedserv.com/showthr…60#post1114860 , в которой узнавала, можно ли провести какие-то дополнительные исследования, есть ли шансы. Еще раз спасибо всем откликнувшимся тогда специалистам. Сейчас выяснилось, что состояние мамы полностью безнадежно – 2 недели назад у нее случился приступ(било судорогами все тело), отвезли на скорой в больницу и КТ показало, что метастазы есть и в головном мозге и у нас теперь лишь один вопрос — по паллиативному лечению. Вот описание приступа: первый приступ случился ночью, мы услышали стон(вой), когда пришли к маме ее всю колотило(тряслась голова, и все тело), глаза были неестественно выпучены, лицо перекошено. Пока ехала скорая, это состояние примерно через 5-10 минут прекратилось и она просто застыла неподвижно с выпученными глазами, стонала(говорить не могла) и дышала очень тяжело и как-то прерывисто(давление было высокое 200 на 120(?)), потом приступ повторился снова. иехавшие доктора дали ей 10 мг седуксена (диазепама) в/в и она сразу заснула. Проснулась через 2 часа, говорить по-прежнему не могла, язык не шевелился, вообще шевелиться почти не могла. Врачи сразу сказали, что скорее всего это не инсульт, но все же сделали КТ, оно и подтвердило «картину MTS поражения головного мозга свода черепа». Естественно, в стационар ее не поместили. Терапевт с районным онкологом, посовещавшись с неврологом дали рецепт на упаковку реланиума (диазепам), ампулу которого надо было вколоть при следующем приступе. Всю неделю после первого приступа мама была слаба, но тем не менее, с каждым днем ей было все лучше, она начала более менее говорить уже на второй день, самостоятельно передвигалась, ела (хоть и речь была немного хуже, более заторможенной, чем раньше. )И самое главное изменение наряду со слабостью и изменившейся речью – какое-то двухфазное дыхание, при вдохе и выдохе грудная клетка, живот как-то неестественно колышутся) . Второй(и последний на данный момент) приступ случился через 7 дней ночью, после него она совсем сдала. При начале приступа мы вкололи ей реланиум вм, но эффект не наступал почти 15 мин(позже врачи скорой сказали, что действие началось позднее из-за того, что укол сделан в мышцу, а не в вену), мы вызвали скорую, они вкололи ей магнезию, мама проспала всю ночь и весь следующий день. Говорить она уже не может, только еле кивает головой, показывает да/нет руками, глазами, почти все время спит/лежит, кормим мы ее с ложки. Когда я пришла к онкологу, она сказала, что «можно колоть реланиум и магнезию каждый день, а вообще на наше усмотрение»(хотя раньше говорила колоть лишь во время приступа, и без магнезии). И я сказала, что если колоть реланиум и магнезию ежедневно, то ведь она будет постоянно спать! Онколог ответила, «ну и что, пусть спит».
Ниже я привожу заполненный опросник:
И у меня 3 вопроса: 1. Самый главный: колоть ли реланиум (и магнезию) маме каждый день? (онколог и терапевт не уточняли, сколько дней колоть таким образом, и вообще не уточняли о необходимости колоть каждый день). Стоит ли колоть ежедневно хотя бы один реланиум(без магнезии) или лучше колоть только во время приступа(для его снятия)? В какое время суток его лучше ставить? Я опасаюсь, что если начать колоть сейчас, то потом ей потребуется его еще больше и т.п. и при приступе он не подействует. После второго приступа прошло 4 дня, и пока мы ей ничего не колем, т.к. если начнем она будет постоянно спать. И отсюда вытекает второй вопрос 2. Как кормить маму, чем, и стоит ли вообще – если она будет все время спать?(сейчас она есть с ложечки все жидкое супы, каши; глотает с трудом) 3. Пить ли на ночь таблетку для понижения давления? 4. *Посоветуете ли вы оформлять маме инвалидность, даст ли она какие-то ощутимые льготы, преимущества? И последнее… Скорее всего на вопрос вы не ответите, но все же: долго ли человек может прожить в таком состоянии, как в общем можно облегчить его участь?
forums.rusmedserv.com
Виды
Существуют различные классификации печеночных метастазов.
- По расположению метастазы печени подразделяются на билобарные (поражающие 2 доли органа) и унилобарные (поражающие 1 долю).
- В зависимости от количественных показателей метастазные печеночные опухоли бывают множественными (десятки опухолевых узлов) или одиночными (когда 2-3 узелка).
Фото метастазов печени
Причины
Образование метастатических очагов в печени возникает в связи с отсевом онкоклеток по кровеносной системе.
Если метастазирование в печеночные структуры носит отдаленный характер, то это говорит о запущенности онкопроцесса, который уже достиг 4 стадии. В подобной ситуации шансы на излечение практически отсутствуют.
Причиной метастазных опухолей в тканях печени обычно выступают первичные злокачественные опухоли, локализующиеся в структурах вроде:
- Молочной железы;
- Кишечника;
- Желудочных тканей;
- Легких;
- Поджелудочной железы.
При печеночном раке 4 степени
Любое печеночное злокачественное новообразование сложно поддается лечению, особенно на последних стадиях.
Для 4 степени злокачественного процесса в печеночных тканях характерна необратимость, т. е. полностью вылечить такую онкологию невозможно, потому как образование бесконтрольно разрастается, а онкоклетки активно распространяются по всему организму.
Это крайне опасная степень заболевания, при которой высок риск смертельного исхода.
Печень, пораженная опухолями, может отказать в любой момент. Четвертая стадия почечной онкологии проявляется ярко. Беспокоят интенсивные боли и проявления недостаточности печени.
Опухоли поджелудочной железы
Поджелудочная железа является важнейшим пищеварительным органом. Когда ее структуры поражает онкопатология, то метастазы распространяются в первую очередь в печень, легкие и почки.
Причиной подобного метастазирования является тесная функционально-анатомическая связь между этими органами. Существует даже специальное понятие – образования гепатопанкреатодуоденальной зоны.
К ним относят новообразования печени, желчного пузыря и поджелудочной, 12-перстной кишки и желчных протоков. Метастазирование в печень при поджелудочных опухолях начинается на 4 стадии.
Раке слепой и прямой кишки

Особенностью подобной онкологии является характерная способность метастазировать преимущественно в печень.
Выживаемость при колоректальном раке с печеночными метастазами составляет примерно 35%.
Хотя окончательные прогнозы зависят от степени метастатического поражения печеночных структур.
Без первичного очага
Метастазирование при не выявленной материнской опухоли отнюдь не является редкостью. Довольно часто подобные метастазные образования выявляются и в печени, куда они метастазируют из молочножелезистых тканей или органов желудочно-кишечного тракта.
Проявляются такие метастазы тоже не сразу, а только при последних стадиях онкологии. Обычно подобное метастазирование выявляется посредством компьютерной или ультразвуковой диагностики, а лечится резекцией с предоперационной химиотерапией.
Симптомы метастазов в печени
Клиническая картина почечного метастазирования разнообразна. Пациенты наблюдают:
- Пониженную работоспособность;
- Хроническую слабость;
- Тошнотно-рвотный синдром;
- Наличие сосудистых звездочек;
- Землистый оттенок кожных покровов;
- Тахикардические проявления;
- Гипертермия;
- Асцит;
- Желтуха;
- Венозные проблемы и пр.
Диагностика
Для выявления печеночных метастазов используются специальные функциональные тесты. Также весьма информативно ультразвуковое исследование, но спиральная компьютерная томография с контрастированием гораздо показательнее.
Окончательное подтверждение диагноза возможно при проведении печеночной биопсии.
Но забор биоптата рекомендуется проводить с использованием ультразвукового или компьютерно-томографического контроля. Дополнительно поводят рентгенографическое исследование желчных путей и печени.
Как вылечить?
Подход к лечению метастазов обуславливается степенью распространения вторичных злокачественных опухолей. Иногда резекция способна значительно продлить жизнь пациента, хотя окончательного избавления от онкологии таким способом зачастую добиться не удается.
Видео про лечение метастазов в печени:
Резекция
Метастазные образования отличаются достаточно медленным ростом. Примерно в 5-12% случаев при подобном диагнозе допускается проведение резекции пораженного участка. Подобная методика лечения показана, если в печеночных тканях количество метастазов малочисленно (не превышает 4).
Обычно в процессе резекции проводится сегментэктомия или лобэктомия.
По статистике, после резекции печеночных метастазов рецидив метастазирования отмечается примерно у 42-44% онкопациентов.
Повышенная вероятность рецидивирования метастатических образований имеет место, когда метастазы локализуются в обеих долях, и при резекции невозможно отступить от опухоли на достаточное расстояние.
Радиоэмболизация
Подобная методика является достаточно сложной техникой лечения. Она предполагает воздействие на метастазную печеночную опухоль с помощью облучения радиоактивным иттрием (90), который подается через специальные микросферы.
Иногда облучение проводится методом брахитерапии, когда источник излучения располагается внутри пораженного органа. Обычно радиационный источник на время имплантируют в ткани, а после эксплуатации его вынимают обратно.
Химиотерапия
Химиотерапевтическое воздействие приводит к остановке опухолевого роста примерно у 20% онкопациентов, а около половины всех больных отмечает заметное улучшение общего самочувствия.
Печеночные опухоли, как правило, питаются кровью, поступающей из печеночной артерии, поэтому цитостатические противоопухолевые препараты часто вводят прицельно, прямо в опухоль с помощью катетера.
Чаще всего при почечных метастатических образованиях используется Флоксуридин. Этот препарат вводится онкобольному с помощью специально установленного инфузора на протяжении 2 недель.
Диетическое питание
В основе питания при печеночных метастазах лежат принципы здорового рациона. Пища должна быть легкой и не перегружающей печень.
Чаще специалисты рекомендуют средиземноморскую диету, которая не напрягает печеночные структуры и помогает им бороться с патологией.
- Четырехразовое питание;
- Маленькие порции;
- Чаще кушайте сырые овощи;
- Употребляйте пророщенные злаки;
- Обязательны в рационе свежевыжатые соки;
- Предпочтительный способ готовки – на пару;
- Допускается нежирная рыба или мясо, но только в небольшом объеме;
- Ежедневно кушайте кисломолочную продукцию;
- Рекомендованы легкие супы из овощей, жидкие каши, льняное и оливковое масло.
Категорически исключено употребление любого алкоголя и жирных блюд, маринадов и консервов, пищевых добавок и газировок, шоколада и пирожных, жареного, копченостей и пр.
Отзывы
Ирина:
У папы рак. Врачи буквально огорошили, сказали, что помочь ничем нельзя. Он более 20 лет страдал хроническим гайморитом, в результате в носу сформировалась опухоль. На тот момент врачи успокаивали, что все хорошо будет, новейшее оборудование, знающие специалисты и все такое. После лучевой терапии сделали заключение, что опухоль полностью регрессировала. Но вскоре начал расти лимфоузел на шее, по анализам выявился запредельный билирубин, а в печени нашли метастазы. Ищем варианты лечения, наиболее оптимальные и эффективные именно для нашего случая и надеемся на лучшее.
Виктор:
К сожалению, рак всегда приходит неожиданно. Мне поставили рак поджелудочной с метастазами в печень. Сначала врачи меня открытым текстом отправляли умирать, прогнозировали, что 3 месяца осталось. Прошло 8 месяцев, сижу на полихимиотерапии, но препараты сами покупаем. Онкомаркеры после первых трех курсов снизились с 85000 до 640!!! Что не может не радовать. Главное, настаивать на проведении биопсии, чтобы было все ясно с видом опухоли. Тогда и лечение будет проще правильное подобрать, как в моем случае.
Продолжительность жизни при метастазах печени
Довольно часто онкопациенты умирают уже через год после выявления печеночных метастазов.
gidmed.com
www.oncoforum.ru
Что собой представляют эти образования?
Метастазы печени – это источники опухолевого или воспалительного процесса, что возникли вследствие переноса патологического материала с другого очага этого процесса в организме.
Классификация метастаза печени:
- Oтдаленный. Возник в отдаленных от мест первичного очага органах;
- Гематогенный. Возник вследствие переноса патологического материала током крови;
- Имплантационный. Возник через случайный перенос злокачественных клеток в здоровые ткани;
- Лимфогенный. Перенос патологического материала током лимфы;
- Ортоградный. Гемато- или лимфогенный источник, который возник через перенос патологического материала в сторону природного тока крови или лимфы от первичного очага метастаза печени;
- Ретроградный. Обратный току крови или лимфы.
Метастазы печени опасные, поскольку обозначают долгосрочное наличие ракового процесса. Сколько пройдет времени от первичного очага до возникновения метастаза печени не известно. В каждом организме все индивидуально.
к оглавлению ↑
Почему возникают метастазы?
Метастатическое поражение печени – это процесс переноса патологического материала (злокачественных клеток) из очага опухолевого или воспалительного процесса с возникновением вторичных очагов.
Метастатическое поражение печени имеет несколько этапов:
- отделение злокачественных клеток и выход их с паренхимы органа (например, лёгких, желудка (аденокарцинома), слепой кишки, сигмовидной кишки);
- активная инфильтрация стромы пораженного органа (например, лёгких, желудка (аденокарцинома), слепой кишки, сигмовидной кишки);
- ферментолиз сосудистых стенок, проникновение злокачественных клеток в кровь и лимфу;
- циркуляция раковых клеток по гемато- и лимфогенному руслу;
- прикрепление их к стенке сосуда, проникновение раковых клеток через стенку в орган-мишень и начало опухолевой инвазии. Так возникают метастазы печени.
Множественные метастазы в печени наблюдаются очень редко. По статистике, только 0,05% раковых клеток, которые попадают в сосудистое русло, могут давать начало метастазам.
Чаще всего наблюдаются метастазы в печени и легких. Это два основных органа-мишени, которые поражаются, если есть рак лёгких, желудка (аденокарцинома), слепой кишки, сигмовидной кишки.
к оглавлению ↑
Клинические симптомы метастазирования
Клинические симптомы можно выявить как самостоятельно, так и с помощью дополнительного обследования. Симптомы метастаз в печени напоминают обычную картину заболевания гепатобилиарной системы. Есть характерные боли в правом подреберье и в области пораженного раком органа.
Симптомы метастазы в печени:
- человек жалуется на боли в правом подреберье;
- диспепсический синдром (тошнота, рвота, тяжесть в правом подреберье, эпигастрии);
- пожелтение кожи и склер;
- потемнение мочи, осветление кала;
- потеря веса;
- повышение температуры тела;
- бледность;
- кожный зуд;
- асцит, расширение вен на передней брюшной стенке из-за портальной гипертензии);
- кровотечения из этих же вен и вен желудка, особенно если есть аденокарцинома.
Метастазы в печени, в легких проявляются так:
- относительно поражения железы, выше изложенные симптомы;
- с боку лёгких – постоянный изматывающий кашель;
- одышка;
- при кашле выделяется мокрота или кровь;
- наличие боли в грудной клетке;
- повышение температуры;
- потеря веса.
Наличие боли должно сразу насторожить пациента, и побудить к походу к врачу.
Обратите внимание! Наличие боли указывает на растяжение капсулы органа, а это значит, что она увеличилась в размерах.
Если человек знает, что у него есть рак лёгких, желудка, слепой и сигмовидной кишки, ему немедленно нужно лечиться, чтобы не произошло метастазирования.
Признаки поражения сигмовидной кишки, желудка, лёгких легко распознать по определенным симптомам. Так, если можно поставить рак сигмовидной кишки, то человек будет жаловаться на нарушения стула, вздутие живота, наличия боли в животе (справа), снижение веса.
к оглавлению ↑
Диагностические меры
Диагностика включает в себя сдачу необходимых анализов, проведения инструментальных исследований.
Чтобы выявить метастазы в печени, можно сдать общий и биохимический анализ крови, маркеры злокачественного заболевания (альфа-фетопротеин и другие патогномонические показатели).
В биохимическом анализе необходимо определить показатели АСТ, АЛТ, щелочную фосфатазу, тимоловую пробу, гаптоглобин, С-реактивный протеин, билирубин (общий, прямой и непрямой), альбумин, общий белок, креатинин и мочевину.
Повышение АЛТ и АСТ может указать на нарушение функций гепатобилиарной системы, показатель билирубина может указать на происхождение желтухи (паренхиматозной или обтурационной). Гаптоглобин может указывать на опухолевый процесс или метастазы в печени, тимоловая проба больше пяти – может указать на наличие клеточно-печеночной недостаточности.
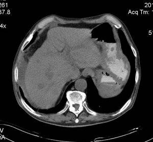
К инструментальным методам диагностики относят УЗИ, КТ или МРТ, сцинтиографию органа. Метастазы в печень диагностируются как наличие маленьких солитарных депозитов. Признаки метастаза печени удобнее распознать на КТ, на снимке орган выглядит как большая узловатая поверхность (не нужно путать с циррозом).
Сцинтиография также выявляет метастазы в печени. На картинке – узлы диаметром более двух сантиметров, но при данном методе может быть ложноположительный или ложноотрицательный результат.
Также, если есть признаки метастаза печени, проводят пункционную биопсию для дальнейшего гистологического обследования образца. Боли пациент не почувствует, поскольку делают местное обезболивание.
Также, чтобы выявить метастазы в печени, назначают диагностическую лапароскопию. В таком случае врач после осмотра может приступить к операции незамедлительно. Метастазы печени можно убрать резекционным методом.
к оглавлению ↑
Лечебная тактика
Метастазы в печени трудно лечить, но терапия в большинстве случаев эффективна. Когда поставлен рак и есть симптомы метастазы в печени, главное, начать своевременное лечение.
Химиотерапия метастаза печени способна вылечить человека. К ней относят назначение цитостатиков (циспластин, 5-фторурацил, циклофосфамид). Выбор цитостатика зависит от характера первичной опухоли. Продолжительность срока лечения определяет врач.
Радиотерапия метастаза печени дает хорошие результаты, определяется доза лучевого излучения на пораженный орган, отлично комбинируется с химиотерапией. Хирургическое лечение метастаза печени заключается в резекции органа, перевязке печеночной артерии. Перед хирургическим вмешательством человек должен пройти предоперационную подготовку.
Вылечить рак можно! На сегодняшний день разрабатываются новые технологии для борьбы с диагнозом «метастазы печени».
к оглавлению ↑
Диета при метастазировании
Питание при метастазах в печени должно быть сбалансированным и витаминизированным. Диета должна включать в себя много овощей, которые богаты на клетчатку. Питание при метастазах в печень должно быть не менее 4 раз в день. Диета может включать отваренные, приготовленные на пару или запеченные блюда.
Диета должна включать такие продукты: хлеб, макаронные изделия, печенье, крупы. Кроме того, диета предлагает готовить и кушать нежирные супы, борщ, нежирное мясо и рыбу, молочные продукты, фрукты и ягоды, травяной чай и кисель.
Диета запрещает употреблять: свежий хлеб, жирные супы, мясо, рыбу, консервы, соленые продукты, бобовые, жаренные яйца, мороженое и шоколад. А также диета запрещает употребление острых блюд и алкогольных напитков. Если соблюдается диета, назначения врача, прогноз выживаемости значительно увеличивается. Вылечить рак с помощью диеты нельзя, должна быть комплексная терапия.
к оглавлению ↑
Прогноз
Прогноз плохой, когда большая часть органа замещена опухолью. Больной человек часто спрашивает: сколько ему осталось жить? Сколько понадобится лечиться?
Сколько денег будет потрачено на лечение метастаза печени?
Вылечить рак возможно на первых стадиях, когда появляются метастазы печени, конечно, жить становится труднее, но цель (вылечить заболевание) должна быть приоритетной. Прогноз ухудшается с каждым днем. Сами по себе метастазы в печени и в легких опасные, поскольку могут привести к внутренним кровотечениям. Прогноз в таком случае еще хуже, ведь это может закончиться смертью.
Человек должен жить, и стремиться к выздоровлению не взирая на поставленный прогноз врачами. Ведь перед тем, как закончится жизнь, можно еще многое успеть. Сколько живут пациенты после наличия метастаза печени, устанавливается индивидуально. Предположительно, прогноз на то, сколько живут пациенты, если обнаружены метастазы печени, ответить сложно.
Если вылечить пациентов, больных на метастазы печени, то они живут еще 5-6 лет, если нет рецидива метастаза печени. Без лечения, живут 9-12 месяцев.
vsepropechen.ru
Классификация поражения
Метастазы печени классифицируются следующим образом:
- отдаленный — узел возник далеко от начального очага образования;
- гематогенный — был перенесен током крови;
- имплантационный — раковые клетки случайно перенеслись на другие ткани;
- ортоградный — лимфогенный источник перенес злокачественный материал от начального очага в сторону естественного тока крови;
- ретроградный — перенос был совершен в обратную сторону тока крови.
Атака печени метастазами происходит в несколько этапов. Сначала злокачественные клетки отеляются и выходят из органа. Дальше происходит усиленная инфильтрация изначально пораженного органа, затем вредоносные клетки проникают в лимфу или кровь. Далее раковые клетки циркулируют по кровяному или лимфогенному руслу.
В конце концов злокачественные клетки прикрепляются к сосудистой стенке и проникают в орган, где дается начало новой опухолевой инвазии.
Симптомы метастазирования в печень
Больной ощущает недомогание, аппетит снижается, происходит резкий сброс веса, появляются отеки, возможно повышение температуры. Часто бывает рвота, нарушается работа пищеварения, под ребрами справа возникает чувство распирания, могут возникнуть загрудинные боли при дыхании.
При прогрессировании процесса в брюшной полости может возникнуть жидкость, появиться кровотечение, цвет лица приобретает землистый оттенок, на лице появляются сосудистые звездочки, передние стенки живота расширяются, ноги отекают. Главным симптомом считается желтизна кожи и глаз.
Диагностика метастаз в печени
Чтобы точно диагностировать метастазирование в печени, нужно сдать биохимические анализы, провести пункцию под контролем КТ, на УЗИ множественные метастазы исследовать на зрелость и уточнить их тип. При рентгеноскопии грудной клетки выяснить, насколько увеличена печень, на радиоизотопном сканировании определить узлы более 2 см и выяснить их локацию.
МРТ может определить размеры узлов, наличие распада или нагноения и характер их роста. Ангиография печеночных сосудов позволяет уточнить конфигурацию опухоли и насколько она снабжается кровью.
Эффективно ли лечить метастазы в печени?
На этот вопрос однозначного ответа быть не может. Результативность лечения зависит от того, где именно располагается опухоль, какова степень развития болезни, какого типа опухоль, насколько высок иммунитет у больного.
Однако существенно пролить жизнь пациента можно при комплексном подходе к лечению.
Иногда можно не делать резекцию органа, а остановиться на противоопухолевой терапии, но продолжительность жизни пациента во многом зависит от того, насколько быстро начнется лечение.
При поражении обеих долей печени лечение стоит начинать с лучевой терапии или с химиотерапии. Химиотерапия приостанавливает дальнейшее продвижение метастазов. Иногда она может помочь удалить мелкие образования. Лучевая терапия тоже замедляет метастазирование, но сказать, сколько живут пациенты с метастазами в печени, все равно затруднительно.
Ухудшает прогноз большое количество метастазов, а также если вторичные очаги возникли не только в печени, но и в других органах. При этом оперативное вмешательство проводиться не будет. В некоторых случаях эффективным оказывается лечение противоопухолевыми препаратами.
Кроме того, при метастазах в печень больной должен соблюдать диету. Необходимо исключить алкоголь, любые напитки с газом, копчености, маринады, жирное мясо, продукты с красителями и искусственными добавками. Пища должна быть на 100% натуральная — рыба нежирных сортов, постное мясо, фрукты, овощи. Это будет положительно влиять на продолжительность жизни.
Как продлить жизнь народными средствами?
Народные средства могут применяться в качестве вспомогательных мер для борьбы с метастазами. Однако нельзя забывать, что растения, которые для этого используются, — ядовитые, поэтому нужно точно соблюдать все пропорции при приготовлении целебных настоев и отваров. Важно понимать, что удалить метастазы средствами народной медицины нельзя, это только дополнительные меры для укрепления печени.
Возьмите 25 г семян болиголова и залейте его полулитром водки. 40 дней средство должно стоять в темном месте. Его надо время от времени встряхивать. После этого лекарство нужно процедить и пить по следующей схеме: принимать средство надо за полчаса до еды.
Первый день — 1 капля, затем 2, потом 3 и так далее, пока не накопится 40 капель. Первые 2 недели средство надо добавлять в 100 г воды. При появлении признаков интоксикации необходимо снизить дозировку.
Следующее средство — из цветов картошки. Налейте в термос пол-литра кипятка и положите туда столовую ложку цветов, берите фиолетовые или белые. Оставьте настаиваться 4 часа. Затем процедите и принимайте по 100 г трижды в день. Курс лечения — не менее месяца. Хранить настойку необходимо в холодном месте.
Мелко порежьте свежую траву чистотела, положите в стеклянную банку и залейте 70% спиртом. Оставьте на сутки, затем принимайте по 25 г 5 дней, потом дозу увеличьте до 50 г и принимайте еще 20 дней.
Каковы прогнозы на жизнь?
Сколько живут с метастазами в печени? Как уже было сказано выше, точных прогнозов продолжительности жизни дать невозможно, все сугубо индивидуально. По статистике, при наличии метастаз в печени без лечения живут лишь 4 месяца, если оказывается квалифицированная терапия, то больше года, на год продлевает жизнь и химиотерапия.
Если метастазы возникли из желудка — год, а если из толстой кишки — до 2 лет. После резекции печени 50% прооперированных пациентов живут более 5 лет. При пересадке печени на ранних сроках поражения добавляется еще 3 года.
Само метастазирование не считается приговором, потому что ситуация может развиваться по-разному. Продолжительность жизни во многом зависит от того, как будут вести себя метастазы.
При агрессивном поведении метастазов срок жизни существенно уменьшается, а если в печени только одна, медленно растущая или вообще не растущая метастаза, то, соответственно, жизненный срок увеличивается.
Хотя печень — это один из основных органов, куда проникают метастазы, множественные злокачественные отростки в печени — не очень частое явление, по статистике, только 0,05% злокачественных клеток попадают в сосудистое русло. При условии, что врачи смогли удалить основную опухоль и раковые образования вторичного порядка, то после операции пациент может жить более 5 лет, если не возникнет рецидивов.
При диагнозе метастазы печени прогноз — это всего лишь статистка. А статистика, как известно, может меняться. В лечении онкозаболеваний настрой пациента и его готовность бороться — большое подспорье. Главное, что должен делать пациент — это верить в излечение и делать для этого все возможное, тогда жизненный прогноз перестает быть важным, важной остается только жизнь.
pro-rak.ru
