Лимфоцитоз – клинический показатель, указывающий на различные заболевания у взрослых и детей. Увеличение лимфоцитов в крови связано с инфекциями, воспалениями и серьезными патологиями, включая онкологические заболевания. Понимание причин абсолютного и относительного лимфоцитоза важно для диагностики и выбора стратегии лечения. В статье рассмотрим основные причины лимфоцитоза, его диагностику и значение для здоровья, что поможет читателям лучше ориентироваться в этом аспекте медицины.
Общие сведения
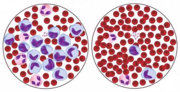
Лимфоцитоз – это состояние, характеризующееся повышением уровня лимфоцитов в периферической крови. Лимфоциты – это белые кровяные клетки, которые образуются в костном мозге. Когда их количество превышает нормальные значения, это может указывать на наличие патологических процессов в организме. Лимфоцитоз не является отдельным заболеванием, а представляет собой симптом, который может возникать при различных заболеваниях. Он служит индикатором того, идет ли процесс выздоровления или наблюдается прогрессирование болезни. Поэтому, если результаты анализов показывают отклонения от нормы, крайне важно выяснить причину этого состояния для того, чтобы предпринять необходимые меры для его устранения.
Лимфоцитоз, характеризующийся повышением уровня лимфоцитов в крови, вызывает интерес у врачей различных специальностей. Многие специалисты отмечают, что этот симптом может быть как физиологической нормой, так и признаком серьезных заболеваний. Например, инфекционные болезни, такие как вирусные гриппы или мононуклеоз, часто сопровождаются лимфоцитозом, что указывает на активизацию иммунной системы. Однако, по мнению врачей, важно учитывать и другие факторы, такие как возраст пациента, наличие сопутствующих заболеваний и клиническую картину. В некоторых случаях лимфоцитоз может свидетельствовать о хронических заболеваниях, таких как лимфома или лейкемия, что требует более углубленного обследования. Врачи подчеркивают, что правильная интерпретация результатов анализа крови и комплексный подход к диагностике являются ключевыми для определения причины лимфоцитоза и выбора адекватной терапии.
https://youtube.com/watch?v=SRjVEnUIsdA
Что такое лимфоциты?
Это клетки крови, играющие ключевую роль в функционировании иммунной системы человека. Белые кровяные клетки, отвечающие за защиту организма, называются лейкоцитами. Они делятся на несколько категорий:
- эозинофилы;
- нейтрофилы;
- моноциты;
- базофилы;
- лимфоциты.
Именно лимфоциты обеспечивают долговременный иммунитет, в то время как остальные группы клеток отвечают за кратковременную защиту. Лимфоциты делятся на три основных типа:
- В-лимфоциты — отвечают за выработку антител, необходимых для борьбы с патогенными микроорганизмами, такими как бактерии, вирусы и грибки, обеспечивая гуморальный иммунитет. Они составляют примерно 15% от общего числа лимфоцитов. Эти клетки формируются в селезенке, затем мигрируют в лимфоузлы, где концентрируются. Некоторые из них обладают «памятью» о чуждых веществах, которую могут сохранять на протяжении нескольких лет, что позволяет им эффективно реагировать на повторные атаки.
- Т-лимфоциты – играют важную роль в координации иммунного ответа, активируя другие типы клеток и уничтожая пораженные вирусами и бактериями клетки, а также некоторые опухолевые клетки. Они также помогают В-лимфоцитам в производстве антител. Т-лимфоциты составляют около 75% всех лимфоцитов. Эти клетки образуются в костном мозге, затем попадают в вилочковую железу, где превращаются в полноценные лимфоциты. Наибольшее количество Т-лимфоцитов наблюдается у детей.
- NK-лимфоциты – их основная задача заключается в уничтожении перерожденных клеток, таких как опухолевые и инфицированные вирусами. Они способны атаковать даже те клетки, которые недоступны для Т-лимфоцитов. Примерно 10% всех лимфоцитов составляют именно NK-лимфоциты.
Лимфоциты и моноциты относятся к агранулоцитам, то есть клеткам, в которых отсутствуют зернистые включения в их структуре. Эти клетки имеют более длительный срок жизни по сравнению с другими типами клеток крови.
Количество лимфоцитов увеличивается во время инфекционных заболеваний. Однако, когда человек выздоравливает, уровень лимфоцитов постепенно нормализуется. Тем не менее, постоянное наличие лимфоцитоза без видимых причин может быть тревожным сигналом и указывать на наличие серьезных заболеваний.
| Причина лимфоцитоза | Тип лимфоцитов | Дополнительные симптомы |
|---|---|---|
| Острые вирусные инфекции (грипп, ОРВИ, мононуклеоз) | Активированные T-лимфоциты, атипичные лимфоциты | Лихорадка, боль в горле, увеличение лимфоузлов, слабость |
| Хронические инфекции (туберкулез, бруцеллез, сифилис) | T-лимфоциты, B-лимфоциты | Длительная лихорадка, потеря веса, увеличение лимфоузлов, специфические симптомы заболевания |
| Аутоиммунные заболевания (ревматоидный артрит, системная красная волчанка) | T-лимфоциты, B-лимфоциты | Боль в суставах, кожные высыпания, усталость, поражение органов |
| Злокачественные новообразования (хронический лимфолейкоз, лимфомы) | Атипичные B-лимфоциты, T-лимфоциты | Увеличение лимфоузлов, селезенки, печени, ночная потливость, потеря веса |
| Стресс, физическая нагрузка | T-лимфоциты | Временное повышение, обычно без других симптомов |
| Прием некоторых лекарственных препаратов (например, фенитоин) | T-лимфоциты | Кожная сыпь, лихорадка, увеличение лимфоузлов |
| Удаление селезенки (спленэктомия) | B-лимфоциты | Повышенный риск инфекций |
Патогенез
Колебания уровня лимфоцитов в крови, отклоняющиеся от нормальных значений, указывают на наличие определенных проблем в работе организма. Это может происходить как в результате возникновения заболеваний, требующих увеличения выработки этих клеток, так и из-за сбоев в процессе их производства в организме.
Лимфоцитоз — это состояние, при котором наблюдается повышенное количество лимфоцитов в крови. Многие люди, столкнувшиеся с этой проблемой, отмечают, что это может быть признаком различных заболеваний, включая инфекции, воспалительные процессы или даже онкологические заболевания. Некоторые пациенты делятся своими переживаниями о том, как лимфоцитоз стал для них неожиданным открытием во время планового обследования. Важно отметить, что не всегда лимфоцитоз требует немедленного лечения; иногда достаточно наблюдения и повторных анализов. Однако многие выражают беспокойство и желание разобраться в причинах своего состояния. Врачебные рекомендации и дополнительные исследования помогают людям лучше понять, что стоит за повышением лимфоцитов и как это может повлиять на их здоровье. Обсуждения на форумах и в социальных сетях показывают, что поддержка и обмен опытом с другими пациентами играют важную роль в процессе адаптации к новому диагнозу.
https://youtube.com/watch?v=nQwvw3wE-Vk
Классификация
В медицине выделяют несколько типов данного явления:
- Абсолютный лимфоцитоз – характеризуется значительным увеличением количества лимфоцитов в крови по сравнению с нормой. Этот тип может быть связан с рядом серьезных заболеваний, таких как инфекционный мононуклеоз, гепатит, нарушения в работе эндокринной системы, лимфосаркома и другими. Таким образом, данный показатель указывает на наличие серьезных проблем в организме, что требует незамедлительного вмешательства специалиста.
- Относительный лимфоцитоз – в этом случае общее количество лимфоцитов остается неизменным, однако изменяется их соотношение с другими видами белых кровяных клеток. Относительный лимфоцитоз встречается чаще. Он наблюдается у людей, которые восстанавливаются после перенесенного заболевания или недавно страдали от инфекционной болезни. Также это состояние может быть характерно для взрослых и детей на начальных стадиях вирусных инфекций. Таким образом, это состояние является нормальной реакцией иммунной системы на инфекционные атаки.
Также выделяют инфекционный лимфоцитоз, который возникает при воздействии лимфотропного вируса в результате острого вирусного поражения.
Снижение уровня лимфоцитов в крови называется лимфопенией.
Кроме того, различают временный и постоянный лимфоцитоз.
- Временный – возникает в результате инфекций, травм, приема медикаментов, отравлений и других факторов.
- Постоянный – свидетельствует о наличии серьезных заболеваний в организме.
Причины лимфоцитоза в крови
Причины возникновения лимфоцитоза могут быть разнообразными. В первую очередь, как у взрослых, так и у детей, лимфоцитоз может быть вызван инфекционными заболеваниями. Когда организм человека или ребенка подвергается воздействию инфекционного агента, особенно вируса, иммунная система начинает активно вырабатывать Т-лимфоциты и NK-клетки для эффективной борьбы с патогенами. В данном случае речь идет о реактивном лимфоцитозе.
Изменение уровня лимфоцитов может быть обусловлено следующими факторами:
- грипп и ОРВИ;
- инфекционный мононуклеоз;
- СПИД — вирус иммунодефицита человека поражает клетки иммунной системы, и на ранних стадиях заболевания наблюдается увеличение количества лимфоцитов;
- герпес;
- ветрянка;
- вирусные гепатиты;
- краснуха;
- корь;
- паротит;
- коклюш;
- аденовирусная инфекция.
Относительный лимфоцитоз у взрослых может возникнуть после перенесенного заболевания, когда организм восстанавливается.
Лимфоцитоз также может быть вызван бактериальными и протозойными инфекциями, однако стоит отметить, что не все бактериальные инфекции приводят к этому состоянию.
Это явление также наблюдается при заболеваниях кроветворной системы и лимфатической ткани, многие из которых могут быть злокачественными. Для таких заболеваний характерен лимфоцитоз, но при этом иммунные клетки не функционируют должным образом, так как они не являются полноценными. Это может происходить при следующих заболеваниях:
- лимфома;
- лимфогранулематоз;
- лимфобластный лейкоз в острой и хронической формах;
- лимфосаркома;
- миелома.
При аутоиммунных заболеваниях, когда здоровые клетки подвергаются атаке со стороны собственного иммунитета, лимфоцитоз также является характерным признаком. Это наблюдается при таких заболеваниях:
Количество иммунных клеток в крови может увеличиваться и по другим причинам, среди которых можно выделить:
- злоупотребление алкоголем и курение;
- употребление наркотиков;
- лечение определенными препаратами (например, Фенитоин, Леводопа, некоторые антибиотики и анальгетики);
- длительное голодание и строгие диеты;
- чрезмерное потребление углеводов;
- гипертиреоз;
- предменструальный период;
- аллергические реакции;
- нарушения в работе эндокринной системы;
- отравление токсинами;
- некоторые онкологические заболевания на ранних стадиях;
- стресс и неврастения;
- последствия удаления селезенки, так как в этом органе происходит распад иммунных клеток, и его удаление может временно увеличить уровень лимфоцитов;
- травмы и ранения;
- облучение;
- последствия вакцинации;
- интенсивные физические нагрузки;
- дефицит витамина B12.
Причины лимфоцитоза у детей также могут быть разнообразными. У малышей относительное увеличение лимфоцитов — довольно распространенное явление, особенно в первые годы жизни, когда формируется нормальная функция иммунной системы. Дети часто сталкиваются с различными инфекциями, а также изменения в формуле крови могут быть вызваны сильными стрессами и физическими нагрузками.
Тем не менее, не стоит исключать возможность более серьезных проблем. Повышение уровня лимфоцитов может быть признаком тяжелых заболеваний крови, таких как острый лимфобластный лейкоз, при котором в костном мозге образуются незрелые иммунные клетки. Поэтому при изменениях в формуле крови важно пройти обследование и проконсультироваться с врачом.
https://youtube.com/watch?v=eDpkzE-TcWA
Симптомы
Основным признаком лимфоцитоза является изменение в анализе крови. Однако если данное состояние вызвано инфекцией, у пациента могут возникнуть симптомы, характерные для инфекционных заболеваний, такие как высокая температура, кашель, сыпь, насморк и другие. Тем не менее, эти проявления не являются прямыми признаками увеличения лимфоцитов.
В некоторых случаях лимфоцитоз, вызванный неинфекционными факторами, может сопровождаться увеличением селезенки и лимфатических узлов.
Другие проявления этого состояния будут зависеть от причины, которая вызвала изменения в формуле крови пациента.
Если лимфоциты увеличиваются у человека, который уже перенес инфекционное заболевание, его общее состояние обычно остается нормальным, без каких-либо патологий.
При абсолютном лимфоцитозе, возникающем из-за опухолевых процессов в кроветворной ткани, могут проявляться симптомы, указывающие на рост неоплазии. У пациента увеличиваются внутренние органы, такие как печень и селезенка, возникают боли в костях, а также наблюдаются признаки, свидетельствующие о нарушениях свертываемости крови. Инфекционные заболевания становятся более частыми и тяжелыми из-за общего снижения иммунной защиты.
Часто лимфоцитоз у взрослых наблюдается в сочетании с другими изменениями в анализах крови. При вирусных инфекциях, а также в период восстановления после них, нередко встречается сочетание нейтропении и лимфоцитоза. Причины такого явления могут быть связаны с развитием некоторых иммунодефицитных состояний.
У детей при инфекционных заболеваниях, таких как корь, ветряная оспа и паротит, часто наблюдается сочетание лимфоцитоза и моноцитоза.
Анализы и диагностика
Чтобы узнать уровень лимфоцитов в крови, достаточно пройти общий анализ. Рекомендуется сдавать кровь натощак. За день до анализа следует избегать интенсивных физических нагрузок, а также не употреблять жирную пищу и алкоголь. Утром перед процедурой курение также не допускается. Кровь берут из пальца.
Специалист анализирует результаты, оценивая лейкоцитарную формулу, то есть соотношение различных типов белых кровяных клеток. Если врач замечает изменения в количестве клеток, он может назначить повторное исследование для точного подсчета абсолютного числа лимфоцитов.
Нормальные показатели количества лимфоцитов зависят от возраста пациента и составляют от 20 до 40% от общего числа белых клеток крови. В абсолютных значениях это 0,8-3,6 г на 1 литр крови. Обычно у детей относительное количество лимфоцитов выше, чем у взрослых. С возрастом их количество в крови, как правило, уменьшается. Также стоит учитывать индивидуальные особенности – у разных людей уровень лимфоцитов может варьироваться. Лимфоцитоз диагностируется, если доля лимфоцитов в общем числе лейкоцитов превышает 41%.
Если в ходе анализа результатов врач обнаруживает отклонения, он сопоставляет их с жалобами и симптомами пациента.
При диагностике специалист учитывает следующие аспекты:
- Увеличение лимфоцитов в сочетании с повышением общего уровня лейкоцитов.
- Одновременный рост уровня эритроцитов и лимфоцитов.
- Значительное увеличение лимфоцитарной формулы и тромбоцитов — гиперспленизм и аутоиммунная тромбоцитопеническая пурпура.
- Дисбаланс при снижении общего числа лейкоцитов и низком уровне лимфоцитов.
- Симптомы бактериальных и вирусных инфекций.
- Лейкопения как осложнение вирусных заболеваний.
Врач может назначить дополнительные исследования, такие как определение антигенов, антител и иммунофенотипирование. Конкретные анализы зависят от предполагаемой причины состояния пациента. Также могут потребоваться дополнительные методы исследования, такие как УЗИ, МРТ, КТ или рентген. В некоторых случаях может быть назначена пункция костного мозга или лимфоузла.
Для выяснения причины лимфоцитоза важно определить количество типичных и атипичных лимфоцитов. Атипичные клетки отличаются по свойствам и размерам от нормальных.
Атипичные лимфоциты чаще всего выявляются при следующих заболеваниях:
- Токсоплазмоз;
- Пневмония;
- Лимфолейкоз;
- Ветряная оспа;
- Герпес;
- Гепатит;
- Инфекционный мононуклеоз.
Тем не менее, при многих других серьезных заболеваниях атипичные клетки могут отсутствовать.
Относительный лимфоцитоз с неизменным общим количеством лейкоцитов наблюдается при тяжелых бактериальных инфекциях. Это состояние также фиксируется при ревматических заболеваниях, спленомегалии, болезни Аддисона и гипертиреозе.
Лечение
Это явление, как правило, не нуждается в лечении. После проведения диагностики врач разрабатывает план терапии для заболевания, которое привело к увеличению уровня лимфоцитов. В случае, если это связано с процессом выздоровления, дополнительное лечение не требуется — лабораторные показатели нормализуются самостоятельно в течение определенного времени.
Если же данное состояние указывает на наличие острого инфекционного заболевания, пациенту назначается комплекс медикаментов и процедур.
Лекарства
При инфекционных недугах часто применяются противовирусные средства, такие как Интерферон и Гропринозин. В случае бактериальных инфекций назначают антибиотики, среди которых Амоксициллин, Сумамед и Ципрофлоксацин. Для борьбы с грибковыми инфекциями используются препараты, такие как Нистатин, Флуконазол и Миконазол. Симптоматическое лечение включает в себя жаропонижающие средства, например, Ибупрофен и Парацетамол.
При кишечных инфекциях рекомендуется принимать препараты, такие как Энтерол и Бифидумбактерин, а также другие средства.
Для повышения иммунной защиты организма назначают иммуностимуляторы, такие как Иммунал и Иммунорикс, а также витаминно-минеральные комплексы, например, Пиковит и Витрум.
В случае более серьезных заболеваний требуется специализированное лечение. Если диагностирована злокачественная опухоль, пациенту могут быть назначены иммунодепрессанты, цитостатики и дезинтоксикационная терапия.
При выявлении других заболеваний разрабатываются соответствующие схемы лечения.
Процедуры и операции
При инфекционных заболеваниях, помимо лекарственной терапии, рекомендуется обильное питье, физиотерапевтические процедуры и другие методы лечения.
Если причиной заболевания стало образование опухоли, пациенту назначают химиотерапию и лучевую терапию. В некоторых ситуациях может потребоваться хирургическое вмешательство, такое как трансплантация костного мозга.
Лечение народными средствами
Необходимо помнить, что народные средства служат лишь дополнением для укрепления иммунной системы. Они не способны снизить уровень лимфоцитов, но могут усилить эффективность основного лечения.
Рекомендуется включить в свой рацион напитки, способствующие повышению иммунитета – это могут быть чаи, настои, отвары и соки.
- Липовый чай – для его приготовления на 1 стакан кипятка потребуется 1 столовая ложка измельченных цветков липы. Настаивать следует 20 минут. Такой чай можно употреблять трижды в день по полстакана. Он обладает успокаивающим эффектом, активирует защитные функции организма и способствует хорошему сну.
- Травяной чай – для его создания берут равные части мелиссы, мяты, ромашки и тысячелистника. Смешав травы, 1 столовую ложку смеси заливают стаканом кипятка. Такой напиток можно пить по стакану несколько раз в день.
- Клюква с медом – рекомендуется ежедневно употреблять небольшой стакан клюквы с добавлением меда.
- Для укрепления иммунной системы полезно принимать настойки элеутерококка, прополиса и эхинацеи. Можно выбрать одну из настоек и следовать рекомендациям на упаковке.
- Свежевыжатые соки – дважды в день стоит пить по стакану свежего сока, который можно приготовить из моркови, яблок или свеклы. Сок следует употреблять сразу после приготовления.
- Возьмите по 30 г листьев земляники, ягод земляники, плодов шиповника и листьев крапивы. Залейте все 500 мл кипятка и готовьте на водяной бане около 15 минут. Рекомендуется пить по 50 г дважды в день, курс не менее месяца.
- Свеклу нарежьте и поместите в двухлитровую банку. Залейте теплой водой, добавьте 1 столовую ложку соли и 2 столовые ложки меда. Настаивайте три дня, затем процедите и принимайте полученный настой трижды в день по 50 мл в течение двух недель.
- В 1 литре воды растворите 200 г меда и 50 г перги. Через сутки принимайте по 2 столовые ложки два раза в день на протяжении месяца.
Профилактика
Основные меры по профилактике заболеваний включают в себя ведение здорового образа жизни, сбалансированное питание и регулярные медицинские осмотры.
- С раннего возраста необходимо укреплять иммунную систему: закаливание, употребление достаточного количества полезных продуктов и занятия спортом играют ключевую роль.
- В период вспышек гриппа рекомендуется избегать многолюдных мест, не допускать переохлаждения и использовать индивидуальные средства защиты.
- При наличии простудных заболеваний лучше отказаться от физических нагрузок. В этот период важно пить много жидкости и избегать тяжелой пищи. Также необходимо следовать назначенной врачом схеме лечения, так как самолечение может быть опасным.
- Регулярная сдача профилактического анализа крови является важной мерой, позволяющей выявить серьезные заболевания на ранних стадиях.
У женщин
Одной из причин роста числа иммунных клеток может быть определенная стадия менструального цикла. Небольшое увеличение количества иммунных клеток может наблюдаться за несколько дней до начала менструации.
У детей
Родителям следует помнить, что после рождения уровень лимфоцитов у новорожденного достаточно низкий. Однако вскоре начинается их активная выработка, и уже в первые недели жизни у малыша наблюдается лимфоцитоз, который считается физиологической нормой. Относительный лимфоцитоз является нормальным явлением в течение первых двух лет жизни ребенка. С увеличением возраста количество этих иммунных клеток постепенно уменьшается и приближается к уровню, характерному для взрослых.
Тем не менее, если в определенный период жизни количество лимфоцитов отклоняется от нормы, родителям стоит обратиться к врачу, чтобы выяснить причины данного состояния.
При беременности
В большинстве случаев во время беременности у женщин наблюдается легкая лимфопения. Однако количество иммунных клеток обычно не опускается ниже критического уровня. Если же это происходит, иммунная система ослабевает, что увеличивает риск инфекционных заболеваний. В то же время, если уровень этих клеток возрастает и превышает норму, это может значительно повысить вероятность прерывания беременности. Чтобы не упустить тревожные симптомы, женщинам рекомендуется регулярно проходить анализы в течение всего периода беременности.
Диета
Диета при гриппе, ОРВИ, простудных заболеваниях
- Эффективность: лечебный результат наблюдается через 4-7 дней
- Сроки: 5-12 дней
- Стоимость продуктов: 1500-1600 рублей в неделю
Соблюдение правильного питания при таких показателях способствует ускорению восстановления организма. Важно организовать рацион так, чтобы обеспечить организм необходимыми энергией, белками, витаминами и минералами, избегая при этом избытка калорий. В меню рекомендуется включить следующие продукты:
- Растительная клетчатка – она способствует очищению кишечника и выведению токсинов. Важно добавить в рацион красные и зеленые овощи, овсянку, цельнозерновой хлеб и хлебцы.
- Орехи, бобовые и семена.
- Кисломолочные изделия.
- Цитрусовые, ананасы, ягоды и сухофрукты – они способствуют укреплению иммунной системы.
- Рыба и мясо – лучше избегать жирных сортов.
- Свежевыжатые соки из фруктов и овощей, морсы из ягод.
В целом, питание должно быть сбалансированным и включать как можно больше натуральных продуктов.
Последствия и осложнения
При своевременном обнаружении данного состояния и правильной диагностике специалист сможет выявить причину, что позволит назначить эффективное лечение и устранить проблему. Однако, если лечение не было начато вовремя, возможны следующие осложнения:
- переход заболевания в хроническую стадию;
- возникновение онкологических заболеваний;
- развитие инфекций и бактериальных заболеваний.
Прогноз
Это зависит от заболевания, вызвавшего увеличение числа иммунных клеток, а также от адекватного подхода к его терапии.
Список источников
- А. Ройт, Дж. Брюсстофф, Д. Мейл. Иммунология. Москва: Мир, 2000
- Данилова Л.А. Анализы крови и мочи. Санкт-Петербург: Салит-Медкнига, 2010
- Лифшиц В.М., Сидельникова В.И. Медицинские лабораторные анализы. Справочник. Москва: Триада-Х, 2011
- Чиркин А.А. Клинический анализ лабораторных данных. Москва: Мед.лит., 2010
Лимфоцитоз и его связь с другими заболеваниями
Лимфоцитоз представляет собой состояние, характеризующееся повышением уровня лимфоцитов в крови. Лимфоциты — это один из видов белых кровяных клеток, играющих ключевую роль в иммунной системе организма. Увеличение их количества может быть связано с различными заболеваниями и состояниями, что делает лимфоцитоз важным диагностическим признаком.
Существует несколько основных причин, приводящих к лимфоцитозу. Одной из наиболее распространенных является инфекция. Вирусные инфекции, такие как грипп, мононуклеоз, гепатит и ВИЧ, часто вызывают увеличение числа лимфоцитов, поскольку организм активирует иммунный ответ для борьбы с патогенами. Бактериальные инфекции, такие как туберкулез или хламидиоз, также могут приводить к лимфоцитозу, хотя в этих случаях чаще наблюдается увеличение других типов белых кровяных клеток.
Кроме инфекционных заболеваний, лимфоцитоз может быть связан с хроническими воспалительными процессами. Заболевания, такие как ревматоидный артрит или системная красная волчанка, могут вызывать длительное воспаление, что, в свою очередь, приводит к повышению уровня лимфоцитов. В таких случаях лимфоцитоз может быть частью общего клинического картины, указывая на активность заболевания.
Некоторые виды рака, особенно лимфомы и лейкозы, также могут проявляться лимфоцитозом. В этих случаях увеличение лимфоцитов связано с аномальным размножением клеток, что требует дополнительного обследования для определения характера и стадии заболевания. Лимфоцитоз может быть как реактивным, так и первичным, в зависимости от источника проблемы.
Кроме того, лимфоцитоз может возникать в ответ на стрессовые факторы, такие как физическое или эмоциональное напряжение. В таких ситуациях уровень лимфоцитов может временно повышаться, но обычно нормализуется после устранения стрессора.
Важно отметить, что лимфоцитоз сам по себе не является диагнозом, а лишь лабораторным признаком, который требует дальнейшего исследования. Для установления причины лимфоцитоза необходимо учитывать клиническую картину, анамнез пациента и результаты дополнительных исследований. В некоторых случаях может потребоваться консультация узкопрофильных специалистов, таких как гематолог или инфекционист.
Таким образом, лимфоцитоз является важным маркером, который может указывать на широкий спектр заболеваний и состояний. Понимание его связи с различными патологиями позволяет врачам более точно диагностировать и лечить заболевания, а также проводить мониторинг состояния пациента в динамике.
Вопрос-ответ
Что такое лимфоцитоз и какие его основные причины?
Лимфоцитоз — это состояние, характеризующееся повышением уровня лимфоцитов в крови. Основные причины лимфоцитоза могут включать вирусные инфекции (например, грипп, мононуклеоз), хронические воспалительные заболевания, а также некоторые виды рака, такие как лимфома или лейкемия.
Каковы симптомы лимфоцитоза и как он диагностируется?
Лимфоцитоз может не проявляться явными симптомами, однако в некоторых случаях могут наблюдаться общая слабость, утомляемость, лихорадка или увеличение лимфатических узлов. Диагноз ставится на основе анализа крови, где определяется уровень лимфоцитов и их соотношение с другими клетками крови.
Как лечится лимфоцитоз и нужно ли лечение?
Лечение лимфоцитоза зависит от его причины. Если лимфоцитоз вызван инфекцией, может потребоваться лишь наблюдение и поддерживающая терапия. В случаях, связанных с более серьезными заболеваниями, такими как рак, может потребоваться специфическое лечение, включая химиотерапию или радиотерапию. Важно проконсультироваться с врачом для определения необходимого подхода.
Советы
СОВЕТ №1
Обратитесь к врачу для диагностики. Лимфоцитоз может быть признаком различных заболеваний, поэтому важно провести полное медицинское обследование, чтобы определить его причину и получить соответствующее лечение.
СОВЕТ №2
Следите за своим иммунным состоянием. Укрепление иммунной системы с помощью здорового питания, регулярных физических упражнений и достаточного сна может помочь организму справляться с инфекциями и снизить риск развития лимфоцитоза.
СОВЕТ №3
Изучите свои симптомы. Обратите внимание на любые изменения в самочувствии, такие как усталость, лихорадка или увеличение лимфатических узлов. Это поможет вам и вашему врачу лучше понять ситуацию и принять необходимые меры.
СОВЕТ №4
Не занимайтесь самолечением. Избегайте использования лекарств или добавок без консультации с врачом, так как это может усугубить состояние или скрыть симптомы, требующие внимания специалиста.



