Гепатобластома – злокачественная опухоль печени эмбрионального происхождения.
Основными проявлениями гепатобластомы являются такие симптомы, как%
- увеличение размера живота,
- особенно объемное образование ощущается при пальпации в зоне правого подреберья,
- кроме этого присутствует болезненность, тошнота, потеря аппетита.
Диагностика заболевания
Чтобы диагностировать гепатобластому применяются следующие методы исследования:
- Ультразвуковое исследование печени
- Компьютерная томография брюшной полости
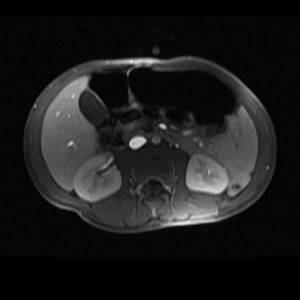
- Магнитно-резонансная томография брюшной полости
- Сцинтиграфия
- Биопсия печени
- Анализ крови на уровень альфа-фетопротеина
Гепатобластома у детей встречается в возрасте до пяти лет, обычно – до года. При гепатобластоме поражается правая доля печени, опухоль может состоять как из одного, так и из нескольких узлов желто-белого цвета, без капсул. Эти узлы беспрепятственно прорастают в печеночную ткань и способны продуцировать желчь.
Образуется гепатобластома у детей из эмбриональных клеток печени, опухоль состоит из незрелых гепатоцитов, которые находятся на разных этапах развития и не способны адекватно функционировать. В области гастроэнтерологии выделяют два типа гепатобластомы: эпителиальный и смешанный-мезенхимальный.
Причины появления гепатобластопы у детей
На самом деле, точные причины возникновения опухолевого заболевания не выяснены. Гепатобластома нередко проявляется в случае наличия наследственных аномалий, которые предшествуют развитию опухолей. Генные мутации или воздействие онкогена провоцирует нарушение внутриутробного развития, что влечет за собой нарушение дифференцировки, пролиферации клеток, развитию опухолей.
Гепатобластома у детей может быть как самостоятельной опухолью, так и сопровождать развитие других опухолевых процессов. Гепатит в у новорожденных значительно увеличивает риск образования гепатобластомы у детей. Кроме этого спровоцировать опухолевый процесс могут: глистная инвазия, полипоз кишечника, нарушение обменных процессов (тирозинемия, гликогеновая болезнь первого типа).
Симптомы заболевания
Развитие гепатобластомы на начальном этапе может протекать бессимптомно. Гепатобластома у детей сопровождается увеличением, выбуханием живота, наличием уплотнения в области правого подреберья, болями.
При прогрессировании опухолевого процесса наблюдается снижение аппетита, потерей веса, тошнотой, общей слабостью.
При запущенном заболевании проявляется фебрильная температура, рвота, симптомы желтухи, стремительная потеря веса.
Бывают случаи преждевременного полового созревания на фоне гепатобластомы по причине продукции хорионического гонадотропина.
Гепатобластома у детей стремительно увеличивается. Риск поражения опухолью легких, головного мозга, костей, брюшной полости слишком велик.
nmedicine.net
Опухоли печени
Злокачественные опухоли печени у детей встречаются достаточно редко. В основном опухоли печени делятся на 3 группы.
Одна из них, встречающаяся значительно реже, — это саркомы печени, практически те же, что и саркомы мягких тканей. Лечение их не отличается от лечения опухолей мягких тканей, но выживаемость больных невысока.
Чаще всего встречаются две другие группы злокачественных опухолей печени — гепатобластома и гепатоцеллюлярная карцинома.
Гепатобластома
Гепатобластома — опухоль, происходящая из зачатков эмбриона (зародыша). На ее возникновение влияют неблагоприятные факторы, воздействующие на плод во время беременности. Гепатобластома встречается преимущественно у маленьких детей, в основном до 3-х лет.
Ранние стадии заболевания протекают бессимптомно, поэтому гепатобластома часто диагностируется на поздних стадиях заболевания, может быть, случайно при обследовании или во время операции, когда происходит разрыв печени. В некоторых случаях (2%) опухолевые клетки способны продуцировать половые гормоны, вследствие чего у ребенка появляются признаки преждевременного полового созревания.
Как и любая злокачественная опухоль, гепатобластома дает метастазы, чаще всего- в легкие, в лимфатические узлы ворот печени (что вызывает желтуху, отеки на ногах, появление асцитической жидкости в животе), и редко — в кости.
Обследованиебольного гепатобластомой включает следующие мероприятия:
- Ультразвуковое исследование печени может заподозрить опухоль печени, либо выявить другие причины опухоли в животе (кисты, гидронефроз и т.д.).
- Компьютерная томография живота — выявляет распространение опухоли в печени, наличие пораженных лимфатических узлов, количество опухолевых очагов.
- Рентгенография и компьютерная томография легких- с целью выявления метастазов.
- Биопсия опухоли — гистологическое исследование ткани опухоли для установления точного диагноза — как при диагностике любой злокачественной опухоли. Чаще всего проводится операция — диагностическая лапаротомия (разрез — ревизия брюшной полости, взятие ткани опухоли и прилежащих лимфатических узлов для исследования на наличие опухолевых клеток). При этом, если возможно, опухоль удаляется полностью.
- Изотопное исследование печени
- Ангиография – выявляет состояние сосудов печени и вокруг опухоли, что важно для планирования операции.
- Определение опухолевого маркера в сыворотке крови- Альфа- фетопротеина (АФП). Это исследование необходимо провести в первую очередь при подозрении на опухоль печени, до начала всякого лечения и операции. При гепатобластоме уровень АФП значительно повышается и снижается до нормальных показателей только при достижении полной ремиссии (исчезновении всех симптомов опухоли). Повышенный уровень АФП в процессе лечения указывает на наличие остаточной опухоли. Этот опухолевый маркер чрезвычайно полезен в процессе наблюдения за пациентом по окончании лечения – повышение его уровня позволяет диагностировать рецидив опухоли в очень ранние сроки.
- В случае появления признаков преждевременного полового созревания необходимо определить уровень половых гормонов.
Лечение гепатобластомы
Основным методом лечения гепатобластомы, который может обеспечить выздоровление пациента, является полное удаление опухоли. При этом должна быть сохранена функция оставшейся части печени, необходимая для жизни больного. Детям допустимо удаление до 80% ткани печени, при этом печень хорошо восстанавливается. Но большое значение имеет локализация опухоли в самой печени, поскольку даже маленькую опухоль не всегда возможно удалить полностью из-за тесной связи ее с крупными сосудами.
Гепатобластома относится к опухолям – высокочувствительным к химиотерапии. В настоящее время для лечения этой опухоли используются лечебные протоколы, где присутствует предоперационная и послеоперационная химиотерапия, что значительно улучшает выживаемость больных. В случае неоперабельности опухоли предоперационная химиотерапия может уменьшить размеры опухоли и позволить в дальнейшем удалить ее полностью.
Трансплантация печени – самый передовой метод лечения, но в нашей стране эта операция у детей широко не применяется.
В настоящее время применяется и другой метод лечения – химиоэмболизация — введение химиопрепаратов непосредственно в сосуды печени и блокирования кровоснабжения опухоли. При этом создается высокая концентрация химиопрепарата в опухоли с минимальным токсическим эффектом.
Гепатобластома может быть излечена в 60 % случаев.
Гепатоцеллюлярная карцинома (рак печени)
Опухоль развивается непосредственно из клеток печени. Это, так называемый, «взрослый» тип опухоли, и поражает преимущественно детей старшего возраста и подростков и не отличается от течения рака печени у взрослых.
Большую роль в заболевании раком печени играет хронический вирусный гепатит В, а также цирроз печени. Риск развития опухоли значительно увеличивается у носителей австралийского антигена (антигена гепатита В).
Гепатоцеллюлярная карцинома метастазирует также в легкие, лимфатические узлы ворот печени и редко — в кости.
Методы обследования практически такие же, как при гепатобластоме, за исключением того, что Альфа-фетопротеин не играет существенной роли как маркер опухоли (его уровень повышается только в редких случаях).
Главным методом лечения является операция. В некоторых случаях опухоль чувствительна к химиотерапии, поэтому ХТ применяется и бывает эффективна в неоперабельных случаях. Но только радикальное удаление опухоли может обеспечить выздоровление больного.
Запись на амбулаторно-консультативный прием детского онколога и детского гематолога
осуществляется по телефону:
+7-911-100-23-44 с 14:00 до 16:00 в будние дни.
spbsverdlovka.ru
Понятие о болезни и статистика
Согласно данным зарубежной медицинской статистики, среди населения Европы и Северной Америки на долю первичного рака печени приходится чуть более 1% случаев детского и 10% всех прочих видов рака.
Развивающаяся чаще всего в тканях правой доли печени, гепатобластома представляет собой плотное бескапсульное новообразование (оно может быть как одиночным, так и множественным) желто-белой окраски, напоминающее узел и способное вырабатывать желчь.
Свободно прорастающая в ткани пораженного органа, гепатобластома отличается ярко выраженным дольчатым строением и наличием очагов некроза и кровоизлияний.
Ткани гепатобластомы содержат большое количество незрелых и относящихся к разным стадиям развития гепатоцитов, совершенно непригодных для выполнения присущих им функций в силу недостаточной развитости этих клеток.
На фото показана гепатобластома печени
Микроскопический анализ тканей, составляющих основу гепатобластом, позволяет разделить их на два морфологических типа:
- эпителиальные;
- смешанные.
Причины злокачественной опухоли
Какие-либо точные причины, провоцирующие развитие гепатобластомы, современной медицине до сих пор неизвестны. Медицинская статистика констатирует, что гепатобластома нередко выявляется у детей, страдающих наследственными аномалиями, наделенными склонностью к озлокачествлению.
К числу таких аномалий относятся:
- синдром Видемана-Беквита;
- гемигипертрофия (асимметрия лица и тела);
- семейный аденоматозный полипоз;
- наследственная тирозинемия (болезнь, характеризующаяся поражением сразу трех жизненно важных органов: поджелудочной железы, печени и почек).
Нередки случаи сочетания гепатобластом с нефробластомами (злокачественными опухолями почек). Иногда толчком к развитию злокачественной опухоли печени является гепатит B, перенесенный грудным младенцем, а также инфицирование его организма яйцами глистов (глистная инвазия).
Есть предположение о наличии взаимосвязи между вероятностью развития гепатобластомы и приемом некоторых оральных контрацептических средств будущей матерью (даже до наступления беременности).
К числу серьезных факторов риска относят также выраженный алкогольный синдром плода и наличие гликогеновой болезни первого типа.
Симптомы гепатобластомы
Для гепатобластомы начального периода развития характерно бессимптомное протекание. Первые проявления и характерная клиническая картина появляются, когда заболевание, прогрессируя, достигает стадии метастазирования.
К числу специфических проявлений гепатобластомы можно отнести наличие:
- увеличившегося в объеме, выбухающего живота;
- объемного уплотнения, локализующегося в области правого подреберья;
- выраженного болевого синдрома.
Дальнейшее прогрессирование злокачественной опухоли печени приводит к утрате аппетита, некоторому снижению массы тела, повышенной слабости, общему недомоганию и легкой тошноте. Наличие диспепсических расстройств, проявляющихся в развитии изжоги, отрыжки, рвоты, нарушениях стула (в виде запоров или поноса) при гепатобластоме отмечается крайне редко.
Присоединение рвоты, желтушность кожных покровов, резкое снижение массы тела, стойкое повышение температуры тела до уровня фебрильных значений является свидетельством того, что опухолевый процесс достиг своей финальной стадии.
В очень редких случаях, когда опухолевые ткани продуцируют специфическую гормональную субстанцию – хорионический гонадотропин (именуемый гормоном беременности), у ребенка может наблюдаться раннее половое созревание.
Диагностика печени у детей

В подавляющем большинстве случаев выявленная опухоль имеет уже большие размеры, но, к счастью для пациента, метастазы еще отсутствуют.
В современных клиниках проводится полная патологическая экспертиза, делающая особый акцент на анализ параметров печени.
- При физикальном осмотре малыша специалист без труда определяет наличие уплотнения, расположенного в области правого подреберья.
- Поскольку биопсия печени чревата развитием сильного кровоизлияния (геморрагии), врачи предпочитают прибегать к ранней пробной лапаротомии (операции, открывающей доступ к внутренним органам через микроразрез брюшной стенки). В ходе ревизии брюшной полости для лабораторных анализов берут образцы опухолевой ткани и лимфатических узлов, расположенных вплотную к гепатобластоме. Иногда в ходе диагностической лапаротомии специалисту удается осуществить полную резекцию (удаление) злокачественного новообразования.
- Ультразвуковое исследование печени и органов брюшной полости позволяет выявить локализацию новообразования, степень его распространенности, количество уплотнений (узлов), наличие поражений, коснувшихся крупных кровеносных сосудов печени.
- Уточнить топографию заболевания помогают процедуры эхографии и сцинтиграфии.
- Для выявления метастазов в легких применяют рентгенографию грудной клетки. Как свидетельствует статистика, к моменту диагностирования опухоли они отмечаются у каждого пятого пациента.
- Рентгенография органов брюшной полости проводится для выявления кальцификатов в печеночных новообразованиях, позволяющих исключить наличие других опухолевых процессов.
- Разрабатывая план будущей операции, специалист назначает целый комплекс исследований: компьютерную томографию, ангиографию, сканирование тканей печени (радиоизотопное), магнитно-резонансную томографию. Данные этих исследований помогают уточнить объем требующегося хирургического вмешательства.
- При наличии определенных сомнений в правильности поставленного диагноза выполняется биопсия опухолевых тканей. Забор небольшого образца выполняется в ходе операции или путем выполнения пункции.
- На этапе дифференциального диагностирования гепатобластому отделяют от целого ряда заболеваний, обладающих сходной симптоматикой (опухоли Вильмса, псевдокисты поджелудочной железы, кистозоподобного расширения желчного протока и т. п.).
Хирургическая терапия
Лечение гепатобластомы является радикальным и предусматривает единственный путь – хирургическую резекцию злокачественного новообразования, осуществляемую одновременно с долями печени (одной или несколькими).
Высокая регенерирующая способность (регенеративный потенциал) данного органа позволяет ему спустя определенное время восстановить первоначальные размеры.
Операция, в ходе которой осуществляют сегментарную долевую резекцию, называется лобэктомией. Оперативное вмешательство, направленное на удаление одной из половин печени, называют гемигепатэктомией. В зависимости от того, какая именно половина подлежит резекции, операция бывает левосторонней или правосторонней.
Химиотерапия
В особо сложных случаях оперативное вмешательство предваряют курсом химиотерапии. Лечение медикаментозными препаратами способствует уменьшению размеров злокачественного новообразования и тем самым сокращает объем будущего хирургического вмешательства.
Гепатобластома, сжавшаяся в размерах, поддается более полному иссечению. Даже если операция прошла успешно, маленьким пациентам назначают курс послеоперационной химиотерапии. Его назначение – справиться с раковыми клетками, которые не были удалены в ходе операции.
Другие способы лечения
В качестве паллиативной полумеры, облегчающей страдания прооперированных пациентов, применяют лучевую терапию. С ее помощью специалистам удается купировать болевой синдром и уменьшить проявления желтухи.
При позднем диагностировании гепатобластомы, успевшей дать метастазы, малышу назначается длительный курс лечения антибиотиками и химиотерапия. Иногда целесообразна пересадка здорового органа (трансплантация) печени.
Стадирование
Классификацию злокачественной опухоли печени по стадиям осуществляют, учитывая остаточный объем новообразования после резекции пораженного органа.
- Гепатобластома, полностью удаленная в ходе хирургического вмешательства и не давшая метастазов, соответствует первой стадии.
- Вторая стадия присваивается гепатобластоме, не успевшей дать метастазов, но не поддавшейся полному удалению при операции (часть раковых клеток осталась в пораженном органе).
- Третьей стадии соответствует опухоль, не полностью удаленная на макроскопическом уровне и вовлекшая в патологический процесс регионарные лимфоузлы. Метастазы на данной стадии также отсутствуют.
- Четвертая стадия присваивается заболеванию, давшему отдаленные метастазы.
gidmed.com
Причины гепатобластомы
Точные причины возникновения гепатобластомы не выяснены. Опухоль часто выявляется при наследственных аномалиях, имеющих склонность к развитию злокачественных новообразований (семейном аденоматическом полипозе, гемигипертрофии, синдроме Бекуита-Видеманна). Нарушение внутриутробного развития вследствие генных мутаций или действия определенного онкогена может приводить к нарушению дифференцировки, неконтролируемой пролиферации незрелых клеток и развитию эмбриональных опухолей.
Гепатобластома может сочетаться с другими опухолями детского возраста, например, опухолью Вильмса (нефробластомой). Повышенный риск возникновения гепатобластомы наблюдается у детей, перенесших гепатит B в период новорожденности, имеющих глистную инвазию, полипоз толстого кишечника, метаболические нарушения — наследственную тирозинемию, гликогеновую болезнь I типа и др.
Существует определенная связь между появлением гепатобластомы и приемом матерью комбинированных оральных контрацептивов, алкогольным синдромом плода. У детей с гепатобластомой практически не отмечается развитие цирроза печени.
Симптомы гепатобластомы
Начальный период развития гепатобластомы протекает без выраженной симптоматики, развернутая клиника свойственна для прогрессирующей, метастатической стадии опухоли. При гепатобластоме у детей может обнаруживаться увеличение объема живота, его выбухание; определяться объемное уплотнение в правом подреберье, болевой синдром.
Прогрессирование гепатобластомы сопровождается потерей аппетита, снижением веса тела, тошнотой, недомоганием. Диспепсические расстройства встречаются редко. Появление фебрильной температуры, рвоты, проявлений желтухи, снижение массы тела указывает на далеко зашедший опухолевый процесс.
Редко при гепатобластоме может происходить преждевременное половое созревание вследствие продукции опухолью хорионического гонадотропина. Гепатобластома является быстрорастущей опухолью. Существует высокий шанс метастазирования гепатобластомы гематогенным путем в легкие, головной мозг, кости и брюшную полость.
Диагностика гепатобластомы
Специфических методов диагностики гепатобластомы не существует. Общий осмотр и пальпация живота позволяют определить наличие образования в правом подреберье. УЗИ печени и брюшной полости при гепатобластоме выявляет расположение опухоли, степень ее распространения, количество узлов, поражение печеночных сосудов и нижней полой вены. КТ и МРТ, радиоизотопное сканирование печени и ангиография помогают при определении стадии заболевания и планировании объема операции.
Гепатобластома может проявляться анемией, лейкоцитозом, повышением СОЭ, тромбоцитозом и высоким уровнем альфа-фетопротеина — АФП (за счет внутриопухолевой продукции), повышенным содержанием печеночных ферментов (трансаминаз, лактатдегидрогеназы, щелочной фосфатазы), холестерина.
Рентгенография грудной клетки и брюшной полости позволяют установить метастатическое поражение других органов при гепатобластоме, наличие в основной опухоли кальцификатов, исключить другие новообразования. Биопсию печени выполняют в случае сомнительного диагноза.
Дифференциальный диагноз гепатобластомы проводят с опухолью Вильмса, нейробластомой надпочечника и ее метастазами в печень, кистозоподобным расширением желчного протока, псевдокистой поджелудочной железы.
Лечение гепатобластомы
Лечение гепатобластомы – хирургическое, заключается в удалении опухоли путем частичной гепатэктомии. При этом чаще производят удаление одной или нескольких долей печени, пораженных опухолью — лобэктомия или гемигепатэктомия. Печень, обладая высоким регенеративным потенциалом, часто способна к полному самовосстановлению.
В более тяжелых случаях применяют предоперационную химиотерапию для уменьшения размеров гепатобластомы и более полного иссечения опухоли, сокращения объема оперативного вмешательства. Обычно детям химиотерапия необходима не только до, но и после операции для уничтожения неудаленных опухолевых клеток. Лучевая терапия может применяться только паллиативно, для купирования болей и уменьшения проявлений желтухи. В некоторых случаях возможно проведение трансплантации печени.
Классификация гепатобластомы по стадиям проводится с учетом остаточного объема опухоли после резекции печени. I-ой стадии соответствует полное удаление опухоли и отсутствие метастазов; II-ой стадии — микроскопически неполное удаление опухоли, отсутствие метастазов; III-ей – макроскопически неполное удаление опухоли или вовлеченность регионарных лимфоузлов, отсутствие метастазов; IV-ой стадии – наличие отдаленных метастазов.
www.krasotaimedicina.ru
Что это такое?
Гепатобластома относится к первичному раку. Это новообразование в печени является злокачественным и недифференцированным. Гепатобластомы — опухоли эмбрионального происхождения, развиваются из стволовых клеток внутриутробно. Чаще всего их диагностируют у самых маленьких детей: от первого года жизни и до трех лет. В крайне редких случаях гепатобластома обнаруживается у детей старше пяти лет.
Опасность заболевания в том, что такая опухоль быстро растет. К тому же, в печени много крупных сосудов, которые относятся к большому кругу кровообращения. Из-за этого часто появляются метастазы.
На гепатобластомы приходится 1% от всех детских опухолей. Чаще всего развивается в правой доле органа. Пол для этого недуга значения не имеет.
Гепатобластома выглядит как белого цвета узел (или несколько). У него нет капсулы и он может вырабатывать желчь. Свободно прорастает в ткани печени, имеет участки некроза. Состоит из незрелых клеток печени с разными стадиями развития, которые не способны выполнять свои функции. Имеет дольчатое строение.
При радикальном удалении на первой стадии такой опухоли прогноз весьма оптимистичен: выздоравливает около 60% детей, при этом, если опухоль была в левой доле — шансов выздороветь больше. При операции на четвертой стадии выживаемость падает в два раза.
Лечением гепатобластомы занимаются онколог, гастроэнтеролог , хирург и гепатолог. Они же занимаются наблюдением за больным ребенком после операции. Согласно международной классификации болезней гепатобластома имеет код С22.2.
Причины
Очень трудно определить причины развития этой опухоли. Согласно медицинской статистике, чаще всего гепатобластомы развиваются у детей, у которых имеются наследственные аномалии, способные превратиться в злокачественные опухоли. Предположительно, причинами могут быть:
- Асимметрия тела и лица.
- Тирозинемия, передающаяся по наследству (при этом недуге поражаются почки, поджелудочная и собственно печень).
- Аденоматозный полипоз у кого-то из родителей;
Также провокаторами недуга могут быть:
- Паразитозы.
- Гепатит В.
- Алкогольный синдром у ребенка и цирроз.
- Прием мамой ОК (даже задолго до беременности).
- Гликогеновая болезнь первого типа.
- Присутствие в рационе мамы (и ребенка) нитрозаминов и афлотоксина.
- Злокачественные опухоли почек.
- Врожденные болезни метаболизма, например, порфирия или болезнь Вильсона-Коновалова, нарушения обмена железа.
Виды
Гепатобластома может быть эпителиальной или смешанной. Зависит её вид от тех клеток, которые составляют её основу.
- Эпителиальная
Здесь есть два вида клеток, из которых и состоит гепатобластома: фетальные и эмбриональный.
Первый тип – мелкие гепатоциты. У них много митозов и крупные ядра. Они часто заполнены гликогеном или липидами. Клетки печени эмбриональные тоже довольно мелкие. Располагаются своеобразными розетками. Гликогенов и липидов в них нет.
- Смешанная
Гепатобластома смешанная представляет собой сочетание клеток фетальных или эмбриональных с остеоидными, фиброзными или хондроидными тканями, являющимися производными мезенхимы.
Стадии
- При первой стадии опухоль в печени невозможно определить визуально и нет метастаз (I, Т1N0M0).
- При стадии второй метастазы тоже отсутствуют, гепатобластома маленьких размеров (II, T2N0M0).
- На третьей стадии размер гепатоблатостомы до 5 см в диаметре, метастазов нет (обозначается как IIIА: T3N0M0). При третьей стадии В есть метастазы регионарные, размер гепатобластомы такой, как при любой из первых трех стадий ( обозначается как IIIB: T (1 или 2 или 3)N1M0).
- При четвертой стадии размер гепатобластомы уже больше 5 см, она уже прорастает в другие органы (поджелудочная, желудок, плевра, брюшина), имеются регионарные метастазы. Обозначается как IVA: T4N(0 или 1)M0. При стадии четвертой В размер гепатобластомы может быть любым, но всегда наблюдаются отдаленные метастазы. А вот регионарных может и не быть. Обозначается как IVB : T(1 или 2 или 3 или 4)N(0 или 1)M1.
Симптомы
Очень часто ярко выраженных симптомов у гепатобластомы не наблюдается. Трудность и в том, что это заболевание самых маленьких детей, которые с трудом могут рассказать, что же у них болит и вообще не могут пожаловаться. Обратить внимание нужно вот на что:
- Живот ребенка увеличился в объеме и сильно выпирает. Это явление еще называется симптомом головы медузы.
- В районе правого подреберья можно обнаружить большое уплотнение.
- Боль, о которой маленький ребенок может рассказать только при помощи крика.
- Также у детей с этим недугом могут наблюдаться потеря аппетита и веса, тошнота, вялость, температура 38-39 градусов, общая вялость, желтушность кожи. Многие из этих симптомов появляются только на последних стадиях гепатобластомы.
Остальные признаки будут заметны только в результатах лабораторных исследованиях. Так, анализы крови покажут анемию, лейкоцитоз и полинуклеоз, повышение СОЭ, гепатромбоцитоз. Также анализы покажут наличие такого вещества, как альфа-фетопротеин, большое количество холестерола, трансаминаза, увеличение количества щелочной фосфатазы и лактатдегидрогеназы.
Диагностика
В первую очередь, проводятся физикальный осмотр, анализы крови и мочи. Также нужна будет ранняя пробная лапаротомия и резекция. Применяются ультразвуковое обследование и рентгенография близлежащих органов, которые помогут определить, имеются ли метастазы. Нужны будут эхография и сцинтиография.
Важно знать: биопсия для маленького ребенка может быть очень опасной, но если есть сомнения в диагнозе, её могут сделать уже при операции.
Лечение
Самым эффективным методом лечения гепатобластомы у ребенка является операция. Перед ней необходимо провести сканирование тканей органа, КТ и МРТ и другие исследования.
Операция при гепатобластоме представляет собой резекцию новообразования с долей органа (или несколькими). Так как печень регенерирует быстро, он скоро обретет свои прежние размеры. Если удаляется доля печени, операция называется лобэктомией. Если же удаляется половина органа, речь идет о гемигепатэктомии. Возможна и пересадка органа.
Химиотерапия здесь является вспомогательным методом. Она проводится перед особо сложными операциями и уменьшает гепатобластому. Послеоперационная химиотерапия малышам назначается для того, чтобы уничтожить не удаленные при операции клетки. Для избавления от болей и желтухи могут проводить и лучевую терапию.
Прогноз
В случае с гепатобластомой у ребенка непросто делать прогнозы, но шансы на выздоровление велики. Многое зависит и от стадии, и от толерантности к лечению. Если гептобластома стала образовываться после того, как сформировался иммунитет, шансы еще больше.
- Ребенок после операции должен наблюдаться у онколога и гепатолога, а также проходить анализы и исследования ультразвуковые и рентгенологические.,
- Профилактики этого недуга тоже не придумано, но важно следить за ребенком, если у него есть тирозинемия и другие наследственные болезни. Если старший брат или сестра малыша родился с гепатобластомой, есть риск, что и у него может развиться такая болезнь.
- Обязательно поставить малыша на учет у гепатолога и проводить регулярно исследования.
Важно знать: обязательно определять содержание в крови ребенка альфа-фетопротеин. Его наличие после лечения говорит о том, что возможны злокачественные новообразования в печени.
Онкозаболевания поддаются лечению. Более того, маленькие дети часто выздоравливают и живут без рецидивов. Следите за здоровьем малыша внимательно и начинайте обследование при малейших неполадках в организме.
bolitpechen.ru
