Гемосидероз — это состояние, при котором в тканях организма накапливается гемосидерин, что может нарушать функции органов. В статье рассмотрим гемосидероз легких, печени и кожи, его причины, механизмы развития и клинические проявления. Понимание этого состояния важно для диагностики и лечения заболеваний, связанных с обменом железа, а также для своевременного выявления осложнений, что способствует улучшению качества жизни пациентов.
Общие сведения
Гемосидерозом называют состояние, при котором в тканях наблюдается аномально высокое содержание темно-желтого или коричневого пигмента – гемосидерина. Этот пигмент накапливается в цитоплазме в виде аморфных зерен, которые значительно преломляют свет. Химически гемосидерина представляет собой гидроокись железа, которая образуется в результате распада гемоглобина – белка, отвечающего за транспортировку кислорода. В дальнейшем происходит денатурация и депротеинизация ферритина, сложного белкового комплекса, который служит основным резервуаром железа в организме.
Основными факторами, способствующими развитию гемосидероза, являются усиленный распад эритроцитов, нарушения в процессе утилизации гемосидерина в эритроцитопоэзе, а также повышенное всасывание железа в желудочно-кишечном тракте. К этому могут привести нарушения обмена пигментов, содержащих железо, различные заболевания, такие как ацерулоплазминемия, а также чрезмерный прием препаратов железа, например, Венофера или Ликферра.
Врачи отмечают, что гемосидероз представляет собой накопление гемосидерина в органах и тканях, что может привести к серьезным последствиям для здоровья. Это состояние часто связано с избыточным поступлением железа в организм, что может происходить при различных заболеваниях, таких как гемохроматоз или хронические трансфузии. Специалисты подчеркивают важность ранней диагностики, так как симптомы могут быть неявными и проявляться лишь на поздних стадиях. Лечение гемосидероза включает в себя контроль уровня железа и, в некоторых случаях, применение хелатирующих агентов. Врачи также рекомендуют регулярные обследования для пациентов с риском развития этого состояния, чтобы предотвратить возможные осложнения, такие как повреждение печени или сердца.
https://youtube.com/watch?v=AcpSHNJY3M4
Патогенез
Макрофаги, а также гистиоциты, эпителиоциты и эндотелиоциты способны синтезировать молекулы гемосидерина с помощью своих сидеробластов. Эти клетки находятся в селезёнке, печени, лимфоузлах, костном мозге и других органах. Простой пример локального накопления пигмента — это обычная гематома.
Процесс местного гемосидеролиза обычно инициируется значительным кровоизлиянием или множественными диапедезами, где происходит внесосудистый (экстраваскулярный) гемолиз в присутствии кислорода.
При обширных кровоизлияниях в центральной области, где кислорода недостаточно, образуется гемотоидин, тогда как гемосидерин формируется только на периферии примерно на 2-3 сутки. Наличие гемосидерина в тканях указывает на то, что кровоизлияние является старым.
В нормальных условиях накопленный в клетках пигмент не оказывает вредного воздействия на ткани или функции органов. Однако, если гемосидерин накапливается на фоне склеротических процессов, это может привести к функциональным нарушениям и негативным последствиям. Например, в случае образования кисты в головном мозге: гемосидерин откладывается между здоровыми тканями и сгустками крови в области кровоизлияния, и повторная геморрагия может привести к образованию кисты с бурыми краями.
Чрезмерное накопление гемосидерина в организме может быть вызвано избытком железа при внутрисосудистом (интраваскулярном) гемолизе или повышенным всасыванием железа из пищи. В таких случаях сидерофаги не успевают утилизировать гемосидерин, и в результате волокна, межклеточное вещество и ткани насыщаются железом, что придаёт селезёнке, печени, костному мозгу и лимфатическим узлам бурый оттенок. Отложения гемосидерина могут быть обнаружены в эпителиоцитах потовых и слюнных желез, а также в почках. В тяжелых случаях изменения затрагивают и стромы органов, и стенки сосудов, происходит накопление «катаболического» ферритина и билирубина. Повышенный уровень билирубина может привести к гемолитической желтухе у пациентов.
Хотя в большинстве случаев молекулы пигмента не наносят вреда паренхиматозным клеткам и не вызывают нарушений в работе органов, избыток железа может оказать повреждающее воздействие, приводя к атрофии паренхимы и склерозу, что снижает и нарушает её функционирование. В таких ситуациях речь может идти о наследственном заболевании — гемохроматозе.
| Аспект | Описание | Клинические проявления |
|---|---|---|
| Определение | Накопление гемосидерина (железосодержащего пигмента) в тканях и органах. | Зависят от локализации и степени накопления. |
| Причины | Первичный: наследственные нарушения обмена железа (гемохроматоз). Вторичный: частые переливания крови, гемолитические анемии, хронические заболевания печени, почек, легких. | Общие: слабость, утомляемость, пигментация кожи («бронзовый диабет»). |
| Локализация | Печень: цирроз, гепатомегалия. Сердце: кардиомиопатия, аритмии. Поджелудочная железа: сахарный диабет. Кожа: гиперпигментация. Суставы: артропатия. Легкие: фиброз, кровохарканье. | Специфические: боли в правом подреберье, одышка, отеки, боли в суставах, кашель. |
| Диагностика | Анализы крови (ферритин, железо, трансферрин), биопсия органов (печень, костный мозг), МРТ, КТ. | Аномальные показатели крови, изменения в структуре органов на изображениях. |
| Лечение | Флеботомия (кровопускание), хелатирующие препараты (дефероксамин, деферазирокс), диета с низким содержанием железа. | Улучшение общего состояния, уменьшение симптомов, предотвращение дальнейшего повреждения органов. |
| Прогноз | Зависит от своевременности диагностики и лечения, степени повреждения органов. | При раннем лечении прогноз благоприятный, при позднем — могут развиться необратимые осложнения. |
Классификация
Гемосидероз может быть как местным, так и общим. Местный (очаговый) гемосидероз возникает при внесосудистом гемолизе, тогда как общий (генерализованный) связан с внутрисосудистым гемолизом. Накопление гемосидерина в местных формах может наблюдаться в легочных тканях и эпителии.
Общий гемосидероз обычно развивается на фоне значительного гемолиза, который затрагивает такие клетки, как гепатоциты, макрофаги селезёнки, а также клетки костного мозга и других органов.
Гемосидероз — это состояние, которое вызывает много обсуждений среди пациентов и медицинских специалистов. Люди, столкнувшиеся с этой проблемой, часто делятся своими переживаниями о том, как болезнь влияет на их повседневную жизнь. Некоторые отмечают, что симптомы, такие как усталость и боли в суставах, значительно снижают качество жизни. В то же время, многие пациенты подчеркивают важность ранней диагностики и регулярного мониторинга состояния, чтобы избежать серьезных осложнений. В социальных сетях можно встретить множество советов и рекомендаций по питанию и образу жизни, которые помогают справляться с недугом. Однако, несмотря на наличие информации, многие все еще испытывают страх и неопределенность, связанные с лечением и прогнозом. Общение с другими людьми, пережившими гемосидероз, помогает находить поддержку и понимание, что играет важную роль в психологическом комфорте.
https://youtube.com/watch?v=91KS-oOYn4Y
Гемосидероз легких
Хронический венозный застой в замкнутом сосудистом русле малого круга кровообращения, возникающий из-за сердечной недостаточности, приводит к локальному гемосидерозу легких, известному как бурой индурации легких. Длительное состояние венозного застоя и повышенная проницаемость стенок сосудов способствуют выходу эритроцитов в альвеолярное пространство, где они захватываются альвеолоцитами, что приводит к образованию гемосидерина и «заболачиванию» альвеол. В результате этого процесса усиливается гипоксия, наблюдается диапедез, формируются гемосидерофаги, а также происходят уплотнения из-за коллагеносинтетической активности фибробластов и разрастания соединительных тканей. Кроме того, можно выявить интерстициальный диффузный фиброз и склерозированные мелкие сосуды легких.
В этиопатогенезе гемосидероза легких могут участвовать как экзогенные факторы, такие как запыление легких железной пылью, так и эндогенные, например, вторичные изменения, возникающие на фоне сердечных заболеваний.
У данного заболевания возможны обострения, которые длятся 3-5 дней и могут привести к развитию микроцитарной гипохромной анемии.
Идиопатический гемосидероз легких, также известный как синдром Делена-Геллерстедта, имеет не до конца изученную этиологию и обычно сопровождается диффузными кровоизлияниями в альвеолы. Макрофаги, поглощая железо, трансформируются в сидерофаги, которые могут быть обнаружены в мокротах пациентов. Это состояние чаще всего наблюдается у детей в возрасте от 3 до 8 лет и не связано с пороками сердца. Идиопатический гемосидероз остается недостаточно изученным, однако в его этиопатогенезе значительную роль играет иммунопатологический компонент, так как могут поражаться и почки, что приводит к развитию синдрома Гудпасчера, а в крови можно выявить антитела к тканям легких и к коровьему молоку.
Гемосидероз печени
Избыточное накопление гемосидерина в печени происходит при общем гемосидерозе, когда патологические изменения затрагивают ретикулоэндотелиальную систему в области синусов и гепатоциты – непосредственно паренхиму. В случаях с незначительными процессами своевременное лечение может привести к полному выздоровлению, однако при значительной выраженности и прогрессировании склероза может развиться пигментозный цирроз.
https://youtube.com/watch?v=GXO5ftFcGwY
Гемосидероз кожи
Чрезмерное накопление гемосидерина обычно проявляется в виде посттравматических гемосидерозов, пигментных капилляритов, геморрагически-пигментных дерматозов и пигментных пурпурных дерматозов. Основной причиной этого являются травмы мягких тканей, такие как ушибы и инъекции, которые приводят к образованию гематом. В редких случаях причиной могут быть системные нарушения обмена железа.
Механические повреждения приводят к разрывам капилляров, и макрофаги не всегда успевают полностью переработать всю «подкожную» кровь. В результате происходит накопление её распадов — гемосидерина. Это приводит к образованию на коже стойких локальных изменений цвета и текстуры, которые могут вызывать эстетический дискомфорт (как видно на фото гемосидероза кожи).
Гемосидероз роговицы
Молекулы гемосидерина способны накапливаться в эпителиальных клетках роговицы на базальном уровне, формируя так называемые кольца Флейшера. Обычно их цвет варьируется от желтоватого до темно-коричневого, и они могут иметь разорванный вид. Эти образования можно выявить с помощью щелевой лампы в сочетании с кобальтовым синим светом.
Отложения железа наблюдаются у 50% пациентов с кератоконусом и другими дегенеративными заболеваниями роговицы. В то же время линия Хадсона-Стэли (слой отложенного железа в эпителии роговицы) встречается у здоровых людей, достигших 50-летнего возраста. Интересно, что к 70 годам эти линии могут значительно уменьшаться.
Подагрическая шишка
При подагре в мелких суставах рук и ног, а также в сухожилиях и околосуставных тканях периодически образуются инородные соединения, что сопровождается некрозом и воспалительными процессами, а также развитием соединительной ткани. Это состояние напоминает проявления гемосидероза. В результате таких изменений формируются подагрические шишки, которые приводят к деформации суставов.
Подагрические шишки представляют собой отложения уратов (соединений мочевой кислоты) в мягких тканях. При изучении микропрепарата подагрической шишки можно обнаружить участки некроза, аморфные массы и кристаллы мочекислого натрия. Также в описании отмечается наличие соединительной ткани и воспалительного инфильтрата, содержащего многоядерные гигантские клетки, которые напоминают «инородные тела».
Причины
Местный и общий гемосидероз имеют разные причины и механизмы накопления пигмента. Местный гемосидероз может быть вызван:
- механическими повреждениями;
- венозным застоем в сосудах малого круга кровообращения, что может происходить при ревматическом митральном пороке сердца или кардиосклерозе;
- синдромом Гудпасчера;
- повышением давления в легочных сосудах при легочной гипертензии.
В то время как общий гемосидероз может развиваться по следующим причинам:
- в результате переливания несовместимой крови, гемолитической болезни новорожденных и резус-конфликта;
- при отравлениях гемолитическими веществами, такими как бертолетова соль, сульфаниламиды, фтор, мышьяк, свинец и хинин;
- на фоне инфекционных заболеваний, таких как возвратный тиф, бруцеллез и малярия;
- из-за различных ферментопатий, гемобластозов или гемолитических анемий;
- в случае травм, протезирования портальных клапанов или ночной пароксизмальной гемоглобинурии (в таких случаях гемосидероз чаще всего локализуется в почках).
Симптомы
Наиболее значимыми симптомами при гемосидеролизе являются следующие проявления:
- В случае поражения легких наблюдаются: повышение температуры, одышка, цианоз, кашель с мокротами, содержащими «коричневый» пигмент, и кровохарканье. При обильном кровотечении может возникнуть рвота с примесью крови;
- Кожные проявления – при накоплении катаболического пигмента в дерме могут возникать белая атрофия кожи, охряный дерматит, сетчатые старческие изменения кожи, а также зудящие, кольцевидные телеангиэктатические образования, ортостатическая и другие виды пурпуры.
Анализы и диагностика
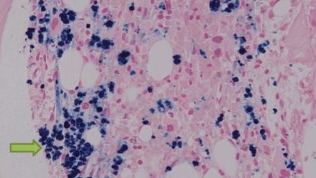
Для определения избытка гемосидерина, превышающего норму, используется реакция Перлса. В ходе этой процедуры пигмент в клетках приобретает зеленовато-синий оттенок из-за образования железной лазури.
С помощью серологических тестов можно выявить:
- сниженное содержание железа в сыворотке;
- повышенный уровень билирубина.
Индурацию легких можно диагностировать с помощью рентгеновского исследования, на котором наблюдаются крупные пятнистые тени в обоих легких. Однако, крайне важно отличить это заболевание от пневмонии, чтобы избежать назначения неверного лечения.
Лечение
Наиболее эффективным методом терапии является применение кортикостероидов. Кроме того, пациентам может потребоваться симптоматическая терапия, использование хелатирующих средств и дополнительный прием аскорбиновой кислоты.
Лекарства
Преднизолон
- Преднизолон – это глюкокортикостероид, обладающий иммунодепрессивными, противоаллергическими и противовоспалительными свойствами. Рекомендуемая дозировка составляет 1-1,5 мг на килограмм массы тела и применяется до достижения клинической и лабораторной ремиссии.
- Десферал – это детоксицирующее средство, которое действует как комплексообразователь. Рекомендуемая суточная доза составляет от 20 до 40 мг на килограмм веса тела.
Процедуры и операции
Пациентам может быть предложено проводить кровопускание – по 500 мг ежедневно.
Диета при гемосидерозе
Витаминно-белковая диета
- Эффективность: 5 кг за 7-10 дней
- Сроки: до 14 дней
- Стоимость продуктов: 1700-1800 руб. в неделю
Гемосидероз – это серьезное и сложно диагностируемое заболевание, для полного выздоровления которого, помимо медикаментозного лечения, необходимо придерживаться принципов правильного питания. В рационе должно быть много белка и ограничено количество продуктов, содержащих железо. К таким продуктам относятся:
- моллюски;
- печень и красное мясо;
- белая фасоль;
- чечевица;
- черный шоколад;
- шпинат и другие.
Поскольку аскорбиновая кислота помогает выводить железо из организма, пациентам рекомендуется получать не менее 300-500 мг витамина С в сутки. Это можно сделать, добавляя в рацион следующие продукты:
- напитки на основе шиповника;
- ягоды, такие как облепиха и смородина;
- большинство фруктов – яблоки, цитрусовые, киви;
- овощи – перец, различные виды капусты, помидоры.
Главной рекомендацией при идиопатическом гемосидерозе легких у детей является исключение коровьего молока из рациона.
Список источников
- Шмидт Р., Тевс Г. (ред.). Физиология человека. Том 3. Москва: Мир; 1986. – С. 573.
- Абдулкадыров К.М. Клиническая гематология. Справочное издание. – Санкт-Петербург: Питер, 2006. – С. 99.
- Недзьведь М.К., Черствый Е.Д. Патологическая анатомия. Учебное пособие для студентов медицинских вузов. – Минск: Высшая школа, 2011. – С. 50, 70.
Прогноз и осложнения
Прогноз при гемосидерозе зависит от ряда факторов, включая степень накопления железа в организме, наличие сопутствующих заболеваний и своевременность диагностики. В большинстве случаев, если заболевание выявлено на ранних стадиях и начато соответствующее лечение, прогноз может быть благоприятным. Однако при запущенных формах гемосидероза, особенно если имеется значительное повреждение органов, прогноз может ухудшаться.
Одним из основных осложнений гемосидероза является развитие органной недостаточности. Избыточное накопление железа может приводить к повреждению печени, сердца и поджелудочной железы. Например, при поражении печени может развиться цирроз, что значительно ухудшает общее состояние пациента и увеличивает риск развития рака печени. Сердечные осложнения могут проявляться в виде кардиомиопатии, что приводит к сердечной недостаточности и другим сердечно-сосудистым заболеваниям.
Также стоит отметить, что гемосидероз может способствовать развитию диабета, известного как «железосодержащий диабет», который возникает в результате повреждения поджелудочной железы. Это состояние требует особого внимания и контроля уровня сахара в крови.
Другие возможные осложнения включают нарушения функции суставов, что может проявляться в виде артритов, а также проблемы с кожей, такие как гиперпигментация. Накопление железа в коже может приводить к изменению ее цвета и текстуры, что также негативно сказывается на качестве жизни пациента.
Важно отметить, что при наличии гемосидероза необходимо регулярное медицинское наблюдение и контроль за состоянием здоровья. Это включает в себя периодические анализы крови, УЗИ органов и другие диагностические процедуры, которые помогут выявить возможные осложнения на ранних стадиях и своевременно начать лечение.
В заключение, гемосидероз является серьезным заболеванием, которое требует комплексного подхода к диагностике и лечению. Своевременное вмешательство и соблюдение рекомендаций врача могут значительно улучшить прогноз и снизить риск развития осложнений.
Вопрос-ответ
Что такое гемосидероз простыми словами?
Гемосидероз (в соответствии с МКБ-10 кодируется E83.1 – нарушения обмена железа) – это заболевание, при котором наблюдается избыточное накопление гемосидерина в различных тканях организма.
Наиболее характерный симптом Гемосидероза?
Наиболее распространенным кожным проявлением гемосидероза обычно является ортостатическая экземоподобная пурпура с сильным зудом, или же это может проявляться как болезнь Майорки. У пациентов с легочным гемосидерозом появляется одышка, которая беспокоит даже в покое.
Как лечить гемосидероз кожи?
Лечение гемосидероза кожи включает местное использование кортикостероидных мазей, криотерапию, прием аскорбиновой кислоты, рутина, препаратов кальция, ангиопротекторов. При тяжелых кожных проявлениях гемосидероза прибегают к ПУВА-терапии, назначению дефероксамина.
Чем отличается гемосидероз от гемохроматоза?
Локальный гемосидероз. Местный капиллярит развивается из-за внесосудистого гемолиза эритроцитов. Гемосидерин накапливается в очаге кровоизлияний с образованием гематом в пределах кожи, легкого, печени, почек. Если депонирование железосодержащего пигмента влечет нарушение работы органа, развивается гемохроматоз.
Советы
СОВЕТ №1
Регулярно проходите медицинские обследования, особенно если у вас есть предрасположенность к заболеваниям, связанным с накоплением железа. Раннее выявление гемосидероза может значительно облегчить лечение и предотвратить осложнения.
СОВЕТ №2
Обратите внимание на свой рацион. Избегайте избыточного потребления продуктов, богатых железом, таких как красное мясо и печень. Вместо этого включайте в меню больше овощей, фруктов и злаков, которые помогут сбалансировать уровень железа в организме.
СОВЕТ №3
Если вам назначены препараты железа, обязательно следуйте рекомендациям врача и не превышайте дозировку. Избыточное потребление железа может усугубить состояние и привести к серьезным последствиям.
СОВЕТ №4
Обсуждайте с врачом возможность проведения флеботомии (кровопускания) или других методов лечения, если у вас уже диагностирован гемосидероз. Эти процедуры могут помочь снизить уровень железа в организме и предотвратить дальнейшие осложнения.






