Герпес на теле — распространенное вирусное заболевание, проявляющееся в различных формах и локализациях, включая лицо, нос и рот. В статье рассмотрим основные симптомы герпеса, его лечение и особенности проявления вируса в разных частях тела. Понимание механизмов действия герпетических вирусов и методов их контроля поможет лучше справляться с этой проблемой и предотвращать рецидивы. Информация о таблетках и мазях для лечения герпеса будет полезна как пациентам, так и специалистам, стремящимся повысить осведомленность о герпес-ассоциированных инфекциях.
Общие сведения
Герпесные инфекции являются одними из самых распространенных и трудноконтролируемых заболеваний. Это связано с тем, что герпетические вирусы находятся в организме, в частности в нервных ганглиях, и не проявляют себя при нормальной работе иммунной системы. Однако при ослаблении иммунитета вирусы могут активироваться, вызывая серьезные генерализованные заболевания. Герпесвирусные инфекции занимают второе место по распространенности после гриппа и входят в состав TORCH-комплекса, который включает внутриутробные инфекции.
Данная группа вирусов может поражать различные органы, вызывая острые, латентные и хронические формы заболеваний. Наиболее известным является простой герпес. Что это за заболевание? Согласно Википедии, это инфекция, вызванная вирусом простого герпеса (herpes simplex virus), которая проявляется поражением кожи, слизистых оболочек, глаз и других органов. Более 90% людей в мире инфицированы вирусом герпеса симплекс. Инфекция может проявляться в виде первичного заражения (когда человек впервые сталкивается с вирусом и появляются симптомы), латентного носительства и периодических обострений. Первичное инфицирование чаще всего происходит в детском возрасте и может протекать в двух формах — субклинической или бессимптомной (вирусоносительство).
Поражение кожи губ в повседневной жизни часто называют простудой, поэтому простуда и герпес — это одно и то же. При поражении слизистой рта возникает герпетический стоматит, а при поражении половых органов — генитальный герпес. Если вирус затрагивает центральную нервную систему, могут развиться энцефалит и энцефаломиелит, а при поражении печени — гепатит (как у взрослых, так и у новорожденных). Какой специалист занимается лечением герпеса? Это зависит от места локализации высыпаний. Если поражена кожа, следует обратиться к дерматологу, при герпесе на половых органах — к гинекологу, венерологу или урологу. В случае поражения полости рта необходимо посетить стоматолога. При рецидивирующем герпесе рекомендуется консультация иммунолога. Основной код герпетической инфекции по МКБ-10 — B00, а в подрубриках уточняется локализация процесса.
Врачи отмечают, что герпес на теле, вызванный вирусом простого герпеса, может проявляться в виде болезненных высыпаний, которые часто сопровождаются зудом и жжением. Специалисты подчеркивают, что этот вирус может активироваться в результате стресса, ослабления иммунной системы или других факторов, таких как переохлаждение. Важно помнить, что герпес является инфекционным заболеванием, и его проявления могут быть заразными для окружающих. Врачи рекомендуют своевременно обращаться за медицинской помощью при первых признаках инфекции, чтобы избежать осложнений и снизить риск передачи вируса. Лечение может включать противовирусные препараты, которые помогают сократить продолжительность и тяжесть симптомов. Профилактика также играет ключевую роль: соблюдение гигиенических норм и укрепление иммунной системы могут значительно снизить вероятность рецидивов.
https://youtube.com/watch?v=bpZuKcHmEZc
Патогенез
Герпес простого вируса проникает через кожу и слизистые оболочки, где начинается его размножение. В результате этого вирус может попасть в кровоток (стадия виремии), а затем по нервным волокнам добраться до нервных ганглиев. Виремия чаще всего наблюдается у новорожденных и людей с ослабленным иммунитетом. Вирус герпеса первого типа на протяжении всей жизни остается в тройничном ганглии и шейных ганглиях, тогда как вирус герпеса второго типа локализуется в сакральных ганглиях. В этих ганглиях происходит его размножение, и вновь образовавшиеся вирусы возвращаются в область первоначального заражения, что приводит к рецидивам.
| Тип герпеса | Локализация на теле | Характерные симптомы |
|---|---|---|
| Герпес 1 типа (ВПГ-1) | Губы, нос, щеки, подбородок | Пузырьки, язвочки, зуд, жжение, боль |
| Герпес 2 типа (ВПГ-2) | Гениталии, ягодицы, внутренняя поверхность бедер | Пузырьки, язвочки, зуд, жжение, боль, лихорадка, увеличение лимфоузлов |
| Опоясывающий лишай (ВЗВ) | Любая часть тела, чаще туловище, лицо | Болезненная сыпь в виде полосы, пузырьки, зуд, жжение, боль, лихорадка |
| Ветряная оспа (ВЗВ) | Все тело | Зуд, сыпь в виде пузырьков, лихорадка, недомогание |
Классификация
По механизму заражения:
- Приобретенная инфекция
- Врожденная инфекция
По фазе:
- Первичная инфекция (инфицирование вирусом)
- Вторичная инфекция (или рецидив, когда вирус активируется вновь)
По распространенности:
- Локализованная форма (поражается один участок кожи или слизистой)
- Распространенная форма (поражаются обширные участки кожи и слизистой)
- Генерализованная форма (поражение нескольких органов)
По локализации:
- Поражение кожи
- Поражение слизистой ( гингивит, стоматит)
- Офтальмогерпес (поражение глаз в виде кератита, кератоконъюнктивита)
- Поражение половых органов
- Нервной системы ( энцефалит, менингоэнцефалит, менингит, неврит)
Герпес-вирусы представляют собой семейство ДНК-вирусов, насчитывающее около 80 различных видов. Из них восемь являются патогенными для человека. Все эти вирусы имеют одно общее свойство — они могут оставаться в организме на протяжении всей жизни. Чаще всего заражение происходит в утробе матери или в детском возрасте.
Какие виды герпесвирусов известны?
- Вирусы простого герпеса (herpes simplex virus) 1 и 2 типов
- Цитомегаловирус
- Возбудитель опоясывающего лишая и ветряной оспы
- Вирус Эпштейна-Барр
- 6, 7 и 8 типы герпесвирусов
Среди всех этих видов у взрослых в 70% случаев выявляют вирусы простого герпеса 1 и 2 типов, а также цитомегаловирус. Вирус 6 типа и возбудитель ветряной оспы обнаруживаются у 95% людей.
Простой герпесный вирус в первую очередь поражает кожу, слизистые оболочки, печень, глаза и центральную нервную систему. Вирус простого герпеса делится на два типа — ВПГ1 и ВПГ2. ВПГ1 и ВПГ2 вызывают герпес у взрослых и детей, проявляющийся характерными пузырьковыми высыпаниями и генитальным герпесом. Вирус 1 типа в основном поражает кожу лица, слизистую рта и глаза, реже — нервную систему и внутренние органы. Около 95% людей до достижения совершеннолетия уже сталкивались с этим вирусом, и у них выработался иммунитет, однако он остается в организме. Повторная активация вируса может произойти при снижении иммунной защиты на фоне хронических заболеваний, физических нагрузок, психоэмоционального стресса или приема иммуносупрессоров.
Реактивация вируса проявляется характерными высыпаниями на губах или лице. Рецидивирующий герпес может свидетельствовать о наличии иммунодефицита. При ухудшении иммунного состояния наблюдается частый герпес в области носа, на щеке, ухе, лбу или шее. В процесс вовлекаются различные ганглии, где вирус размножается, что приводит к увеличению распространенности поражений. Они могут появляться под мышками, на ягодицах, пояснице и сосках. При тяжелом иммунодефиците вирус может поражать внутренние органы, что приводит к генерализованной инфекции. Это часто наблюдается при ВИЧ-инфекции или лучевой болезни. Поэтому рецидивирующий герпес требует дополнительного обследования и более активного лечения с использованием иммунорегулирующих препаратов.
Вирус герпеса 2 типа поражает аногенитальную область (анус и половые органы у мужчин и женщин) и передается половым путем. В последние годы вирус герпеса 1 типа также стал причиной поражений половых органов. Кроме генитального герпеса, вирус 2 типа может вызывать генерализованные формы инфекции у новорожденных. Вирус второго типа также персистирует в организме, периодически активируясь и распространяясь. Герпес 2 типа может вызывать осложнения в репродуктивной системе как у женщин, так и у мужчин, и его влияние сопоставимо с такими заболеваниями, как краснуха, ВИЧ и сифилис.
Вирус герпеса 3 типа, известный как Varicella zoster, является возбудителем ветряной оспы и опоясывающего лишая (герпес Зостер). После перенесенной ветряной оспы вирус остается в ганглиях задних корешков спинальных нервов и тройничного нерва. При реактивации вируса в области иннервации какого-либо нерва возникает кожный герпес — болезненная и зудящая везикулярная сыпь. У здоровых людей размножение вируса контролируется иммунной системой, однако у людей с иммунодефицитом, например, ВИЧ-инфицированных, герпес может вызывать тяжелые формы кожных поражений.
Герпес 4 типа вызывает инфекцию Эпштейн-Барр. Острая форма этой инфекции — инфекционный мононуклеоз, который сопровождается лихорадкой, увеличением лимфоузлов, ангиной и сыпью. Исходы заболевания могут быть как полным выздоровлением, так и хронической формой инфекции. Хроническая инфекция, вызванная герпесом 4 типа, характеризуется постоянным увеличением лимфоузлов, хроническим тонзиллитом, интоксикацией, частыми респираторными инфекциями, астенией и болями в суставах. Кроме того, вирус четвертого типа может способствовать развитию опухолей, таких как лимфома Беркитта.
Герпес 5 типа (цитомегаловирус) вызывает ЦМВ-мононуклеоз, который схож с инфекционным мононуклеозом, но возбудители различны. Цитомегаловирус может привести к гепатиту. У пациентов с ослабленным иммунитетом (например, при СПИДе) вирус 5 типа вызывает генерализованное поражение внутренних органов (ЦНС, легкие, ЖКТ с язвенными поражениями слизистой), а также ретинит, что может привести к потере зрения.
Первичная инфекция, вызванная вирусом шестого типа, чаще всего встречается у детей до 2-3 лет. Пик заболеваемости, вызванной ВГЧ 6 типа, наблюдается у детей в возрасте от 7 месяцев до одного года. При первичном заражении вирус герпеса 6 типа вызывает у детей внезапную экзантему (детская розеола), которая проявляется мелкоточечными высыпаниями и повышением температуры. При экзантеме возможно развитие энцефалита и менингита. Также этот вирус связывают с беспричинным повышением температуры и судорогами. У детей с повторными фебрильными судорогами в 80% случаев в спинномозговой жидкости обнаруживается ВГЧ 6-го типа.
Считается, что герпес 6 типа у взрослых может быть причиной синдрома хронической усталости (также известного как миалгический энцефаломиелит) и может вызывать злокачественные лимфомы (болезнь Ходжкина и неходжкинские лимфомы). Вирус герпеса 6 типа также персистирует в организме, и инфицированные клетки могут озлокачествляться. Доказано, что ВГЧ 6-го типа играет важную роль в патогенезе глиомы (злокачественная опухоль ЦНС) и может быть связан с развитием рассеянного склероза.
Герпевирус 7 типа поражает детей в возрасте 1-2 лет и вызывает различные лимфопролиферативные заболевания. Также существует вероятность его участия в развитии детского церебрального паралича, а у взрослых — синдрома хронической усталости.
Герпевирус 8 типа связывают с развитием саркомы Капоши, которая встречается у людей с иммунодефицитом.
Возбудитель герпесвируса у кошек обнаруживается у 90% животных, однако этот вирус не передается человеку.
Герпес на теле вызывает у людей множество эмоций и мнений. Многие считают его не только физическим, но и психологическим бременем. Часто можно услышать, что высыпания вызывают дискомфорт и стыд, особенно в летний период, когда открытая одежда становится нормой. Некоторые делятся опытом, как им удалось справиться с рецидивами, используя различные методы: от медикаментов до народных средств. В то же время, есть и те, кто воспринимает герпес как обычное заболевание, не придавая ему большого значения. Они утверждают, что главное — это поддерживать иммунитет и заботиться о своем здоровье. В социальных сетях активно обсуждаются советы по профилактике и лечению, что помогает многим людям не чувствовать себя одинокими в этой ситуации.
https://youtube.com/watch?v=RNKpG0hQFjg
Причины
Мы выяснили, что герпетическая инфекция вызывается различными штаммами вируса герпеса, которые находятся в латентном состоянии в организме. Однако возникает вопрос: почему инфекция проявляется не у всех и какие факторы способствуют ее активации?
Причины появления герпеса на спине и в других частях тела идентичны. Существует ряд условий, которые могут привести к активации вируса и возникновению рецидива:
- переохлаждение;
- хирургические вмешательства;
- мелкие травмы (например, после татуажа губ может обостриться лабиальный герпес);
- психологический стресс;
- чрезмерное воздействие ультрафиолетовых лучей;
- прием иммуносупрессивных препаратов;
- беременность (которая является особой формой иммуносупрессии).
Что касается обострения генитального герпеса, то ряд факторов и их сочетания могут вызвать рецидив:
- предменструальные и менструальные периоды;
- физиологический дисбаланс;
- половой контакт;
- химическое воздействие на область гениталий;
- состояния иммунодефицита.
Если рассмотреть герпес с другой стороны, психосоматические аспекты его появления включают:
- невыраженные обиды;
- постоянное ощущение отверженности;
- злость;
- ненависть к конкретному человеку;
- пребывание в состоянии переживаний;
- чувство растерянности;
- угнетающие мысли.
Людям, испытывающим такие негативные эмоции, рекомендуется работать над собой, чтобы избавиться от них.
Как передается герпес от человека к человеку?
Источником инфекции выступает инфицированный человек, а также вирусовыделители — здоровые носители без видимых симптомов. Вирус ВПГ-1 обнаруживается в слюне, тогда как ВПГ-2 — в генитальных выделениях. Основные способы передачи вирусов включают:
- Контактный.
- Половой (для ВПГ-2).
- Воздушно-капельный.
- Вертикальный (от матери к ребенку).
Какова степень заразности больного и как долго он остается заразным? Инфицирование происходит при взаимодействии с заболевшим или вирусовыделителем, даже если у них отсутствуют высыпания. Однако наибольшая угроза заражения возникает в период наличия высыпаний, поэтому риск передачи вируса сохраняется до полного исчезновения пузырьков. Инкубационный период может варьироваться от 2 до 12 дней, и по истечении этого времени заболевание может проявиться, хотя первичное заражение часто проходит без симптомов. Возможен ли воздушно-капельный путь передачи? Да, этот способ передачи также имеет место, так как при кашле и чихании вирус выделяется из вскрывшихся пузырьков. Кроме того, существует риск заражения контактно-бытовым путем — через общие предметы, на которых осталась слюна или жидкость из пузырьков.
Передается ли герпес через поцелуй? Наиболее распространенный способ передачи — это поцелуй. ВПГ-2 передается половым путем, проникая через поврежденные слизистые влагалища или шейки матки.
Новорожденные могут заразиться во время родов, проходя через родовые пути. В любом случае, входными воротами инфекции служат кожа и слизистые оболочки.
https://youtube.com/watch?v=arTq_gT7guY
Симптомы
Симптоматика герпеса у взрослых и детей схожа. Разница заключается только в степени тяжести болезни и вероятности распространения инфекции у младенцев.
Герпес на лице
В большинстве случаев простуда проявляется на лице. Наиболее распространенной формой инфекции, включая хронический рецидивирующий вариант, является лабиальный герпес, который проявляется высыпаниями на краях губ и в уголках рта. Сыпь проходит несколько этапов. Появившиеся пузырьки с красным отечным венчиком за несколько дней проходят следующие стадии:
- образование поверхностных эрозий (возникают после вскрытия пузырьков);
- формирование корочек;
- отпадение корочек (при этом дефекты и рубцы не остаются, но некоторое время может сохраняться покраснение кожи).
У людей, изначально не имеющих проблем со здоровьем, лабиальный герпес проходит за 5-10 дней, в то время как при более тяжелых формах и у ослабленных пациентов симптомы могут сохраняться до 14 дней.
Как выглядит герпес на коже лица?
Это пузырьковые высыпания на красном фоне кожи, которые проходят все стадии своего развития. У детей часто наблюдается простуда на подбородке, которая может сочетаться с лабиальным герпесом. Это явление рассматривается как распространение вируса из первичного очага при недостаточном соблюдении гигиенических норм.
Герпес на голове встречается довольно редко и чаще всего возникает у людей с ослабленным иммунитетом. К факторам, способствующим его появлению, относятся:
- переохлаждение головы;
- недостаток витаминов;
- стрессовые ситуации.
Высыпания на коже головы, особенно в области волос, сопровождаются выраженным зудом, болевыми ощущениями, а также мокнутием кожи при вскрытии пузырьков, что приводит к слипанию волос в пораженной зоне. Если площадь поражения значительная, волосы могут выглядеть неопрятно. Дополнительные неудобства вызывает обработка этих участков — нанесение мази может усугубить слипание волос.
Герпес в носу
Часто воспаление краев губ сопровождается высыпаниями на носу и внутри него. При анализе симптомов герпеса в носовой области на первый план выходят тянущие боли, зуд и локальное повышение температуры. Если высыпания в носу обширные и занимают значительную площадь, это может привести к ухудшению общего самочувствия (головная боль, общее недомогание, повышение температуры), а также из-за отека и сужения носовых проходов возникает ощущение заложенности носа.
Герпес во рту
Может ли в ротовой полости проявляться специфический герпетический процесс? Для вируса простого герпеса первого типа (ВПГ1) характерно проявление в виде стоматита у детей. Это заболевание сопровождается повышением температуры, а также появлением в ротовой полости множественных сгруппированных пузырьков на фоне покраснения и отека слизистой оболочки. Пузырьки быстро лопаются, образуя неглубокие эрозии, которые затем покрываются белым налетом и постепенно заживают в течение нескольких дней. Сыпь может локализоваться на щеках, деснах, а также возможно появление герпеса на языке. При этом герпес на языке вызывает сильную боль и затрудняет прием пищи.
Герпесная инфекция в горле возникает из-за герпетических вирусов, а также энтеровирусов Коксаки и ЕСНО, в таком случае ее называют герпетической ангиной (везикулярный фарингит). Эта форма заболевания не характерна для взрослых. Тем не менее, при ослабленном иммунитете у взрослых могут появляться высыпания в горле, что является распространением герпеса с краев губ.
Симптомы офтальмогерпеса
Поражение кожи на веках не отличается от аналогичных проявлений в других областях. Простуда на глазу начинается с зуда, отека и покраснения кожи века. Спустя день на веках могут появиться высыпания. Опасность герпетических высыпаний в области глаз заключается в высоком риске занесения инфекции в глаз при вскрытии пузырьков.
Офтальмогерпес (глазной герпес) представляет собой серьезную проблему из-за возможных осложнений, таких как изъязвление и перфорация роговицы, а также склонности к хроническому течению. Каждое новое обострение протекает тяжелее и труднее поддается лечению.
Глазной герпес может проявляться в следующих формах:
- Кератит (древовидный кератит — характерный признак герпетических поражений).
- Конъюнктивит.
- Эрозия роговицы.
- Эписклерит.
- Изъязвление роговицы.
В большинстве случаев поражаются передние отделы глаза, реже — задние отделы, такие как увеит, некроз сетчатки, хориоретинит и неврит зрительного нерва. Офтальмогерпес является одной из распространенных причин слепоты, особенно из-за кератита (воспаления роговицы). Первичный офтальмогерпес встречается редко, в основном наблюдается вторичный глазной герпес (рецидив).
Герпес на теле
Независимо от места локализации (будь то нога, ягодицы или руки), симптомы герпетической инфекции у взрослых проявляются одинаково: зуд, болезненные ощущения, покраснение, а также образование сгруппированных пузырьков с жидкостью, которая со временем становится мутной. При обширных поражениях кожи может развиться регионарный лимфаденит. На начальной стадии герпеса на теле ощущается боль и зуд, а спустя два дня на пораженном участке появляется покраснение и пузырьки с жидкостью — это уже более выраженная стадия герпеса. Высыпания могут возникать на различных участках тела — на ногах, шее или спине.
Как выглядит герпес на теле человека? Простуда на теле легко узнаваема, так как она напоминает проявления на лице, однако площадь высыпаний обычно значительно больше.
Герпес на руках
Может ли герпевирусная инфекция проявляться на руках? У взрослых наиболее часто инфекция локализуется на фалангах пальцев, особенно в области ногтевого валика. Реже высыпания встречаются на тыльной стороне кисти, а еще реже — между пальцами и на предплечье. Перед появлением высыпаний на пальце возникает дискомфорт, который может проявляться в виде жжения, покраснения, зуда и боли. В это время также наблюдаются припухлость и покраснение. На 2-3 день формируются пузырьки с прозрачной жидкостью, которые очень болезненны при малейшем прикосновении. Через 4 дня пузырьки могут изъязвляться, образуя корочку, и после ее отторжения на коже не остаются следы.
Герпетические панариции чаще всего возникают на первом и втором пальцах. При этом общие симптомы, связанные с поражением рук, обычно отсутствуют.
Независимо от места локализации инфекции, при легкой форме высыпания не сопровождаются общим недомоганием и интоксикацией. Изменения локализованы и заживают в течение 5-10 дней. При среднетяжелой форме наблюдается выраженная интоксикация, включая лихорадку и озноб, а поражения кожи и слизистых могут быть более распространенными. Тяжелая форма инфекции чаще всего развивается у новорожденных, грудных детей и людей с иммунодефицитом.
При выраженной интоксикации температура может подниматься до 40°C, также могут беспокоить головные боли, рвота и поражения внутренних органов, таких как гепатит, пневмония, панкреатит, энцефалит или менингоэнцефалит. Герпетические высыпания могут присутствовать или отсутствовать, а сыпь может иметь некротический и геморрагический характер.
Симптомы герпеса внутренних органов
Герпес внутренних органов чаще всего наблюдается у пациентов с ослабленной иммунной системой и возникает в результате обширного поражения кожи. Первичный очаг инфекции может находиться в глотке или половых органах. Хотя герпетические гепатиты, вызванные вирусом простого герпеса, встречаются нечасто, они имеют тяжелое течение, часто приводя к острому фульминантному гепатиту. При остром герпетическом гепатите у больных наблюдается повышение температуры и болезненные ощущения в правом подреберье. Диагностика основывается на изменениях уровня билирубина и трансаминаз. Быстро развивается серьезная печеночная недостаточность, проявляющаяся геморрагическим синдромом, олигурией, энцефалопатией и комой. Также в процесс может быть вовлечена поджелудочная железа. Внутренний герпес характеризуется высоким уровнем смертности, достигающим 40-80%.
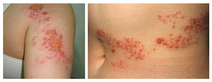
Опоясывающий герпес
При опоясывающем герпесе кожные высыпания располагаются вдоль нервных путей. Чаще всего они возникают в области лицевого, ушного, межреберных и поясничного нервов. Если поражаются пояснично-крестцовые нервы, высыпания могут появляться не только в поясничной зоне, но и на бедрах, ягодицах, половых органах и в анальной области.
Основным симптомом герпеса зостер является болевой синдром, который может возникать за два дня до появления высыпаний. Боли носят жгучий характер и соответствуют поражённым нервным корешкам. Они усиливаются в ночное время и под воздействием различных раздражителей, таких как холод, прикосновения или давление. При поражении ганглиев пояснично-крестцовой области (поясничный герпес) высыпания локализуются на коже поясницы, ногах и ягодицах. Поясничный герпес, помимо болей в области высыпаний, может сопровождаться болями, схожими с теми, что наблюдаются при панкреатите, холецистите, аппендиците или почечной колике. Также герпес на спине может вызывать расстройства чувствительности: у пациентов может наблюдаться как повышенная, так и пониженная чувствительность. Наиболее распространённым осложнением герпеса зостер является постгерпетическая невралгия, риск развития которой увеличивается с возрастом. Она чаще всего возникает у пациентов, которым не было назначено противовирусное лечение в остром периоде. Постгерпетическая невралгия проявляется снижением чувствительности и болями, которые могут продолжаться на протяжении нескольких месяцев после острого эпизода.
Герпесвирусная инфекция головного мозга
К серьезным проявлениям герпевирусной инфекции относится герпетический энцефалит. Вирус может попасть в мозг как при первичном заражении, так и чаще всего во время реактивации латентной инфекции в период рецидива. Симптоматика возникает резко и включает в себя головную боль, повышение температуры, рвоту, озноб и мышечные боли. Позже могут добавляться парезы, нарушения сознания, обонятельные галлюцинации, симптомы, связанные со стволом мозга, затруднения в речи и судороги. У пациентов, не получающих лечение, состояние ухудшается в течение нескольких дней, что может привести к коме и высоким показателям смертности (60-80%). Протекание герпетической инфекции у людей с ВИЧ может быть особенно тяжелым. У этой группы пациентов часто наблюдается генерализованная форма, при которой поражаются центральная нервная система ( энцефаломенингит) и внутренние органы (пищевод, желудок, печень и легкие). Заболевание всегда сопровождается высокой температурой. Гепатит и пневмония в таких случаях обычно заканчиваются летальным исходом.
Анализы и диагностика
Диагностика этой инфекции включает в себя следующие этапы:
- Осмотр пациента. Этот процесс достаточно прост, особенно если на коже присутствуют характерные пузырьковые высыпания. Определение диагноза офтальмогерпеса также не вызывает затруднений.
- Для выявления вируса выполняется посев на культуры тканей, однако этот метод требует много времени и усилий. В качестве образца для анализа используется содержимое пузырьков, цереброспинальная жидкость или цервикальный секрет.
- Метод ПЦР представляет собой быстрый и точный способ анализа на герпес, который позволяет определить наличие конкретного вируса.
- Иммуноферментный анализ крови на герпес. В ходе этого исследования выявляются специфические антитела к вирусу простого герпеса двух типов — IgM и IgG. Эти антитела помогают установить, находится ли инфекция в остром состоянии или была перенесена ранее. Иммуноглобулины IgM являются показателем острого процесса или реактивации вируса; они появляются в организме примерно через 10 дней после заражения и сохраняются в течение двух месяцев, после чего исчезают. Антитела класса G начинают вырабатываться после IgM и остаются в организме на всю жизнь. Если пациенту назначен анализ на вирус простого герпеса 1 IgG и эти антитела обнаружены, это свидетельствует о том, что человек ранее сталкивался с инфекцией и выработал защитные антитела. При реактивации вируса уровень IgG может увеличиваться. Увеличение IgG в четыре раза и более указывает на острый процесс.
Лечение
Пациенты, страдающие от частых рецидивов, часто задаются вопросом: возможно ли полное излечение от герпеса на губах, ладонях или подбородке? Следует понимать, что навсегда избавиться от герпеса не получится, так как вирус остается в организме. Он проникает в нейроны и сохраняется в ганглиях, где может находиться в латентном состоянии, не проявляясь. В этом состоянии вирус недоступен для противовирусных средств и иммуноглобулинов. Тем не менее, с помощью длительного применения противовирусных препаратов (супрессивная терапия), укрепления иммунной системы и ведения здорового образа жизни можно существенно уменьшить частоту обострений.
Таким образом, ни одно из современных лекарств не обеспечивает полного уничтожения вируса. Даже самые новые таблетки от герпеса не способны прекратить его существование в организме и бессимптомное носительство.
Основные цели лечения герпеса любой локализации включают:
- снижение выраженности симптомов;
- ускорение заживления кожи или слизистых оболочек;
- уменьшение частоты рецидивов.
Для лечения данной инфекции используются:
- препараты, подавляющие размножение вируса (таблетки Ацикловир, Валвир, Валтрекс, Валацикловир, Фамвир, Фавирокс, а также для инфузий — Ганцикловир и Цимевен);
- интерфероны (свечи Виферон, Ингарон);
- индукторы интерферона ( Амиксин, Арбидол, Лавомакс, Циклоферон — в форме таблеток и инъекций);
- иммуномодуляторы (только после иммунологического обследования — Полиоксидоний, Тимоген, Цитовир-3, Деринат) назначаются пациентам с длительными или частыми обострениями герпетической инфекции;
- внутривенные иммуноглобулины ( Иммуновенин, Цитотект, Вениммун, Октагам, Пентаглобин, Интраглобин Е);
- местные препараты (мазь Ацикловир, Бонафтон, крем Зовиракс);
- антиоксиданты и поливитамины;
- при необходимости — энтеросорбенты;
- местные антибиотики при присоединении бактериальной инфекции.
Мы рассмотрим лечение легкой формы герпетической инфекции без осложнений, с которым сталкивается большинство людей и которое можно проводить в домашних условиях. Госпитализация требуется только для взрослых и детей с тяжелыми формами заболевания.
Этиотропное системное лечение. Противовирусные препараты
Долгое время основным средством для лечения герпетической инфекции считался препарат Ацикловир. Однако различные типы герпесвирусов имеют разную чувствительность к этому лекарству: наиболее восприимчивыми являются ВПГ1 и ВПГ2, за ними следуют типы 3, 4, 5, 6 и 7. Поэтому Ацикловир показывает свою эффективность в лечении инфекций, вызванных первыми двумя типами герпесвируса. Конкретная схема лечения с использованием таблеток Ацикловир назначается врачом. Обычно эпизодическая терапия продолжается от 5 до 10 дней. В случаях частых рецидивов (более шести раз в год) применяется длительная супрессивная терапия, направленная на предотвращение обострений. В рамках этой схемы также используется Ацикловир, который назначается в дозировке 400 мг трижды в день. Если назначается Валацикловир, то его достаточно принимать один раз в день по 500 мг. При более чем 10 рецидивах в год дозу Валацикловира увеличивают до 1000 мг в день. Курс лечения может длиться от полугода до одного года. Вальтрекс в профилактике инфекции оказывается на 44% эффективнее Ацикловира.
Профилактические курсы могут быть рекомендованы перед хирургическими операциями или инвазивными косметологическими процедурами. Лечение вируса герпеса может быть дополнено приемом индукторов интерферона, таких как Амиксин, Арбидол, Лавомакс и Циклоферон, что способствует повышению эффективности терапии.
Позже была разработана комбинация Ацикловира с аминокислотой валином — Валацикловир. Валин улучшает доставку Ацикловира в клетки, пораженные вирусом. Препараты Валтрекс и Валвир, содержащие это действующее вещество, считаются более эффективными, так как представляют собой усовершенствованную форму Ацикловира и превосходят его по антигерпетической активности. Валтрекс обладает лучшей биодоступностью и хорошей переносимостью. При пероральном приеме он создает концентрации, сопоставимые с внутривенным введением Ацикловира. Эти препараты продемонстрировали свою эффективность в лечении герпеса у взрослых, включая опоясывающий лишай, глазные инфекции, а также оролабиальные и генитальные поражения. Хотя их стоимость выше, отзывы на форумах, посвященных лечению данной патологии, подтверждают их эффективность.
Интерфероны назначаются в следующих случаях:
- при среднетяжелом или тяжелом течении заболевания;
- при недостаточной выработке ИФН-a в организме;
- в рамках супрессивной терапии;
- при наличии сопутствующих хронических воспалительных процессов.
Эффективным средством с иммуностимулирующим и противовирусным действием является Изопринозин. Он блокирует размножение вируса и повышает устойчивость организма, что приводит к уменьшению симптомов и более быстрому выздоровлению. Продолжительность лечения при герпесе до полного исчезновения симптомов. Для его приобретения не требуется рецепт. Изопринозин повышает неспецифическую резистентность, стимулирует выработку интерферона и приостанавливает развитие инфекции. Важную роль в этом процессе играет аминокислота лизин, которую можно получать из пищи или принимать в виде добавок. Некоторые пациенты также прибегают к гомеопатии — этот процесс может быть длительным, но при правильном подходе может дать положительные результаты: необходимо принимать конституциональный препарат (восстанавливающий иммунитет, курсом несколько лет) и препарат, изготовленный из вируса Herpes simplex.
Препараты для местного применения
Не секрет, что при появлении первых высыпаний на губах многие стремятся быстро избавиться от них. В ход идут различные средства, такие как зубная паста, ушная сера и корвалол. Зубная паста обладает подсушивающим и антисептическим эффектом, а корвалол, благодаря содержанию спирта, также помогает прижигать и облегчать боль. Часто люди обрабатывают первые пузырьки спиртовыми растворами, и действительно, при небольших поражениях это может быть эффективно. Можно ли использовать спирт для прижигания? Да, но только в случае, если высыпания находятся на коже. Наносить йод или зеленку на слизистую не рекомендуется, так как это может привести к ожогу. Обработка йодом или зеленкой не влияет на активность вируса, но помогает уменьшить воспаление, подсушивает и предотвращает присоединение бактериальной инфекции, особенно на загрязненных участках.
Какие еще средства можно использовать для прижигания высыпаний? Многие выбирают Фукорцин — антисептик, который, согласно инструкции, воздействует на вирусы. С эстетической точки зрения, такие яркие красители лучше применять на теле или в скрытых местах, например, на ягодицах, бедрах или ногах. Не каждый решится использовать зеленку, особенно при обширных поражениях на лице, таких как щеки, лоб или нос. Также можно использовать антисептик Мирамистин в течение дня, который не оставляет следов на коже, но эффективно подсушивает пузырьки. При использовании любых средств важно сначала обрабатывать область вокруг высыпаний, а затем и сами образования, применяя каждый раз новую ватную палочку. Это поможет предотвратить распространение инфекции на другие участки кожи.
Мазь против герпеса
При данном заболевании активно используются местные противовирусные препараты, такие как кремы, мази и гели. Важно понимать, что они являются вспомогательными средствами и должны дополнять основное системное лечение. Комбинированная терапия у взрослых демонстрирует высокую эффективность в профилактике рецидивов. Однако, к сожалению, многие ограничиваются только местным лечением. Исследования показывают, что исключительно местная терапия может привести к увеличению частоты рецидивов, а каждое обострение ослабляет защитные функции организма.
К местным противовирусным средствам относятся:
- Ацикловир мазь (не следует наносить на слизистые оболочки и в глаза; для глаз существует ацикловир глазная мазь 3%).
- Бонафтон.
- Афлубин Пенцикловир.
- Зовиракс.
- Вратизолин.
- Аналоги Зовиракса — крем Герперакс, крем Виворакс — более доступные по цене препараты.
- Герпевир.
- Перцикловир.
- Ациклостад.
- Гель Инфагель.
- Интересным продуктом от компании Эвалар является помада Анти-герпес, содержащая экстракты трав (зверобой, календула), касторовое масло, прополис и 5% ацикловир. Ее использование помогает предотвратить распространение высыпаний и способствует быстрому заживлению.
Не менее эффективными являются крем Вратизолин (с активным веществом денотивир) и Панавир, обладающий противовирусным и иммуномодулирующим действием, доступный в форме геля и свечей, назначаемый при всех герпевирусных инфекциях. Крем Вратизолин оказывает тройное действие: противовоспалительное, противовирусное и противобактериальное. Он изначально является противовирусным средством и не требует активации вирусным ферментом. Действие начинается сразу после нанесения на кожу, а при многократном использовании в период предвестников можно предотвратить появление высыпаний.
При выборе лекарственной формы стоит учитывать, что крем имеет легкую текстуру, быстро впитывается и обладает высокой биодоступностью. Мазь, изготовленная на жирной основе, хуже впитывается и оставляет на поверхности защитную пленку. Определить, какая мазь лучше, сложно, так как предпочтения могут различаться. Поэтому пациенты, часто сталкивающиеся с рецидивами, методом проб и ошибок находят подходящее средство. Некоторые предпочитают избегать химических веществ и выбирают гель Панавир на растительной основе.
Крем Фенистил Пенцивир также имеет положительные отзывы. Если выбрать крем с тонирующим эффектом, его можно использовать для лечения лабиального герпеса. Обычный крем Фенистил Пенцивир подходит для нанесения на кожу в любых местах. Одно и то же средство можно применять как на лице, так и на теле или в носу, так как оно подходит для обработки как кожи, так и слизистых.
Дополнительные средства могут включать:
Применение местных лекарств сокращает сроки выздоровления и улучшает общее состояние пациента. Тем не менее, избавиться от герпеса за один день или быстро устранить его на спине или лице не получится — пузырьки должны пройти все стадии своего развития.
Как долго длится заболевание и через сколько дней оно проходит? Это зависит от площади поражения кожи. При легком течении и небольших очагах дефекты кожи на губах или подбородке восстанавливаются в течение 7-8 дней. При более обширных поражениях на восстановление может потребоваться 2-3 недели. Однако использование местного лечения и препаратов для приема внутрь может ускорить процесс выздоровления.
Поскольку мы рассматриваем местное лечение инфекции, возникает вопрос: можно ли мыться при этом заболевании?
Мыться можно, но необходимо соблюдать санитарно-гигиенические правила:
- Разрешается принимать душ, но вода не должна быть горячей, так как при высоких температурах вирус может быстро распространяться по организму.
- Ванны принимать нельзя.
- В области поражений не следует использовать гель и мочалку.
- Для вытирания необходимо использовать два полотенца — одно для здоровой кожи, другое для пораженной. На участках с высыпаниями можно применять мягкие хлопчатобумажные салфетки, которые следует предварительно прокипятить.
- При обширных и мокнущих поражениях возможность водных процедур следует уточнять у врача.
Лечение герпеса на теле в домашних условиях
Важно отметить, что инфекции, независимо от их локализации и степени тяжести, можно лечить в домашних условиях. Для того чтобы быстрее избавиться от высыпаний, сделать их менее заметными и предотвратить распространение инфекции на спине или руках, рекомендуется использовать местные средства и препараты для внутреннего применения.
Лечение герпеса народными средствами в домашних условиях
Народные методы лечения следует использовать в сочетании с медикаментозной терапией, так как быстро избавиться от герпеса с помощью только народных средств не получится.
- Для облегчения зуда и уменьшения отека можно прикладывать лед на 7-10 минут, повторяя процедуру несколько раз в течение дня;
- Компрессы с лимоном;
- Местное применение масла мяты;
- Гель алоэ вера, который помогает снять воспаление;
- Травы, такие как корень солодки и эхинацея, можно использовать в виде отвара. Корень солодки благодаря содержанию глицирризиновой кислоты обладает слабым противовирусным эффектом, а эхинацея служит иммуностимулятором. Порошок корня солодки можно наносить на пораженные участки, предварительно смешав его с водой или детским кремом;
- Кукурузный крахмал в виде пасты (смешать крахмал и воду в равных пропорциях);
- Порошок шалфея, разведенный водой до состояния кашицы;
- Витамин Е, который при аппликациях способствует восстановлению поврежденных клеток.
Масло чайного дерева и масло лаванды, используемые для прижигания высыпаний, можно считать одним из лучших народных средств. На ватную палочку наносят 1-2 капли масла и аккуратно обрабатывают пораженную область. Однако следует избегать применения масел на слизистых оболочках.
Как лечить вирус герпеса на теле
Хотя лечение взрослых не вызывает затруднений, многие родители задаются вопросом, как справиться с герпесом на теле у детей.
Для обработки высыпаний рекомендуется использовать Фукорцин или бриллиантовый зеленый, после чего следует применять противогерпетические мази, такие как 5% Ацикловир, 2% Пенцикловир или мазь Виферон.
Успех терапии во многом зависит от того, насколько быстро начато лечение. Чем раньше вы начнете борьбу с герпесом на теле ребенка (при первых симптомах), тем выше будет эффективность. Крем следует наносить 5-6 раз в день на протяжении 7-10 дней. Если поражения обширные или состояние ребенка ухудшается, особенно в возрасте 1 или 2 года, может потребоваться системное лечение с использованием ацикловира внутрь. Подросткам можно назначать валацикловир и фамцикловир. В рамках комплексной терапии при обширных поражениях (например, герпетической экземе) рекомендуется использовать иммунотропные препараты — свечи Виферон или Генферон-Лайт ежедневно в течение недели, а затем в прерывистом режиме на протяжении 2 месяцев. При герпесе Зостер, который чаще встречается у взрослых, основным средством является фамцикловир. В случаях выраженного воспаления могут быть назначены глюкокортикостероиды, трициклические антидепрессанты, а также проводятся симпатические блокады. Эффективно также применение интерферонов.
Как лечить герпес на лице
Это, безусловно, одна из самых «непривлекательных» локализаций герпеса. Когда простуда появляется под носом, на щеке или губе, мы понимаем, что быстро избавиться от нее не получится, и целую неделю придется выходить в таком виде. Для герпеса на губах можно использовать маскирующий антигерпетический пластырь COMPEED. Этот пластырь содержит гидроколлоид, который способствует заживлению. Он помогает уменьшить зуд и жжение, а также предотвращает бактериальное загрязнение раны. Пластырь следует накладывать на 8 часов, после чего его нужно заменить на новый. Однако стоит помнить, что он не содержит противовирусных компонентов, и использование мази или крема под ним может снизить его эффективность и замедлить процесс заживления.
В общем, лечение герпеса на лице требует осторожности, так как применение агрессивных народных средств может привести к ожогам и рубцам. Как же быстро избавиться от герпеса на лице? Методы лечения остаются прежними — антисептики, аккуратные прижигания спиртосодержащими средствами и противовирусные мази. Для быстрого лечения простуды на носу в домашних условиях можно использовать масло чайного дерева и мазь Ацикловир. Причем, чем раньше вы начнете применять Ацикловир, тем быстрее пройдет заболевание. Особенно эффективно использовать мазь на стадии предвестников. Например, если вы знаете, что у вас часто появляется простуда под носом, при первых признаках (припухлость, дискомфорт, распирание или зуд) следует немедленно начать лечение. Наружная простуда в ухе лечится по тем же принципам. Если высыпания находятся глубоко в ухе, необходимо обратиться к ЛОР-врачу, так как сужение наружного слухового прохода затрудняет нанесение мази.
Если говорить о лечении герпеса на голове в волосах, то эффективными будут следующие методы:
- Кварцевание области высыпаний и лазерное воздействие.
- Использование кремов или гелей ( Герперакс, Перцикловир, Афлубин Пенцикловир, Виворакс, Вратизолин и другие), так как они имеют легкую текстуру и хорошо впитываются.
- После вскрытия пузырьков на волосистой части головы, учитывая наличие различных бактерий, рекомендуется наносить мазь с антибиотиком ( Левомеколь, Эритромицин, Гентамицин и другие).
Лечение герпеса в носу
Как лечить простуду в носу, когда высыпания появляются на слизистой оболочке? Гель Инфагель является отличным средством для терапии слизистой в носу. Его следует наносить тонким слоем с помощью ватной палочки дважды в день. Курс лечения составляет 4-5 дней, пока слизистая не восстановится полностью.
Важно отметить, что при данной локализации герпеса могут возникать сильные распирающие боли, которые усиливаются при прикосновении к носу. В таких случаях можно использовать обезболивающие препараты, такие как Ибупрофен или Кетопрофен, а также аккуратно наносить гель, содержащий лидокаин или бензокаин. Снаружи на область носа можно прикладывать лед, завернутый в ткань, что поможет уменьшить боль и отек. Если в носу образуются корочки, для их смягчения рекомендуется использовать масло шиповника или облепихи, которые способствуют более быстрому заживлению. При обширных высыпаниях для лечения простуды в носу может потребоваться применение противовирусных средств.
Лечение герпеса во рту
Наиболее часто у взрослых наблюдается герпетический стоматит. При этом заболевании в ротовой полости на деснах, языке и мягком небе возникают пузырьки и белый налет, что вызывает болезненные ощущения и затрудняет прием пищи. Для лечения рекомендуется полоскание раствором разведенного сока каланхоэ, отваром коры дуба, зверобоя и шалфея. Простудные проявления на языке можно лечить с помощью полоскания антисептическими растворами, такими как Мирамистин и Хлоргексидин, а также обработкой спреями ( ГексаЛор, Деринат, Ангилекс, Мирамистин, Тантум Верде). Слизистую оболочку можно смазывать Инфагелем, однако основное лечение, особенно в случае тяжелого течения заболевания, включает прием противовирусных препаратов внутрь, о которых мы упоминали ранее.
У детей также могут развиваться стоматит и герпетический фарингит. Тяжелая форма фарингита, известная как герпетическая ангина, сопровождается интоксикацией, высокой температурой и увеличением лимфоузлов. Лечение герпеса в ротовой полости у ребенка представляет собой сложную задачу, так как заболевание часто протекает в тяжелой форме и требует стационарного наблюдения. Если возраст ребенка позволяет, можно использовать полоскания отварами трав для обработки полости рта. В случае, если ребенок не может полоскать рот, слизистую обрабатывают ватным тампоном, смоченным в отваре трав. Гель Инфагель также эффективно применяется при герпетическом стоматите для смазывания слизистой. В качестве дополнительных средств для лечения слизистых оболочек можно использовать облепиховое и шиповниковое масла. Основу терапии составляют препараты ацикловира.
Как лечить простуду на глазу
Лечение высыпаний на веке глаза осуществляется по общей схеме и допускает использование любых мазей с противовирусным эффектом. Поскольку герпес на глазу может иметь затяжное течение и существует риск инфицирования конъюнктивы, важно одновременно принимать противовирусные средства, назначенные врачом. Если при осмотре выявлены покраснение и герпетические высыпания, необходимо добавить капли или мазь с противовирусным действием. Рекомендуются капли Видарабин, гель Зирган, гель Ацикловир, а также мази Виролекс и Бонафтон. Также полезно местное применение интерферонов, таких как капли Офтальмоферон и Окоферон. Кортикостероиды в виде глазной мази или капель применяются только после эпителизации роговицы, которая при поверхностных кератитах происходит примерно через 4 дня. При рецидивирующем кератите назначаются противогерпетические препараты для приема внутрь. Важно помнить, что лечение должен назначать только врач.
Что касается анального герпеса, то в этом случае всегда требуется системное лечение — таблетки Ацикловир, Фамцикловир или Валацикловир. Поскольку анальный герпес имеет склонность к рецидивам, применяются различные схемы терапии:
- При первичном эпизоде — один из этих препаратов назначается на 5 дней.
- Эпизодическое лечение при рецидивах — один из этих препаратов также назначается на 5 дней.
- Супрессивная терапия — один из этих препаратов принимается длительно.
Лечение вируса герпеса 6 типа у взрослых
Лечение назначается при подтвержденной инфекции, вызванной вирусом HHV-6. Эта инфекция часто протекает в подострой форме и может вызывать прогрессирующую дисфункцию центральной нервной системы, принимая хронический характер. В терапию инфекции ВГЧ-6 входят следующие методы:
- Применение противовирусных препаратов. К числу таких средств относятся ацикловир, фоскарнет, ганцикловир, валацикловир и цидофовир. Ацикловир демонстрирует меньшую активность против данного типа вируса по сравнению с ганцикловиром.
- Использование иммуномодулирующей терапии. Наиболее часто применяются препараты, воздействующие на систему интерферона, такие как Циклоферон.
Впереди нас ожидает новое лечение герпетической инфекции. Исследователи из Института иммунологии России и НИЦ эпидемиологии и микробиологии Гамалеи разработали уникальный препарат на основе фуллерена С60, не имеющий аналогов в мире. Эта субстанция обладает выраженной противовирусной активностью и уже зарегистрирована. Эффективным методом профилактики рецидивов является вакцина против герпеса «Витагерповак», которая используется в период ремиссии для активации клеточного иммунитета.
Как показали исследования, герпетическая инфекция не всегда протекает легко и без осложнений. В некоторых случаях она может быть тяжелым и упорным заболеванием, что заставляет пациентов обращаться в специализированные герпетические центры. Например, в Москве расположено несколько таких учреждений. Одним из них является Герпетический центр на Гримау, работающий с 1992 года. Здесь предлагают углубленное обследование и лечение различных форм герпеса, применяя авторские методики. Женщины, страдающие от герпеса, могут получить подготовку к беременности, а также консультацию у иммунолога. Другой Герпетический центр на Мичуринском проспекте располагает современной диагностической лабораторией и высококвалифицированными специалистами. В интернете доступны отзывы о центрах и врачах, а также контактные телефоны для связи.
Лекарства
Ацикловир, Валвир, Валтрекс, Фамвир, Ганцикловир, Герпевир, Ациклостад, Инфагель, Циклоферон, Полиоксидоний, Деринат.
У детей
Герпетическая инфекция у детей может проявляться в двух формах: первичной и рецидивирующей. Основные клинические проявления представлены в таблице.
В некоторых случаях герпес у детей протекает в тяжелой форме, и чем младше ребенок, тем более выражены симптомы. После первичной инфекции у 30% детей могут возникать рецидивы, при этом наиболее распространенной формой рецидивирующей инфекции является герпес на губах, который внешне схож с высыпаниями у взрослых. При локальных поражениях общее состояние детей, как правило, остается стабильным, тогда как при более обширных проявлениях наблюдаются головные боли, лихорадка, мышечные боли и увеличение лимфатических узлов. Рецидивы герпеса, как правило, затрагивают одни и те же участки кожи.
Рецидивирующая герпетическая инфекция чаще всего проявляется высыпаниями на лице ребенка, причем наиболее распространенным местом является нос (назальный герпес). Реже высыпания могут появляться на веках, руках, ногах, туловище и ягодицах. При поражении пальцев вирус может перейти с первичного очага в области рта на пальцы, например, при откусывании ногтей или сосании пальца.
Офтальмогерпес рецидивирует у 30% детей и может приводить к фолликулярному конъюнктивиту и увеличению лимфатических узлов. Также может развиваться блефарит — воспаление век с образованием везикул по краю века. Если поражается только конъюнктива, выздоровление происходит в течение 2-3 недель. Однако при прогрессировании заболевания может быть затронута роговица, что приводит к развитию поверхностного и глубокого кератита, а также язв. В таком случае процесс выздоровления может занять более месяца, и существует риск потери зрения.
Инфекция у грудного ребенка
О герпетической природе инфекции у новорожденных, которая может развиваться в течение первых двух недель жизни, стоит задуматься, если у одного из родителей имеется генитальный герпес. Вирус может поражать такие системы, как кожа, глаза, центральная нервная система и печень. Передача вируса от матери с генитальным герпесом происходит в процессе родов. После рождения малыша заразить его могут мать, родственники или медицинский персонал, имеющие активные герпетические проявления.
Неонатальный герпес может проявляться следующими симптомами:
- поражением слизистых оболочек и кожи (глаза, рот, кожа);
- диссеминированной формой ( гепатит, пневмония, энцефалит), при которой летальность достигает 90%;
- поражением центральной нервной системы ( энцефалит).
Симптомы герпетической инфекции у новорожденного, если заражение произошло во время родов, могут проявиться на 4-6 день. В 60% случаев дети с герпесом рождаются от матерей, у которых инфекция протекает бессимптомно. В 80% случаев развивается герпетический энцефалит. У малыша может повышаться температура, ухудшаться аппетит, возникать срыгивания, а затем присоединяться желтуха и проблемы с дыханием, хотя высыпания могут отсутствовать. Генерализованная форма инфекции чаще встречается у недоношенных детей. При этом заболевании поражаются несколько органов: печень, легкие, почки, мозг, поджелудочная железа и надпочечники. Заболевание особенно тяжело протекает при первичном инфицировании, так как у ребенка отсутствуют антитела к вирусу.
Среди локализованных форм у грудничков часто встречается герпетический стоматит. Эта форма чаще наблюдается в возрасте 4-6 месяцев, но может возникать и в 1-2 года. Заболевание начинается остро с озноба, интоксикации и высокой температуры. Ребенок отказывается от пищи из-за болей в ротовой полости. Герпес в ротовой полости у ребенка начинается с покраснения и отека языка, щек и десен. Вскоре появляются высыпания в виде сгруппированных пузырьков, которые быстро вскрываются, образуя эрозии. Также наблюдается увеличение лимфатических узлов. Герпесная инфекция в горле является разновидностью герпетического стоматита, при которой поражаются миндалины, нёбо, задняя стенка глотки и язык. У детей в горле могут появляться высыпания с кровью, что вызывает беспокойство у родителей.
Герпес в горле у ребенка сопровождается болезненным глотанием, особенно при вскрытии пузырьков. Протекание герпеса в горле и его продолжительность зависят от наличия или отсутствия бактериальной инфекции. Лечение инфекции осуществляется с помощью противовирусных препаратов: детям разрешены ганцикловир, ацикловир (с рождения), а с трех лет можно применять инозин пранобекс ( Нормомед, Изопринозин, Гроприносин). Также в терапию включаются средства, способствующие выработке интерферона ( Циклоферон, разрешен с 4 лет) и местные антисептики в виде полосканий и спреев ( Орасепт, Тантум Верде).
Не исключены случаи лабиального герпеса и герпеса на носу у детей до года (herpes nasalis). Значительно реже наблюдаются инфекции на веках, руках, ягодицах и спине. В этих областях могут возникать повторные высыпания. При недостаточной гигиене количество очагов инфекции увеличивается. Чтобы предотвратить распространение вируса по всему телу, важно следить за тем, чтобы ребенок не касался высыпаний, а матери следует аккуратно обрабатывать пораженные участки и тщательно мыть руки после этого.
Если у кормящей матери появился герпес на губах, грудное вскармливание не представляет опасности для ребенка. Врачи, включая Комаровского, рекомендуют не прекращать грудное вскармливание, так как защитные антитела передаются малышу с молоком, что способствует выработке у него пассивного иммунитета. Однако мама должна строго соблюдать гигиену: тщательно мыть руки с дезинфицирующими средствами, носить маску и избегать контакта губ с кожей малыша.
Довольно часто у детей наблюдается мононуклеоз, вызванный вирусом 4 типа (вирус Эпштейна-Барра). Для этого заболевания характерны:
- Повышение температуры до 40 градусов.
- Тяжелая интоксикация (тошнота, рвота, головная боль, учащенное сердцебиение, слабость).
- Увеличение лимфатических узлов (по всему телу, особенно на шее).
- Назофарингит и бело-серые налеты на миндалинах.
- Увеличение печени и селезенки, боли в животе, желтушность кожи.
- Распространенные высыпания в виде пятен и папул.
Симптомы герпеса 6 типа у детей
Этот вирус чаще всего поражает детей младше трех лет. Вирус герпеса шестого типа у малышей вызывает детскую розеолу, также известную как внезапная экзантема. Заболевание начинается с высокой температуры, которая может держаться несколько дней. На фоне повышения температуры наблюдается увеличение лимфатических узлов и селезенки. Также отмечается отечность миндалин, и нередко развивается конъюнктивит. Когда температура снижается, на теле ребенка (включая спину, живот, шею и область за ушами) появляется мелкая розовая сыпь, которая исчезает через несколько дней, оставляя легкое шелушение кожи. После перенесенного заболевания у детей формируется иммунитет к данному типу вируса.
При беременности
У 10-30% женщин в положении обнаруживаются антитела к вирусу второго типа, при этом большинство из них (четыре из пяти) даже не догадываются о наличии инфекции, которая может проявляться в атипичной форме (эндометрит, уретрит, проктит, цистит). Чтобы выяснить, была ли герпетическая инфекция, необходимо пройти анализ крови на антитела — иммуноглобулины IgG и IgM. Герпес и цитомегаловирусная инфекция считаются основными факторами, способствующими повреждению плода. Хроническое бессимптомное течение инфекции может привести к гибели плода. Риск внутриутробной передачи вируса простого герпеса особенно высок при первичном инфицировании генитальным герпесом. У женщин, которые перенесли инфекцию до беременности, вероятность передачи вируса значительно ниже.
Рассмотрим, насколько опасен герпевирус 1 и 2 типов и какие риски могут возникнуть для ребенка, если женщина заболеет во время беременности на ранних сроках.
Герпес во время первого триместра может привести к следующим последствиям:
- самопроизвольный аборт;
- риск замершей беременности;
- нарушения в закладке органов у плода.
Первичное инфицирование в первом триместре особенно опасно.
Во втором триместре герпес увеличивает вероятность:
- врожденных аномалий (микроцефалия, пороки сердца, легких);
- мертворождения;
- фетоплацентарной недостаточности;
- поздних выкидышей;
- преждевременных родов.
Инфицирование во втором триместре может вызвать у плода сепсис и менингоэнцефалит.
Третий триместр также представляет опасность, так как могут возникнуть:
- отставание в развитии плода;
- преждевременные роды;
- врожденная пневмония и менингоэнцефалит;
- риск прямой передачи вируса новорожденному.
Чем лечить герпес при беременности?
Первичный герпес в конце беременности представляет собой серьезный риск для плода во время родов, поэтому при выявлении первичной инфекции у беременной женщине назначают противовирусные средства, такие как Ацикловир и Валтрекс. Ацикловир можно использовать с первого триместра, Валтрекс также допустим, в то время как Фамцикловир не рекомендуется в период беременности. При генитальном герпесе местное лечение включает применение кремов Ацик или Зовиракс. В терапию могут быть добавлены препараты, такие как Кипферон и Циклоферон для инъекций, а также Альфарекин и Аллокин-альфа для подкожного введения. В случае рецидивов вируса простого герпеса 1 или 2 типов предпочтительно использовать системные препараты, хотя местное лечение также возможно. Беременным с рецидивирующим генитальным герпесом с 36-й недели беременности рекомендуется проводить месячную супрессивную терапию ацикловиром, чтобы предотвратить обострение перед родами.
На форумах можно встретить беременных женщин на ранних сроках, которые беспокоятся о лабиальном герпесе или герпесе в области носа. Некоторые из них сообщают о том, что за время беременности у них было до четырех рецидивов, и им назначали свечи Виферон. У некоторых женщин на фоне лабиального герпеса была зафиксирована замершая беременность. Часто возникает вопрос, когда можно планировать беременность после лабиального герпеса. Лабиальный герпес менее опасен для плода по сравнению с генитальным, поэтому после его исчезновения можно начинать планировать беременность, но рекомендуется подождать 1-1,5 месяца для восстановления (прием витаминов, сбалансированное питание, прогулки на свежем воздухе). Пара, которая собирается завести ребенка, должна пройти обследование на герпес до зачатия.
Диета
Диета при герпесе
- Эффективность: лечебный эффект проявляется через неделю
- Сроки: от месяца и более
- Стоимость продуктов: 1400-1500 рублей в неделю
Существует мнение, что при герпетической инфекции важно включать в рацион продукты, богатые незаменимой аминокислотой лизином. К таким продуктам относятся молочные изделия, мясо, сыры, рыбий икра, а также рыба (горбуша, сельдь, треска, минтай), яичный белок, шпинат, зародыши пшеницы, горох, фасоль, гречка и чечевица. В то же время, при герпетической инфекции рекомендуется ограничить потребление продуктов с высоким содержанием аргинина, таких как арахис, соя, различные орехи, кунжут и семена подсолнечника.
Профилактика
Как избежать заражения герпесом? Учитывая, что вирусы герпеса широко распространены и легко передаются, защититься от них удается не всем. Как уже упоминалось, заражение может произойти еще в детстве. Даже если инфекция произошла, она может протекать без симптомов, но в дальнейшем важно предотвратить активацию вируса. Для этого следует:
- Вести активный и здоровый образ жизни.
- Соблюдать сбалансированное питание.
- Обеспечивать достаточный сон и отдых.
- Минимизировать стрессовые ситуации.
Если же симптомы инфекции все-таки проявились, необходимо соблюдать правила личной гигиены, чтобы не заразить окружающих и не усугубить ситуацию.
- Не прокалывайте волдыри, чтобы не распространить вирус на другие участки кожи.
- Избегайте касания сыпи руками и тщательно мойте руки в этот период.
- Не трогайте глаза руками и надевайте контактные линзы только чистыми руками.
- Во время инфекции избегайте поцелуев и ограничьте контакт с детьми.
- Используйте индивидуальную посуду.
Эти рекомендации актуальны и для детей. Игрушки, с которыми играл больной ребенок, особенно те, что он берет в рот, необходимо дезинфицировать. Ребенок не должен общаться с другими детьми, поэтому его лучше временно отстранить от школы, детского сада и спортивных секций.
Иммунопрофилактика включает использование вакцин. Витагерпавак (Россия) — это вакцина, предназначенная для защиты от инфекций, вызванных вирусами герпеса 1 и 2 типов. Она содержит инактивированные антигены вируса и предназначена для предотвращения повторных рецидивов инфекции. Вакцинация способствует стимуляции иммунной системы. Препарат вводится внутрикожно. Новорожденным и беременным женщинам, которые контактировали с больным, назначают иммуноглобулин.
Последствия и осложнения
Каковы риски, связанные с герпесом? Эта инфекция может быть опасна своими последствиями, и наличие красного пятна после герпеса — это не самое серьезное. Не стоит переживать из-за красного пятна, так как это временное состояние, которое со временем восстановит свой естественный цвет.
К осложнениям, связанным с герпетической инфекцией, относятся:
- Вирусный энцефалит, который чаще всего наблюдается у людей в возрасте от 5 до 30 лет. Вирус может проникнуть в мозг как при первичном заражении, так и при его повторной активации.
- Гепатит.
- Миокардит.
- Постгерпетическая невралгия (в случае герпеса Зостер).
- Парез.
- Перикардит.
- Пневмония.
- Вирус также представляет опасность, так как при офтальмогерпесе существует риск слепоты.
Прогноз
При отсутствии осложнений инфекция имеет положительный прогноз. Ведение здорового образа жизни, поддержание иммунной системы и минимизация стрессов могут значительно снизить вероятность рецидивов заболевания. Однако генерализованные формы и герпетический энцефалит характеризуются высокой смертностью.
Список источников
- Исаков В. А., Архипова Е. И., Исаков Д. В. Герпесвирусные инфекции у человека: практическое руководство для медиков. – Санкт-Петербург: СпецЛит, 2013. – 670 с.
- Казмирчук В. Е., Мальцев Д. В. Клинические аспекты, диагностика и терапия герпесвирусных инфекций у человека: монография. – Киев: Феникс, 2009. – 248 с.
- Кускова Т. К., Белова Е. Г. Современные подходы к изучению семейства герпесвирусов // Лечащий Врач. 2004, № 5, с. 64–69.
- Казмирчук В. Е., Мальцев Д. В. Рекомендации по терапии герпесвирусных инфекций у человека // Український медичний часопис. – 2012. – № 5. – С. 94-106.
- Хахапин Л. Н. Вирусы простого герпеса у человека // Consilium medicum. 1999; 1(1).
Психологические аспекты герпесной инфекции
Герпесная инфекция, помимо физических проявлений, может оказывать значительное влияние на психоэмоциональное состояние человека. Внешние симптомы, такие как высыпания на коже и слизистых, могут вызывать не только физический дискомфорт, но и психологические проблемы, включая тревогу, депрессию и снижение самооценки.
Одним из основных факторов, способствующих развитию психологических проблем у людей с герпесом, является стигматизация. Многие пациенты испытывают стыд и неловкость из-за своей болезни, особенно если речь идет о генитальном герпесе. Это может привести к социальной изоляции, избеганию близких отношений и снижению качества жизни. Люди могут бояться осуждения со стороны окружающих, что усугубляет их эмоциональное состояние.
Кроме того, хроническая природа герпесной инфекции может вызывать постоянное беспокойство о возможных рецидивах. Пациенты часто находятся в состоянии ожидания следующего обострения, что может приводить к повышенному уровню стресса и тревожности. Это состояние ожидания может негативно сказаться на повседневной жизни, работе и личных отношениях.
Исследования показывают, что у людей с герпесом часто наблюдаются симптомы депрессии. Это может быть связано как с физическими проявлениями болезни, так и с психологическими аспектами, такими как чувство беспомощности и утрата контроля над своей жизнью. Важно отметить, что депрессия может усугублять течение самой инфекции, так как стресс и негативные эмоции могут способствовать рецидивам.
Психологическая поддержка и терапия могут сыграть ключевую роль в лечении герпесной инфекции. Психологи и психотерапевты могут помочь пациентам справиться с негативными эмоциями, связанными с заболеванием, а также научить их методам управления стрессом. Группы поддержки также могут стать важным ресурсом, позволяя людям делиться своим опытом и получать поддержку от тех, кто сталкивается с аналогичными проблемами.
Важно, чтобы пациенты с герпесом понимали, что они не одни в своей борьбе и что существует множество ресурсов, которые могут помочь им справиться с психологическими аспектами заболевания. Открытое обсуждение проблемы, как с медицинскими работниками, так и с близкими, может значительно снизить уровень стресса и улучшить общее психоэмоциональное состояние.
Вопрос-ответ
Что такое герпес на теле и как он проявляется?
Герпес на теле, также известный как опоясывающий лишай, вызывается вирусом варицелла-зостер, тем же вирусом, который вызывает ветряную оспу. Он проявляется в виде болезненных высыпаний, которые обычно располагаются на одной стороне тела, часто в области грудной клетки или живота. Высыпания могут сопровождаться зудом, жжением и общей слабостью.
Как передается вирус герпеса и можно ли его предотвратить?
Вирус герпеса передается через прямой контакт с пораженной кожей или слизистыми оболочками, а также через воздушно-капельный путь. Для предотвращения заражения рекомендуется избегать контакта с людьми, у которых есть активные высыпания, а также поддерживать иммунную систему в хорошем состоянии, чтобы снизить риск активации вируса.
Как лечится герпес на теле и какие препараты эффективны?
Лечение герпеса на теле обычно включает противовирусные препараты, такие как ацикловир, валацикловир или фамцикловир, которые помогают сократить продолжительность заболевания и уменьшить симптомы. Также могут быть назначены обезболивающие и противовоспалительные средства для облегчения дискомфорта. Важно обратиться к врачу для получения рекомендаций по лечению.
Советы
СОВЕТ №1
Обратитесь к врачу при первых симптомах. Если вы заметили покраснение, зуд или пузырьки на коже, не откладывайте визит к дерматологу. Ранняя диагностика поможет избежать осложнений и ускорить процесс выздоровления.
СОВЕТ №2
Соблюдайте гигиену. Герпес может быть заразным, поэтому важно мыть руки после контакта с пораженной областью и избегать касания других частей тела, чтобы предотвратить распространение вируса.
СОВЕТ №3
Используйте противовирусные препараты. Врач может назначить вам противовирусные средства, которые помогут уменьшить симптомы и ускорить заживление. Не занимайтесь самолечением и следуйте рекомендациям специалиста.
СОВЕТ №4
Укрепляйте иммунную систему. Здоровый образ жизни, включая правильное питание, регулярные физические нагрузки и достаточный сон, поможет вашему организму лучше справляться с вирусами и снизит вероятность рецидивов герпеса.







