Фиброз легких — серьезное заболевание, при котором образуется фиброзная ткань, что приводит к утрате эластичности легких и нарушению газообмена. Понимание механизмов развития фиброза, его симптомов и методов лечения важно для пациентов и их близких, так как это помогает своевременно обращаться за медицинской помощью и улучшать качество жизни. В статье рассмотрим фиброзные изменения в легких, их влияние на здоровье, а также подходы к лечению и прогнозы для пациентов.
Общие сведения
Фиброзные изменения в легких: что это такое? Это патологический процесс, при котором образуется фиброзная ткань (соединительная ткань), заменяющая легочную ткань. Это приводит к снижению эластичности легких и нарушению их газообменной функции. В результате формирования фиброзных изменений (также известного как «пневмофиброз») эластичность легких теряется безвозвратно.
Фиброзные изменения в легких могут быть следствием различных заболеваний бронхолегочной системы, а также возникать при других патологиях. При прогрессировании пневмофиброза происходит постепенная трансформация легочной ткани: изменяется структура ацинуса, развивается склероз стенок бронхиол, нарушается капиллярная сеть, формируются аномальные железистые образования. Эти изменения приводят к разрушению и деформации легочной ткани, на месте которых образуются кистовидные расширения и фиброзные участки. Фиброз может возникать вокруг лимфатических сосудов, в межлобулярных перегородках, вдоль путей оттока лимфы от очагов воспаления, а также в тканях, окружающих бронхи и сосуды.
Тип пневмофиброза и степень его распространения оказывают значительное влияние на дальнейшее течение заболевания и прогноз. Они определяют уровень нарушения дыхательной функции и газообмена, а также выраженность клинических симптомов. Существуют относительно благоприятные и неблагоприятные типы фиброзных изменений. В последнем случае быстро развиваются нарушения дыхания различной степени и легочная гипертензия, что в конечном итоге ухудшает качество жизни пациента и сокращает ее продолжительность.
Врачи отмечают, что фиброз легких представляет собой серьезное заболевание, которое требует внимательного подхода к диагностике и лечению. По их мнению, основными факторами, способствующими развитию этой патологии, являются длительное воздействие токсичных веществ, инфекционные заболевания и наследственная предрасположенность. Специалисты подчеркивают важность раннего выявления симптомов, таких как одышка и хронический кашель, так как это может значительно улучшить прогноз. Лечение фиброза легких часто включает использование противовоспалительных препаратов и кислородной терапии. Врачи также рекомендуют пациентам избегать курения и других вредных привычек, что может замедлить прогрессирование заболевания и улучшить качество жизни.
https://youtube.com/watch?v=YB3JFi2VKj0
Патогенез
Конечные отделы дыхательной системы включают бронхиолы (как терминальные, так и респираторные), ацинусы и доли легких. Терминальные бронхиолы отвечают за транспорт воздуха, в то время как респираторные бронхиолы участвуют в процессе газообмена, соединяясь с альвеолами через поры. Ацинус представляет собой функциональную единицу легкого, где происходит обмен газами, и состоит из нескольких респираторных бронхиол. Ацинусы, количество которых варьируется от 3 до 24, объединяются в легочные дольки. Структура дольки включает междольковые перегородки, соединительную ткань, окружающую артерии и бронхи, а также соединительную ткань перегородок альвеол и ацинусов.
Соединительная ткань состоит из коллагеновых, ретикулярных и эластиновых волокон. Эти волокна образуют переплетения вокруг бронхов и в стенках альвеол, что придает легким эластичность. Коллаген, в свою очередь, обеспечивает прочность каркаса легких.
Клетки соединительной ткани, такие как гладкомышечные клетки и фибробласты, отвечают за синтез эластина и коллагена. Их основная функция заключается в поддержании тонуса терминальных отделов дыхательных путей. В то же время эти клетки производят ферменты (протеазы), которые участвуют в разрушении эластина и коллагена. В нормальных условиях ферментная и антиферментная системы находятся в равновесии. Однако при инфекционном воспалении они начинают действовать эластолитически, что связано с повышенной продукцией эластазы — фермента, разрушающего эластические волокна, эластин и коллаген. Это приводит к разрушению нормального соединительнотканного матрикса, повреждению стенок альвеол и образованию полостей. Избыточная продукция эластазы или недостаток ферментов, способствующих ее разрушению, наблюдаются при различных заболеваниях легких, таких как ХОБЛ, эмфизема и муковисцидоз.
В процессе воспаления также активируются фибробласты, которые начинают вырабатывать коллаген. Это приводит к усиленному развитию соединительной ткани в легочной паренхиме и образованию фиброза. Перед развитием фиброзных изменений обычно наблюдается отек и инфильтрация легочной ткани. При разрушении альвеолярной мембраны в этом месте формируется внутриальвеолярный фиброз — разрастание соединительной ткани проникает внутрь альвеол. В дальнейшем в патологический процесс вовлекается соединительная ткань, окружающая артерии и бронхи.
На сегодняшний день наиболее приемлемой теорией патогенеза силикоза и других пневмокониозов является иммунологическая, которая утверждает, что развитие этих профессиональных заболеваний невозможно без фагоцитоза пылевых частиц альвеолярными макрофагами. Скорость их гибели зависит от фиброгенной агрессивности пыли и прямо пропорциональна ей. Гибель альвеолярных макрофагов является обязательным этапом в образовании силикотического узелка. Формирование узелка возможно только при многократном фагоцитировании пыли. Провоспалительные медиаторы (цитокины), которые образуются в процессе, способствуют накоплению воспалительных клеток в перегородках альвеол, а кислородные радикалы, повреждая легкие, приводят к гибели макрофагов.
Протеолитические ферменты, такие как металлопротеиназа и эластаза, высвобождаются из разрушенных макрофагов и разрушают легочные ткани. Фаза воспаления сопровождается восстановительными процессами, в ходе которых факторы роста стимулируют образование клеток, эпителия и новых сосудов в поврежденных участках. Неконтролируемые процессы эпителизации могут привести к развитию фиброза. Одним из ключевых факторов в фиброгенезе являются факторы роста, которые доказали свое стимулирующее воздействие на разрастание фибробластов и разрушение коллагена и фибронектина (высокомолекулярного белка соединительной ткани). При идиопатическом фиброзе наблюдается преобладание фиброза при незначительных воспалительных изменениях. Основным механизмом прогрессирования пневмофиброза является постоянное повреждение альвеолярного эпителия с нарушением его регенерации и избыточным отложением соединительной ткани в результате активации фибробластов.
| Аспект | Описание | Важность |
|---|---|---|
| Определение | Хроническое прогрессирующее заболевание легких, характеризующееся замещением нормальной легочной ткани соединительной, что приводит к нарушению газообмена. | Крайне высокая, так как понимание сути заболевания является первым шагом к диагностике и лечению. |
| Причины | Идиопатический (неизвестной этиологии), связанный с системными заболеваниями (склеродермия, ревматоидный артрит), воздействием токсинов (асбест, кремнезем), лекарственными препаратами, лучевой терапией. | Высокая, поскольку выявление причины может помочь в предотвращении прогрессирования и выборе тактики лечения. |
| Симптомы | Одышка (сначала при нагрузке, затем в покое), сухой кашель, утомляемость, боли в груди, «барабанные палочки» (утолщение концевых фаланг пальцев). | Высокая, так как раннее распознавание симптомов позволяет своевременно обратиться к врачу и начать лечение. |
| Диагностика | Клинический осмотр, рентгенография грудной клетки, компьютерная томография высокого разрешения (КТВР), функциональные легочные тесты (спирометрия, диффузионная способность легких), биопсия легкого. | Крайне высокая, так как точная диагностика необходима для подтверждения заболевания, определения его типа и стадии. |
| Лечение | Антифибротические препараты (пирфенидон, нинтеданиб), кислородная терапия, легочная реабилитация, трансплантация легких (в тяжелых случаях), симптоматическая терапия. | Высокая, так как своевременное и адекватное лечение может замедлить прогрессирование заболевания и улучшить качество жизни пациента. |
| Прогноз | Зависит от типа фиброза, стадии заболевания, ответа на лечение. Идиопатический легочный фиброз имеет неблагоприятный прогноз. | Высокая, так как понимание прогноза помогает пациентам и их семьям планировать будущее и принимать информированные решения. |
| Профилактика | Избегание воздействия вредных веществ (асбест, кремнезем), отказ от курения, своевременное лечение системных заболеваний, контроль приема некоторых лекарственных препаратов. | Средняя, так как не все формы фиброза можно предотвратить, но минимизация рисков важна. |
| Осложнения | Легочная гипертензия, правожелудочковая недостаточность (легочное сердце), инфекции дыхательных путей, рак легких. | Высокая, так как осведомленность об осложнениях позволяет своевременно их выявлять и лечить. |
Классификация
По распространенности и рентгенологическим или КТ признакам:
- Локальный фиброз легких (ограниченный). Локальный пневмофиброз затрагивает лишь определенные участки легочной ткани, которые становятся более плотными. На рентгеновских снимках четко видны границы пораженной области. Ограниченный пневмофиброз не влияет на эластичность всего легкого и практически не сказывается на дыхательных функциях. Обычно протекает бессимптомно и не вызывает беспокойства у пациентов. Примером такого фиброза может служить результат крупноочаговой пневмонии. При хроническом бронхиолите на рентгенограммах можно обнаружить, помимо локального пневмосклероза, также утолщения вокруг бронхов. В этом случае чаще всего наблюдаются двусторонние фиброзные изменения в нижних отделах легких.
- Диффузный. В этом случае фиброз охватывает всю легочную ткань, и процесс распространения происходит значительно быстрее, чем при локальной форме. Легочная ткань уплотняется, ее структура деформируется, а объем легких уменьшается. В результате этого дыхательная функция значительно ухудшается.
- Очаговый фиброз легких – это наличие нескольких очагов различного размера и структуры. Они могут быть как ограниченными (округлой формы), так и диффузными (размытыми, без четких границ). Очаговый пневмофиброз может быть выявлен при силикозе, пневмокониозе, а также в местах расположения гранулем различного происхождения.
- Линейный фиброз легких. При каких заболеваниях он встречается и что означает термин «линейный пневмофиброз»? Этот термин используется для описания результатов рентгенологического или КТ исследования легких, если обнаруживается уплотнение ткани в виде линейного тяжа (по сути, это рубец линейной формы). Такой вид фиброза формируется после воспалительных заболеваний (в первую очередь — туберкулеза), травм или хирургических вмешательств. Линейная патология часто проявляется на рентгенограмме лишь через несколько лет после перенесенного заболевания. Участок линейного фиброза, связанный с корнем легких, указывает на перенесенную прикорневую пневмонию или первичный туберкулезный комплекс. При хроническом экзогенном альвеолите КТ-симптомами являются: ячеистый и грубый линейный фиброз. При идиопатическом фиброзе поражение легочной паренхимы симметрично, и в зависимости от стадии часто наблюдаются линейный фиброз, «матовое стекло», бронхоэктазы и «сотовое легкое».
- Перибронховаскулярный фиброз — это наличие соединительной ткани вдоль бронхососудистого пучка. В этом случае просвет бронхов и сосудов сужается, что приводит к нарушениям вентиляции и кровоснабжения.
- Ацинарный (внутридольковый) — этот процесс отражает заполнение ацинусов и терминальных бронхиол клетками соединительной ткани. При данной форме наблюдаются выраженные перфузионно-диффузионные нарушения. Так проявляется интерстициальная пневмония на КТ.
- «Сотовое легкое» — это полная утрата нормальной структуры легкого. В легочной ткани наблюдается чередование участков фиброза, эмфиземы и кист, что напоминает соты пчел.
По течению:
- Прогрессирующий.
- Не прогрессирующий.
Отдельно выделяется идиопатический фиброз легких — это особая форма хронической фиброзирующей интерстициальной пневмонии неизвестной этиологии, которая неуклонно прогрессирует и является причиной смертности. Он чаще всего возникает у пожилых людей и затрагивает исключительно легкие. Процесс обычно локализуется в периферических отделах легких и проявляется интерстициальным воспалением альвеол с образованием фиброза вокруг альвеолярных ходов.
Как уже упоминалось, причины данного заболевания остаются неизвестными, однако выделяются факторы, усугубляющие идиопатический легочный фиброз — это курение, вдыхание неорганической и органической пыли, вирусные инфекции, а также сахарный диабет. Заболевание чаще всего встречается у пациентов старше 50 лет, и его частота увеличивается с возрастом, особенно после 60–70 лет.
Фиброз легких — это заболевание, о котором многие люди знают, но не все понимают его серьезность. В разговорах можно услышать, что это состояние вызывает страх и беспокойство. Люди делятся своими историями о том, как болезнь изменила их жизнь и повлияла на здоровье. Некоторые отмечают, что симптомы, такие как одышка и хронический кашель, становятся постоянными спутниками. Многие пациенты говорят о необходимости регулярных обследований и важности ранней диагностики. В социальных сетях можно встретить группы поддержки, где люди обмениваются опытом и советами по управлению заболеванием. Несмотря на сложности, многие находят силы бороться и адаптироваться к новым условиям жизни, что вдохновляет окружающих.
https://youtube.com/watch?v=F3AuT7IXE9g
Причины
Причины пневмофиброза могут быть связаны с различными заболеваниями легких:
- Инфекционные болезни, среди которых выделяются пневмонии различного происхождения (включая микотические), туберкулез, сифилис и цитомегаловирусная инфекция. Длительное течение пневмонии может осложняться абсцессом легкого или эмпиемой плевры, что приводит к образованию фиброза. Факторы, способствующие затяжному течению пневмонии, включают воспаление в нескольких долях и вторичную бактериемию. Стафилококковая пневмония часто сопровождается деструктивными изменениями в легких, медленным выздоровлением и нередко заканчивается локальным пневмофиброзом. Пневмония, вызванная Legionella pneumophila (болезнь легионеров), также отличается медленным обратным развитием инфильтратов и высокой вероятностью формирования пневмофиброза. Пневмония, вызванная Chlamydophila pneumoniae, в 10-20% случаев приводит к остаточным изменениям в виде пневмофиброза, а пневмоцистная пневмония может протекать с развитием диффузного фиброза.
- Хроническая обструктивная болезнь легких, включая бронхиальную астму. Воспалительный процесс при этих заболеваниях приводит к изменениям в структуре стенок бронхов и развитию фиброза.
- Профессиональные заболевания, связанные с вдыханием вредной пыли и газов. Понятие «пневмокониоз» охватывает различные виды пылевых фиброзов, включая диффузный пневмонит с развитием фиброза легких. Профессиональные заболевания делятся на силикоз (возникает при вдыхании кремниевой пыли), силикатозы (цементный, асбестоз, талькоз, каолиноз) и металлокониозы ( алюминоз, сидероз, бериллиоз, баритоз). На ранних стадиях заболевания могут наблюдаться симптомы хронического бронхиолита и прогрессирующего альвеолита, который переходит в пневмофиброз.
- Саркоидоз. Легочная форма саркоидоза (без увеличения внутригрудных лимфоузлов) может длительно протекать с минимальными проявлениями, однако при развитии обширного фиброза с серьезными нарушениями структуры легких, стенозами бронхов и тракционными бронхоэктазами возникает тяжелая дыхательная недостаточность (одышка в покое, диффузный цианоз). Также может наблюдаться симптом барабанных палочек. В легких на фоне пневмофиброза и эмфиземы могут быть выявлены очаги.
- Идиопатический гемосидероз легких — заболевание неясной природы, при котором периодически происходят внутриальвеолярные кровоизлияния с гемолизом. Частые обострения приводят к развитию диффузного фиброза.
- Аллергические заболевания легких (гиперсенситивный пневмонит или экзогенный аллергический альвеолит). Экзогенный аллергический альвеолит — это иммунопатологическое заболевание, возникающее при вдыхании органической пыли, содержащей антигены. Оно проявляется распространенным поражением альвеол и интерстициальной ткани с развитием пневмофиброза. Случаи этого заболевания часто встречаются у работников, контактирующих со смолами, красителями, пластмассами и полиуретаном. Также известны случаи развития альвеолита при воздействии фунгицидов (например, сульфат меди для опрыскивания растений) и солей тяжелых металлов (бериллия, хрома, кобальта, мышьяка). При этой группе заболеваний обязательно указывается на контакт с аллергеном. Заболевание сопровождается кашлем и одышкой. При аускультации выявляются мелкопузырчатые и крепитирующие хрипы. Наблюдаются выраженные нарушения вентиляции.
- Идиопатический фиброзирующий альвеолит. Это заболевание неизвестной этиологии, характеризующееся диффузным прогрессирующим фиброзом, что проявляется прогрессирующей одышкой, дыхательной и сердечной недостаточностью, а также формированием легочного сердца. В легких наблюдается диффузное утолщение межальвеолярных перегородок, нарушается структура легочных тканей, образуются кистозные полости. При остром или подостром течении, когда альвеолит постоянно рецидивирует, состояние пациентов быстро ухудшается, так как нарастает инспираторная одышка, несмотря на лечение глюкокортикоидами. При хроническом течении формируется диффузный пневмосклероз.
- Состояние после операций на легких, которое часто сопровождается избыточным образованием пневмофиброза.
- Заболевания других органов и систем, приводящие к фиброзу.
- Хронический активный гепатит.
- Сахарный диабет, который увеличивает риск пневмонии в 2,5 раза, астмы в 2 раза, а пневмофиброза — в 1,5 раза.
- Системные аутоиммунные заболевания: склеродермия, ревматоидный артрит, системная красная волчанка, болезнь Бехтерева. При последнем заболевании могут развиваться апикальный фиброз, бронхоэктазия и поражение плевры. Апикальный (в верхней доле) фиброз является специфическим признаком и встречается в 3-4% случаев. Он обычно протекает бессимптомно, но может вызывать кашель, появление мокроты и одышку. Для системной склеродермии характерны фибротические изменения органов и тканей из-за повышенной активности фибробластов. В 70% случаев склеродермия сопровождается поражением легких, которое может проявляться в двух формах: интерстициальный фиброз легких и легочная гипертензия (первичная или вторичная). Фиброз легких часто развивается на ранних стадиях и чаще всего ограничивается базальными отделами (нижняя доля). У некоторых пациентов он может иметь диффузный характер и быстро приводить к уменьшению объема легких и выраженной дыхательной недостаточности. Фиброз легких и легочная гипертензия клинически проявляются нарастающей со временем одышкой и постоянным сухим кашлем.
- Хроническая форма цитомегаловирусной инфекции.
Общие причины
- Вдыхание токсичных веществ.
- Воздействие лучевой терапии может привести к постлучевому фиброзу легких. Чаще всего этот фиброз возникает после облучения области средостения при лимфогранулематозе и раке молочной железы. Также во время лучевой терапии возможно развитие фиброза плевры. В остром периоде после облучения часто наблюдается легочная недостаточность, а в более поздние сроки — радиационный пневмонит, внутриальвеолярный и интерстициальный фиброз. Эти осложнения связаны с тем, что в зону облучения попадают легкие, которые крайне чувствительны к ионизирующему излучению и быстро повреждаются. При лечении рака молочной железы доза радиации составляет 70-80 Гр, в то время как предельная радиационная переносимость легких составляет 35-40 Гр. Частота осложнений зависит от общей очаговой дозы, а также от возраста пациента и локализации очага. У людей старше 70 лет осложнения радиотерапии возникают в 1,5 раза чаще, чем у пациентов в возрасте 40-60 лет. Чем ближе к средостению находится очаг, тем реже наблюдаются радиационные поражения легких. Периферические участки легких более подвержены радиационному воздействию.
- Прием медикаментов: Метотрексат, Амиодарон, Проктолол (фиброз может развиваться и спустя много месяцев после завершения лечения этим препаратом), Пропранолол (возможен фиброз плевры). При использовании нитрофуранов может развиться фиброзирующий альвеолит, а препараты Метисергид и Эрготамин способны вызывать склероз плевры.
https://youtube.com/watch?v=a4Ymi2kG_vI
Симптомы
Основной жалобой при медленно прогрессирующем фиброзе легких является одышка, которая в начале проявляется только при физической активности. С развитием заболевания одышка усиливается, что может привести к инвалидизации: пациент теряет возможность обслуживать себя, передвигаться и даже произносить фразы. У некоторых людей болезнь развивается медленно, и они постепенно адаптируются к своему состоянию, снижая уровень физической активности. Часто встречающимся симптомом легочного фиброза является сухой кашель, который наблюдается у 75% пациентов; гораздо реже возникает кашель с выделением мокроты. В тяжелых случаях может наблюдаться гнойная мокрота. Боль и дискомфорт в грудной клетке встречаются реже. Температура тела и кровохарканье не являются характерными признаками идиопатического фиброза.
Среди общих симптомов можно выделить: слабость, повышенную утомляемость, изменения в ногтевых фаланг, а также потерю веса. При прослушивании легких с помощью фонендоскопа врач может обнаружить крепитацию (звук, напоминающий «треск целлофана»), которая слышна на высоте вдоха в задних нижних отделах легких. Обострение идиопатического фиброза представляет собой серьезное состояние, угрожающее жизни пациента, так как дыхательная недостаточность может развиваться стремительно, и в 85% случаев приводит к летальному исходу.
В целом симптомы зависят от основного заболевания, на фоне которого развивается пневмофиброз. Например, при силикозе они могут быть незначительными и неспецифичными: кашель, одышка при физической нагрузке и мокрота. В таких случаях важно обратить внимание на степень изменений на рентгеновских снимках и на количество жалоб пациента. При образовании крупных фиброзных узлов и вовлечении плевры могут появляться жалобы на покалывание между лопатками и боли в грудной клетке. При хроническом бронхите пациенты часто испытывают кашель с выделением мокроты.
Анализы и диагностика
В диагностических процедурах применяются:
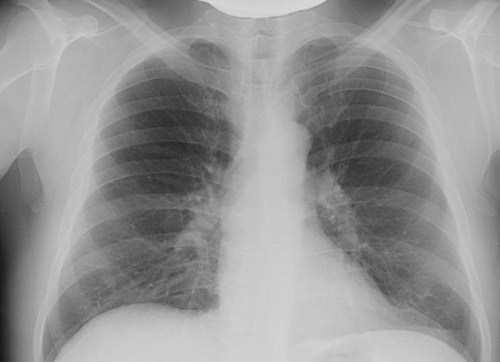
- Флюорография и рентгенография легких. Флюорография используется в качестве скринингового метода. На флюорограмме фиброз корней легких может быть замечен при бронхитах, курительном бронхите и профессиональных заболеваниях легких. Это проявляется следующим образом:
При пневмокониозах наблюдается измененный легочный рисунок, вызванный диффузным фиброзом, который имеет сетчатую или ячеистую структуру, преимущественно в нижних и средних отделах легких. Также можно увидеть линейные затемнения неправильной формы, указывающие на фиброз вокруг бронхов и сосудов. При туберкулезе в верхних долях легких отмечается сгущение и деформация легочного рисунка, возможно наличие линейного пневмофиброза, а к корню легкого уходит фиброзная дорожка. При цирротическом туберкулезе изменения фиброза преобладают над инкапсулированными очагами.
Единичный фиброзный тяж в легких, как рентгенологический признак, может быть выявлен после перенесенного воспалительного процесса (например, пневмонии или туберкулеза). Такой фиброзный тяж не представляет опасности и не влияет на дыхательную функцию, хотя его обратное развитие невозможно. Более серьезной проблемой является распространённый (диффузный) тяжистый пневмофиброз, который развивается при идиопатическом фиброзирующем альвеолите. В дальнейшем возникают диффузные изменения, проявляющиеся в виде мелкосетчатой деформации легочного рисунка.
Эти изменения имеют двусторонний характер и выражены в верхних отделах легких над диафрагмой. Характерно уменьшение объема легких, что приводит к высокому стоянию купола диафрагмы. При прогрессировании заболевания усиливаются фиброзные изменения и дыхательная недостаточность.
- Компьютерная томография с высоким разрешением (ВРКТ) является высокочувствительным методом для выявления пневмофиброза. Она позволяет оценить степень выраженности, распространенность, характер и динамику изменений. Использование тонких срезов и пространственной реконструкции значительно улучшает возможности визуализации. На ранней экссудативной стадии идиопатического легочного фиброза КТ-картина представлена затемнениями, напоминающими «матовое стекло». В дальнейшем формируются двусторонние базальные изменения, известные как «сотовое легкое», а также тракционные бронхоэктазы. Картину «сотового легкого» создают кисты размером 3-10 мм с толстыми и четкими стенками.
- Трансбронхиальная криобиопсия легочной ткани, по своей точности, сопоставима с хирургической биопсией.
- Исследование функции внешнего дыхания. Снижение эластичности легких, вызванное образованием крупных фиброзных полей и утолщением межальвеолярных перегородок, проявляется рестриктивными нарушениями, снижением форсированного выдоха и жизненной емкости легких.
Лечение фиброза легких
Как лечить фиброз легких? На сегодняшний день не существует специфического лечения для фиброзов, и их обратное развитие невозможно. Тем не менее, предпринимаются усилия для воздействия на это состояние. Если пневмофиброз является следствием воспалительных или аутоиммунных заболеваний дыхательной системы, которые имеют периодические обострения, то возможно замедлить его прогрессирование. Лечение, направленное на устранение воспалительных процессов (включая иммунные), а также на улучшение дренажной функции бронхов, может помочь приостановить развитие заболевания.
При остром интерстициальном пневмонии в фазе воспалительной реакции (альвеолит, который на КТ выглядит как «матовое стекло») назначаются кортикостероиды. Большинство пациентов с идиопатическим гемосидерозом легких также демонстрируют положительный ответ на терапию глюкокортикостероидами, что проявляется в снижении частоты обострений и замедлении прогрессирования фиброза.
При идиопатическом легочном фиброзе также применяются низкие дозы преднизолона и циклофосфана. Однако нет убедительных данных о том, что выживаемость этих пациентов улучшается при лечении только преднизолоном или в рамках комбинированной терапии. При этом риск возникновения побочных эффектов превышает вероятность улучшения функции легких. Единственными препаратами, которые имеют доказанную эффективность и обладают антифиброзирующим действием при этом заболевании, являются пирфенидон (препарат Эсбриет) и нинтеданиб (препарат Варгатеф). Они снижают пролиферацию фибробластов и замедляют прогрессирование фиброза. Другие препараты, такие как ципрогептадин и кетансерин, продемонстрировали свою эффективность в экспериментах на животных, подавляя синтез коллагена и препятствуя накоплению фибротических масс в легочной ткани.
Существуют попытки воздействия на пневмофиброз с помощью препаратов, обладающих ферментативной активностью. Например, используется Лонгидаза в форме свечей (содержащая фермент тестикулярную гиалуронидазу) как в монотерапии, так и в составе комплексного лечения. Исследования показали, что этот препарат не влияет на нормальную соединительную ткань, а разрушает измененные ткани в области фиброза. Лонгидаза также обладает антиоксидантными и противовоспалительными свойствами и действует длительно благодаря полимерному носителю в основе свечи.
При ректальном введении препарат проникает во все органы и ткани. В пульмонологии и фтизиатрии его применяют по 1 свече через 2-3 дня, рекомендуется провести курс из 10-20 введений. При необходимости можно повторить курс через три месяца, а затем перейти на длительное поддерживающее лечение — по 1 свече раз в неделю в течение 3-4 месяцев. Лонгидазу также можно вводить в виде инъекций по 3000 МЕ: первые 3 месяца — 3000 ЕД (1 инъекция) каждые 4 дня, затем в течение следующих 3 месяцев — 1 инъекция раз в две недели.
Базисное лечение всех бронхолегочных заболеваний, сопровождающихся одышкой (таких как ХОБЛ и бронхиальная астма), включает бронходилататоры, так как при пневмосклерозе возникает бронхиальная обструкция.
Прием бронхолитиков снижает выраженность одышки и увеличивает физическую нагрузку. Используются бронхолитики различных групп: бета-2-агонисты, М-холинолитики и метилксантины. Из группы М-холинолитиков чаще всего применяются: ипратропия бромид ( Атровент, Ипратропиум-натив, Ипратропиум Эйр) и тиотропия бромид ( Спирива, Тиотропиум-натив).
Бета-2-агонисты действуют быстро и улучшают самочувствие в краткие сроки, однако при длительном применении может развиться резистентность. Поэтому рекомендуется делать перерывы в использовании, после которых бронхорасширяющее действие этих препаратов восстанавливается. При недостаточной эффективности этих двух групп к лечению добавляют метилксантины ( Диафиллин, Эуфиллин, Теофиллин и препараты пролонгированного действия). Они усиливают работу дыхательных мышц и уменьшают легочную гипертензию.
Комбинированное лечение индакатеролом и гликопиррония бромидом показало свою эффективность в замедлении развития фиброза при ХОБЛ. Эта комбинация блокирует фиброзный ответ в организме пациентов с ХОБЛ. Ингаляционный препарат Ультибро Бризхалер содержит эту комбинацию, обеспечивая быстрое и длительное (24 часа) расслабление мускулатуры бронхов и бронходилатирующий эффект. Ультибро Бризхалер является основным препаратом выбора при лечении ХОБЛ, его применение улучшает функцию легких, снижает частоту обострений и повышает переносимость физической нагрузки.
Муколитики (мукорегуляторы, мукокинетики) показаны не всем пациентам с бронхолегочными заболеваниями — только при обострении и бронхиальной обструкции, вызванной затруднением отделения мокроты. При гнойном характере мокроты и ее увеличении назначаются антибиотики. Также показаны общеукрепляющие средства и витамины.
Учитывая необратимость процесса, лечение фиброза легких народными средствами не приносит результата. Растительное сырье может использоваться как отхаркивающее, муколитическое и общеукрепляющее средство в рамках комплексного лечения пациентов.
Лекарства
Процедуры и операции
Во время выполнения любых физических упражнений активно функционируют сердце и легкие. Специальная дыхательная гимнастика направлена на улучшение работы легких, уменьшение одышки и повышение выносливости. В комплекс следует включить упражнения для тренировки диафрагмального дыхания, а также упражнения с акцентом на форсированный выдох. Можно использовать дыхательные техники по методике П. А. Бутейко. Рекомендуемая продолжительность занятий — 10 минут, и их следует выполнять 3-5 раз в день. Оптимальным вариантом будет индивидуально подобранная программа гимнастики. Если состояние дыхательной системы позволяет, можно заниматься спортивной ходьбой.
Среди процедур рекомендуется заместительная кислородотерапия, которая назначается при снижении уровня кислорода в крови ниже 60 мм рт. ст. При хронической дыхательной недостаточности кислородотерапию проводят в домашних условиях на протяжении длительного времени (до 18 часов в сутки) с использованием малопоточной подачи кислорода (2-5 л/мин). В случаях тяжелой дыхательной недостаточности применяются гелиево-кислородные смеси. В домашних условиях также используются кислородные концентраторы.
Для удаления из крови циркулирующих иммунных комплексов, особенно при бронхиальной астме, применяется гемосорбция.
Диета
Диета 15 стол
- Эффективность: лечебный результат наблюдается уже через 14 дней
- Сроки: на постоянной основе
- Стоимость продуктов: от 1600 до 1800 рублей в неделю
Представлен основной вариант стандартного рациона ( Диета 15 стол) с увеличенным содержанием белка.
Профилактика
Профилактические меры включают в себя:
- Предотвращение обострений хронических заболеваний органов дыхания.
- В случае профессиональных заболеваний — оптимизация условий труда, снижение уровня пыли на рабочем месте, использование современных средств индивидуальной защиты.
- Регулярное наблюдение у пульмонолога для контроля состояния здоровья и проведения профилактических и лечебных мероприятий.
Последствия и осложнения
Прогрессирующее течение пневмофиброза может привести к следующим осложнениям:
- Дыхательная недостаточность.
- Легочная гипертензия, характеризующаяся постепенным увеличением давления в малом круге кровообращения. Вторичная легочная гипертензия неизменно возникает при фиброзе и, как правило, проявляется в первые годы болезни. На ранних стадиях она может протекать бессимптомно. Со временем усиливается одышка, степень которой зависит от уровня давления в легочной артерии.
- Эмфизема легких.
- Рак легкого. Вдыхание асбестовых волокон способствует развитию не только фиброза, но и рака плевры и легких. Рак легкого также может возникнуть на фоне идиопатического альвеолярного фиброза.
- Формирование фиброзных полостей и кист, что может привести к легкому кровотечению, пневмотораксу (попадание воздуха в плевральную полость из-за повреждения легкого) и пневмомедиастинуму (скопление воздуха в средостении при разрыве легкого, что может вызвать сжатие сердца и крупных сосудов).
Прогноз
Прогноз и продолжительность жизни при фиброзе легких зависят от основного заболевания, которое стало причиной его развития, а также от степени прогрессирования фиброза, его распространенности и вовлеченности бронхиального дерева (в частности, образования бронхоэктазов, которые усугубляют течение болезни). Ключевым прогностическим критерием является тип пневмофиброза.
К благоприятным типам относятся фиброзные изменения, проявляющиеся в виде тяжей в центральной и периферической частях легких, а также ателектатический тип фиброза. Этот тип формируется в областях, где произошла организовавшаяся пневмония или в местах длительного спадения легочной ткани из-за закрытия бронхов. Появление таких типов пневмофиброза не влияет на перфузию и диффузию в легких и не приводит к развитию дыхательной недостаточности. Неблагоприятные типы включают ацинарный фиброз и «сотовое легкое», которые всегда вызывают нарушения перфузии и выраженную дыхательную недостаточность, что, в свою очередь, сокращает продолжительность жизни пациента.
«Сотовое легкое» и его значительная распространенность считаются наиболее неблагоприятным прогностическим признаком. Важным фактором также является размер «сот» — более крупные «соты» или смешанный тип с чередованием мелких и крупных кист считаются более неблагоприятными. Неблагоприятным также считается нижнезональное расположение этих образований.
Естественное течение идиопатического фиброза характеризуется постепенными изменениями в легочной ткани и прогрессирующим фибротическим повреждением, которое на конечной стадии принимает форму «сотового легкого». Увеличение фиброза постепенно ухудшает состояние пациента и влияет на продолжительность жизни.
Трудно точно определить, сколько живут с этим заболеванием, так как это зависит от состояния легочной функции. Сроки могут варьироваться от 2 до 6 лет. При остром течении пациенты живут не более 2 лет, при подостром — от 2 до 4 лет, а при хроническом — от 4 до 6 лет. Усугубляют ситуацию сопутствующие заболевания, которые возникают с возрастом. Летальный исход может быть вызван не только развитием острой дыхательной недостаточности, но и ишемической болезнью сердца, тромбоэмболией легочной артерии или раком легкого.
При медленно прогрессирующем силикозе прогноз для жизни более оптимистичный, так как переход от одной стадии к другой может занимать десятилетия. В некоторых случаях прогрессирование фиброза может вовсе не наблюдаться — в таких ситуациях прогноз для жизни благоприятен. Одним из серьезных осложнений силикоза является спонтанный пневмоторакс, однако он встречается крайне редко при современных формах силикоза. Если на фоне силикотического фиброза развивается туберкулез, то течение болезни становится неблагоприятным, и общий прогноз зависит от степени выраженности как туберкулеза, так и силикоза, а также от формы туберкулеза.
Список источников
- Иванова А. С., Юрьева Э. А., Длин В. В. Фиброзирующие процессы. Москва: Оверлей, 2008. 196 страниц.
- Идиопатический фиброзирующий альвеолит / М. М. Илькович и др. // В книге: Диссеминированные заболевания легких. Под редакцией М. М. Ильковича. Москва: ГЭОТАР-Медиа, 2011. С. 24–84.
- Авдеев С. Н. Идиопатический легочный фиброз: современные подходы к лечению. Практическая пульмонология, 2015; 1: 22–31.
- Цветкова О. А., Воронкова О. О. Современные методы терапии пациентов с идиопатическим легочным фиброзом. Клиническая медицина, 2017; 95: 281–285.
- Айсанов З. Р., Кокосов А. Н., Овчаренко С. И., Хмелькова Н. Г., Цой А. Н., Чучалин А. Г., Шмелев Е. И. Хронические заболевания легких. Федеральная программа. РМЖ, 2001; № 1: 9–33.
Жизнь с фиброзом легких: советы и поддержка
Фиброз легких — это хроническое заболевание, при котором происходит замещение нормальной легочной ткани соединительной тканью, что приводит к снижению эластичности легких и ухудшению их функции. Жизнь с этим заболеванием может быть сложной, однако существуют способы, которые помогут улучшить качество жизни и справиться с симптомами.
Первым шагом к управлению фиброзом легких является регулярное медицинское наблюдение. Важно находиться под контролем врача, который сможет корректировать лечение и следить за прогрессированием заболевания. Регулярные обследования, такие как рентгенография грудной клетки и компьютерная томография, помогут отслеживать изменения в легких.
Физическая активность играет ключевую роль в поддержании здоровья легких. Умеренные физические нагрузки, такие как прогулки, плавание или занятия йогой, могут помочь улучшить дыхательную функцию и общее состояние организма. Важно проконсультироваться с врачом перед началом любой программы упражнений, чтобы выбрать подходящий уровень активности.
Обучение техникам дыхания также может значительно облегчить жизнь с фиброзом легких. Упражнения на глубокое дыхание и использование диафрагмы помогут улучшить вентиляцию легких и снизить одышку. Специальные дыхательные техники, такие как метод Папворта или метод Бутейко, могут быть полезны для управления симптомами.
Психологическая поддержка не менее важна. Жизнь с хроническим заболеванием может вызывать стресс, тревогу и депрессию. Группы поддержки, консультации с психологом или психотерапевтом могут помочь справиться с эмоциональными трудностями. Общение с людьми, которые сталкиваются с аналогичными проблемами, может оказать значительное влияние на общее самочувствие.
Правильное питание также играет важную роль в поддержании здоровья легких. Сбалансированная диета, богатая антиоксидантами, витаминами и минералами, может помочь укрепить иммунную систему и улучшить общее состояние организма. Рекомендуется включать в рацион свежие фрукты и овощи, цельнозерновые продукты, а также избегать избыточного потребления соли и сахара.
Важно также избегать факторов, которые могут усугубить состояние легких. Курение и пассивное курение являются основными факторами риска для людей с фиброзом легких. Избегание загрязненного воздуха, пыли и химических веществ также поможет сохранить здоровье легких.
Наконец, важно быть информированным о своем заболевании. Знание о фиброзе легких, его симптомах и методах лечения поможет пациентам принимать активное участие в своем лечении и принимать обоснованные решения о своем здоровье. Чтение специализированной литературы, участие в семинарах и вебинарах могут быть полезными для получения актуальной информации.
Вопрос-ответ
Что такое фиброз легких и как он развивается?
Фиброз легких — это заболевание, при котором происходит замещение нормальной легочной ткани соединительной тканью, что приводит к утолщению и жесткости легких. Это может быть вызвано различными факторами, включая длительное воздействие токсичных веществ, инфекционные заболевания, аутоиммунные расстройства или может быть идиопатическим, то есть без известной причины. В результате ухудшается газообмен, что может привести к одышке и другим респираторным проблемам.
Какие симптомы могут указывать на наличие фиброза легких?
Симптомы фиброза легких могут варьироваться, но наиболее распространенными являются одышка, особенно при физической нагрузке, хронический кашель, утомляемость и потеря веса. В некоторых случаях может наблюдаться боль в груди. Если вы заметили эти симптомы, важно обратиться к врачу для диагностики и возможного лечения.
Как проводится диагностика фиброза легких?
Диагностика фиброза легких обычно включает в себя несколько этапов. Врач может назначить рентгенографию грудной клетки или компьютерную томографию для визуализации легочной ткани. Также могут быть проведены функциональные тесты легких для оценки их работы. В некоторых случаях может потребоваться бронхоскопия или биопсия легких для подтверждения диагноза и определения причины заболевания.
Советы
СОВЕТ №1
Регулярно проходите медицинские обследования. Ранняя диагностика фиброза легких может значительно улучшить прогноз и качество жизни. Обсуждайте с врачом необходимость рентгенографии или компьютерной томографии легких, особенно если у вас есть предрасположенность к заболеваниям дыхательной системы.
СОВЕТ №2
Избегайте вредных веществ и аллергенов. Если у вас уже есть диагноз фиброза легких, старайтесь минимизировать контакт с табачным дымом, пылью, химическими веществами и другими раздражителями, которые могут усугубить состояние легких.
СОВЕТ №3
Поддерживайте активный образ жизни. Умеренные физические нагрузки, такие как прогулки или дыхательная гимнастика, могут помочь улучшить функцию легких и общее состояние здоровья. Обсудите с врачом подходящие для вас упражнения.
СОВЕТ №4
Следите за своим питанием. Правильное питание, богатое антиоксидантами и витаминами, может поддержать иммунную систему и общее состояние организма. Рассмотрите возможность консультации с диетологом для составления сбалансированного рациона.

