Фокальная нодулярная (очаговая узловая) гиперплазия (код по МКБ-10 — К76.8) составляет около 3% всех опухолей и опухолеподобных поражений печени у взрослых. Представляет собой опухолевидное образование, в основе которого лежит гиперплазия печёночной паренхимы, разделённое на узлы фиброзными прослойками.
Считается, что ведущую роль в развитии узловой гиперплазии играет повышенная концентрация эндогенного эстрогена, поскольку данная опухоль встречается в основном у женщин детородного возраста. Есть также данные о её связи с приёмом пероральных контрацептивов с высоким содержанием эстрогенов.
Макроскопически фокальная нодулярная гиперплазия имеет вид солитарного плотного, чётко отграниченного, не имеющего капсулы узла серовато-коричневого или жёлто-коричневого цвета диаметром от 1,0 до 25 см. Узловая гиперплазия, как и гепатоцеллюлярная аденома, может быть одиночной или множественной (многоузловое поражение наблюдается у 10-20% больных). В крупных очагах на разрезе выявляется так называемый центральный рубец звёздчатой формы, от которого фиброзная ткань распространяется к периферии, разделяя узел на меньшие узелки (дольки). ёздчатый рубец может локализоваться как в центре образования, так и эксцентрично. Микроскопически имеются признаки дезорганизации долек печени. Звёздчатый рубец образован фиброзной тканью, включающей пролиферированные жёлчные протоки, воспалительные клеточные инфильтраты, венозные и артериальные сосуды с утолщёнными стенками. Микроскопические признаки могут напоминать цирроз с регенераторными узлами.
Диагностика При УЗИ узловая гипертрофия печени визуализируется в виде солитарных образований с однородной, изо- или незначительно гипоэхогенной структурой округлой формы с ровным контуром. В ряде случаев выявляется «центральный рубец». Типичен гиперваскулярный характер опухоли, что заставляет проводить дифференциальный диагноз со злокачественными опухолями. Основной дифференциально- диагностический критерий по данным цветового дуплексного сканирования — наличие спектра печёночных вен в структуре фокальной нодулярной гиперплазии (рис. 59-4).


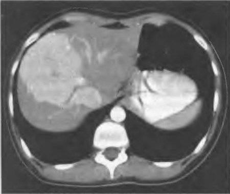
Рис. 59-5. Компьютерная томограмма (артериальная фаза контрастирования): фокальная нодулярная гиперплазия правой доли печени.
При ангиографическом исследовании также отмечается быстрое накопление опухолью контрастного вещества в артериальную фазу, опухоль имеет чёткие контуры.
При установленном диагнозе локальной гипертрофии и бессимптомном течении возможен отказ от операции, так как данное новообразование является доброкачественным и не подвергается злокачественной трансформации. При невозможности дифференцировать данную опухоль от злокачественного поражения, а также при больших размерах образования и наличии клинической симптоматики больные с фокальной нодулярной гиперплазией подлежат радикальному хирургическому лечению. При малых и средних размерах опухоли показано выполнение экономных резекций, при больших и гигантских необходимы обширные анатомические резекции.
В.Д. Фёдоров, В.А. Вишневский, Н.А. Назаренко
medbe.ru
Фокальная нодулярная гиперплазия
Причины возникновения
Классификация
В гастроэнтерологии выделяют два типа нодулярной гиперплазии печени: классический (диагностируется в 80% случаев) и неклассический. Классический тип характеризуется наличием трех признаков: аномальной структуры дольки, извилистых толстостенных сосудов и гиперплазии желчных протоков; в 60% наблюдений обнаруживается центральный рубец с измененными сосудами разного калибра. При неклассическом типе всегда есть гиперплазия протоков, а один из оставшихся признаков (измененные сосуды или аномальная узловая архитектура) может отсутствовать. Неклассический тип подразделяют на три подтипа: аденоматозный гиперпластический, телеангиэктатический и нодулярную гиперплазию печени с клеточной атипией.
Симптоматика
Диагностика
Чаще всего ФНГ выявляют случайно при обследовании или оперативном вмешательстве по поводу другого заболевания. Консультация гастроэнтеролога обычно выявляет неспецифические признаки заболевания: диспепсические явления, болевой синдром малой интенсивности. При объективном обследовании пациента опухоль большого размера может быть обнаружена пальпаторно, в случае нарушения оттока желчи определяется желтушность кожи и склер. Лабораторные методы исследования не выявляют никаких специфических для нодулярной гиперплазии печени признаков. Редко обнаруживается некоторое повышение уровня аланинаминотрансферазы, билирубина. С целью дифференциальной диагностики со злокачественными новообразованиями печени обязательно проводится определение онкомаркеров: альфафетопротеина, СА 19-9, СЕА.
Диагностика ФНГ печени основана на инструментальных методиках. ФНГ чаще представлена одиночным образованием (76—93%), у 7—24% пациентов образования множественные. Обычно размеры опухоли не превышают 5 см.
Характерным признаком данной патологии является «звездчатый шрам» в центре образования, но он выявляется не у всех пациентов, кроме того, может быть обнаружен при фиброламеллярной карциноме, внутрипеченочной холангиокарциноме и других заболеваниях. Это диагностическое ограничение относится ко всем методикам визуализации: УЗИ печени, КТ и МРТ печени. При проведении УЗИ органов брюшной полости единственным признаком нодулярной гиперплазии печени может быть смещение сосудов, иногда определяется гипоэхогенный ободок опухоли (сдавленные образованием сосуды и паренхима).
Более информативно проведение компьютерной или магнитно-резонансной томографии органов брюшной полости с внутривенным контрастированием. Однако, первый метод связан с лучевой нагрузкой и нежелателен пациентам молодого детородного возраста; магнитно-резонансная томография является методом выбора, однако, к данному методу имеются относительные и абсолютные противопоказания. Перед выбором метода обследования всегда стоит проконсультироваться в отделении лучевой диагностики, где врач подскажут наиболее подходящий метод для каждого конкретного случая.
Неинвазивные методики обладают специфичностью только при классическом типе нодулярной гиперплазии печени. В атипичных случаях бывает сложно однозначно поставить диагноз и исключить злокачетсвенную природу опухоли.
Наиболее достоверным неинвазивным способ диагностики доброкачественности образования является проведение магнитно-резонансной томографии с гепатоспецифичным контрастным препаратом (см. Примовист).
При невозможности установить диагноз в ходе неинвазивных исследований проводится биопсия, при этом большими критериями диагностики является наличие толстостенных сосудов, фиброзной прослойки, пролиферирующих протоков, узловой вид опухоли; малыми критериями – перисинусоидальный фиброз и синусоидальная дилатация.
Пример:
Пациентка К., 45 лет, обратилась амбулаторно в кабинет магнитно-резонансной томографии для верификации образования печени.
Анамнез: с 2013г. у больной был установлен диагноз – гемангиома печени. При узи в 2014г выявлено увеличение размеров образования до 80х60х50мм.
Лаборатнорные показатели: альфа фетопротеин 2.37 (0,5 – 5,5 МЕ/мл норма)
Показана морфологическая верификация после пункционной биопсии в онкологическом стационаре. Однако, из-за крупных размеров образования и опасности кровоизлияния в пункции больной отказано и выполнена эмболизация питающей артерии, после чего размеры образования уменьшились, а контуры деформировались.
По данным МСКТ с контрастированием – КТ картина объемного образования печени, может соответствовать фокальной нодулярной гиперплазии (дифференцировать с аденомой и раком печени).
Поскольку после эмболизации питающего сосуда и «сжатия» образования, контуры и структура деформируются, и мы ожидаем по данным МРТ, увидеть картину отличную от «классической» при фокальной нодулярной гиперплазии, единственным способом неинвазивной верификации природы опухоли является обнаружение или исключение признаков злокачественности.
Именно поэтому в кабинете МРТ пациентке предложено выполнение МРТ с гепатотропным контрастным препаратом Примовист. Несмотря на его более высокую стоимость, по сравнению с обычным контрастным препаратом, рекомендовано именно его применение для исключения наличия злокачественных клеток и подтверждения наличия здоровых гепатоцитов в структуре.
Рис 1. По данным МРТ мы визуализируем крупное образование, с неровными бугристыми контурами, активно накапливающее контрастный препарат и имеющее повышенный сигнал при диффузии и пониженный на ADC (косвенные признаки злокачественной структуры). Однако, на отсроченных гепатоспецифичных фазах контрастирования (на 10й, 20й и 30й минутах) мы видим, что образование сохраняет ту же интенсивность, что и печень т.е. в структура их идентична и представлена здоровыми гепатоцитами. В данном случае операция не показана. Пациентка отправлена домой. Рекомендовано наблюдение за ростом образования раз в год методом УЗИ.
Данный случай очень показателен. Поскольку при первично правильном выборе метода обследования и контрастного препарата, позволил бы пациенту избежать многих «лишних» и неинформативных диагностических процедур и переживаний по поводу , возможно, злокачественной природы образования. А в некоторых случаях, подобная ошибка в диагностике и неясность, могли бы привезти к неоправданной травматичной операции.
Записаться и проконсультироваться вы можете по телефону 8-495-304-30-36 Магнитно-резонансная томография.
www.mknc.ru
Причинная связь фокальной нодулярной гиперплазии печени с приёмом пероральных контрацептивов выражена не столь отчетливо, как в случае аденомы печени. Фокальная нодулярная гиперплазия может развиться и у мужчин, и даже у детей, но чаще всего наблюдается у женщин детородного возраста, причём не только у принимающих пероральные контрацептивы.
Рис. 18-28. Аденома печени. Слои почти не изменённых гепатоцитов на фоне отсутствия портальных трактов. Окраска гематоксилином и эозином, х185.
Рис. 18-29. Аденома печени, развившаяся на фоне приёма пероральных контрацептивов. На артериограмме чревного ствола растянутые ветви печёночной артерии огибают относительно мало васкуляризованный очаг поражения в верхней части правой доли печени.
Рис. 18-30. Аденома печени, вызванная приёмом пероральных контрацептивов. На поздних стадиях артериография чревного ствола выявила патологический сосудистый рисунок в опухоли, локализующейся в нижних отделах правой доли печени.
Фокальная нодулярная гиперплазия представляет собой образование с чёткими границами, лишённое собственной капсулы, развивающееся в неизменённой ткани печени [212]. Она часто располагается под капсулой печени, но может также иметь ножку. Узлов может быть несколько, размеры их колеблются от 1 до 15 см, они могут располагаться в обеих долях печени. На разрезе в центральной части узла располагается звёздчатый рубец, содержащий артерию, от которого расходятся септы, разделяющие узел на доли, подобно тому как это наблюдается при циррозе печени (рис. 18-31 и 18-32). Кровоснабжение осуществляется через центральную артерию; сосудистый рисунок в узле может быть изменён. Могут также выявляться другие сосудистые нарушения, например гемангиомы [214]. Узлы отличаются от аденом более крупными размерами и более богатой васкуляризацией. Возможно, этим объясняется их регрессия после прекращения приёма пероральных контрацептивов. Гистологически узлы содержат нормальные гепатоциты и клетки Купффера. Центральная часть узла представлена фиброзной тканью и пролиферирующими жёлчными протоками.
Заболевание может протекать бессимптомно; начальными проявлениями могут быть боль или пальпируемое объёмное образование в животе. Сывороточные биохимические показатели в неосложнённых случаях в пределах нормы.
Диагноз ставят на основании визуализационных методов исследования: УЗИ, КТ, а также артериографии, при которой сосудистый рисунок узла имеет вид спиц колеса.
Для дифференцирования фокальной нодулярной гиперплазии, содержащей увеличенное количество сосудов и характеризующейся нормальным поглощением изотопа, и гепатоаденомы, которая гиповаскулярна и выглядит как «холодный» узел, артериографию можно сочетать со сканированием печени. Усиленная магнитно-резонансная томография позволяет поставить диагноз в 70% случаев [28].
Тактика лечения зависит от течения заболевания [138]. При бессимптомном течении достаточно регулярного наблюдения с УЗИ. При наличии клинических проявлений прекращение приёма пероральных контрацептивов нередко позволяет достичь ремиссии. У части больных, особенно при развитии осложнений, показана резекция печени.
Рис. 18-31. Схема строения фокальной нодулярной гиперплазии.
Рис. 18-32. Фокальная нодулярная гиперплазия. Виден центральный звездчатый рубец, содержащий артерию.См. также цветную иллюстрацию на с. 779.
studopedia.ru
Статистика, этиология и клиническая картина
к оглавлению ↑
Очаговая узелковая гиперплазия печени
-
Синонимы: фокальная нодулярная гиперплазия печени, локальная (фокальная) узловатая (узловая) гиперплазия, фибронодулярная гиперплазия, фокальный цирроз.
Образование не имеет капсулы. Патологический очаг представлен узлами из печёночной ткани, ограниченными фиброзными участками звёздчатой формы.
Размер очага может достигать 5 см. У подавляющего числа больных поражение единичное, в 7-24% случаев образование имеет более одного очага.
-
Статистические данные: очаговая узелковая гиперплазия развивается не более чем у 3% популяции. В структуре доброкачественных опухолей и опухолеподобных процессов это образование составляет 25%, в структуре первичных опухолей печени – 8%.
В гендерной структуре доля страдающих заболеванием женщин составляет 89-92%. Возраст больных в 80-95% случаев – 30-40 лет.
-
Причины заболевания: ранее считалось, что заболеванию подвержены женщины, принимающие оральные контрацептивы, однако недавние исследования доказали, что между приёмом этих средств и частотой возникновения узелковой гиперплазии явной связи не прослеживается.
Сейчас принято придерживаться гипотезы сосудистого генеза этой формы гиперплазии.
По последним наблюдениям, заболевание развивается на фоне врождённого или приобретённого артериовенозного шунтирования.
В результате кровоснабжение отдельных участков печёночной ткани увеличивается, появляется очаг пролиферации.
«Сосудистую» гипотезу подтверждает и тот факт, что очаговая узелковая гиперплазия часто встречается в сочетании с сосудистыми опухолями печени и с регенераторной узелковой гиперплазией.
-
Факторы риска:
- врождённые сосудистые аномалии;
- лечение цитостатиками;
- травмы живота.
-
Клиническая картина: заболевание протекает бессимптомно в 50 – 80% случаев. Изредка пациентами отмечаются неопределённые боли в области живота, не связанные с какими-либо внешними факторами.
В 2% случаев во время клинического осмотра при пальпации в области эпигастрия или правого подреберья определяется умеренно болезненное образование.
В 2 раза реже заболевание сопровождается увеличением печени с повышением температуры тела.
Менее чем у половины больных в крови наблюдается повышение уровня билирубина и активности щёлочной фосфатазы, почти у 80% – повышение активности гамма-глутамилтрансферазы.
-
Возможные осложнения:
- выраженный болевой синдром;
-
при чрезмерном разрастании разрыв узла с внутренним кровотечением (редко).
Для очаговой узелковой гиперплазии малигнизация не характерна.
-
Дифференциальный диагноз:
- нодулярная трансформация;
- доброкачественная гепатома;
- цирроз.
к оглавлению ↑
Регенераторная узелковая гиперплазия
-
Синонимы: гепатоцеллюлярный аденоматоз, аденоматозная гиперплазия, нодулярная трансформация.
Образование имеет диффузный характер (распространяется по всему органу), узлы паренхиматозные, без фиброзных включений.
Обычно размер узлов менее 1 см, при разрастании увеличивается до 5 см и более. Большие узлы подвержены кровоизлияниям, также в них часто наблюдаются некротические участки.
- Этиология: заболевание возникает на фоне облитерации мелких ответвлений портальной вены. При этом лишившиеся кровоснабжения дольки печени отмирают, а оставшиеся начинают компенсаторный рост. Таким образом, образование представлено разросшимися печёночными дольками.
-
Факторы риска:
- ревматоидный артрит;
- синдром Фелти;
- синдром повышенной вязкости крови;
- миелопролиферативные синдромы;
- лечение цитостатиками;
-
применение анаболических стероидов.
Малигнизация этой форме гиперплазии не характерна.
- Клиническая картина: заболевание протекает бессимптомно. При сильном разрастании узлов, расположенных вблизи воротной вены, и сдавлении её крупных ветвей может развиться синдром портальной гипертензии. Разросшиеся узлы могут также сдавливать крупные жёлчные протоки, создавая их непроходимость.
-
Симптомокомплекс портальной гипертензии:
- увеличение селезёнки;
- скопление жидкости в брюшной полости;
- расширение подкожных вен брюшины, из-за чего они принимают вид «головы Медузы»;
- варикозное расширение вен пищевода, желудка, геморроидальных вен; кровотечения из расширенных вен;
- кровавая рвота, кровохарканье:
- телеангиоэктазии на коже;
-
диспептический синдром.
Для регенераторной узелковой гиперплазии малигнизация не характерна.
-
Дифференциальный диагноз:
- гепатоцеллюлярный рак;
- цирроз;
- гепатоцеллюлярная аденома;
- очаговая узелковая гиперплазия.
к оглавлению ↑
Компенсаторная долевая гиперплазия
-
Синонимы: компенсаторная гипертрофия.
Массивное образование, которое образовано нормальными гепатоцитами (клетки образования могут быть несколько более крупных размеров).
Развивается на фоне атрофии сегмента или даже доли печени, связанной со следующими заболеваниями:
- синдром Бадда-Киари;
- цирроз печени;
- тромбоз частей воротной вены.
По сути, эта форма гиперплазии не является патологической, поскольку несёт компенсаторный характер, и малигнизации для неё не характерна.
-
Дифференциальная диагностика:
- гепатоцеллюлярный рак;
- гепатоцеллюлярная аденома.
к оглавлению ↑
Диагностика
Поскольку гиперпластические процессы протекают без патогномичной симптоматики, большей частью не причиняют больным беспокойства, а в 50% случаев симптомов и вовсе не наблюдается, эти патологические образования часто обнаруживаются случайно, во время обследования или хирургической операции по поводу других патологий.
Диагностика пролиферативных печёночных процессов в первую очередь необходима для исключения заболеваний с агрессивным течением, таких как гепатоцеллюлярный рак и цирроз печени.
Кроме этого, важно оценить характеристики образований (размеры узлов и очагов, их расположение), получить информацию о наличии сопутствующих заболеваний для выбора тактики лечения и дальнейшего динамического наблюдения.
Для диагностики применяются следующие методы:
- Ультразвуковое исследование (в том числе с доплеровским сканированием) с применением контрастного раствора;
- Компьютерная томография;
- Магнитно-резонансная томография;
-
Лабораторные исследования:
- для оценки гемодинамической и биохимической картины крови;
- для выявления вирусов гепатита, являющихся фактором риска развития цирроза и рака печени;
- для выявления маркеров риска развития злокачественной опухоли.
- Тонкоигольная биопсия под контролем УЗИ или КТ (благодаря методам визуализации сегодня можно практически безопасно проводить биопсию печени, не опасаясь внутреннего кровотечения).
Даже применение всего арсенала диагностических методов позволяет точно поставить диагноз только в половине случаев.
к оглавлению ↑
Лечение
В случае компенсаторной долевой гиперплазии лечения образования не требуется.
При условии точного диагноза узелковых гиперплазий хирургическое лечение требуется в следующих случаях:
- выраженный болевой и/или диспептический синдром;
- интенсивный рост образования или его крупные размеры, создающие угрозу сдавления кровеносных сосудов или жёлчных протоков.
В противном случае достаточно ограничиться наблюдением.
Резекция печени является эффективным методом лечения гиперпластических процессов печени: после операции редко развиваются осложнения, практически не наблюдается рецидивов.
В период наблюдения можно также проводить длительное лечение фитопрепаратами.
к оглавлению ↑
Фитотерапия
Терапия лекарственными травами не обладает сиюминутным эффектом (за исключением вытяжек из некоторых лекарственных растений), поэтому не применяется для лечения острых заболеваний и больных в неотложном состоянии.
Тем не менее, для лечения хронических патологий это щадящий и достаточно эффективный метод.
Называть терапию лекарственными растениями «очищением», как это принято в обиходе, неверно. Живой организм – это не помещение, где накапливается «мусор», который необходимо время от времени выметать.
Это сложная система с массой обратных связей, которая сама способна поддерживать гомеостаз при условии отсутствия тяжёлых нарушений. Если таковые имеются, то никакая «чистка» не поможет. Фитотерапия способствует поддержанию и, в некоторых случаях восстановлению как органов и тканей, так и их функций.
Сегодня можно выбрать не просто сухое сырьё, а уже готовую к употреблению форму. Например, для фитотерапии гиперпластических образований печени можно рекомендовать «Монастырский сироп». В состав средства входит и природный гепатопротектор – девясил высокий, — и желчегонный сбор, и диуретики, и спазмолитик – бессмертник песчаный, — и фенхель обыкновенный который действует как успокоительное и помогает минимизировать дискомфорт от диспептического синдрома.
к оглавлению ↑
Лечение «Монастывским сиропом»
При выборе препаратов необходимо консультироваться с лечащим врачом! Даже самое безопасное средство может вызвать нежелательную индивидуальную реакцию. Также возможно нежелательное взаимодействие с назначенными ранее лекарственными препаратами.
Сироп принимают по столовой ложке дважды-трижды в сутки. Курс лечения длится 14 дней. Курс повторяется как минимум ежегодно.
к оглавлению ↑
Заключение
Гиперпластические заболевания печени характеризуются доброкачественным течением, не требующим лечения. Патологические образования могут не только не прогрессировать в течение десятилетий, но и самостоятельно излечиваться.
Важно! Любой пролиферативный процесс должен находиться под постоянным контролем специалиста, чтобы в случае роста узлов предотвратить сдавление магистральных сосудов и жёлчных протоков, спонтанные разрывы узлов с последующим внутренним кровотечением.
Так же стоит помнить, что теоретически любой участок клеточного роста является зоной риска трансформации в злокачественную опухоль, даже если малигнизация подобных образований наблюдается редко.
vsepropechen.ru
Причины возникновения
Почему в печени образуются узлы, никто не знает. Точных результатов исследований в рассматриваемой области нет. Есть предположения, что у женщин детородного возраста такие патологии печени возникают на фоне приема контрацептивов с повышенным содержанием эстрогенов.
Но, согласно последним данным французских врачей, взаимосвязь возникновения опухоли с приемом гормональных препаратов не установлена.
Среди основных причин специалисты выделяют следующие:
- серьезная травма внутренних органов брюшины с повреждением печеночной ткани;
- прием лекарственных препаратов при прохождении курса химиотерапии во время лечения онкологических заболеваний;
- употребление стероидных гормональных средств (под вопросом);
- сосудистые мальформации, нарушающие нормальный кровоток в кровеносной системе;
- гиперэстрогения;
- врожденные или наследственные трансформации воротной вены;
- воспалительные заболевания органов;
- тромбоз вен в печени.
Размеры новообразований могут варьироваться от 0,5 до 22 сантиметров в диаметре. Чаще всего выглядят как узлы серого или коричневого цвета, имеющие четкие границы. Фиброзная ткань существенно утолщена.
Читайте также: Как лечится увеличенная печень у ребенка
Симптомы заболевания
Чаще всего ФНГП протекает без видимых симптомов и определяется только во время исследования по поводу других заболеваний. Среди основных признаков наличия болезни стоит назвать такие:
- локальная боль в области правого подреберья, носящая преимущественно нерегулярный ноющий характер. Болевые ощущения вызываются сдавливанием других органов за счет увеличения печени;
- ощущение тяжести в эпигастральной области;
- снижение аппетита, периодически возникающая тошнота и даже рвота;
- при пальпации обнаруживается увеличенная в размерах печень;
- в анализах заметны повышение СОЭ и увеличение количества эритроцитов, свидетельствующие о наличии воспалительного процесса;
- во время эхограммы обнаруживаются узлы.
Диагностика
Для подтверждения диагноза врач назначит исследование ультразвуком, МРТ, КТ органов брюшной полости и лабораторную диагностику. Чтобы точно быть уверенным в отсутствии злокачественного образования, лучше сделать биопсию узла из печеночной ткани. Это довольно сложная процедура, поскольку во время взятия биопсии у некоторых пациентов открывается кровотечение. Самые лучшие результаты дает компьютерная и магнитно-резонансная томография. При такой патологии на снимке отчетливо видны контуры звездчатого шрама по центру новообразования.
Лечение фокальной нодулярной гиперплазии печени
Как такового лечения ФНГП обычно не требует, поскольку новообразование является доброкачественным, а любое вмешательство в работу органа ЖКТ чревато непредвиденными осложнениями. Поэтому врачи предпочитают просто следить за состоянием опухоли. Если она не увеличивается в размерах и не причиняет пациенту серьезного дискомфорта, то и лечения как такового доктор не пропишет. Только в том случае, когда новообразование начнет быстро увеличиваться в размерах, появится сильная боль и поднимется температура, показано лечение в стационарных условиях с предложением удалить опухоль. Также хирургическое вмешательство необходимо в случае нарушения оттока желчи, препятствования нормальному кровообращению при сдавливании органов. В этих случаях нет необходимости в удалении опухоли. Операция проводится методом лапароскопии с рассечением новообразования на сегменты.
Консервативное лечение заключается в отмене гормональных препаратов, снижении доз глюкокортикостероидов в случае их применения. Никаких дополнительных препаратов, применяемых в гомеопатии, как правило, не прописывают. Прогноз лечения носит благоприятный характер.
Во время беременности на фоне гормональных изменений узлы в печени могут быть увеличены. Бояться этого не стоит, поскольку явление носит временный характер.
Читайте также: Сколько восстанавливается печень после приема препаратов
pechensovet.ru