Метастазы в печени — серьезная проблема в онкологии, указывающая на распространение злокачественного процесса и ухудшающая прогноз для пациентов. Печень, как ключевой орган обмена веществ, часто становится мишенью для раковых клеток из-за своей анатомической структуры и кровоснабжения. В статье рассмотрим основные симптомы, методы лечения и прогноз жизни пациентов с метастазами в печени, что поможет лучше понять эту патологию и важность ранней диагностики и адекватного лечения.
Общие сведения
Метастазы представляют собой один из ключевых признаков прогрессирования злокачественных опухолей, проявляясь в колонизации опухолевыми клетками удаленных органов и, как правило, являясь основной причиной летальных исходов при раке.
Процесс метастазирования раковых клеток может осуществляться различными способами:
- Лимфогенный путь — через лимфатические сосуды, при котором вторичная опухоль формируется в лимфоузлах.
- Гематогенный путь — раковые клетки перемещаются с кровью и оседают в различных органах. Обычно такие клетки попадают в органы с высоким кровоснабжением, такие как печень и легкие.
- Имплантационный путь — через полости тела, включая брюшину и плевральную полость.
Метастатический рак печени является одним из наиболее распространенных видов метастатических поражений при онкологических заболеваниях, что связано с особенностями строения и функциями этого органа. Примерно у одной трети пациентов с злокачественными новообразованиями различной локализации наблюдаются метастазы в печени, причем почти 50% из них связано с висцеральными органами, кровь из которых оттекает через систему воротной вены (чаще всего это касается злокачественных опухолей кишечника). Среди первичных опухолей, метастазы в печени чаще всего возникают при раке молочной железы, желудка, легких, поджелудочной железы, желчного пузыря и мочеполовой системы.
В России ежегодно фиксируется около 450 тысяч новых случаев метастазирования в печень. Основными признаками метастатических поражений печени являются множественные опухолевые узлы (узловые формы), которые вовлекают значительные объемы печеночной паренхимы, с возможной локализацией как в центре, так и на поверхности печени. В 75% случаев наблюдается тотальное поражение печени, в 16% — единичные метастазы, а в 9% — солитарные метастазы. Размер метастазов может варьироваться от небольших (несколько миллиметров) до крупных (несколько сантиметров), они имеют округлую или неправильную форму и четкие контуры.
Гистологическая структура метастазов в печени, как правило, соответствует структуре первичного очага, хотя в редких случаях может наблюдаться несоответствие гистологических и патологоанатомических характеристик метастазов и первичной опухоли, что связано с различной степенью дифференцировки раковых клеток. При этом доля пациентов с первично резектабельными метастазами в печени составляет 20-25%, в то время как в 75-80% случаев метастатические новообразования в печени являются неоперабельными.
Врачи отмечают, что метастазы в печени являются серьезной проблемой, часто свидетельствующей о прогрессировании онкологического заболевания. Они подчеркивают, что печень — это орган, который активно участвует в обмене веществ и фильтрации крови, что делает его уязвимым для распространения раковых клеток. Специалисты указывают на важность ранней диагностики, так как на начальных стадиях метастазы могут не проявляться явными симптомами. Врачи рекомендуют регулярные обследования для пациентов с высоким риском, включая тех, кто уже перенес рак. Лечение метастазов в печени может включать химиотерапию, радиотерапию и хирургическое вмешательство, однако выбор метода зависит от стадии заболевания и общего состояния пациента. Важно, чтобы пациенты получали комплексный подход к лечению, включая поддержку со стороны мультидисциплинарной команды специалистов.
https://youtube.com/watch?v=ey_yexfABDE
Патогенез
Появление раковых клеток в печени связано с особенностями кровообращения в этом органе. Печень обладает значительным объемом крови, достигающим 1,5 литра в минуту, и медленным движением крови через узкие сосуды в печеночных дольках. Эти факторы создают условия для высокой вероятности оседания онкоклеток в печени.
Сначала раковые клетки отделяются от первичной опухоли и начинают двигаться к сосуду, проникая в его просвет. В процессе этого адгезия между онкоклетками ослабевает, и они начинают связываться с частицами матрикса. Затем клетки, следуя за кровотоком, перемещаются и прикрепляются к стенкам сосудов других органов, проникая через артериальные стенки и углубляясь в ткани. После этого начинается их активное размножение.
| Источник первичной опухоли | Вероятность метастазирования в печень | Особенности метастазов в печени |
|---|---|---|
| Колоректальный рак | Высокая (до 70% случаев) | Часто множественные, могут быть солитарными, хорошо поддаются хирургическому лечению при определенных условиях |
| Рак поджелудочной железы | Высокая | Часто множественные, быстро прогрессирующие, прогноз неблагоприятный |
| Рак молочной железы | Средняя | Могут быть солитарными или множественными, часто развиваются спустя длительное время после лечения первичной опухоли |
| Рак легкого | Средняя | Часто множественные, могут быть как крупными, так и мелкими, прогноз неблагоприятный |
| Рак желудка | Средняя | Часто множественные, могут быть как крупными, так и мелкими, прогноз неблагоприятный |
| Нейроэндокринные опухоли | Высокая | Часто множественные, могут быть функционально активными (выделять гормоны), хорошо поддаются локальным методам лечения |
| Меланома | Средняя | Могут быть солитарными или множественными, часто быстро прогрессируют, прогноз неблагоприятный |
| Рак почки | Низкая | Могут быть солитарными, часто развиваются спустя длительное время после лечения первичной опухоли |
| Рак яичников | Средняя | Часто множественные, могут быть как крупными, так и мелкими, прогноз неблагоприятный |
| Саркомы | Низкая | Могут быть солитарными или множественными, часто быстро прогрессируют, прогноз неблагоприятный |
Классификация
Клиническая классификация метастазов в печени основывается на степени поражения органа, в связи с чем выделяются следующие стадии:
- Первая стадия характеризуется наличием одного метастаза, при этом объем поражения печени не превышает 25%.
- Вторая стадия включает множественные или билобарные метастазы с объемом до 25%, либо один метастаз с объемом поражения печени от 25% до 50%.
- Третья стадия определяется множественными или билобарными метастазами с объемом поражения от 25% до 50%, а также метастазами, при которых общий объем поражения превышает 50%.
Метастазы в печени — это серьезная проблема, о которой говорят многие пациенты и их близкие. Часто слышно, что это состояние вызывает страх и беспокойство, так как оно ассоциируется с запущенными стадиями рака. Люди делятся своими историями о том, как узнали о диагнозе, и как это изменило их жизнь. Некоторые отмечают, что важным шагом стало обращение к специалистам и получение второго мнения. Многие пациенты говорят о необходимости поддерживать позитивный настрой и искать поддержку у родных и друзей. В то же время, обсуждаются различные методы лечения, включая химиотерапию и таргетную терапию, которые могут помочь в борьбе с болезнью. Важно, что информация и опыт других людей помогают не только в принятии решений, но и в эмоциональной поддержке в трудные времена.
https://youtube.com/watch?v=YUeVEoIzRj0
Причины
Точные причины метастазирования остаются неясными. Этот процесс является крайне сложным, и для его понимания разработано множество теорий, моделей и гипотез. Обычно отделение раковой клетки начинается, когда опухоль достигает определенного размера и клетки создают благоприятные условия: увеличивается количество рецепторов на их поверхности, чувствительных к факторам роста; подавляется иммунный ответ; стимулируется образование сосудистой сети в области опухоли. Известно, что триггерами для появления новых метастазов могут служить различные травматические факторы, такие как хирургическое удаление первичной опухоли или биопсия.
На сегодняшний день точно предсказать возникновение вторичных опухолей практически невозможно. Единственным надежным методом остается регулярный мониторинг с применением современных технологий, таких как компьютерная томография (КТ) или магнитно-резонансная томография (МРТ) с контрастом и другие методы.
Симптомы
На ранних стадиях метастазы в печени зачастую не проявляют явных симптомов, реже наблюдаются неспецифические признаки, такие как:
- Усталость и быстрая утомляемость.
- Значительное снижение аппетита.
- Потеря веса.
- Землистый или желтоватый оттенок кожи.
- При пальпации — уплотнение или болезненность печени.
С увеличением размеров вторичных опухолей происходит растяжение капсулы печени, что приводит к сдавлению желчных внутрипеченочных протоков. В результате этого симптомы метастазов становятся более выраженными. Пациенты начинают ощущать давление, распирание или боль в области живота, зуд кожи, анорексию, интоксикацию.
Также может возникнуть желтуха, повышенная температура тела, которая не поддается симптоматической терапии, а также расширение поверхностных вен на животе. При пальпации отмечаются признаки гепатомегалии, часто развивается асцит. По мере прогрессирования заболевания может возникнуть печеночная недостаточность или печеночная кома. Симптомы в предсмертный период могут различаться, но чаще всего проявляются в виде выраженной общей слабости, судорог, а затем развивается заторможенность или потеря сознания, исчезают рефлексы.
https://youtube.com/watch?v=CrmDoqSIuAY
Анализы и диагностика
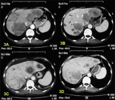
Проводятся диагностические исследования для определения местоположения первичной опухоли, а также применяются инструментальные методы для визуализации метастазов и оценки степени поражения печени. К таким методам относятся УЗИ, МРТ/ПЭТ с контрастным веществом, ПЭТ-КТ и ангиография. Если выявить первичную опухоль не удается, для установления гистологического диагноза выполняется биопсия измененных участков печени.
Также назначается анализ крови, который может показать лейкоцитоз с нейтрофильным сдвигом, повышенную скорость оседания эритроцитов (СОЭ) и гипохромную анемию. В печеночных пробах наблюдается увеличение активности щелочной фосфатазы и гамма-глутамилтрансферазы (ГГТ). При серологической диагностике отмечается повышение уровня альфа-фетопротеина, что является показателем онкомаркера.
Лечение
Что предпринять и как лечить метастатический рак печени? Учитывая короткий срок выживания пациентов с вторичным раком печени, основной задачей становится выбор наиболее эффективного метода лечения, который поможет минимизировать риск распространения опухоли и поддерживать приемлемое качество жизни больных. При определении стратегии терапии метастазов печени следует учитывать:
- Количество метастазов и степень поражения печени.
- Тип онкологического заболевания.
- Уровень нарушения функции печени и других органов.
На сегодняшний день хирургическое вмешательство является основным методом лечения для пациентов с вторичными злокачественными опухолями печени, что способствует увеличению продолжительности жизни. Однако резектабельными считаются только унилобарные или солитарные метастазы, которые можно полностью удалить во время операции. Основными показаниями для краевой резекции являются метастазы, расположенные на поверхности печени, размером до 5 см, или наличие трех очагов диаметром до 3 см.
Метастазы, находящиеся глубоко и превышающие 5 см в диаметре, требуют расширенной резекции при условии удовлетворительного состояния функции печени. Применение современных технологий, таких как аргоновый коагулятор и ультразвуковой деструктор-аспиратор, позволяет проводить радикальные операции по резекции метастазов с учетом принципа «опухоль – свободные края», то есть на расстоянии 1 см от границы опухолевого узла. При метастатическом поражении печени гепатэктомия с трансплантацией печени не дает ожидаемых результатов из-за высокого риска ранних рецидивов.
Также применяются малоинвазивные локальные методы, направленные на разрушение метастазов: химическая абляция с помощью чрескожного введения этанола, криоабляция, микроволновая коагуляция. Эффективным локальным методом является радиочастотная абляция, которая воздействует на метастатический узел высокой температурой, создаваемой радиоволнами, подаваемыми через тонкий зонд. Метод трансартериальной химиоэмболизации также широко используется, при этом метастатический узел отключается от артериального кровотока, после чего на него воздействуют химиопрепаратом.
Тем не менее, из-за поздней диагностики метастатического поражения печени радикальные операции удается провести лишь у 10-15% пациентов. В случаях, когда хирургические методы лечения невозможны по различным причинам (например, тромбоз воротной вены, декомпенсированный цирроз, нарушения свертываемости крови, выраженный цирроз), применяются нехирургические методы лечения, такие как химиотерапия и лучевая терапия.
При нерезектабельных метастазах в печени используются различные схемы паллиативной химиотерапии. Широко распространены комбинированные методы лечения пациентов с метастатическим поражением печени, включающие адъювантную и неоадъювантную химиотерапию. Для этого применяются различные комбинации цитостатиков, таких как Оксалиплатин и Иринотекан, а также таргетные препараты, такие как Бевацизумаб, Цетуксимаб и Авастин в неоадъювантном режиме.
Важно отметить, что радикальная резекция метастазов в печени является целью как хирургов, так и химиотерапевтов. Поэтому необходимо проводить максимально эффективную химиотерапию с использованием таргетных препаратов в течение 2-3 месяцев и тщательно оценивать ее результаты для возможности операции. В ряде случаев (40-50%) удается достичь объективного эффекта, что увеличивает шансы на резектабельность у пациентов.
В запущенных случаях, когда невозможно провести операционное удаление метастазов или химиотерапию (по состоянию здоровья), назначается симптоматическая терапия, направленная на поддержание жизненных функций и уменьшение болевого синдрома. Можно ли вылечить метастазы в печени? Часто на различных форумах можно встретить положительные отзывы о возможности излечения при метастазах в печень. Однако реальная возможность излечения существует лишь для небольшой группы пациентов с единичными метастазами небольшого размера. В случае стабилизации онкопроцесса и уменьшения метастатических очагов в печени (на фоне неоадъювантной химиотерапии) возрастает вероятность проведения радикальной операции – резекции печени, криодеструкции или радиочастотной абляции. Лечение народными средствами метастазов в печени не приносит ожидаемого результата.
Лекарства
ИринотеканАвастин
Процедуры и операции
Абляционные процедуры. Эти процедуры могут проводиться лапароскопически, через кожу или открытым способом. В качестве методов используются инъекции этанола и радиочастотная абляция. Техника радиочастотной абляции основана на использовании одноигольных или многоугольных электродов (в зависимости от размера метастаза), которые вводятся в опухоль под контролем компьютерной томографии и анестезией. Время воздействия составляет от 10 до 30 минут при температуре 100 °C, а контроль за разрушением образования осуществляется через сутки. Процедура может быть повторена до достижения полной деструкции метастаза. К противопоказаниям относятся крупные размеры метастатического узла, множественные поражения, выраженный цирроз печени (в стадии декомпенсации), а также близкое расположение метастатического узла к желчным протокам или другим органам.
Трансартериальная хемоэмболизация. Этот метод заключается во введении химиотерапевтического или эмболизирующего препарата в печеночную артерию через катетер, что позволяет доставить химиопрепарат в высоких концентрациях (например, доксорубицин, цисплатин) непосредственно в опухоль и увеличить время его воздействия на клетки метастатического узла. Процедуру можно проводить многократно.
Диета
Диета 5-й стол
- Результативность: оздоровительный эффект уже через 14 дней
- Продолжительность: от 3 месяцев и дольше
- Цена товаров: 1200-1400 рублей в неделю
Диета при заболевании печени
- Эффективность: лечебный эффект наблюдается через 2 недели
- Сроки: от 6 месяцев и более
- Стоимость продуктов: 1300-1400 рублей в неделю
Питание пациентов с метастазами в печени, как тех, кто не подлежит операции, так и тех, кто проходит курс химиотерапии, организуется согласно диетическому Столу №5. В случае, если пациенту была проведена резекция метастатических узлов, в ранний послеоперационный период назначается голодание, а затем на несколько дней — Стол №1, с последующим переходом на Стол №5.
Основой диетического питания стола №5 является сбалансированный рацион, в который не входят жареные блюда, жирные продукты, тугоплавкие жиры, копчености, а также первые блюда, приготовленные на крепком бульоне и с добавлением заправок из жареных овощей или лука. Это помогает снизить нагрузку на печень и уменьшить стимуляцию секреции. Для приготовления пищи рекомендуется использовать пароварку. Блюда готовятся преимущественно методом отваривания или тушения. Запекание продуктов без корочки также допустимо.
Профилактика
Профилактика появления метастазов в печени заключается в раннем обнаружении первичной опухоли и ее оперативном и правильном лечении.
Последствия и осложнения
Наиболее серьезным осложнением, возникающим после хирургических операций на печени, связанных с удалением метастазов, является печеночная недостаточность. По усредненным данным, после крупных резекций печени частота пострезекционной печеночной недостаточности (которая включает в себя нарушения детоксикационной, синтетической и секреторной функций) достигает 32,0%. Это состояние может проявляться такими симптомами, как гипербилирубинемия, удлинение протромбинового времени, гипоальбуминемия, повышение уровня лактата в сыворотке или признаки печеночной энцефалопатии.
Вероятность развития печеночной недостаточности после операций, особенно при значительных резекциях печени, во многом зависит от объема оставшейся печеночной ткани. Исследования показывают, что резекция печени считается относительно безопасной, если объем функционирующей печени (FRL) составляет не менее 30% при нормальной функции и не менее 40% при ее нарушении. По данным литературы, летальные исходы и послеоперационные осложнения чаще всего наблюдаются у пациентов, перенесших резекцию трех и более сегментов печени.
Прогноз
Какова продолжительность жизни пациентов с метастазами в печени? Прогноз выживаемости при метастазах в печени зависит от множества факторов: времени появления метастазов, степени поражения печени, места расположения первичной злокачественной опухоли, а также пола и возраста пациента. В среднем, срок жизни без хирургического вмешательства колеблется от 4 до 8 месяцев и зависит от источника метастазирования (локализации первичной опухоли). Исследования показывают, что при метастазах в печень, вызванных раком толстой кишки, средняя продолжительность жизни несколько выше, чем при метастазах, связанных с раком желудка, а также в случаях низкодифференцированных опухолей. При значительном поражении печени средняя продолжительность жизни пациентов оказывается значительно ниже (в 1,4 раза) по сравнению с теми, у кого имеются одиночные метастазы.
Если метастазы в печени сочетаются с поражением прилегающих или отдаленных лимфатических узлов, прогноз становится гораздо менее благоприятным. Также значительно ухудшается прогноз при наличии асцита. При полном хирургическом удалении метастазов в печени статистически подтверждено, что 5-летняя выживаемость достигается у 36,7% пациентов. При этом, результаты выживаемости у тех, кто прошел удаление первичного очага и курс полихимиотерапии, в 1,5 раза выше, чем у больных, получавших только хирургическое лечение (57%).
Список источников
- Насыров А.Р., Пирцхалава Т.Л., Коровина Я.В. Химиотерапия пациентов с нерезектабельными метастазами колоректального рака в печени: системный или регионарный подход? Вопросы онкологии 2011; 57 (2): 192–198.
- Патютко Ю.И., Сагайдак И.В., Поляков А.Н. и др. Резекция печени: современные методы при опухолевых поражениях. Анналы хирургической гепатологии 2010; 2: 9–17.
- Патютко Ю.И., Сагайдак И.В., Поляков А.Н. и др. Десятилетняя выживаемость пациентов с злокачественными опухолями печени после хирургического вмешательства. Анналы хирургической гепатологии 2010; 3: 39–47.
- Скипенко О.Г., Полищук Л.О. Хирургическое вмешательство при метастазах колоректального рака в печени. Хирургия 2009; 5: 15–22.
- Чекмазов И.А., Иваников И.О., Сапронов Г.В., Кириллова Н.Ч., Виноградова Н.Н. Рак печени: причины, патогенез и результаты длительного клинико-эпидемиологического наблюдения. Доказательная гастроэнтерология 2019; 8(1): 5–15.
Психологические аспекты и поддержка пациентов
Метастазы в печени представляют собой серьезное осложнение, возникающее при распространении раковых клеток из первичного опухолевого очага в другие органы. Психологические аспекты, связанные с диагнозом метастазов, играют важную роль в общем состоянии пациента и его качестве жизни. Узнав о наличии метастазов, многие пациенты испытывают широкий спектр эмоций, включая страх, тревогу, депрессию и безнадежность.
Психологическая реакция на диагноз может варьироваться в зависимости от индивидуальных особенностей пациента, его жизненного опыта и системы поддержки. Важно отметить, что наличие метастазов в печени часто ассоциируется с ухудшением прогноза, что может усиливать чувство беспомощности и страха перед будущим. Пациенты могут испытывать трудности в принятии своего состояния, что может привести к социальной изоляции и снижению качества жизни.
Поддержка со стороны семьи, друзей и медицинского персонала играет ключевую роль в преодолении психологических трудностей. Эмоциональная поддержка может помочь пациентам справиться с негативными эмоциями и адаптироваться к новым условиям жизни. Важно, чтобы близкие люди были готовы выслушать и поддержать пациента, а также помочь ему найти информацию о заболевании и доступных вариантах лечения.
Психотерапия и консультирование могут быть полезными для пациентов с метастазами в печени. Профессиональная помощь может помочь в обработке эмоций, связанных с диагнозом, а также в разработке стратегий преодоления стресса и тревоги. Группы поддержки, где пациенты могут делиться своими переживаниями и опытом, также могут оказать положительное влияние на психологическое состояние.
Кроме того, важно учитывать, что физическое состояние пациента может влиять на его психологическое состояние. Боль, усталость и другие симптомы, связанные с метастазами, могут усугублять депрессию и тревогу. Поэтому комплексный подход к лечению, включающий как медицинские, так и психологические аспекты, является необходимым для улучшения качества жизни пациентов.
В заключение, метастазы в печени не только представляют собой медицинскую проблему, но и оказывают значительное влияние на психологическое состояние пациента. Поддержка со стороны окружающих, профессиональная помощь и внимание к эмоциональным потребностям могут существенно улучшить качество жизни и помочь пациентам справиться с трудностями, связанными с их состоянием.
Вопрос-ответ
Сколько живут с метастазами в печень?
Метастазы рака в печень: прогноз. К сожалению, в большинстве случаев продолжительность жизни после обнаружения вторичных опухолей в печени составляет примерно от полугода до полутора лет.
Можно ли вылечить метастазы в печени?
Прогноз. После того как первичная опухоль дала метастазы в печень, полное выздоровление в большинстве случаев, к сожалению, недостижимо. Современная комплексная терапия направлена на увеличение продолжительности жизни пациентов и облегчение симптомов заболевания (паллиативная помощь).
Как себя чувствует человек с метастазами в печени?
Из-за поражения опухолью печень не может эффективно обезвреживать токсичные вещества в крови и выводить желчь. Беспокоят боли и неприятные ощущения под правым ребром, тошнота, рвота, отрыжка, привкус горечи во рту, диарея или запоры. Кожа приобретает землистый оттенок.
Что нельзя при метастазах в печени?
Что нужно исключить из питания? К ним относят жирные сорта мяса, рыбы, крепкие бульоны, острую, жирную, соленую пищу, копчености, острые специи, соусы. Также необходимо полностью исключить употребление алкоголя, кофеина, любых газированных напитков.
Советы
СОВЕТ №1
Регулярно проходите медицинские обследования, особенно если у вас есть факторы риска, такие как наследственность или хронические заболевания печени. Раннее выявление метастазов может значительно повысить шансы на успешное лечение.
СОВЕТ №2
Обратите внимание на свое питание. Сбалансированная диета, богатая антиоксидантами, витаминами и минералами, может поддержать здоровье печени и улучшить общее состояние организма. Избегайте алкоголя и жирной пищи.
СОВЕТ №3
Не игнорируйте симптомы, такие как необъяснимая потеря веса, усталость, желтуха или боли в правом подреберье. Эти признаки могут указывать на проблемы с печенью и требуют немедленного обращения к врачу.
СОВЕТ №4
Обсуждайте с врачом все доступные методы лечения и поддерживающую терапию. Современные подходы к лечению метастазов в печени могут включать химиотерапию, радиотерапию и хирургическое вмешательство, и важно выбрать оптимальный план действий.




