Киста почки — распространенное заболевание, встречающееся у людей разных возрастов и пола. Это полостное образование, заполненное жидкостью, часто бессимптомно и может быть случайно выявлено при ультразвуковом исследовании. Кисты имеют различные причины и потенциальные последствия для здоровья. В статье рассмотрим основные причины образования кист на почках, методы диагностики и лечения, а также рекомендации по профилактике и уменьшению размера кисты. Эта информация будет полезна тем, кто столкнулся с данной проблемой, и тем, кто хочет узнать больше о здоровье почек.
Общие сведения
Киста представляет собой полостное образование, имеющее овальную или круглую форму, с тонкой стенкой из соединительной ткани и заполненное жидкостью. Наиболее распространёнными являются кисты, образующиеся в забрюшинном пространстве, особенно кисты почек, которые занимают лидирующие позиции по частоте и разнообразию форм. С улучшением диагностических методов выявляемость этого заболевания постоянно растёт. Чаще всего такие образования являются доброкачественными и встречаются у людей старше 50 лет.
С возрастом увеличивается предрасположенность к образованию простых кист. В этой возрастной группе кисты обнаруживаются у 30% людей, и с течением времени они имеют тенденцию к увеличению: на 20% к 40 годам и на 33% после 60 лет. Гигантские кисты, превышающие 15 см, являются редкостью, но всё же встречаются. Кистозные образования могут быть как одиночными, так и множественными, развиваясь в любой почке и её сегментах. Чаще всего они располагаются в толще почечной ткани или под её капсулой.
Содержимое кист обычно прозрачное, что указывает на доброкачественный характер процесса. Стенка образования тонкая и часто демонстрирует признаки хронического воспаления. В некоторых случаях в ней можно обнаружить не только соединительнотканные волокна, но и мышечные. В отдельных ситуациях фиксируются отложения извести, а также остатки ткани надпочечника или почки. Наличие извести свидетельствует о длительном существовании кисты.
Обнаружено, что кисты в правой почке формируются значительно реже, чем в левой. Несмотря на отсутствие анатомических различий между почками у мужчин и женщин, кисты почек у мужчин встречаются гораздо чаще — соотношение составляет 3:2 или 2:1. Повышенная частота этой патологии у мужчин может быть связана с нарушениями в продукции и метаболизме половых гормонов. Кроме того, у мужчин риск развития аденокарциномы почки на фоне кисты в 7 раз выше. Код кисты почки по МКБ-10 — N 28.1.
Врачи отмечают, что киста почки является довольно распространённым заболеванием, которое чаще всего не вызывает серьёзных проблем. В большинстве случаев кисты являются доброкачественными образованиями и не требуют активного лечения. Однако специалисты подчеркивают важность регулярного мониторинга состояния пациента, так как в редких случаях кисты могут увеличиваться в размерах или вызывать осложнения.
Медики рекомендуют проводить ультразвуковое исследование для диагностики и контроля за кистой. Если киста не вызывает болей или других симптомов, то лечение может не потребоваться. Тем не менее, при появлении дискомфорта или других настораживающих признаков необходимо обратиться к врачу для дальнейшего обследования. Важно помнить, что своевременная диагностика и наблюдение могут предотвратить развитие более серьёзных заболеваний.
https://youtube.com/watch?v=8x96rfLFKjU
Патогенез
Существует несколько теорий, объясняющих патогенез простой кисты:
- Эмбриональная. Образование полости возникает из-за дефекта в соединении фильтрационной и секреторной частей нефронов.
- Ретенционно-воспалительная. Кистозные образования связывают с обструкцией и воспалением канальцевых протоков, происходящими во время внутриутробного развития. Обструкция канальцев приводит к образованию кист.
- Пролиферативно-неопластическая. Кисты возникают в результате чрезмерной пролиферации (разрастания) почечного эпителия, что иногда сопровождается озлокачествлением.
- Химическая. Эта теория предполагает, что причиной кист являются токсичные эндогенные вещества, накапливающиеся при почечной недостаточности (например, полиамины), или экзогенные токсины.
- Гормональная. Активный рост кист может быть спровоцирован гормональными изменениями, происходящими в период полового созревания, а также в перименопаузе (у женщин) и андропаузе (у мужчин).
- Теория факторов роста. В почках вырабатываются полипептиды, которые еще не были идентифицированы, и которые обладают повреждающим действием, вызывая кистозные изменения в тканях.
Некоторые из этих теорий включают общие процессы, такие как ретенция (задержка мочи из-за нарушения ее оттока). Большинство исследователей считают, что простая киста почки имеет ретенционную природу и возникает при затруднении оттока мочи по протокам из-за обструкции, в то время как выше места препятствия продолжается активная клубочковая секреция. Таким образом, патогенез обычной кисты в большинстве случаев включает:
- окклюзию канальцев (независимо от причины) с последующим воспалением;
- ишемию почечной ткани.
Сочетание окклюзии и ишемии паренхимы приводит к быстрому росту кисты, тогда как при наличии только обструкции заболевание развивается медленнее. В начале процесса различные факторы могут вызывать появление полости из сосуда, почечного канальца или участка ткани. Затем полость заполняется жидкостью, иногда с примесью липидов или крови. Часто эти этапы происходят одновременно. Позже формируется капсула из соединительной ткани. Со временем образование увеличивается в объеме, жидкое содержимое продолжает поступать, и киста начинает сжимать соседние структуры.
Поликистоз — это заболевание, имеющее генетическую природу и связанное с мутацией в гене PKD1.
| Тип кисты | Характеристика | Рекомендации |
|---|---|---|
| Простая киста | Одиночная, тонкостенная, без перегородок, обычно бессимптомная. | Регулярное наблюдение (УЗИ) при размере более 3-4 см, при отсутствии роста и симптомов лечение не требуется. |
| Сложная киста | Имеет перегородки, кальцинаты, утолщенные стенки, может быть многокамерной. | Требует более тщательного обследования (КТ с контрастом, МРТ) для исключения злокачественного процесса. Может потребоваться пункция или хирургическое удаление. |
| Поликистоз почек | Множественные кисты в обеих почках, наследственное заболевание. | Симптоматическое лечение, контроль артериального давления, диета, при прогрессировании — диализ или трансплантация почки. |
| Парапельвикальная киста | Расположена в области почечной лоханки, может сдавливать мочеточник. | Наблюдение, при нарушении оттока мочи или боли — дренирование или хирургическое удаление. |
| Мультикистоз почки | Почка полностью замещена множественными кистами, нефункционирующая. | У детей часто наблюдается регресс, у взрослых может потребоваться нефрэктомия (удаление почки). |
Классификация
По морфологическим характеристикам:
- Простые.
- Сложные.
Простые кисты, в свою очередь, делятся по происхождению на:
- Врожденные.
- Приобретенные.
По характеру поражения выделяют:
- Одиночные (солитарные).
- Множественные.
По содержимому кисты бывают:
- Серозные.
- Геморрагические (с добавлением крови).
- Гнойные (при наличии инфекционного воспаления).
По локализации кисты классифицируются следующим образом:
- Кортикальная. Находится в корковом слое почки, что минимально влияет на отток мочи. Если причина кисты — травма, то содержимое может содержать гной и кровь.
- Интрапаренхимная (расположена непосредственно в паренхиме).
- Окололоханочная. Формируется из лимфатического сосуда и располагается рядом с лоханкой. В крупных размерах может вызывать проблемы с мочеиспусканием.
- Лоханочная (находится в лоханке).
- Киста синуса образуется рядом с лоханкой. Вызывает болевые ощущения и нарушения мочеиспускания, а также может приводить к повышению артериального давления.
- Субкапсулярная. Находится под капсулой (верхний слой органа), поэтому не затрагивает лоханку и не препятствует оттоку.
Классификация, учитывающая риск озлокачествления и дальнейшую тактику лечения, была предложена Босниаком в 1986 году и обновлена в 1997 году. Она основывается на данных КТ с контрастом. В соответствии с этой классификацией, кисты делятся на несколько категорий:
- I категория — включает простые, доброкачественные кисты без перегородок и кальцификатов, содержащие жидкость. Эти образования хорошо видны при КТ (МРТ) или ультразвуковом исследовании. Они не проявляют клинических симптомов и не требуют лечения. Рекомендуется динамическое наблюдение.
- II категория включает многокамерные (сложные) кисты с несколькими тонкими перегородками. В стенках и перегородках могут быть мелкие кальцификаты. Также сюда относятся образования размером ≤ 3 см с четкими контурами и высокой плотностью. Эти кисты не накапливают контраст и имеют доброкачественное течение. Необходимо наблюдение.
- II F категория включает кистозные образования с четкими контурами и множеством тонких перегородок, иногда с незначительным равномерным утолщением. В них могут содержаться кальцинаты, но они не накапливают контраст. Также сюда входят образования высокой плотности больше 3 см, которые не накапливают контраст и находятся внутри почки. Рекомендуется динамическое наблюдение раз в 6-12 месяцев. Небольшая часть таких образований (5%) может иметь склонность к озлокачествлению.
- III категория — сомнительные образования с утолщенными стенками (или перегородками), которые накапливают контраст (то есть, усиливаются при контрастировании). Накопление контраста указывает на наличие опухолевой ткани в стенке, что вызывает настороженность, так как 50% таких образований могут быть злокачественными (например, светлоклеточный рак или мультилокулярный кистозный рак). Рекомендуется хирургическое вмешательство.
- IV категория включает явно злокачественные образования, которые обладают всеми характеристиками III категории и содержат явные мягкотканевые компоненты, не связанные со стенками и накапливающие контраст. Рекомендуется только хирургическое лечение.
Киста почки — это довольно распространенное заболевание, о котором можно услышать множество мнений. Многие люди, столкнувшиеся с этой проблемой, отмечают, что кисты часто не вызывают никаких симптомов и могут быть случайно обнаружены при ультразвуковом исследовании. Однако, несмотря на это, страх перед возможными осложнениями и необходимостью лечения все же присутствует. Некоторые пациенты делятся опытом, что кисты могут вызывать дискомфорт или боль, особенно если они большие. В то же время, многие врачи подчеркивают, что в большинстве случаев кисты не требуют активного вмешательства и могут просто наблюдаться. Важно, чтобы пациенты не паниковали и консультировались с врачом, чтобы получить точную информацию о своем состоянии и возможных вариантах лечения.
https://youtube.com/watch?v=H6X9O42Mhc0
Простые кисты
Чаще всего встречаются доброкачественные образования, которые не угрожают жизни человека. Это типичное кистозное образование округлой формы, заполненное жидкостью, с четкими границами и без внутренних перегородок. Обычно такие кисты располагаются в корковом слое почек и могут иметь различные размеры. Содержимое этих кист по своему составу напоминает плазму крови, однако в 15% случаев наблюдается наличие геморрагического компонента (примесь крови). Данные кисты могут быть как врожденными, так и приобретенными, например, на фоне пиелонефрита или уролитиаза. Обычно они выявляются случайно, так как протекают без каких-либо симптомов. Лишь в редких случаях могут возникать боли в области поясницы, повышение артериального давления и проблемы с мочеиспусканием.
Сложные кисты
Контуры таких образований неровные, а внутри них присутствуют перегородки, которые делят полость на отдельные камеры (сегменты). Это и является основным отличием от простых кист. Утолщенные перегородки могут вызывать опасения в отношении возможного перерождения кисты. В перегородках и стенках накапливаются соли кальция. Увеличенная эхогенность при ультразвуковом исследовании указывает на то, что киста получает кровоснабжение, что повышает риск ее озлокачествления.
https://youtube.com/watch?v=mbeSogLoxRU
Солитарная киста почки
Это единичное образование, относящееся к категории простых кист, не имеющее перегородок. Солитарная киста может находиться как на поверхности, так и внутри паренхимы. Ее диагностика не вызывает особых затруднений, и лечение обычно эффективно. Один из методов терапии, применяемый для этого типа кист, включает склерозирование: производится пункция кисты под контролем компьютерной томографии, извлечение содержимого и введение склерозирующих средств, которые после определенного времени чаще всего удаляются.
Если в почке обнаруживается несколько кист, это служит основанием для постановки диагноза «множественные кисты». При поражении одной почки речь идет о мультикистозе, а если обе почки затронуты — о поликистозе. В случае поликистозной дегенерации образования располагаются на поверхности почек в корковом слое, практически не оставляя здоровых участков паренхимы. Множественные кисты могут быть как врожденными, так и приобретенными. Врожденные кисты возникают из-за неправильного соединения секреторного и экскреторного аппаратов канальцев.
Приобретенные кисты формируются в результате различных заболеваний почек, когда наблюдаются затруднения в оттоке мочи по канальцам:
- перитубулярный склероз;
- пиелонефрит;
- туберкулез почек.
Множественные кисты содержат серозную жидкость, однако при пиелонефрите существует риск их нагноения.
Синусная киста почки
Эти образования имеют связь с почечным синусом. Почечный синус представляет собой анатомическое углубление, которое служит входом в почку и содержит сосуды, а также является местом, где открываются лоханки и проходят мочеточники. Патологии в этой области могут быть опасны, так как они затрудняют отток мочи. Кисты, образующиеся в этой локализации, делятся на:
- парапельвикальные (формируются в паренхиме и выступают в почечный синус);
- перипельвикальные (возникают из лимфатических сосудов и располагаются непосредственно в синусе).
Согласно статистике, среди всех типов кист наиболее часто встречается синусная киста левой почки. Киста, находящаяся в паренхиме рядом с лоханкой, называется парапельвикальной кистой почки. Она сжимает чашечно-лоханочную структуру снаружи, что может привести к гидронефрозу. Это образование обычно единичное и чаще всего наблюдается как парапельвикальная киста левой почки. Данная патология характерна для женщин в постменопаузальном возрасте.
Синусная киста, расположенная в левой или правой почке, представляет собой округлое образование с прозрачным содержимым. Если размер кисты превышает 5 см, это может вызвать проблемы с мочеиспусканием, болевые ощущения, появление крови в моче, повышение артериального давления, а также развитие инфекционных воспалений в почке и образование камней.
Парапельвикальная киста правой почки встречается значительно реже. Парапельвикальные кисты обеих почек являются еще более редким случаем. Поражение обеих почек наблюдается при перипельвикальных кистах, которые располагаются непосредственно в синусе и имеют неправильную форму. При своем росте они раздвигают чашечки, сужая их шейки, и отодвигают лоханку от синуса. Эти кисты образуются из лимфатических сосудов в результате их закупорки и расширения. Содержимое таких кист прозрачное, но может содержать капельки жира. Для удаления этого типа образования достаточно сделать разрез в стенке кисты, и рецидивы после этого не наблюдаются. Важно не путать парапельвикальные кисты с простыми кистами, находящимися в почечном синусе.
Лоханочные кисты
Находятся в почечной лоханке. Также их называют пельвикальными. Эти кисты делятся на несколько типов:
- Внутрилоханочные — располагаются внутри лоханки и прорастают в её ткани.
- Внутристеночные — находятся в мышечном слое лоханки.
- Эстрапельвикальные — расположены на внешней поверхности и имеют склонность к наружному росту.
Кисты, образующиеся из стенки лоханки, встречаются довольно редко, обычно они небольших размеров, одиночные и легко поддаются иссечению. В сложных случаях, когда функция почки нарушена, пациентам может быть предложено удалить орган. Этот тип кисты может привести к застою мочи и развитию инфекций. Диагностика таких образований затруднена, так как они выявляются только с помощью компьютерной томографии.
Паренхиматозная киста
Это кистозное образование, находящееся в ткани почки, что и объясняет его название. Внутри таких образований обычно содержится серозная жидкость, но иногда можно встретить и геморрагическое содержимое с примесью крови. Кисты делятся на одиночные и множественные и могут быть как врожденными, так и приобретенными.
Врожденные кисты формируются в результате мутаций и слияния почечных канальцев в первом и втором триместре беременности, когда происходит развитие всех органов. К факторам, способствующим их появлению, относятся: злоупотребление алкоголем, наркотиками и курением во время беременности. Эта патология может сочетаться с другими врожденными аномалиями мочеполовой системы.
Что касается приобретенных кист, то паренхиматозная киста левой почки чаще наблюдается у мужчин старше 50 лет. Как она образуется? Киста паренхимы возникает в результате травм или инфекций мочевыводящих путей. Кисты левой почки фиксируются чаще, чем правой. Паренхиматозная киста правой почки также является приобретенной патологией и может развиваться на фоне обструкции (закупорки) канальцев солями или микрополипами. Патология правой почки встречается реже и в двух третях случаев не проявляет никаких симптомов.
Губчатая почка
Данное заболевание представляет собой двустороннее поражение почек, которое чаще наблюдается у мужчин. В процессе болезни почечные пирамиды поражаются небольшими кистами размером от 1 до 3 мм. Важно отметить, что в кортикальном слое почек кистозные образования не обнаруживаются, поэтому внешне почка выглядит нормально. При этом функция почек остается сохранной.
Субкапсулярная киста почки
Один из наиболее опасных типов кист, который не проявляет себя, но может перерасти в злокачественное образование. Она находится под капсулой почки, между ней и паренхимой.
Размер такой кисты может достигать 5 см. Если ее возникновение связано с травмой, то внутри можно обнаружить примеси крови и гноя. Чаще всего наблюдается одностороннее поражение, в то время как симметричное поражение почек встречается значительно реже. При двустороннем поражении происходит сжатие сосудов, что приводит к нарушению функции почек и может вызвать уремию. Среди других возможных осложнений стоит отметить гнойные воспаления мочеполовой системы.
Мультилокулярная киста
Формируется в результате нарушений в эмбриональном развитии. Это тонкостенное образование с одной стороны, состоящее из множества камер, не имеющее связи с чашечно-лоханочной системой. Полости кисты не соединяются между собой, а окружающая паренхима остается неизменной. При значительных размерах кисты ее можно обнаружить при пальпации. Если капсула повреждена и не удалена, рецидив становится неизбежным. Мультилокулярные кисты могут иметь склонность к малигнизации, поэтому некоторые исследователи классифицируют их как нефробластические опухоли.
Мультикистозная почка
Также существует врожденная аномалия, возникающая в результате нарушений на этапе эмбрионального развития, которая проявляется заменой почечной паренхимы кистозными образованиями различных размеров. Наиболее часто наблюдается односторонний порок, тогда как двусторонняя форма, как правило, несовместима с жизнью. Если во время беременности у плода выявляется данная аномалия, это служит основанием для проведения медикаментозного аборта, так как почка не способна выполнять свои функции.
В заключение, можно отметить, что в урологической практике наиболее распространены простые и синусные (парапельвикальные) кисты, в то время как мультилокулярные, поликистозные и чашечковые формы встречаются реже.
Причины кисты почки
Существуют ключевые причины, способствующие развитию приобретенной патологии:
- наследственная предрасположенность;
- хронические заболевания почек: мочекаменная болезнь, пиелонефрит, гломерулонефрит, липоматоз, гидронефроз;
- специфические поражения почек (например, туберкулез);
- кровоизлияния в корковый или мозговой слой почки;
- травмы в области поясницы;
- хирургические вмешательства на почках — частые причины образования кист как правой, так и левой почки, что может привести к образованию синусовых кист;
- длительный прием глюкокортикостероидов;
- глистные инвазии (вызывают образование парапельвикальных кист);
- гипертоническая болезнь;
- гормональные изменения в организме;
- аденома простаты;
- перенесенные инфекционные заболевания.
К факторам, предрасполагающим к развитию патологии, относятся:
- переохлаждение;
- избыточный вес;
- пожилой возраст;
- курение и употребление алкоголя.
В 5% случаев кисты являются врожденными. Их появление связано с генетическими изменениями, возникающими под воздействием факторов, негативно влияющих на развитие плода в первые 1,5 месяца беременности. Эти изменения могут быть вызваны перенесенными беременной инфекциями, приемом запрещенных медикаментов, а также злоупотреблением алкоголем и курением.
К наследственным заболеваниям относятся:
- мультикистоз — крайне редкое заболевание, при котором происходит перерождение паренхимы одной почки, что делает её похожей на гроздья винограда;
- поликистоз — множественные кистозные образования формируются в обеих почках, начиная с внутриутробного периода и на протяжении всей жизни.
Существует два варианта течения поликистоза:
- Ранние проявления (в утробе или при рождении). Этот вариант характеризуется высокой вероятностью развития почечной недостаточности и смертности.
- Умеренные проявления поликистоза, которые прогрессируют. Пятилетняя выживаемость среди детей составляет 80-95%.
Симптомы кисты почки
Многие кисты могут протекать без каких-либо симптомов, однако с увеличением их размера и в зависимости от места расположения у пациентов могут возникать следующие проявления:
- болевые ощущения;
- повышение артериального давления;
- наличие крови в моче;
- затруднение оттока мочи;
- почечная колика;
- увеличение живота при значительном росте кисты;
- признаки почечной недостаточности (чаще всего наблюдаются при поликистозе).
Наиболее часто пациенты жалуются на боль и повышенное давление, особенно если кисты достигают больших размеров. Боль в области пораженного органа обычно тупая, ноющая и распирающая, усиливающаяся при физической нагрузке. Артериальная гипертензия может возникать из-за сдавления надпочечника кистой, увеличенной выработки ренина или сжатия сосудов.
Гематурия возникает в результате разрыва вен, что связано с нарушением венозного оттока. Кисты также могут вызывать проблемы с уродинамикой из-за закупорки чашечки почки. Это создает условия для застоя мочи, образования камней, что приводит к характерным симптомам почечной колики и возможному присоединению инфекции. В таких случаях могут проявляться симптомы пиелонефрита — повышение температуры, усиление болей в области пораженной почки, а также общая слабость.
Яркие симптомы кисты почки становятся заметными при ее разрыве. В этом случае возникает острая боль в области живота и поясницы, может наблюдаться кровь в моче или сильное кровотечение. Разрыв кисты может произойти как в полость почки, так и наружу. Если киста имеет большие размеры, она может сжимать соседние органы. При сжатии кишечника могут возникать запоры. Крупное образование можно выявить при осмотре пациента.
Анализы и диагностика
Больным назначаются общие клинические исследования, такие как общий анализ мочи и крови. Изменения в результатах встречаются редко, и специфических отклонений не наблюдается; иногда в моче могут появляться эритроциты.
Инструментальные методы диагностики обладают наибольшей информативностью:
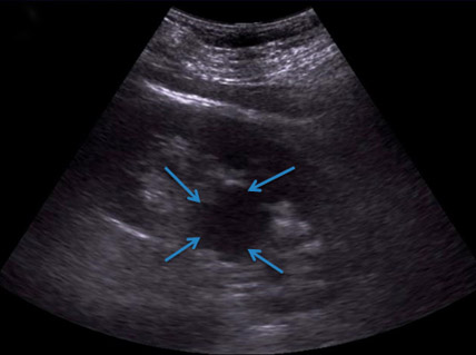
- УЗИ почек. Позволяет выявить округлое образование, расположенное в паренхиме органа или вне его.
- Ультразвуковая доплерография. Определяет снижение сосудистого кровотока, что указывает на уменьшение кровоснабжения образования или отсутствие васкуляризации.
- КТ почек. Точность диагностики с помощью КТ достигает почти 100%. В органе можно обнаружить округлое образование с пониженной плотностью, четкими границами и характеристиками, присущими жидкости.
- МРТ (магнитно-резонансная томография). Этот метод позволяет получать изображения в различных проекциях и выявлять образования размером менее 1,5 см. Простые кисты размером 2-3 мм определяются без труда. МРТ особенно полезна для диагностики кист с неоднородным содержимым, перегородками и утолщенными стенками.
- Мультиспиральная компьютерная томография с контрастированием. Обнаруженные образования не накапливают контрастное вещество. Этот метод помогает выявить мелкие образования и определить их природу. Динамическое наблюдение позволяет выработать стратегию лечения пациента.
- Биопсия. Проводится в спорных случаях, однако вопрос о ее необходимости остается открытым, так как ее выполнение нежелательно по двум причинам. Во-первых, существует риск распространения процесса в случае злокачественного образования, так как биопсийный канал может стать путем для раковых клеток. Во-вторых, в 20% случаев результат может быть «ложноотрицательным», что влияет на выбор стратегии лечения. Поэтому часто прибегают к компромиссному варианту — экспресс-биопсии во время операции.
Лечение кисты почки
Основные подходы к лечению кисты почек включают медикаментозную и хирургическую терапию. Лечение кисты почек у мужчин и женщин предполагает симптоматическую терапию в случае возникновения осложнений, таких как:
- повышенное артериальное давление;
- развитие воспалительного процесса;
- появление отеков;
- болевые ощущения.
При повышенном давлении назначаются гипотензивные средства. Если кисты инфицированы (что может проявляться как локальный сепсис) или развивается пиелонефрит, требуется длительный курс лечения фторхинолонами с последующим переходом на антибиотики. При наличии отеков рекомендуется периодический прием мочегонных средств и ограничение потребления соли. Для снятия болевого синдрома пациентам назначаются обезболивающие препараты. На сегодняшний день не существует специальных медикаментов, способствующих уменьшению кисты.
Хирургическое вмешательство является радикальным методом лечения данного заболевания как у мужчин, так и у женщин и проводится по показаниям, либо осуществляется склеротизация кисты. Однако наличие кисты не всегда требует оперативного вмешательства или других активных мер. Пациентам I-II группы (см. выше) достаточно регулярного наблюдения, особенно если киста не вызывает дискомфорта. Каждые 6 месяцев пациент должен проходить УЗИ.
Тем не менее, многие из пациентов этой группы предпочитают хирургическое удаление, и этот вопрос решается индивидуально. Врач понимает, что увеличение кисты может сжимать паренхиму, что приводит к её атрофии. Если почка теряет паренхиму, она теряет свою функцию, и здоровая почка начинает выполнять её работу. В случаях, когда кисты обнаруживаются в единственной почке, их удаление становится жизненно необходимым. К сожалению, операции не избежать при кистах III и IV типа, о которых упоминалось ранее. Объем хирургического вмешательства не зависит от того, находится ли киста в правой или левой почке.
Лечение кисты на почке народными средствами
Многие пациенты, откладывая операцию, задаются вопросом: как можно добиться рассасывания кисты на почке? Следует отметить, что на сегодняшний день не существует ни медикаментов, ни растительных средств, которые могли бы привести к исчезновению кисты. Употребление травяных отваров может помочь улучшить отток мочи и снизить воспалительные процессы. Однако все эти методы являются лишь симптоматическими и применяются как вспомогательная терапия для кист размером до 40 мм. Возможно, с помощью народных средств удастся замедлить рост кистозного образования.
Наиболее популярные рецепты включают:
- Сок из стеблей и листьев свежего чистотела. Храните сок в холодильнике в закрытой таре и принимайте по 15 капель трижды в день, разбавляя в полстакане воды.
- Настойка золотого уса. Две столовые ложки сухой травы заливают 500 мл водки и настаивают в темном месте в течение десяти дней. Принимают по 10 капель три раза в день перед едой.
- Настойка перегородок грецкого ореха. Для ее приготовления берут 200 граммов перегородок и заливают 500 мл водки. После двухнедельного настаивания принимают по 2 столовые ложки за полчаса до еды дважды в день (утром и вечером).
- Сок свежих листьев лопуха. Молодые листья промывают, пропускают через мясорубку и отжимают сок, который хранят в стеклянной таре в холодильнике. Принимают по схеме: первые два дня по 1 чайной ложке дважды в день, затем в той же дозе, но трижды в день. Курс длится месяц, его можно повторить три раза с перерывами в месяц.
- Отвар корня лопуха. Этот рецепт проще в приготовлении, так как не всегда возможно иметь под рукой свежий сок лопуха. Измельченный корень заливают 250 мл воды и ставят на небольшой огонь. Доводят до кипения и варят на медленном огне 15 минут. Принимают по 2 столовые ложки 4-5 раз в день.
- Свежевыжатый сок калины (можно с медом). Курс лечения рассчитан на 2-3 месяца. Начинают с 0,25 чайной ложки сока натощак в первую неделю. На второй неделе увеличивают дозу до 0,5 чайной ложки. На третьей неделе принимают 1 чайную ложку дважды в день, а на четвертой — 1 столовую ложку дважды в день. После недельного перерыва лечение продолжают, уменьшая дозу в обратном порядке — от столовой ложки до 0,25. Сок ягод может раздражать слизистую желудка, поэтому он противопоказан при повышенной кислотности, гастритах и язвенной болезни.
Лекарства
Спазмалгон, Реналган, Престариум, Фуросемид, Цефоперазон, Левофлоксацин, Кетопрофен.
Процедуры и операции
К хирургическим способам лечения относятся:
- Пункция кистозного образования. Это основной метод, используемый, когда киста расположена на периферии почки и не препятствует оттоку мочи.
- Открытая резекция кисты. Этот метод применяется, если образование находится вблизи сосудов или значительно нарушает отток мочи, а также при различных типах кист.
- Лапароскопическая резекция кистозного образования. Этот метод осуществляется через небольшие разрезы в брюшной стенке и используется в тех же случаях, что и открытая резекция.
Пункция кисты почки
Это самый малотравматичный способ терапии. Процедура пункции осуществляется под контролем компьютерной томографии или ультразвукового исследования, после чего производится аспирация жидкости из кисты и введение в её полость склерозирующего средства (например, 96% спирта или йодсодержащих препаратов), что приводит к слипанию стенок и предотвращает повторное накопление жидкости. При этом капсула остается на месте, однако под воздействием склерозантов эндотелий кисты подвергается некрозу и прекращает выработку жидкости, в результате чего стенки слипаются и полость исчезает. После процедуры пациенту назначаются антибиотики широкого спектра действия.
Показания для проведения процедуры:
- простые однокамерные кисты размером до 6 см;
- однородное содержимое образований;
- стенка кисты с небольшой толщиной (до 1 мм).
При условии правильного диагноза и наличия показаний, чрескожная пункция представляет собой наиболее эффективный и безопасный метод. Однако рецидив кисты в течение первых трех лет наблюдается у 7-15% пациентов. Простая аспирация содержимого без введения склерозирующего препарата не дает хороших результатов, но у пожилых пациентов часто применяется как альтернатива хирургическому вмешательству. Процедура является малотравматичной, поэтому у пациентов с сопутствующими заболеваниями можно проводить пункции несколько раз для удаления крупных кист.
Противопоказания для выполнения пункции и склеротерапии:
- размеры образования превышают 6 см;
- стенки образования толстые (толщина стенки более 2 мм);
- многокамерные кисты;
- наличие геморрагического содержимого в кисте;
- локализация образования в паренхиме;
- мультилокулярные, парапельвикальные и «атипичные» кисты.
В таких случаях применяются хирургические методы лечения.
Удаление кисты почки
Показания для проведения хирургического вмешательства включают:
- кисты 3-го и 4-го типа;
- наличие клинических симптомов (боль, кровь в моче) независимо от размеров и местоположения;
- стремительный рост образования;
- деформацию лоханки и затруднение оттока мочи;
- подозрение на злокачественное перерождение.
Удаление кисты осуществляется в плановом порядке. Существуют различные методы оперативного вмешательства:
- энуклеация кисты;
- резекция почки;
- энуклеорезекция;
- полное удаление почки.
К органосохраняющим операциям относятся: энуклеация (вылущивание) и резекция почки (удаление части почки с патологическим образованием). Энуклеация применяется у пациентов, у которых капсула кистозного образования четко выражена, а само образование расположено близко к поверхности. Энуклеорезекция подразумевает удаление образования вместе с участком здоровой ткани. Этот метод можно рассматривать как промежуточный между энуклеацией и резекцией почки. Полное удаление почки выполняется только в случае злокачественного перерождения кистозного образования.
Как уже упоминалось, операция может быть выполнена как открытым, так и лапароскопическим способом. Лапароскопия является наименее травматичным методом, при котором с помощью троакаров выполняются три прокола в брюшной полости. Через один из них вводится газ, создающий пространство для работы. Другие проколы используются для введения лапароскопических инструментов. После удаления кисты раневая поверхность обрабатывается коагуляцией (аргоноплазменной), что предотвращает кровотечение и подтекание мочи. На раневую поверхность могут быть нанесены клеевые составы. На проколы брюшной стенки накладываются швы. На следующее утро пациента переводят в палату, где ему разрешается пить, двигаться и есть. Через 3-5 дней пациент может быть выписан из стационара.
Преимущества лапароскопических операций по сравнению с традиционными открытыми методами очевидны:
- минимальная травматизация;
- низкий риск осложнений во время и после операции;
- быстрое восстановление пациента;
- отсутствие рецидивов (у 92% пациентов).
В настоящее время лапароскопическим операциям отдается предпочтение, а показания к ним продолжают расширяться:
- большие размеры кистозных образований (9 см и более);
- рецидивы после пункций;
- двустороннее поражение почек;
- сочетанная патология почек (киста плюс камни или нефроптоз);
- кистозные образования сложной локализации;
- парапельвикальные, мультилокулярные, синусные кисты;
- подозрение на злокачественное образование;
- кальциноз стенок;
- поликистоз почек с нагноением.
Объем операции определяется различными факторами и решается в процессе вмешательства. Учитывая доброкачественный характер образования, предпочтение отдается органосохраняющим методам. Операции при поликистозе всегда имеют паллиативный характер: вскрываются крупные и нагноившиеся кисты, при этом минимально повреждается паренхима почек. После операции пациенту рекомендуется наблюдение у уролога 3-4 раза в год с контролем анализа мочи и УЗИ. При необходимости проводится противовоспалительное лечение.
Киста почек у женщин
Данная почечная патология не имеет специфических признаков, отличающих её от аналогичной у мужчин. Однако она имеет значительное клиническое значение в период беременности, так как создаются условия для возможного присоединения инфекции, которая может протекать в тяжелой форме. У женщин с поликистозом или кистами существует риск развития анемии и угроза прерывания беременности. Плод может развиваться в условиях фетоплацентарной недостаточности и гипоксии.
Беременность у женщин с поликистозом встречается редко и считается нежелательной, так как повышается вероятность инфекционных осложнений, может возникнуть тяжелая протеинурия (выделение белка с мочой) и гипертензия как перед родами, так и в процессе родов, что часто приводит к эклампсии. Из-за высокой вероятности наследственной передачи данной аномалии, беременность не рекомендуется. Почти 70% новорожденных с врожденным поликистозом умирают при родах. Если они и выживают, то подвержены частым инфекциям и развитию хронического пиелонефрита, что быстро приводит к почечной недостаточности. Беременность может усугубить состояние самой женщины, увеличивая риск почечной недостаточности.
Губчатая почка проявляется двусторонним поражением, но почечная недостаточность при этом не развивается. Беременность не является противопоказанием, однако необходим тщательный контроль анализов мочи. Солитарная киста не оказывает влияния на течение беременности. Поскольку чаще всего наблюдается одностороннее поражение, при отсутствии гипертензии беременность не противопоказана и может протекать благополучно. Важно следить за своим состоянием, регулярно контролировать анализы мочи и артериальное давление. Во второй половине беременности возможно появление отеков. Роды могут проходить естественным путем, а при наличии показаний — с помощью кесарева сечения.
При мультикистозе беременность также не является противопоказанием. Женщина может успешно вынашивать и рожать при этой патологии, однако существует риск обострения пиелонефрита, что требует более внимательного наблюдения.
Диета при кисте почки
Диета 7 стол
- Результативность: оздоровительный эффект уже через неделю
- Продолжительность: от 1 месяца и дольше
- Цена продуктов: 1200-1300 рублей в неделю
Диета 15 стол
- Эффективность: лечебный результат наблюдается через 14 дней
- Сроки: на постоянной основе
- Стоимость продуктов: 1600-1800 рублей в неделю
Диета 15 стол рекомендуется при стабильном состоянии пациента и отсутствии жалоб. В случае появления симптомов задержки мочи (отеки), повышения артериального давления и первых признаков нарушения работы почек следует применять Диету 7 стол.
Профилактика
Профилактика развития данной патологии включает в себя следующие меры:
- снижение интенсивности физических нагрузок и предотвращение травм почек;
- минимизация воздействия солнечной радиации;
- исключение согревающих процедур в области поясницы;
- соблюдение здорового рациона и контроль массы тела;
- лечение инфекционных заболеваний мочеполовой системы;
- отказ от чрезмерного употребления алкоголя;
- предотвращение травм спины и позвоночника;
- регулярное прохождение ультразвукового исследования раз в год.
Последствия и осложнения
Каковы риски, связанные с кистой почки? Осложнения и последствия заболевания, вызванного кистами почек, можно классифицировать на две основные группы:
- Осложнения, непосредственно связанные с кистой — это инфицирование, приводящее к образованию абсцесса, разрыв кисты, кровотечения и возможное озлокачествление.
- Влияние кистозного образования на соседние органы и саму почку — кишечная непроходимость, запоры, сжатие почечной ткани, что может привести к атрофии и нарушению функции почки, обструкция мочевыводящих путей, образование камней, пиелонефрит и гидронефроз.
Хотя кисты почек могут инфицироваться, это происходит довольно редко (в 2% случаев). Если киста превышает 5 см в диаметре, существует риск спонтанного разрыва, который может быть вызван интенсивной физической нагрузкой, падением или ушибом. Разрыв кисты проявляется резкой болью в области поясницы, наличием крови в моче (гематурия) и образованием паранефральной гематомы.
Также стоит упомянуть о таком серьезном исходе заболевания, как ренальная гипертензия (повышенное артериальное давление, вызванное нарушением работы почек). Эта гипертензия часто имеет злокачественный характер — она плохо поддается лечению и может приводить к частым кризовым состояниям. После удаления кисты такие кризы, как правило, исчезают.
Каковы риски кисты почки для женщин? Особенно это актуально для женщин репродуктивного возраста, которые планируют стать матерью. На фоне анатомических изменений в почках беременность может осложняться невынашиванием, инфекциями мочевыводящих путей и повышением артериального давления.
Прогноз
Прогноз жизни при данном заболевании определяется множеством факторов, включая размеры и тип кистозного образования, а также наличие раковых клеток. Эти аспекты влияют на выбор стратегии лечения. В случае простой кисты прогноз остается положительным, независимо от выбранного метода — будь то хирургическое вмешательство или консервативное наблюдение. Хирургическое лечение, как правило, приводит к полному выздоровлению. Наименее оптимистичный прогноз наблюдается при врожденных кистах и поликистозе, которые часто становятся причиной почечной недостаточности.
Несвоевременное выявление озлокачествления может привести к летальному исходу. Если рак не выходит за пределы почки, то при проведении хирургического вмешательства 90% пациентов могут рассчитывать на пятилетнюю выживаемость. Однако, если опухоль распространяется за пределы почки, этот показатель значительно снижается.
Список источников
- Аляев Ю. Г., Григорян В. А., Маркосян Т. Г. Диагностика и терапия жидкостных образований в почках и забрюшинном пространстве. – Смоленск: Манджента, 2007. – 160 с.
- Аляев Ю. Г., Амосов А. В., Газимиев М. А. Ультразвуковые методы функциональной диагностики в области урологии. М.: Р. Валент, 2001. — 192 с.
- Антонов А. В. Жидкостные образования в забрюшинном пространстве: диагностика и терапия // Урологические ведомости, 2012. № 4. С. 32-41.
- Жолобов В. Е., Иогансен Ю. А., Сыздыков С. К. Выбор эндовидеохирургического доступа при простых и парапельвикальных кистах почек // Эндоскопическая хирургия. 2004. — № 2. — С. 31-33.
- Лопаткин Н. А., Мазо Е. Б. Простая киста почки // М.: Медицина, 1982.
Советы по образу жизни при кисте почки
При наличии кисты почки важно учитывать, что образ жизни может существенно повлиять на общее состояние здоровья и качество жизни пациента. Ниже приведены несколько рекомендаций, которые помогут справиться с заболеванием и предотвратить его прогрессирование.
Правильное питание
Сбалансированное питание играет ключевую роль в поддержании здоровья почек. Рекомендуется:
- Увеличить потребление свежих фруктов и овощей, которые богаты витаминами и антиоксидантами.
- Сократить потребление соли, так как избыток натрия может привести к повышению артериального давления и ухудшению функции почек.
- Избегать продуктов с высоким содержанием жиров и сахара, чтобы снизить риск развития сопутствующих заболеваний, таких как диабет и ожирение.
- Употреблять достаточное количество жидкости, чтобы поддерживать нормальную работу почек, однако следует проконсультироваться с врачом о допустимом объеме жидкости.
Физическая активность
Регулярные физические нагрузки способствуют улучшению общего состояния организма и могут помочь в контроле веса. Рекомендуется:
- Заниматься умеренной физической активностью, такой как ходьба, плавание или йога, не менее 150 минут в неделю.
- Избегать чрезмерных нагрузок, которые могут привести к травмам или ухудшению состояния почек.
- Обсудить с врачом подходящие виды физической активности, особенно если есть сопутствующие заболевания.
Мониторинг состояния здоровья
Регулярные медицинские осмотры и контроль состояния здоровья являются важными аспектами при наличии кисты почки:
- Проходить плановые обследования, включая УЗИ и анализы крови, для отслеживания изменений в состоянии кисты.
- Обсуждать с врачом любые новые симптомы или изменения в самочувствии, такие как боль в пояснице, изменения в мочеиспускании или отеки.
- Соблюдать рекомендации врача по лечению и профилактике осложнений.
Избегание вредных привычек
Отказ от вредных привычек может значительно улучшить общее состояние здоровья:
- Избегать курения, так как оно негативно сказывается на кровообращении и может усугубить заболевания почек.
- Ограничить потребление алкоголя, который может негативно влиять на функцию почек и общее состояние организма.
Психологическое здоровье
Не менее важным аспектом является поддержание психологического здоровья:
- Практиковать методы релаксации, такие как медитация или дыхательные упражнения, чтобы снизить уровень стресса.
- Обсуждать свои переживания и страхи с близкими или специалистами, чтобы избежать чувства изоляции.
Следуя этим рекомендациям, пациенты с кистой почки могут улучшить качество своей жизни и снизить риск осложнений. Однако важно помнить, что каждая ситуация индивидуальна, и перед внесением изменений в образ жизни следует проконсультироваться с врачом.
Вопрос-ответ
Чем опасна киста на почке?
Ухудшение работы почек, особенно при наличии кист на обеих почках, может привести к атрофии паренхимы и почечной недостаточности. Киста почки и у мужчин, и у женщин опасна вероятностью озлокачествления.
Что нельзя делать при кисте в почке?
Пациентам рекомендуют воздерживаться от употребления алкоголя, острых специй и сладкой газированной воды. В связи с опасностью развития осложнений всем пациентам с кистами почек необходимо исключить переохлаждение и тяжелый физический труд.
Можно ли жить с кистами в почках?
Кисты в почках не опасны для жизни. Кистозные образования могут некротизироваться, сдавливать окружающие органы, приводя к их нагноению, провоцировать развитие сопутствующих заболеваний. Для предотвращения таких осложнений каждый пациент нуждается в динамическом наблюдении.
Можно ли избавиться от кисты на почке без операции?
Лечением кист почек занимается врач-уролог, поскольку единственным вариантом лечения является хирургический. Хорошая новость заключается в том, что кисты почек обычно не требуют никакого лечения. Простые почечные кисты весьма распространены у людей старше 50.
Советы
СОВЕТ №1
Регулярно проходите медицинские обследования. Если у вас есть предрасположенность к заболеваниям почек или вы замечаете симптомы, такие как боль в пояснице или изменения в мочеиспускании, важно своевременно обратиться к врачу для диагностики.
СОВЕТ №2
Следите за своим образом жизни. Здоровое питание, достаточное количество жидкости и регулярные физические нагрузки могут помочь поддерживать здоровье почек и снизить риск образования кист.
СОВЕТ №3
Не игнорируйте симптомы. Если вы заметили необычные изменения в своем здоровье, такие как отеки, повышенное давление или кровь в моче, немедленно обратитесь к специалисту для дальнейшего обследования.
СОВЕТ №4
Обсуждайте свои опасения с врачом. Если у вас уже диагностирована киста почки, важно регулярно консультироваться с врачом о возможных изменениях в состоянии и необходимых мерах для контроля за здоровьем почек.





