При подозрении на дисфункцию печени проводится компьютерная томография. Она дает возможность получить качественные снимки, по которым выявляется степень и форма поражения, выбирается наиболее походящая техника лечения. За время одной диагностической процедуры может быть получено от 100 до 300 штук снимков в зависимости от толщины срезов.
Что показывает исследование?
После проведенного исследования врач может достаточно точно увидеть:
- особенности строения органа,
- очаги кровотечения,
- паразитарные кисты,
- цирроз,
- опухоли и метастазы,
- камни,
- абсцессы.
Если используется контрастное вещество, то выявляются и функциональные отклонения. К достоинствам метода относится и возможность одновременного исследования печени и рядом расположенных органов.
Есть возможность экстренного сканирования и без подготовки. Процедура позволяет получить результаты быстро и начать лечение.
Последняя может быть размерами до 1 см. Поэтому метод считается одним из самых достоверных. Если болезнь находится на ранней стадии, то ее могут попробовать устранить с помощью медикаментов.
Показания

Компьютерная томография показана при подозрении на онкологию печени, дистрофию, нарушения в работе сосудов. Экстренно проводится и при травмах для выявления наличия повреждений органа.
Используется обследование и для оценки заболевания в динамике, позволяя определить, как патология реагирует на выбранный курс лечения.
Назначить КТ могут при появлении следующих симптомах:
- Болезненность и тяжесть в правом боку.
- Ощущение тошноты после приема пищи.
- Вздутие живота.
- Металлический привкус и горечь во рту.
Показанием к исследованию является и необходимость подтверждения результатов, полученных после УЗИ.
Противопоказания
Не проводится КТ беременным женщинам, поскольку лучевое воздействие обладает тератогенным воздействием (как и при рентгене). По этой же причине не используется метод для детей до 14 лет.
Нужна серьезная причина для того, чтобы подвергнуть ребенка такой серьезной лучевой нагрузке. Не может исследоваться человек, если его вес больше 200 кг.
С контрастированием метод не применяется для пациентов с тяжелыми заболеваниями мочевыводящих органов и печени, при наличии аллергических реакций на йод. К относительным ограничениям относится:
- рак кожи,
- болезни щитовидной железы,
- тяжелая форма сахарного диабета,
- сердечная недостаточность.
Подготовка к компьютерной томографии печени
Если КТ проводится без контрастирования, то особой подготовки для получения достоверных результатов не требуется.
Нужно отказаться от приема еды за 6 часов до обследования, уменьшить количество потребляемой жидкости. Обследование проводится натощак. Это дает возможность выявить причину патологического процесса.
При исследовании с контрастом могут появиться неприятные ощущения. Не следует употреблять пищу и для защиты себя от чувства тошноты.
Как проводится процедура?
Томограф – кольцо, к которому прикреплен подвижный диагностический стол. Пациент размещается на столе. Его предупреждают о необходимости сохранять подвижность. Стол задвигают внутрь прибора. При сканировании облучается верхний отдел брюшной полости.
Во время работы аппарата персонал выходит из кабинета. Наблюдение происходит через смотровое окно. Связь между врачом и пациентом осуществляется с помощью встроенных громкоговорителей. Во время работы аппарата нельзя двигаться и поворачиваться.
Полная неподвижность соблюдается в течение 20-30 минут. Также потребуется ненадолго задержать дыхание. Если по какой-то причине человек не может лежать долго в одном положении, ему могут предложить выпить седативные препараты.
С контрастом

Индикаторное вещество дает возможность получить более четкие снимки мягких тканей, выявить состояние сосудов и лимфатической системы.
Внутривенное введение контраста может происходить однократно струйно или болюсно. Первый способ используется перед началом процедуры или непосредственно в ходе исследования. Второй способ предполагает введение вещества на протяжении всего времени проведения КТ с помощью автоматического дозатора.
Возможно и пероральное введение контраста, позволяющее получить больше информации о строении и функционировании печени, желчного пузыря.
При применении контрастирования дается возможность выпить вещество-индикатор. Чтобы после исследования быстрее вещество вывелось из организма, рекомендуется пить большое количество жидкости.
По сегментам
При таком способе исследования можно точно указать, в каком сегменте органа находится очаг патологии. Сегменты тесно связаны с протоками.
Метод деления на сегменты упрощает проведение диагностики. В этом случае происходит оценка всех частей, где возможно появление очагов воспаления и других проблем. Отображаются на экране и борозды, сосуды всех сегментов печени.
Расшифровка результатов
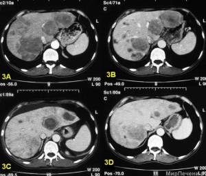
В норме ткань печени гомогенна, имеет большую плотность, чем ткань поджелудочной железы, почек и селезенки. Участи меньшей плотности и округлой форма соответствуют сосудам печени. Воротная вена визуализируется, а печеночная артерия нет.
Патологические образования имеют меньшую плотность, поэтому их легко видеть. Первичная опухоль и метастазы имеют вид круглых образований с меньшей плотностью, чем у паренхимы. Она имеет четкие или размытые границы.
Крупные новообразования деформируют контуры печени. Абсцессы при этом имеют вид гомогенных очагов с четкими границами. Кисты визуализируются как круглые или овальные образования, которые имеют менее плотную структуру, чем абсцессы и опухоли.
Цена
Компьютерная томография имеет стоимость около 5000-7000 рублей. Если назначается ПЭТ-КТ, то за исследование придется заплатить 12000 рублей, но такой метод может исключить использование других методов.
Точная стоимость зависит от используемого оборудования, клиники. При прохождении обследования в государственных клиниках можно пройти обследование бесплатно.
gidmed.com
Ïîêàçàíèÿ
Öåëü âðà÷à — ïîäòâåðäèòü èëè îïðîâåðãíóòü ïåðâîíà÷àëüíûé äèàãíîç. Ýòî ìîæåò áûòü:
- Îïóõîëåâûå îáðàçîâàíèÿ è ìåòàñòàçû
- Òðàâìàòè÷åñêèå ïîâðåæäåíèÿ, ãåìàòîìû
- Âíóòðåííèå êðîâîèçëèÿíèÿ
- Íàðóøåíèÿ ðàáîòû ñîñóäîâ
- Ãåìîëèòè÷åñêàÿ èëè ïàðåíõèìàòîçíàÿ æåëòóõà
- Öèððîç
- Êèñòû, àáñöåññû, âîñïàëåíèÿ
- Ïå÷åíî÷íàÿ æèðîâàÿ äèñòðîôèÿ
- Ãåïàòî-öåðåáðàëüíàÿ äèñòðîôèÿ
Òàêèå ïðîâåðêè ïîêàçàíû òàêæå âî âðåìÿ ïðåäîïåðàöèîííîé ïîäãîòîâêè ñ öåëüþ âûÿâëåíèÿ àíàòîìè÷åñêèõ îñîáåííîñòåé îðãàíà. Èñïîëüçóåòñÿ ýòî îáñëåäîâàíèå è äëÿ îöåíêè çàáîëåâàíèÿ â äèíàìèêå — êàê ïàòîëîãèÿ ðåàãèðóåò íà âûáðàííûé êóðñ ëå÷åíèÿ, åñòü ëè ñìûñë èçìåíèòü åãî èëè ïðîäîëæàòü ðàáîòàòü â âûáðàííîì êëþ÷å.
Ïðîòèâîïîêàçàíèÿ
Ýòó ïðîâåðêó íè â êîåì ñëó÷àå íåëüçÿ èñïîëüçîâàòü ó áåðåìåííûõ, òàê êàê äàæå íåáîëüøèå äîçû îáëó÷åíèÿ ìîãóò ñïðîâîöèðîâàòü ïîÿâëåíèå ïàòîëîãèé ó ïëîäà. Ïî òîé æå ïðè÷èíå íå ïðîâîäÿò ñêàíèðîâàíèå äåòÿì äî 14 ëåò — òîëüêî ïðè ñåðüåçíîé íà òî ïðè÷èíå, êîãäà ïîëüçà îò ñêàíèðîâàíèÿ çíà÷èòåëüíî ïðåâûøàåò âîçìîæíûé ðèñê. Íå äîïóñêàþòñÿ ê îáñëåäîâàíèþ ïàöèåíòû ñ ìèåëîìîé è èçáûòî÷íîé ìàññîé òåëà, òàê êàê ìíîãèå àïïàðàòû ðàññ÷èòàíû íà íàãðóçêó äî 120-150 êã.
Ïîäãîòîâêà
Íà îáñëåäîâàíèå íóæíî ïðèíåñòè âñå ðåçóëüòàòû äðóãèõ ïðîâåðîê. Íàïðèìåð, ÓÇÈ è àíàëèçû. Îíè ïîìîãóò âðà÷ó â ïîñòàíîâêå äèàãíîçà. Íåïîñðåäñòâåííî ïåðåä ÊÒ ïàöèåíò ïîäïèñûâàåò ñîãëàñèå.
Êàê äåëàþò?
Ïîñëå ïîäãîòîâêè îáñëåäóåìûé ëîæèòñÿ íà ñòîë òîìîãðàôà íà ñïèíó. Åìó âíóòðèâåííî ââîäÿò êîíòðàñòíîå âåùåñòâî. Êîãäà àïïàðàò íà÷èíàåò ðàáîòó, ìåäïåðñîíàë âûõîäèò èç êàáèíåòà è íàáëþäàåò çà õîäîì ïðîâåðêè èç ñîñåäíåé êîìíàòû ÷åðåç ñìîòðîâîå îêíî. Ñâÿçü ïàöèåíòà è âðà÷à îñóùåñòâëÿåòñÿ ñ ïîìîùüþ âñòðîåííûõ â àïïàðàò ãðîìêîãîâîðèòåëåé. Âî âðåìÿ ðàáîòû àïïàðàòà íåëüçÿ äâèãàòüñÿ è ïîâîðà÷èâàòüñÿ. Ïîëíóþ íåïîäâèæíîñòü ïðèäåòñÿ ñîáëþäàòü â òå÷åíèå 20-30 ìèíóò. Âîçìîæíî, ïîòðåáóåòñÿ íåíàäîëãî çàäåðæàòü äûõàíèå. Åñëè ÷åëîâåêó ñëîæíî òàê äîëãî íå øåâåëèòñÿ, òî åìó äàþò ñåäàòèâíûå ïðåïàðàòû. Äëÿ áîëåå êîìôîðòíîãî ïðåáûâàíèÿ â òîìîãðàôå äàþò ïîäóøêè èëè èñïîëüçóþò ñïåöèàëüíûå ôèêñèðóþùèå ïîâÿçêè.
Ñêàíèðîâàíèå ïðîèçâîäèòñÿ ñïåöèàëüíûì êîëüöîì, êîòîðîå âðàùàåòñÿ âîêðóã òåëà è ïðîïóñêàåò ñêâîçü íåãî èìïóëüñû. Ïîëó÷åííûå òàêèì îáðàçîì äàííûå îòïðàâëÿþòñÿ â êîìïüþòåð, ãäå è îáðàáàòûâàþòñÿ ñïåöèàëüíîé ïðîãðàììîé, à òàêæå çàïèñûâàþòñÿ íà æåñòêèé äèñê.
Èñïîëüçîâàíèå êîíòðàñòà
Ïî÷òè âñåãäà ïðè ïðîâåðêå ïå÷åíè èñïîëüçóåòñÿ êîíòðàñò. Äåëî â òîì, ÷òî ýòî êðîâÿíîé îðãàí ñ îãðîìíûì êîëè÷åñòâîì ñîñóäîâ âíóòðè. Óâèäåòü èõ óäàåòñÿ òîëüêî ñ ïîìîùüþ êîíòðàñòèðîâàíèÿ. Ýòè âåùåñòâà ïðîíèêàþò â ìÿãêèå òêàíè è äåëàþò èõ âèäèìûìè, ÷åòêèìè. Òàê óäàåòñÿ îòëè÷èòü çäîðîâûå îðãàíû îò íåçäîðîâûõ. Êîíòðàñò ââîäÿò ëèáî íà ïîäãîòîâèòåëüíîì ýòàïå ïðîâåðêè, ëèáî âî âðåìÿ ñêàíèðîâàíèÿ, ïîñëå ÷åãî äåëàþò åùå ñåðèþ ñíèìêîâ.
Êîíòðàñòèðîâàíèå óâåëè÷èâàåò ñïèñîê îãðàíè÷åíèé äëÿ ïðîâåðêè. Òàê åãî èñïîëüçîâàíèå çàïðåùåíî ó ëèö ñ ïî÷å÷íîé íåäîñòàòî÷íîñòüþ èëè ñ àëëåðãèåé íà êîìïîíåíòû ïðåïàðàòà. Îñòîðîæíî ââîäÿò òàêèå âåùåñòâà ëþäÿì ñ ýíäîêðèííûìè íàðóøåíèÿìè è ñàõàðíûì äèàáåòîì: îðãàíèçì ìîæåò ïðîñòî íå âûíåñòè íàãðóçêè. Ïàöèåíò äîëæåí ñîîáùèòü âðà÷ó î ëþáûõ èçìåíåíèÿõ â ñâîåì ñîñòîÿíèè: ÷óâñòâî ææåíèÿ, ïîêðàñíåíèÿ êîæè, òîøíîòà èëè ìåòàëëè÷åñêèé ïðèâêóñ âî ðòó — îáî âñåì ýòîì ìåäèê äîëæåí çíàòü. Ïðè âûðàæåííîé àëëåðãè÷åñêîé ðåàêöèè ïðîöåäóðà îñòàíàâëèâàåòñÿ.
Ïðåèìóùåñòâà ìåòîäà
- Âîçìîæíîñòü âûÿâèòü íå òîëüêî ñàìî çàáîëåâàíèå, íî è ïðè÷èíû, ïðèâåäøèå ê íåìó.
- Èññëåäîâàíèå ÿâëÿåòñÿ íåèíâàçèìíûì, áåçáîëåçíåííûì è äîñòóïíûì.
- Ìîæåò ïðîâîäèòüñÿ â ýêñòðåííûõ ñëó÷àÿõ, êîãäà òðåáóåòñÿ íåîòëîæíàÿ ïîìîùü ïàöèåíòó — òàê âðà÷ ïîëó÷àåò âîçìîæíîñòü ïðèíÿòü âåðíîå ðåøåíèå è ñïàñòè æèçíü ÷åëîâåêà.
- ×óâñòâèòåëüíîñòü ê äâèæåíèÿì è øåâåëåíèÿì ïàöèåíòà çíà÷èòåëüíî íèæå, ÷åì ïðè ÌÐÒ, áëàãîäàðÿ ÷åìó ïðîöåíò ñìàçàííûõ è íåòî÷íûõ ñíèìêîâ ìèíèìàëåí.
- Âîçìîæíî ñêàíèðîâàíèå â ðåæèìå ðåàëüíîãî âðåìåíè, ÷òî àêòèâíî èñïîëüçóåòñÿ ïðè ïðèöåëüíîé áèîïñèè ïå÷åíè.
- Âûñîêîòî÷íûå ñíèìêè — íàñòîÿùèé ïðîðûâ â îáëàñòè äèàãíîñòèêè, ïîçâîëÿþùèé âûÿâëÿòü îïàñíûå è íåñîâìåñòèìûå ñ æèçíüþ çàáîëåâàíèÿ åùå íà ýòàïå èõ ïîÿâëåíèÿ.
Âîçìîæíûå ðèñêè
Äîçà îáëó÷åíèÿ, ïîëó÷àåìàÿ âî âðåìÿ ñêàíèðîâàíèÿ, íàñòîëüêî ìàëà, ÷òî íå ñïîñîáíà íàíåñòè ñåðüåçíîãî âðåäà çäîðîâüþ. Íî ïðîáëåìà â òîì, ÷òî ðàäèàöèÿ ñïîñîáíà íàêàïëèâàòüñÿ â îðãàíèçìå. Íåñêîëüêî ïðîâåäåííûõ ïîäðÿä ïðîâåðîê ìîãóò ñïðîâîöèðîâàòü ðîñò çëîêà÷åñòâåííûõ çàáîëåâàíèé. Ïîýòîìó ðåêîìåíäóþò âåñòè ó÷åò âñåõ ïîäîáíûõ îáñëåäîâàíèé, çàïèñûâàÿ êàæäûé ðàç ïîëó÷àåìóþ ëó÷åâóþ íàãðóçêó. Ýòó èíôîðìàöèþ âàì ïî òðåáîâàíèþ ïðåäîñòàâÿò â âàøåé êëèíèêå.
Äðóãîé ðèñê — êîíòðàñòíîå âåùåñòâî, êîòîðîå â 2-4% ñëó÷àåâ âûçûâàåò íåòèïè÷íûå ðåàêöèè îðãàíèçìà. Íà ýòîò ñëó÷àé â ðàäèîëîãè÷åñêîì êàáèíåòå åñòü ýêñòðåííûé íàáîð. Òàêæå ñëåäóåò ñîîáùèòü âðà÷ó îáî âñåõ ïðèíèìàåìûõ ëåêàðñòâàõ, òàê êàê ïðè ñìåøåíèè ñ êîíòðàñòîì îíè ìîãóò ïðèâåñòè ê ñîâåðøåííî íåîæèäàííîìó ðåçóëüòàòó.
Àëüòåðíàòèâû
Ñàìûé äîñòóïíûé ñïîñîá îáñëåäîâàòü ïå÷åíü — ÓÇÈ. Ìåòîäèêà èñïîëüçóåòñÿ ïðè ïðåäâàðèòåëüíîì ñêàíèðîâàíèè. Òîëüêî åñëè áóäóò îáíàðóæåíû ïàòîëîãèè è äëÿ èõ óòî÷íåíèÿ ïðîâîäÿò ÊÒ. ÓÇÈ íå ñëóæèò ïîëíîöåííîé çàìåíîé òîìîãðàôèè, òàê êàê íå èìååò òàêîé èíôîðìàòèâíîñòè.  êà÷åñòâå àëüòåðíàòèâû ÷àùå èñïîëüçóþò ÌÑÊÒ — òàêæå ðàçíîâèäíîñòü ëó÷åâîé äèàãíîñòèêè, êîòîðàÿ ñëàâèòñÿ ñíèæåííîé äîçîé îáëó÷åíèÿ è ñêîðîñòüþ ïðîöåäóðû. Îáû÷íî îäíîâðåìåííî ñ ïå÷åíüþ îñìàòðèâàþò è äðóãèå îðãàíû áðþøíîé ïîëîñòè: ïîäæåëóäî÷íóþ æåëåçó, ñåëåçåíêó, æåë÷åâûâîäÿùèå ïóòè è äð.
Åñëè ëó÷åâûå äèàãíîñòèêè íàõîäÿòñÿ ïîä çàïðåòîì, âìåñòî íèõ ïðîâîäÿò ÌÐÒ, êîòîðàÿ ïî÷òè íå èìååò ïðîòèâîïîêàçàíèé è èñïîëüçóåòñÿ äàæå äëÿ ïðîâåðêè äåòåé è áåðåìåííûõ. Ýòî õîðîøàÿ ìåòîäèêà äëÿ ñâîåâðåìåííîãî âûÿâëåíèÿ îïóõîëåâûõ ïðîöåññîâ â îðãàíå.
Íåñîìíåííûì ëèäåðîì ïî òî÷íîñòè è èíôîðìàòèâíîñòè ÿâëÿåòñÿ ÏÝÒ ÊÒ — îäèí èç ñàìûõ ñîâðåìåííûõ ìåòîäîâ îáñëåäîâàíèÿ. Åãî ãëàâíûé ïëþñ — âîçìîæíîñòü ñëåäèòü çà ðàáîòîé îðãàíà íà êëåòî÷íîì óðîâíå. Îäíàêî ýòà ìåòîäèêà ìàëîäîñòóïíà. Îíà ïðîâîäèòñÿ ñåãîäíÿ òîëüêî â íåñêîëüêèõ êëèíèêàõ Ðîññèè è Åâðîïû.
Ñòîèìîñòü
Öåíà ÊÒ ïå÷åíè â ðàçíûõ êëèíèêàõ Ìîñêâû êîëåáëåòñÿ îò 2500 äî 8000 òûñÿ÷ ðóáëåé. Îáû÷íî â öåíó âêëþ÷åíî îáñëåäîâàíèå è ñîïðÿæåííûõ îðãàíîâ: ñåëåçåíêè, ïîäæåëóäî÷íîé æåëåçû. Çà ÌÑÊÒ ïðèäåòñÿ îòäàòü îêîëî 4,5 òûñÿ÷ çà ïðîâåðêó áåç êîíòðàñòà è îêîëî 7-8 çà îáñëåäîâàíèå ñ âíóòðèâåííûì êîíòðàñòèðîâàíèåì. Ïðèìåðíî â òàêîì æå öåíîâîì äèàïàçîíå íàõîäèòñÿ ÌÐÒ ïå÷åíè, ñòîèìîñòü êîòîðîãî ñîñòàâèò â ñòîëèöå 4,5 – 10 òûñÿ÷ ðóáëåé. Äîðîæå âñåãî îáîéäåòñÿ ÏÝÒ ÊÒ, çà êîòîðûé ïðèäåòñÿ îòäàòü ïðèìåðíî 40-50 òûñÿ÷ ðóáëåé. Òàêàÿ ñóììà — ðåçóëüòàò äîðîãîñòîÿùåãî îáîðóäîâàíèÿ è èñïîëüçóåìûõ ïðåïàðàòîâ. Âî âðåìÿ ïðîâåðêè áóäóò îáñëåäîâàòüñÿ âñå âíóòðåííèå îðãàíû, ÷òî òàêæå âëèÿåò íà ñòîèìîñòü ïðîöåäóðû.
www.kt-tomografiya.ru
Что это такое?
КТ печени — диагностический способ, позволяющий определить патологию печени. Метод относится к результативным и информативным при выявлении ранних стадий. Процедура проводится посредством лучевого сканирования с получением полноценных и детальных данных о состоянии печени. Компьютерная томография печени позволяет обнаружить болезнь еще на бессимптомной стадии. При диагностировании новообразования в печени с помощью метода возможно определение разновидности. Например, гемангиома выявляется, когда ее величина еще не достигла 10 мм.
Возможности томографии печени:
- определение состояния печеночной паренхимы;
- четкая визуализация новообразований разных видов;
- установка причин увеличения органа;
- выяснение типа патологии, вызвавшей желтуху;
- визуализация внутренних кровотечений, степени опасности, места скопления крови при травмировании печени.
Преимущества
В возможности раннего обнаружения любой патологии печени делает КТ востребованным метод диагностики, выгодно выделяющимся среди остальных диагностических процедур. Лучевое сканирование позволяет определить даже функциональные отклонения в работе печени за счет применения контрастного вещества. В результате врач может поставить точный диагноз, определить схему лечения или откорректировать терапевтическую тактику. При распознании болезни на ранней стадии повышается шансы излечить пациента без хирургического вмешательства. Таким образом, преимуществами процедуры являются:
- точная диагностика заболеваний любой этиологии;
- возможность одновременного исследования печени и регионарных органов;
- возможность экстренного сканирования без подготовки с получением быстрых результатов;
- применение менее чувствительных датчиков движения, что позволяет получать более качественные снимки;
- возможность создания 3D-картинки для рассмотрения под разными углами в исходном и увеличенном варианте;
- минимум побочных эффектов;
- минимальная чувствительность к металлическим имплантатам, инсулиновым помпам, кардиостимуляторам в теле больного и отсутствие влияния на их работу;
- безболезненность.
Норма или патология?
Для повышения результативности метода рекомендуется применение контраста. С помощью вспомогательного вещества определяются нормы по форме, величине, структуре, контурам органа, строению долек, состоянию жировой капсулы, внутрипеченочных сосудов и каналов с желчью. Показатели в норме по результатам КТ печеночных тканей визуализируются так:
- структурная однородность паренхиматозной ткани;
- большая плотность тканей, чем у поджелудочной, почек, селезенки, желчного пузыря;
- менее плотные участки в структуре паренхиматозной ткани, соответствующие печеночным сосудам;
- отсутствие визуализации печеночной артерии и протоков с желчью внутри долек;
- выявление воротной вены, общего печеночного и желчевыводящего канала.
Патология определяется по следующим признакам:
- Доброкачественные опухоли (классические кисты, аденомы, гемангиомы) КТ показывает как затемнения с ровными краями с четкими границами, но волнистой структуры. Тип роста — медленный до небольших величин.
- Злокачественные новообразования КТ показывает как затемнения с неровными, нечеткими, бугристыми краями. Тип роста — быстрый, агрессивный до крупных величин.
- Проблемы с протоками для кровоснабжения и оттока желчи визуализируются по изменению насыщенности цвета (чаще — по усилению) в отдельных местах, а также по исчезновению одних канальцев и визуализации других.
Применяемые техники
Для сканирования печени на томографе используют пучок рентгеновских лучей, который просвечивает тело со всех сторон. Аппарат фиксирует скорость прохождения излучения через печеночные ткани, а затем обрабатывает с помощью специального ПО. На компьютере создаются трехмерные цветные картинки органа с четкой визуализацией патологического участка. Для постановки точного диагноза может применяться один из ниже приведенных видов КТ:
- СКТ (спиральная томограмма) — классическая методика с применением вращающихся лучей рентгена по спирали, что позволяет получить один или несколько снимков за оборот. Скорость вращения выбирается врачом индивидуально.
- МСКТ печени — мультиспиральная методика (модернизированная СКТ) с увеличенной разрешающей способностью. Скорость сканирования — 300 картинок/оборот. Часто применяется в экстренном диагностировании.
- КТ печени с контрастированием — техника часто применяется для выявления проблем с сосудами и желчевыводящими протоками. Для этого применяется контрастное вещество с основным компонентом, — йодом, вводимым в локтевую вену больному и способным накапливаться в структурах с повышенным кровоснабжением.
- ОФЭКТ печени — однофотонная эмиссионная техника, позволяющая получить послойные снимки паренхиматозной ткани после внутривенного введения радиоиндикатора (изотопа Технеция). Методика позволяет выявить по недостаточному или избыточному скоплению изотопов опухоли разного характера и этиологии. Цветные послойные снимки могут складываться в 3D-картинку.
Показания
Процедура назначается для диагностирования болезни или в качестве контроля после операции на железе, после трансплантации или иссечения части печени, после химиотерапии или облучения на фоне рака с целью обнаружения происходящих изменений в органе, отслеживания его состояния. КТ печеночных долек рекомендуется при подозрениях таких патологий и состояний:
- кистозные метастазы;
- поликистоз;
- гипертензия воротной вены, нарушения общего кровотока в органе или инфаркт печени;
- патологическое увеличение печени неясной этиологии;
- все виды цирроза;
- жировая инфильтрация;
- лучевое поражение;
- туберкулез, гепатиты, абсцессы;
- тромбозы, обструкции вен;
- рак, бластомы;
- лимфома, очаговые метастазы;
- гемангиомы, эхинококкоз, липомы;
- травмы брюшины.
Противопоказания
Как и любая другая нормальная процедура, компьютерная томография печени имеет некоторые ограничения и предосторожности в использовании, такие как:
- Беременность, особенно в I триместре.
- Дети до 16-ти лет. Процедура назначается крайне редко, так как радиация может повлиять неожиданным образом на неокрепший организм.
- Повышенная чувствительность к рентгену, контрасту, радиоиндикатору.
- Тяжелые патологии и состояния. Речь идет о сердечной, почечной дисфункции, сахарном диабете, миеломе, проблемах со щитовидкой.
Подготовка
Классический метод КТ особых подготовительных мер не требует. Исключением является техника с контрастом. Условием успешного проведения процедуры является отказ от пищи за 6 часов до начала сканирования. С собой на томографию нужно взять все имеющиеся записи по здоровью, а врачу следует сообщить об имеющихся патологиях, фобиях (например, боязнь замкнутого пространства), беременности, лактации. Чтобы не возникло неприятностей, следует подготовиться морально к процедуре. При особо нервозном состоянии пациента доктор в качестве подготовки назначает седативный препарат. Если возникнет отвращение к контрасту при пероральном приеме, доктор позволит развести его соком или чаем.
Как делают?
Процедура проводится в специальной комнате с защитой от облучения. В отдельном помещении располагается компьютер, считывающий данные с томографа. Пациента укладывают на специальных подвижных стол в лежачее положение (на спину). Стол задвигается внутрь прибора, где вмонтированы рентгеновские аппараты. Для получения наиболее качественных и четких снимков пациент должен лежать неподвижно. Часто больного фиксируют специальными ремнями. Иногда требуется задержка дыхания на некоторое время. Полученные с КТ данные выдаются пациенту через час.
КТ с контрастированием печени
Индикаторное вещество позволяет получить более точные снимки мягких тканей для выявления состояния сосудов, лимфатической системы, и обнаружения опухолей. При применении контрастирования перед заведением стола в аппарат больному вкалывается или дается выпить вещество-индикатор. Впоследствии контраст выведется естественным путем через некоторое время после КТ. Чтобы это произошло быстрее, рекомендуется пить больше жидкости — на вторые сутки организм полностью избавится от индикатора.
Возможные риски
КТ предполагает облучение организма, но однократное использование не приведет к последствиям. Но несмотря на минимальные дозы, частые процедуры не рекомендованы ввиду свойства радиации к накоплению в тканях. Поэтому при необходимости многократного контроля состояния пациента КТ заменяется альтернативными методами, например, УЗИ. Частые К Т чреваты онкологией.
Возможны нежелательные реакции на применение контрастного вещества, хотя риск появления минимален. В диагностическом кабинете всегда есть препараты экстренной помощи для нормализации состояния пациента при неожиданной аллергической реакции. Чтобы исключить побочные явления, рекомендуется перед процедурой подготовиться по анализам крови на креатинин. Если у пациента имеются фоновые патологии, процедура проводится в присутствии анестезиолога, который сможет помочь в экстренном случае.
Точность и влияющие факторы
На качество получаемых результатов при компьютерно-лучевом исследовании печени влияют недавние обследования с применением контрастного вещества на основе бария или специального усилителя. Это вещество может еще не полностью вывестись из организма и при воздействии рентгеновских лучей даст ложные результаты. Помешать нормальному ходу исследования печени могут металлические предметы в виде хирургических зажимов в брюшине.
Альтернативы
Подобных КТ методик достаточно много. Все они взаимозаменяемые, но чаще назначаются в комплексе, особенно в сложных случаях. Часто к лучевому сканированию обращаются, когда точность остальных диагностических техник не на высоте. Сравниться по информативности с КТ из нелучевых методик может только МРТ, как такой же быстрый и точный способ диагностирования патологий печени, сосудов и желчевыводящих протоков. Реже КТ заменяется обычным рентгеном или УЗИ, которые ниже по стоимости одного обследования. Для комплексного обследования печени и организм рекомендуется новейшая разработка ядерной медицины — ПЭТ КТ, исследующая патологические изменения в режиме реального времени.
Чем лучше КТ в сравнении с УЗИ?
Основное преимущество томографии перед УЗИ — получение более четкой и детальной картинки печени. С помощью высокой проходимости рентгеновских лучей возможна диагностика состояния железы у тучных пациентов, когда жировая прослойка не дает ультразвуковым волнам достигнуть места назначения. Но УЗИ также имеет преимущество перед КТ — более низкая стоимость, которая для некоторых пациентов является предпочтительней.
infopechen.ru
Показания и противопоказания к КТ печени
Один из самых достоверных методов, которым можно проверить печень, – компьютерная томография. Это исследование проводится в следующих случаях:
- перед оперативным вмешательством;
- при подозрении на наличие опухоли;
- для осмотра органа после серьезной травмы;
- при необходимости диагностировать другие патологические процессы – нагноение, кровоизлияние;
- у тучных людей, жировой слой которых не позволяет провести ультразвуковое исследование органа;
- при подозрении на патологии сосудов печени.
Обычно компьютерная томография проходит без особых осложнений, однако процедуру не рекомендуют следующим категориям пациентов:
- женщинам во время беременности и лактации;
- тем, кто имеет аллергические реакции на контрастирующий элемент – йод;
- пациентам с поражениями почек.
В этом случае врачи проводят другие исследования, позволяющие поставить диагноз проблемным пациентам.
Подготовка к процедуре компьютерной томографии
Чтобы пройти процедуру компьютерной томографии печени, особых приготовлений не нужно. Пациент не должен за сутки перед проведением КТ нагружать желудочно-кишечный тракт и есть пищу, усиливающую отделение желчи. Собираясь на КТ, нужно продумать, чтобы на одежде не было металлических элементов – пуговиц, декоративных застежек. В противном случае с собой лучше всего взять одежду для переодевания именно на время процедуры.
Как происходит КТ печени
Компьютерная томография печени происходит при помощи компьютерного томографа. Это большое устройство с отверстием внутри, куда помещается диагностический стол с пациентом, лежащим на нем. Во время проведения процедуры желательно не передвигаться, чтобы получить как можно более точные результаты исследования. При помещении пациента внутрь аппарата на него начинают действовать лучи, которые фокусируются на брюшной полости. При поглощении их тканями датчики фиксируют информацию и получают после обработки всех импульсов изображение, которое выводится на монитор компьютера.
Для большей информативности пациенту вводят контрастное вещество внутривенно. С его помощью можно четко увидеть границы органа и отграничить печень от близлежащих органов.
Если печень имеет аномалии развития или новообразования, то с контрастом разглядеть эти патологии удается намного легче. Также можно определить плотность и размеры этих новообразований.
Расшифровка результатов анализа и значение основных показателей
Результаты компьютерной томографии получает врач, который и ставит диагноз. Пациент также имеет право получить на руки диск с записью снимков, если он захочет проконсультироваться в другой клинике.
В первую очередь рассмотрим нормальные показатели КТ печени. В норме при исследовании получают такие результаты:
- Ткани по своей структуре гомогенны, они имеют несколько большую плотность по сравнению с соседними органами, такими как селезенка или поджелудочная железа. Это позволяет четко отграничить края печени.
- Кровеносные сосуды в норме имеют плотность несколько ниже, по форме они прямолинейны или с округлыми плавными изгибами.
- Компьютерная томография печени обнаруживает воротную вену, хотя печеночная артерия наоборот не визуализируется.
Если во время проведения КТ печени используется контрастное вещество, то еще лучше становятся видны желчные протоки на фоне паренхимы и кровеносных сосудов. Также можно увидеть желчный пузырь, который в норме имеет округлую форму и низкую плотность. В сокращенном виде желчного пузыря можно не разглядеть.
Патологии при компьютерной томографии печени могут выглядеть следующим образом:
- Если развился абсцесс, то становятся видны гипоэхогенные участки с четко ограниченными краями.
- При наличии кисты можно увидеть округлое образование также с четкими границами.
- Опухоли печени могут иметь как расплывчатые, так и четкие контуры, они имеют плавные края.
- При циррозе орган становится патологически увеличенным, края печени становятся неровными, увеличивается селезенка.
- Если печень поражена желтухой, то диагностируется расширение желчных протоков (т.н. механическая желтуха), или их сужение (немеханическая желтуха). Лучше всего о расширении протоков говорить при проведении контрастной компьютерной томографии, когда визуализация наиболее четкая.
- Обнаружение участков пониженной плотности наталкивает врачей на мысль о гемангиоме – доброкачественной опухоли, образованной сплетением кровеносных сосудов.
- Также компьютерная томография позволяет увидеть камни в желчном пузыре и раковую опухоль.
Данные, полученные на экран, позволяют врачу в большинстве случаев поставить правильный диагноз, который подтверждается и другими симптомами печеночных нарушений.
КТ печени по сегментам
В ряде случаев необходимо провести КТ печени с контрастированием по сегментам. При планировании оперативного вмешательства, для взятия биопсии или лучевого воздействия очень важно знать, какая именно часть печени имеет поражения. В соответствии с направлением воротной вены орган условно делится на две части – каудальную и краниальную. Краниальная обладает своими сегментами, отграниченными венами печени. Каждый из этих сегментов включается в себя артерии, вены, желчные протоки и лимфатические сосуды, повреждение которых имеет ключевую роль для запуска патологического процесса в данном сегменте. КТ печени по сегментам позволяет с максимальной точностью локализовать патологию и начать лечение.
Преимущества сегментного сканирования
Благодаря сегментному сканированию КТ печени можно с высокой точностью определить следующие патологии органа:
- Печеночные кисты – они наполнены серозной жидкостью, отличаются четкими границами, их структура и плотность однородна. Кисты незначительного размера могут не иметь границ и их зачастую не отличить от самой печени. В таком случае измеряется плотность в самом новообразовании, что и будет доказательством появления инородного тела.
- Эхинококковые кисты – характеризуются многокамерной структурой и перегородками. Если паразит уже погиб, то кисту трудно дифференцировать от других новообразований в печени. В большинстве случаев поражение происходит в правой стороне.
- Печеночные метастазы – представляют собой множественные включения, которые трудно спутать с артериями и венами печени. Изменение параметров компьютерной томографии может увидеть даже самые мелкие метастазы.
- Аденома – в большинстве случаев возникает у женщин, возникает как одиночно, так и множественно, рядом с аденомами обнаруживаются места некротизации или инфаркта органа.
- Гепатоцеллюлярный рак – в основном развивается и обнаруживается на фоне циррозных изменений печени, особенно у мужчин. В тридцати процентах случаев новообразование единично, но более всего обнаруживаются множественные случаи, может наблюдаться его прорастание в ветви воротной вены, что приводит к развитию тромбоза. Проявления такого заболевания на компьютерной томографии могут быть самыми различными, однако практически у всех пациентов наблюдается некроз ткани, что затрудняет определение границ опухоли.
Компьютерная томография – эффективное и объективное исследование печени, позволяющее вовремя определить патологии органа, их локализацию, а также вовремя начать лечение недуга.
zpmed.ru
Показания
МСКТ печени назначается в следующих случаях:
- Дифференциация механической желтухи от гемолитической или паренхиматозной,
- Диагностика опухолей печени,
- Диагностика абсцессов, включая подпеченочный и поддиафрагмальный,
- Обнаружение гематом и кист,
- Диагностика цирроза,
- Диагностика гемангиом,
- Диагностика гепатолиенального и гепаторенального синдромов,
- Выявление последствий травм печеночной области,
- Необходимость проведения предоперационного обследования печени,
- Подозрение на поражение сосудов печени,
- Наличие избыточного жира в области печени, что затрудняет проведение УЗИ.
Противопоказания
МСКТ печени не проводится в следующих случаях:
- При наличии беременности,
- При аллергии на йод (если нельзя обойтись без обследования с контрастированием),
- При тяжелых поражениях печени и почек,
- При сахарном диабете, протекающем тяжело и с осложнениями,
- При острой сердечной недостаточности,
- При наличии миеломной болезни.
Подготовка
Перед проведением исследования не рекомендуется принимать пищу (за 3-4 часа до процедуры). Перед процедурой с пациентом должна быть проведена беседа, в ходе которой ему необходимо сообщить, кто, когда и как будет проводить МСКТ, а также предупредить, что во время процедуры он должен будет лежать неподвижно, что ему придется находиться внутри «тоннеля» томографа, однако процедура совершенно безопасна и безболезненна. Большинство клиник просят пациента или его родственников дать письменное согласие на проведение обследования.
Если планируется проводить МСКТ с контрастированием, то пациент должен об этом знать заранее. Он должен быть предупрежден о возможности появления ощущения жара после введения контраста, о появлении металлического привкуса во рту и возможности неприятных ощущений в месте введения препарата (вводится внутривенно). Следует также уточнить, нет ли у пациента аллергии на йод.
Как делают?
Ориентировочное время проведения процедуры МСКТ – около 15-20 минут, в зависимости от используемой в клинике модели томографа.
Исследование проводится в положении пациента «лежа на спине». Пациент ложится на стол томографа, который задвигается в раму аппарата. Эта рама вращается вокруг стола, при этом издавая щелкающие или гудящие звуки – это нормально, и стоит предупредить пациента, что бояться не нужно.
Если проводится процедура с контрастированием, то после получения серии снимков МСКТ приостанавливается, и пациенту вводится контраст.
Все время процедуры пациент должен сохранять неподвижность, в противном случае велик риск искажения снимков. Врач также может попросить пациента задержать дыхание на некоторое время.
При появлении неприятных ощущений, страха, тошноты, головной боли пациент должен немедленно уведомить врача через систему двусторонней связи.
Результат исследования
МСКТ дает возможность оценить общее состояние печени, визуализировать ее форму и размеры, исследовать структуру внутрипеченочных желчных протоков, диагностировать состояние долей печени, оценить кровоток органа.
По итогам обследования врач получает серию снимков, на основе которых пишет заключение (обычно стоимость заключения включена в общую стоимость МСКТ). При расшифровке снимков есть несколько параметров, на которые обращает внимание диагност. В норме ткань печени несколько плотнее, чем ткани других органов; сосуды имеют округлую форму; печеночная артерия практически не заметна на снимке. При наличии же такой патологии печени, как абсцесс, на снимках хорошо видны очаги с четкими границами. Если имеет место киста, тот она также хорошо очерчена и обычно имеет круглую или слегка вытянутую форму. Опухоли визуализируются как круглые образования с более расплывчатыми границами, контуры печени при этом изменены. При увеличении размеров печени на снимках и неровности краев органа велика вероятность наличия цирроза. Расширенные желчные протоки говорят о механической желтухе. Участки пониженной плотности на снимке печени свидетельствуют о наличии гемангиомы (доброкачественной опухоли).
Все эти сведения выносятся в заключение, которое врач выдает на руки пациенту вместе со снимками (распечатанными или записанными на компакт-диск). Последующие консультации у профильных специалистов оплачиваются отдельно.
Использование контраста
МСКТ печени с контрастированием выполняется в большинстве случаев, поскольку дает возможность гораздо лучше визуализировать все структуры органа, определить границы патологии и визуально отделить здоровую ткань от патологической, установить размеры и плотность новообразований и аномалий. Контрастное вещество вводится внутривенно.
Преимущества метода
Компьютерная томография как метод имеет ряд преимуществ перед другими методиками. К этим преимуществам относятся:
- Высокая разрешающая способность современных томографов,
- Отсутствие эффекта «наложения» органов и тканей,
- Возможность оценки соотношения органов в обследуемой области,
- Широкие возможности последующей компьютерной обработки снимков.
Мультиспиральная томография, в свою очередь, имеет ряд преимуществ перед обычной КТ:
- Улучшенное временное и пространственное разрешение,
- Уменьшение времени процедуры за счет увеличения скорости сканирования,
- Улучшенное контрастное разрешение,
- Большая зона покрытия,
- Сниженная лучевая нагрузка на организм пациента (до 30% меньше по сравнению с обычными компьютерными томографами),
- Более эффективное использование рентгеновской трубки, увеличение соотношения сигнал-шум.
Сокращение времени проведения процедуры МСКТ сокращает и необходимость в пребывании в неподвижном положении – это очень важно при обследовании детей, пациентов с клаустрофобией или сильным болевым синдромом.
Возможные риски
После проведения МСКТ всегда сохраняется незначительный риск развития раковых опухолей, однако, как правило, плюсы точной диагностики перевешивают риск. Общая лучевая нагрузка после однократной процедуры МСКТ печени не превышает 10 mSv – такую же дозу человек получает с фоновым излучением за 4-5 лет жизни.
Серьезный риск процедура представляет только для беременных женщин, поскольку рентгеновские лучи негативно влияют на плод.
Существует также риск развития аллергической реакции на контрастирующее вещество во время процедуры, однако современные клиники оснащены всеми необходимыми средствами для борьбы с подобными реакциями.
МСКТ детям назначается только по жизненным показаниям, поскольку растущий детский организм намного более чувствителен к радиации.
Альтернативы
- УЗИ – процедура, позволяющая также хорошо визуализировать печень и желчные протоки. По информативности эти два метода приблизительно равны, однако УЗИ не может проводиться пациентам с избыточным весом – жировая ткань в этом случае препятствует визуализации печени. Кроме того, УЗИ бессильно при высоком расположении печени – в этом случае ребра будут создавать помехи на снимках.
- МРТ – более безопасная процедура, поскольку использует не рентгеновское излучение, а магнитное поле. По информативности и стоимости МРТ мало чем отличается от МСКТ, однако плюс этого метода в том, что процедуру можно проводить даже детям и беременным женщинам практически без ограничений.
- Обычная КТ – метод менее информативный и более длительный, хотя и более дешевый.
Сегодня при необходимости диагностики состояния печени чаще всего назначают УЗИ или МСКТ. При наличии противопоказаний и невозможности проведения ни одной из этих процедур назначается МРТ.
Стоимость
Цена МСКТ печени в Москве в среднем составляет около 5000 рублей. Стоимость МРТ печени лежит в аналогичных пределах, причем и при той, и при другой процедуре цена может возрасти при проведении исследования с контрастом. Процедура УЗИ обойдется значительно дешевле – около 1000 рублей.
www.mskt-tomografiya.ru