
Амилоидоз опасен не столько своими общими проявлениями, сколько локальными поражениями. Если быть точнее, амилоидоз поражает важные функциональные структуры организма: печень, сердце и почки. А так как любое проявление амилоидоза раньше или позже закончится уничтожением нормальной структуры органа, то, соответственно, в организме появятся серьезнейшие нарушения внутреннего гомеостаза.
Амилоидоз в классификации разделяется на свои более мелкие подвиды. Их принято выделять по органам, которые поражаются амилоидозом, и по причине его возникновения. По этиологии существуют первичный амилоидоз и вторичный. Первичный амилоидоз является исключительно заболеванием, связанным с генными нарушениями. Именно этот вид амилоидоза передаётся по наследству. Вторичный амилоидоз это следствие какой-либо болезни («первичной причины»), которая приведёт к его появлению.
Также амилоидоз можно разделить на формы по распространенности отложения белка в тканях: системный амилоидоз (генерализованный) и локальный.
По локализации в пораженных органах выделяют следующие подвиды: амилоидоз почек, амилоидоз печени, амилоидоз сердца, амилоидоз кишечника, амилоидоз кожи. Самыми часто встречаемыми и опасными являются амилоидоз почек, печени и сердца.
Амилоидоз почек
Амилоидоз почек чаще всего является вторичным амилоидозом. Также в почках откладывается только один подвид амилоидного белка — АА амилоид. При амилоидозе почек отличительной особенностью является, то, что клетками, синтезирующими этот амилоид, становятся клетки мезангия в клубочках. Кроме того резко повышается количество белка — прародителя АА амилоида в плазме крови. В свою очередь этот прародитель амилоида вместе с кровью попадает в клубочки почек для фильтрации крови. Там он захватывается специальными клетками и используется клетками мезангия для построения новых структур амилоида.
Таким образом, при амилоидозе почек есть два механизма создания патологического белка непосредственно в структурах почек: изменение функции клеток мезангия и выработка ими амилоида, повышение уровня предшественника амилоида в плазме и поддержание им дополнительного синтеза белка в мезангиоцитах. В результате этого, количество АА амилоида будет огромным.
Конечно же, такой уровень амилоида не скажется на организме положительным образом, а уж тем более на нормальную функцию почек. Этот амилоид будет откладываться в клетках, постепенно приводя к их гибели и впоследствии гибели всего органа. От клеток мезангия амилоид распространится, и будет поражать клетки базальной мембраны, через которую кровь стремится на фильтрование по капиллярам, а так же такую же базальную мембрану канальцев.
Кроме базальных мембран ещё одним излюбленным местом отложения амилоида являются артериолы. В результате всех этих действий нефроны (структурные единицы почки) будут атрофироваться и погибать один за другим. На месте погибших структур будет синтезироваться соединительная ткань и сама почка как бы уменьшится в размерах (амилоидная «сморщенная» почка).
В амилоидозе почки выделяются стадии, которые одновременно будут совпадать и с изменениями в почках, и внешними клиническими процессами. Эти стадии классифицируют от меньшего к большему по развитию процесса.
Первой стадией амилоидоза почек является стадия латентных изменений. При ней амилоидный белок постепенно заполняет пирамиды (микроструктуры почек), проксимальные каналы и собирательные трубочки. Здесь ещё может не наблюдаться сильно проявляющейся недостаточности почечной функции, но в анализе мочи уже можно найти превышение нормы белка (протеинурия). Её главной особенностью будет то, что она будет повышаться при физических нагрузках и вследствие появления простудных заболеваний. Плюс в анализе белковой составляющей мочи будет выявлен резкий дисбаланс между отдельными фракциями белков.
Стадия протеинурических явлений будет следовать дальше за вышеописанной стадией амилоидоза почек. При ней амилоид постепенно будет захватывать клубочковые структуры почек. Заполнять собой он будет мезангий, петли капилляров и артериолы. Именно на этой стадии амилоидоза почек начнет развиваться склероз их отдельных структур (в основном это уже описанные выше пирамиды). Как следствие начнут отключаться нейроны и нарушаться крово- и лимфоотток. Это приведёт к началу дистрофических изменений в почках.
В клинике у больного будет появляться протеинурия, которая, в отличие от протеинурии латентной стадии, уже будет постоянной и не будет зависеть от каких-либо внешних условий. Кроме протеинурии все так же легко можно найти дисбаланс белков. Новыми проявлениями будет появление цилиндров (белковых слепков, которые образуются в канальцах) и небольшого количества эритроцитов в моче (гематурия).
На стадии нефротических поражений количество амилоида в почечных структурах продолжает увеличиваться. Он захватывает большинство клубочков почки. Продолжают появляться слеротические поражения мозгового вещества почки. В клинике начнут появляться отеки. Особенность этих отеков в том, что они не исчезают после введения диуретиков. Все так же будут вышеописанные изменения в моче, только протеинурия станет массивной. К отекам у больных добавится и значительное понижение уровня артериального давления.
И последняя стадия амилоидоза почек — стадия азотемии или уремии (сходная с таковой при почечной недостаточности). Амилоидный склероз поражает все слои почки. Большинство нефронов погибает и их замещает соединительная ткань. В клинике будут все синдромы, связанные с почечной недостаточностью. Кстати, именно почечная недостаточность и является главной причиной смерти больных с амилоидозом почек. Она угрожает им практически на каждой стадии развития заболевания. Фактически, такие больные буквально каждый день сидят на «пороховой бочке».
Амилоидоз сердца
При амилоидозе сердца патологический белок откладывается в его структурах. Чаще всего он откладывается в миокарде, клетках эндокарда. Также этот белок не обходит своим вниманием и сосуды: он может откладываться в аорте или коронарной сосудистой системе сердца. Чаще всего амилоидоз сердца развивается при типах амилоидоза, содержащих АL-белок.
Основными механизмами при амилоидозе сердца будут звенья, при которых происходит синтез амилоидных АL-структур. Их детальный патогенез написан ниже, но если говорить в общем, то этот белок синтезируется благодаря нарушениям в синтезе правильных иммунных клеток. Этот амилоид накапливается в крови и, видимо, разносится с током крови по органам. Попав в сердце, он откладывается в основном в его миокарде и накапливается между мышечными клетками. Кстати, постоянное накопление амилоида в миокарде приводит к тому, что его повышенная масса сдавливает интрамуральные артерии и артериолы и вызывает недостаток в питании сердечной мышцы.
Заполненный амилоидом миокард становится очень плотным, а главное, он теряет свою способность к растяжению. В результате понижается сердечный выброс, нарушается функция сердца, постепенно развивается сердечная недостаточность.
А если амилоид в основном отложился рядом с клапанным аппаратом, то он вызовет яркую клинику клапанных пороков. То есть клиническая симптоматика амилоидоза сердца зависит от места, где отложился амилоид: так например, если структуры амилоида появились рядом с проводящими путями, то появятся признаки нарушения проводимости, особенно блокады.
Амилоидоз сердца отличается медленным, долгим течением, его симптомы могут развиваться на протяжении достаточно длительного времени. Заболевание резко проявляется после перенесенных респираторных инфекций, стрессов, перенапряжений. Может появиться резкое падение давления, сильные боли, наподобие стенокардических или будут развиваться синкопальные состояния. Серьезным признаком также будет избирательное снижение давления в вертикальном положении.
Если же заболевание развивается медленно, то постепенно будут развиваться признаки классической сердечной недостаточности: одышка, отеки, увеличение печени. Такая сердечная недостаточность практически не отвечает на лечение сердечными гликозидами.
Амилоидоз сердца также очень часто сопровождают выпоты в перикардиальной сумке, а также быстрое развитие асцита. Как уже описывалось выше, проявляются и нарушения в проводящей системе сердца: блокады, а особенно специфический синдром слабости синусового узла. Этот синдром у больных амилоидозом может привести к внезапной сердечной смерти.
Амилоидоз печени
Амилоидоз печени практически никогда не возникает сам по себе. Чаще всего он возникает вместе с такими же амилоидными поражениями других органов: селезенки, почек, надпочечников или кишечника.
Скорее всего, его причиной возникновения являются иммунологические нарушения или сильные гнойные инфекционно-воспалительные заболевания. Самым ярким признаком при проявлении этого заболевания будут увеличения печени и селезенки. Очень редко оно сопровождается, какими либо болевыми симптомами или желтухой. Это заболевание характеризуется стертой клиникой и медленным прогрессированием. На последних стадиях болезни могут развиться многочисленные проявления геморрагического синдрома. У таких больных очень быстро снизится защитная функция иммунитета, и они станут беззащитными перед любыми видами инфекций.
Также характерным изменениям при амилоидозе печени подвергается кожа — она становится бледной и сухой. Возможны проявления портальной гипертензии и последующего цирроза печени: амилоидоз постепенно убивает гепатоциты, а те замещаются соединительной тканью.
Самым опасным осложнением для таких больных будет развитие печеночной недостаточности и печеночной энцефалопатии.
Амилоидоз причины
Причины возникновения амилоидоза напрямую зависят от его подвида. Если амилоидоз первичный, то причина его появления заложена исключительно в ошибках собственного генетического кода. Такой вид амилоидоза передается наследственно, есть даже целые семьи, где все члены болеют первичным амилоидозом.
Вторичный амилоидоз, как уже было написано выше, это следствие первичных заболеваний. Чаще всего к его появлению приводят ревматоидный артрит и болезнь Бехтерева. Также высокий риск окончиться амилоидозом имеют НЯК (неспецифический язвенный колит) и болезнь Крона. Высокую способность стимулировать развитие амилоидоза имеют лимфомы и лимфогранулематозы. Кроме того, такие патологические состояния как хронические гнойно-воспалительные заболевания и остеомиелит тоже легко могут привести к появлению первых признаков вторичного амилоидоза.
Большому риску заболеть амилоидозом также подвержены те больные, которые в силу определенных причин находятся на системном диализе. Чаще всего, конечно, это больные с хроническими формами почечной недостаточности. Это происходит потому, что определенный белок при диализе не проходит через мембрану аппарата, накапливается в организме и постепенно оседает в клетках ткани. Через какое-то время этот белок станет основой для амилоидоза.
К амилоидозу могут привести еще и некоторые опухоли. Это рак поджелудочной железы, рак щитовидной железы, аденома гипофиза и паращитовидных желез. Особенность такого амилоидоза заключается в том, что при раке этих органов поражаются клетки особой системы (АПУД). В результате агрессии раковых клеток эти апуд-клетки разрушаются, а их остатки становятся базой для формирования белка амилоида.
Но кроме основных причин (этиологии) амилоидоза также важно знать и основные закономерности и механизмы, которые происходят при этом заболевании. Следует знать, что каждый тип амилоидоза протекает по-своему. В патогенезе принято выделять типы амилоидоза по его основному белку. Самыми важными являются амилоидоз, содержащий в себе белок типа АА (именно он и вызывает амилоидоз почек, описанный выше) и амилоидоз с белком AL.
Не смотря на разные белки, в амилоидозе можно выделить и основные стадии процесса:
— Этап подготовки. В этом этапе происходит мутация клеток ретикулоэндотелиоидной структуры, и появляются клетки — синтезаторы амилоида (амилоидобласты). Важно сказать, что у каждого вида амилоида свои материнские клетки (например, макрофаги или клетки почечного мезангия)
— Выработка материнскими клетками белка-амилоида и последующая сборка его структур
— Завершающее формирование структуры патологического белка, в которой он соединяется с особыми белками крови или тканевыми факторами
AL-содержащий амилоидоз
Интересно, но ход течения этого подтипа немного сходен с течением при миеломной болезни. Здесь точно так же происходит нарушение выработки «правильных» B-лимфоцитов и появляются патологические B-лимфоциты, которые начинают вырабатывать цепи будущего амилоида. Только в миеломной болезни эти цепи назывались тяжёлыми, а здесь, при амилоидозе, синтезируются легкие иммуноглобулиновые цепи. Затем эти цепи перестают превращаться в нормальные иммуноглобулины, распадаются и собирают отдельные амилоидные структуры.
Считается, что главной причиной такого типа амилоидоза является уменьшение Т-лимфоцитов и вследствие этого уменьшается количество клеток-контроллеров Т-супрессоров, которые могут угнетать патологические В-лимфоциты. Постоянному синтезированию патологических цепей также способствует то, что клетка — амилоидный клон, полностью теряет способности к своей клеточной смерти. Такой вид амилоидоза считается имуннозависимым.
АА-содержащий амилоидоз
Для этого подтипа характерно наличие материнской клетки, которая синтезирует предшественник белка субстанцию SAA. Этими материнскими клетками будут макрофаги печени, селезенки или клетки мезангия у амилоидоза почек. В начальной стадии клетки усиленно синтезируют эту субстанцию. Из-за того, что этой субстанции много, полностью она не превращается в амилоид – материнские клетки собирают амилоид из отдельных фрагментов этой субстанции. Постепенно в течение последующих стадий вся субстанция уходит на сборку молекул амилоида.
В этом виде амилоидоза есть определенные закономерности. Первая — это то, что количество амилоида напрямую зависит от количества выработки субстанции-предшественника: чем выше ее синтез, тем больше будет синтезироваться и сам амилоид. Вторая закономерность в том, что при амилоидозе АА нарушается соотношение функциональной активности между клетками, синтезирующими амилоид и клетками амилоид поглощающими: функция последних сильно снижена. А это значит, что уменьшается разрушение амилоидного белка и он откладывается в тканях.
Амилоидоз симптомы
Симптоматика амилоидоза зависит от его подвида. Так, например, при локальном амилоидозе, характерными будут признаки нарушения функции отдельных органов: сердечной, печеночной или почечной недостаточности.
Кроме того, часто поражается скелетная мускулатура. Мышцы увеличиваются в своем объёме, за счет отложения в них амилоида. Развивается так называемая ненастоящая гипотрофия (псевдогипотрофия). Кроме того мышцы становятся более плотными.
Также часто поражается желудочно-кишечный тракт (например, описанный выше амилоидоз печени). Кроме печени амилоидозом могут поражаться мышцы языка. При этом разовьется его увеличение — макроглоссия или «большой язык». Этот симптом разовьется у четверти больных амилоидозом. Это довольно серьезный симптом, ведь значительное увеличение языка в объеме может вызвать затруднения дыхания. Кроме языка амилоидоз также любит поражать пищевод или кишечник. При поражении пищевода могут развиваться серьезнейшие нарушения, вплоть до полного сужения его просвета и невозможности проходить дальше пищевому комку-химусу.
Когда поражаются клетки кишечника, то появляются такой симптом, как известная всем диарея. Чаще всего при амилоидозе она появляется из-за того, что структуры амилоида расположились близко к окончаниям нервных волокон в кишечнике и оказывают на них постоянное стимулирующее воздействие. Если были поражены амилоидозом клетки тонкого кишечника, то появятся синдромы нарушения функции кишечного всасывания. Кстати, эта локализация одно из коронных проявлений АА-содержащего амилоидоза.
Еще одним местом поражения амилоидозом в организме будет дыхательный тракт. Здесь амилоидоз может поражать любые его структуры. Если его белок отложится на голосовых связках, то появится охриплость голоса. При повреждении амилоидом клеток бронхов могут появиться явления хронического бронхита. В легких амилоидоз может имитировать опухолевые процессы. Такие проявления чаще всего являются прерогативой AL-содержащего амилоидоза.
Нервная система также может подвергаться воздействию амилоидоза. Это так же признак AL-содержащего амилоидоза. Появляются «амилоидные» полинейропатии: нарушение чувствительности в пораженных участках, снижение мышечной силы и рефлексов сухожилий. Когда амилоидоз поражает вегетативную нервную систему, то может развиться крайне богатая палитра симптомов: снижение давление при принятии вертикального положения, энурез и импотенция.
И еще одной системой, подверженной воздействию амилоидоза является система кроветворения. Она зависит от того, какой росток в костном мозге поражается амилоидом. Появляются нарушения свертывающей функции и многочисленные кровоизлияния. Как и два описанных выше синдрома, этот также характерен для AL-содержащего амилоидоза.
Кроме вторичных амилоидозов яркая симптоматика есть и у первичных наследственных амилоидозов. При них проявляется помутнение стекловидного тела, присутствует яркая картина поражения периферической нервной системы с сенсорно-моторными нарушениями, которые обычно возникают с раннего возраста. К этому также добавляются почечные поражения и поражения желудочно-кишечного тракта.
Амилоидоз диагностика
Одним из признаков амилоидоза при первичной диагностике являются, конечно же, клинические и лабораторные признаки поражения тех или иных органов. Так при почечном амилоидозе важными будут изменения в анализе мочи: различные признаки протеинурии, нарушенный дисбаланс между фракциями белка в моче (диспротеинемия) и различными уровнями эритроцитов в моче.
Также необходимо смотреть на клинические признаки: отеки и нарушения уровней давления. Одним из признаков, который может заставить задуматься о возможном наличии амилоидоза будет то, что у больных с амилоидозом почек отеки не будут уменьшаться даже при приеме диуретиков.
Также нужно учитывать показатели уровня клиренса креатинина и скорости клубочковой фильтрации. Особенно эти признаки будут важны для определения наличия степени и типа почечной недостаточности.
При поражении амилоидозом сердца можно провести эхокардиографию и рентгенологическое исследование грудной клетки. А при поражениях печени нужно обратить внимание на изменения белка в плазме крови (особенно альфа2глобулина), а также на биохимические показатели: щелочную фосфатазу и аминотрансферразы (аланинаминотрансферразы или АлАт). Также нужно провести биопсию печени и исследование пунктата с помощью окрашивания.
Кроме диагностических признаков, свидетельствующих о недостаточности функции того или другого органа для выявления амилоидоза используют особые специфичные реакции. Самая известная из них — это биопсия пораженной ткани. В последующем биоптат окрашивают специальными красителями и определяют наличие или отсутствие в нем амилоидного белка. Чаще всего специфическим красителем для амилоидоза является краситель конго-рот (конго-красный).
Кроме того дополнительным возможным показателем амилоидоза (чаще всего именно AL-содержащего амилоидоза) является повышение уровня плазматических клеток в биоптате костного мозга. Чаще всего подсчет плазматических клеток совмещают с их окрашиванием вышеупомянутым красителем на определение наличия в них отдельных структур амилоида. Кроме амилоида в этих плазматических клетках также можно провести определение легких цепей (с помощью имуногистохимических методов).
Также важно провести ряд исследований для того чтобы отличить друг от друга два самых главных типа амилоидоза: AL-содержащий амилоидоз и AА-содержащий амилоидоз. Чаще всего для этого исследуемый биоптат окрашивается красителем конго красный, к нему добавляется трипсин или перманганат калия. Вследствие воздействия этих веществ при определенном освещении AА-содержащий амилоидоз не преломляет лучи света, а AL-содержащий амилоидоз не утрачивает способности к лучепреломлению.
Амилоидоз лечение
Лечение амилоидоза, как и его причины, клиника или диагностика зависит от особенностей каждого из его подтипов.
При вторичном амилоидозе лечение нужно начинать с лечения первичного заболевания а также стараться восполнить уменьшенный объем функции того или иного органа. Так при амилоидозе почек назначается особая диета. Она отличается маленьким содержанием белка (на 1 кг массы тела должно приходиться 0,8 г белка) и содержит в себе высокий уровень углеводов и витаминов (особенно большое внимание уделяется витамину С). Также это практически единственная диета, в которой разрешается есть сладкое: мармелад и пастила. Это нужно для того, чтобы повысить калорийность употребляемой пищи. Крайне ограничивают употребление белков и соли.
В медикаментозной терапии назначаются препараты-десенсибилизаторы (Димедрол, Супрастин). Для того чтобы затормозить выработку амилоида назначаются препараты, которые входят в ряд 4-аминохинолинов. Но эти препараты имеют побочные реакции при длительном употреблении. А потому их назначают в паре с В-витаминами, Аскорбиновой кислотой и антигистаминными средствами.
Полностью остановить развитие амилоидоза почек практически невозможно. Но для того чтобы затормозить его прогрессирование назначаются экспериментальные схемы с использованием Унитиола или Колхицина.
Чтобы улучшить азотистый обмен назначаются препараты из ряда анаболических стероидов. Также для повышения силы иммунной системы используют иммуностимуляторы. Считается, что при высокой активности иммунная система тоже может притормозить развитие амилоидоза почек.
При сильном нефротическом синдроме делаются переливания плазмы и введение белков-альбуминов, назначаются осмотические диуретики (яркий пример Маннитол).
Сердечные поражения при амилоидозе, как и при почечном его варианте, излечить очень сложно. Основной принцип терапии такой же, как и при аналогичных поражениях почек — максимально затормозить развитие болезни и сопутствующей сердечной недостаточности. Назначаются симптоматические препараты.
При «опасной» слабости синусового узла можно провести хирургическую терапию по установке искусственного водителя ритма.
Терапия при амилоидозе печени сходна с таковым при амилоидозе почек.
Считается, что АА-содержащий амилоидоз практически не подвергается лечению, а AL-содержащий амилоидоз, из-за его имунозависимости подавить легче. С этой целью назначаются цитостатики и глюкокортикоиды. При АА-содержащем амилоидозе, основной составляющей всех экспериментальных схем по подавлению его активности является препарат Колхицин.
Кроме терапевтических методов лечения иногда применяются и хирургические. Одним из таких является удаление селезенки. Считается, что она является одним из главных резервуаров по содержанию амилоидного белка при проявлении амилоидоза и ее удаление может значительно улучшить состояние организма.
vlanamed.com
Амилоидоз представляет собой инфильтрацию органов восковидной субстанцией, которая при окрашивании напоминает крахмал, откуда и происходит её название [17].
Общим для всех видов амилоидоза является внеклеточное отложение труднорастворимых фибриллярных белков с характерными тинкториальными свойствами. При всех видах амилоидоза вырабатывается чрезмерное количество белка, который может принимать фибриллярную форму [16]. Амилоид откладывается совместно с гликопротеином, состоящим из глобулярных субъединиц. Возможно образование по крайней мере 12 различных белков.
Амилоидоз можно классифицировать по типам откладывающихся белков (табл. 23-5). В большинстве случаев определяются типы AL и АА. Другие амилоидные белки выявляются при наследственном, почечном и сердечном типах амилоидоза, а также при амилоидозе, связанном с хроническим диализом.
Таблица 23-5. Классификация амилоидоза
| Тип Фибриллы | Синдром |
| АА Сывороточный амилоид А | Реактивный (вторичный) амилоидоз: приобретённый (например, при ревматоидном артрите) наследственный (семейная средиземноморская лихорадка) |
| AL Моноклональные: иммуноглобулин лёгкие цепи | Первичный амилоидоз: связанный с миеломной болезнью без ассоциаций |
| ATTR Транстиретин | Семейная амилоидная полиневропатия |
Другие типы: Аb2М ( диализ при почечной недостаточности), Аb (болезнь Альцгеймера), А1АРР (диабет/инсулинома).
В случае АА-амилоидоза, также называемого вторичным, антигенная структура и строение амилоида сходны с таковыми белка острой фазы. АА-амилоидоз осложняет течение хронических воспалительных заболеваний, как приобретённых (например, ревматоидный артрит), так и наследственных (например, семейная средиземноморская лихорадка).
В период ответа острой фазы активированные макрофаги выделяют интерлейкин-1. Это приводит к снижению синтеза альбумина печенью и выработке белков острой фазы, в том числе сывороточного предшественника амилоида типа A (SAA) [3]. Сохранение высокого уровня SAA предрасполагает к развитию АА-амилоидоза, однако даже при очень высоких уровнях SAA заболевание развивается не во всех случаях. Развитию амилоидоза способствуют недостаточное разрушение амилоида, низкий уровень альбумина в сыворотке, активация макрофагальных протеолитических ферментов и наследственная предрасположенность [2].
В случае AL-амилоидоза, который называют также первичным, амилоидный белок состоит из лёгких цепей иммуноглобулинов типа каппа и ламбда [10]. Классическая картина AL-амилоидоза развивается при миеломной болезни.
Амилоидные фибриллы могут растворяться. Этот факт подчёркивает большое значение активного выявления хронических предрасполагающих заболеваний у больных амилоидозом.
Печень поражается во всех случаях. Распределение отложений амилоида (синусоидальное или портальное) не имеет диагностического значения. Синусоидальное (паренхиматозное или в пространствах Диссе) распределение более характерно для AL-амилоидоза, хотя не исключает типа АА. Для точного определения типа амилоида следует использовать современные гистохимические методы. АА- и AL-амилоид могут откладываться под эпителием крупных внутрипеченочных жёлчных протоков.
Глобулярный амилоид. Глобулярный амилоид представляет собой эозинофильные глобулы диаметром 5—40 мкм, откладывающиеся в пространстве Диссе; их скопления видны внутри портальных трактов. Специфичных клинических и лабораторных особенностей, отличающих глобулярный амилоидоз от классического амилоидоза печени, не существует. Однако он не развивается при миеломной болезни [9]. Глобулярный амилоидоз обычно сочетается с классическим системным АА-амилоидозом.
КЛИНИЧЕСКИЕ ТИПЫ АМИЛОИДОЗА
Реактивный амилоидоз — приобретённый, вторичный (АА). Приобретённый реактивный амилоидоз является наиболее распространённой формой с вовлечением селезёнки, почек, печени и надпочечников (в порядке убывания частоты). Он сопровождает такие хронические заболевания, как туберкулёз, гнойные заболевания лёгких и плевры, длительно существующий ревматоидный артрит, неспецифический язвенный колит, болезнь Крона, лепра, некоторые опухоли и лимфогранулематоз. Поражённые органы имеют воскоподобную консистенцию и приобретают при добавлении раствора йода яркий красно-коричневый цвет.
Семейная средиземноморская лихорадка (АА) — заболевание, наследуемое по аутосомно-рецессивному типу, которое отличается острыми приступами лихорадки с развитием асептического перитонита, плеврита или синовита. Амилоид относится к типу АА; патогенез заболевания неизвестен. Болезнь поражает главным образом евреев неашкенази, армян, турок и арабов Среднего Востока. Ген картирован на хромосоме 16 [13]. Поражение печени ограничивается лишь артериолами, синусоиды не вовлекаются. В основном поражаются клубочки почек, селезёнка и альвеолы лёгких. Почечная недостаточность может привести к смерти.
Первичный системный амилоидоз — атипичный (AL) встречается редко и развивается без предшествующего заболевания. Изредка в процесс вовлекается печень; в стенках мелких артериол портальных трактов обнаруживают депозиты, которые слабо окрашиваются конго красным. Выявляются также депозиты в паренхиме.
Амилоидоз, осложняющий миеломную болезнь (AL), развивается приблизительно у 15% больных. Распределение депозитов обычно носит атипичный (первичный) характер.
КЛИНИЧЕСКИЕ ОСОБЕННОСТИ ПОРАЖЕНИЯ ПЕЧЕНИ
Амилоидоз можно заподозрить при выявлении у больного с предрасполагающим к амилоидозу заболеванием увеличенной гладкой безболезненной печени, однако в отдельных случаях гепатомегалии может и не быть. Возможно увеличение селезёнки в результате инфильтрации амилоидом. Печёночно-клеточная недостаточность развивается редко. Редко наблюдается также портальная гипертензия, которая относится к синусоидальному типу и свидетельствует о неблагоприятном прогнозе [1]. Желтуха развивается приблизительно в 15% случаев. Биохимические показатели обычно нормальные, за исключением небольшого повышения активности ЩФ.
Изредка каппа- и ламбда-АL-амилоидоз может осложняться тяжёлым внутрипеченочным холестазом [12]. Вероятно, это происходит за счёт интенсивного отложения амилоида, нарушающего отток жёлчи в канальцы и мелкие жёлчные протоки. Прогноз при холестазе крайне неблагоприятен. Поражение печени, связанное с отложением лёгких цепей иммуноглобулинов, также может осложняться амилоидозом AL-типа и сопровождаться тяжёлым холестазом [4].
Возможно развитие нефротического синдрома, альбуминурии или прогрессирующей почечной недостаточности. Описан случай АА-амилоидоза, сочетающегося с гепатоцеллюлярной аденомой, которая сопровождалась нефротическим синдромом. После удаления аденомы проявления нефротического синдрома уменьшились [5]. Имеется сообщение о массивном спонтанном печёночном кровотечении у больного с крайне редким наследственным амилоидозом, связанным с дефектом лизосом [6].
МЕТОДЫ ДИАГНОСТИКИ
Приблизительно у 90% больных, страдающих амилоидозом AL-типа, при иммуноэлектрофорезе в сыворотке выявляют моноклональный белок [10].
При подозрении на миеломную болезнь проводят аспирацию и биопсию костного мозга. В полученном материале амилоид при специальной окраске выявляется в 50% случаев [10].
Аспирационная биопсия подкожной жировой клетчатки живота безопасна и позволяет диагностировать амилоидоз в 50—80 % случаев [10].
Биопсия прямой кишки также безопасна, однако позволяет выявить амилоид лишь в 50—75% случаев в зависимости от опыта врача, проводящего процедуру [10, 16].
Наиболее информативна аспирационная биопсия печени, которая, однако, является более инвазивным методом. Как у больных с АА-типом, так и у больных с AL-типом амилоидоза гистологическое исследование печени подтверждает диагноз приблизительно в 95% случаев [10, 16]. Амилоидоз печени носит диффузный характер, и вероятность ошибки, связанной с получением материала, крайне мала. Процедура считается опасной, однако эту опасность переоценивают.
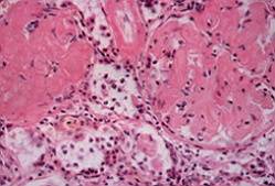
Гистологически амилоид представлен гомогенным, аморфным, эозинофильным материалом (рис. 23-14). Он окрашивается конго красным и метиловым фиолетовым (рис. 23-15), при окраске йодом приобретает красно-коричневый цвет. Во всех случаях окрашивание нестойкое и сохраняется лишь несколько недель. При поляризационной микроскопии окрашенных конго красным препаратов амилоид выявляют в виде зелёных фибрилл с двойным лучепреломлением [8]. Амилоид можно обнаружить и при флюоресцентной микроскопии.
Амилоид откладывается между столбиками печёночных клеток и стенкой синусоидов в пространстве Диссе. Печёночные клетки не вовлекаются в процесс, однако подвергаются различной степени
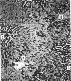
Рис. 23-14. Амилоид, располагающийся в стенке синусоида, особенно в перипортальных зонах. Печёночные балки сдавлены. В — центральные печёночные вены; П — портальные тракты. Окраска кармином по методу Беста, х70.
Рис. 23-15. Амилоид в виде аморфных отложений тёмного цвета, расположенных между печёночными клетками и синусоидами. Окраска метиловым фиолетовым, х40.См. также цветную иллюстрацию на с. 784.
компрессии. В наибольшей степени инфильтрированы промежуточная и портальная зоны.
Иногда при первичном AL-амилоидозе или при амилоидозе, осложняющем миеломную болезнь, амилоид определяется только в стенках печёночных артериол портальных трактов, вокруг интерлобулярных артерий, а также лежащим свободно в виде глыбок.
При электронной микроскопии выявляют неразветвлённые фибриллы длиной 10 нм.
Поражение почек можно выявить при их чрескожной биопсии.
Сканирование. Множественные дефекты накопления могут напоминать метастазы.
Недавно для визуализации амилоидной ткани был разработан метод с использованием меченого Р-компонента сывороточного амилоида (SAP) [7]. Этот белок в норме циркулирует в плазме, синтезируется гепатоцитами и входит в состав всех типов амилоида. Меченый SAP можно использовать для визуализации амилоида или исследования клиренса метаболитов. Визуализация даёт полную картину распределения амилоида в организме человека и позволяет оценить его количественно. Для суждения об эффективности лечения сканирование можно производить в динамике. Однако в настоящее время из-за малой доступности метод применяется только в специализированных центрах.
studopedia.ru
Амилоидоз печени
Амилоид – это белковое вещество, которое вызывает поражение не только печени, но и других внутренних органов. Отсюда и название болезни – амилоидоз. Откладываясь в тканях и органах (например, в стенках сосудов, железистых и т.п.), амилоид начинает затруднять их работу, а позже – и вовсе может стать причиной их гибели.
Этиология
Амилоидоз печени – это системное заболевание, в развитии которого немалую роль играют хронические инфекционные процессы, такие как туберкулёз, остеомиелит и т.д., и заболевания, связанные с патологией иммунной системы. К ним относятся различного рода опухоли, миеломы и прочее. Различают амилоидоз первичный и вторичный. Первичный – это когда заболевание возникает без видимых причин, вторичный носит характер осложнения хронических инфекционных заболеваний. При первичном амилоидозе иммуноглобулины синтезируются с различного рода нарушениями, так как происходит мутация плазматической клетки. Ещё одна немаловажная причина амилоидоза печени – генетическая предрасположенность, так как он достаточно часто носит семейный характер. Если амилоидоз активный, то печень поражается практически всегда; если наследственный, то в 50% случаев.
Патогенез
При реактивном амилоидозе белки (амилоиды) откладываются в центре долек печени, затем постепенно распространяются на периферию. При наследственном отложении наиболее выражены в сосудах и строме портальных трактов.
Классификация
В зависимости от того, где локализуются амилоиды, выделяют 4 типа печёночного амилоидоза:
- интралобулярный (амилоид сдавливает и деформирует печёночные балки, происходит их атрофия),
- перипортальный,
- периваскулярный (при 2 и 3 типах амилоидоза печёночные дольки сохранены, амилоид откладывается в сосудах и строме портальных трактов),
- смешанный.
Симптомы
Наиболее распространённый симптом – плотная, малоболезненная печень, на поздней стадии болезни она значительно увеличивается. Также может наблюдаться желтуха, но она встречается редко – у 5% больных. Она вызывается печёночно-клеточной недостаточностью. Иногда у пациентов выявляется геморрагический синдром.
Диагностика
Для постановки диагноза необходимо сдать биохимический анализ крови и общий анализ мочи. Пункционная биопсия также играет большую роль. Сухая, бледная, фарфоровая кожа – один из малых симптомов амилоидоза печени. Если же амилоиды выявлены не только в печени, но и в других органах, то это имеет существенное значение для достоверности диагноза.
Лечение
Лечение нужно начинать с заболевания, на фоне которого развилась патология белкового обмена. При данном заболевании необходим приём препаратов, назначенных лечащим врачом.
Прогноз амилоидоза печени серьёзный, поэтому необходимо строго выполнять рекомендации врача.
vseopecheni.ru
В развитии амилоидоза большую роль играют иммунные нарушения, изменения белкового обмена. По современным представлениям, по крайней мере некоторые типы амилоида являются тканевыми отложениями фрагментов иммуноглобулинов. Еще в 1931 г. Magnus-Levy обнаружил у больных миеломой частое сочетание выделения белка Бенс-Джонса и отложения амилоида. По аминокислотному составу белок Бенс-Джонса почти совпадает с амилоидом. Имеются сообщения о структурной общности фрагментов полипептидных цепей иммуноглобулинов и белков амилоидных фибрилл при амилоидозе. Получены доказательства основного значения клеточных иммунных реакций в патогенезе амилоидоза.
В патогенезе первичного амилоидоза главную роль играют нарушения синтеза иммуноглобулинов в результате мутации плазматической клетки.
В образовании некоторых разновидностей амилоида важную роль играет система комплемента (фракции С1, СЗ и С4). Предполагают, что в развитии реактивного амилоидоза участвуют иммунные комплексы.
Печень вовлекается в патологический процесс при этих трех формах амилоидоза. При реактивном амилоидозе печень поражается почти всегда, при наследственном — в 50% случаев.
Поверхность печени обычно гладкая, бледно-коричневая, вещество плотное, восковидное. Примечательно, что амилоидоз не ведет к циррозу печени.
По данным В. В. Серова, И. А. Шамова (1977), для реактивного системного амилоидоза характерно начальное отложение амилоида в перисинусоидальном пространстве Диссе центров долек, затем постепенное распространение на периферию. При наследственном и связанном с изменениями иммуноцитов амилоидозе отложения амилоида наиболее выражены в сосудах и строме портальных трактов.
Исходя из локализации амилоида, выделяют три гистологических типа печеночного амилоидоза: I тип — интралобулярный; II тип — перипортальный; III тип — периваскулярный, смешанный.
Амилоид при интралобулярном типе сдавливает и деформирует печеночные балки, что приводит к их атрофии. Отдельные группы гепатоцитов замуровываются амилоидом и разрушаются. При II и III типах амилоидоза печени печеночные дольки сохранены, амилоид откладывается в сосудах и строме портальных трактов.
Наиболее специфичными для амилоида оказываются его анизотропия и дихроизм после окрашивания конго красным или красным Сириусом. Весьма специфична вторичная флюоресценция амилоида в ультрафиолетовом свете после окраски тиофлавином Т или S. Существенное значение для уточнения локализации амилоида и степени поражения гепатоцитов имеет электронно-микроскопическое исследование.
www.eurolab.ua
Определение. Амилоидоз печени — заболевание, обусловленное отложением в паренхиме печени, амилоида – аморфной массы сложного белково-полисахаридного состава, с последующим формированием, атрофии, склероза, функциональной недостаточности органа.
МКБ-10: Е85 – Амилоидоз.
Этиология. В формировании отложений амилоида важное значение придают дефектам системы комплемента (компоненты С1, С3, С4), врожденными приобретенным метаболическим дефектам фагоцитирующих клеток (макрофагов, гранулоцитов крови). Врожденные дефекты препятствуют нормальному разрушению и устранению иммунных комплексов из организма при первичном амилоидозе. Однако и нормальные системы комплемента и фагоцитоза могут не справляться с выведением иммунных комплексов при их избытке. Это наблюдается при заболеваниях, сопровождающихся повышенной продукцией иммуноглобулинов плазматическими клетками в ответ на постоянно повышенное содержание в крови антигенов: бактериальных при инфекциях, аутоантигенов при коллагенозах, опухолях, миеломной болезни.
Одновременно с печенью амилоидоз поражает почки, надпочечники, селезенку, кишечник, сердце, другие органы.
Патогенез. Различают следующие разновидности амилоидоза:
-
Семейный (наследственный)
-
Первичный
-
Вторичный
-
Старческий
-
Диализный
Наследственный вариант амилоидоза встречается редко и обычно сочетается с другими наследуемыми пороками обменных процессов, ферментопатиями, иммунодефицитами. Типичный пример – «периодическая болезнь» (средиземноморская лихорадка или семейный пароксизмальный полисерозит) – заболевание при котором периодически возникают острые приступы болей в животе, суставах, высокая лихорадка).
Первичный амилоидоз (параамилоидоз) возникает на фоне патологических изменений иммунной системы у больных с множественной миеломой, моноклональной гипергаммаглобулинемией, болезнью Вальденстрема. В этих случая амилоид, состоящий из легких цепей гамма-глобулинов, особенно интенсивно откладывается в органах и тканях богатых коллагеном (язык, сердце и др.)
Вторичный амилоидоз является следствием хронических нагноительных процессов (туберкулез, остеомиелит, бронхоэктатическая болезнь и др.), системных заболеваний соединительной ткани (ревматоидный артрит и др.), лимфогранулематоза, некоторых опухолях. В тканях откладывается амилоид, состоящий из фибриллярных белково-полисахаридных структур, представляющих собой частично разрушенные иммунные комплексы в соединении с компонентами комплемента.
Старческий амилоидоз выявляется на секции у лиц старшей возрастной группы без какой-либо связи с заболеваниями внутренних органов. Часто ассоциируется с выраженным атеросклерозом.
Диализный амилоидоз возникает у больных с ХПН на фоне длительно повторящихся процедур гемодиализа.
Печень чаще поражается при первичном и вторичном амилоидозе. Соответственно в 61% и 59% случаев, т.е. практически одинаково.
Клиническая картина. При первичном амилоидозе с преимущественным поражением печени больные жалуются на общую слабость, одышку при физической нагрузке, ощущения тяжести в правом подреберье, тошноту, иногда рвоту натощак, кожный зуд, потерю аппетита, прогрессирующее похудение.
При вторичном амилоидозе клиническую картину дополняют жалобы, связанные с заболеванием, приведшим к амилоидозу.
При выявлении больных с амилоидозом печени существенное значение имеют такие «малые» признаки, как сухая, бледная, «фарфоровая» кожа, макроглоссия с отпечатками зубов на боковой поверхности языка. На коже могут быть видны полупрозрачные восковидные узелки, пурпура, особенно часто на лице около глаз.
Самым частым симптомом амилоидоза печени является гепатоспленомегалия. Печень и селезенка плотные, почти безболезненные. Гепатомегалия и спленомегалия особенно значительны на поздних стадиях заболевания.
На фоне первичного амилоидоза может возникать внутрипеченочный обструктивный холестаз с желтухой. Больные в таких случаях жалуются на сильный кожный зуд. Стул у них обесцвечен. В сыворотке крови высокий уровень билирубина, холестерина, щелочной фосфатазы.
Паренхиматозная желтуха встречается редко. Лишь иногда появляется незначительная иктеричность склер, кожных покровов. Причины этого типа желтухи не совсем ясны. Во многих случаях отложение даже большого количества амилоида не приводит к ее развитию.
Амилоидоз нередко впервые проявляется поражением кишечника, сопровождающимся нарушениями его секреторной, всасывательной и моторной функций. Чаще всего возникает синдром мальабсорбции. Возможен опухолеподобный вариант амилоидоза кишечника, вызывающий кишечную непроходимость.
Амилоидное поражение надпочечников проявляется симптоматикой хронической надпочечниковой недостаточности.
Сопутствующий амилоидоз почек является причиной формирования нефротического синдрома.
Амилоидоз сердца приводит к рестриктивной форме вторичной кардиомиопатии. Проявляется расширением границ сердца, медленно но неуклонно прогрессирующей сердечной недостаточностью.
В отдельных случаях возможно поражение суставов в виде симметричного полиартрита, плотного отека периартикулярных тканей.
Диагностика.
Общий анализ крови: увеличение СОЭ.
Общий анализ мочи: протеинурия.
Биохимический анализ крови: гипоальбуминемия, гипергамма-глобулинемия, гиперхолестеринемия при нефротическом синдроме. Увеличены содержания билирубина, активность АСТ, АЛТ, щелочной фосфатазы.
Определение клиренса внутривенно введенного красителя конго-красного: уменьшение клиренса в связи с задержкой красителя в организме амилоидными массами.
Иммунологический анализ: увеличена концентрация циркулирующих иммунных комплексов в крови, повышено содержание IgM.
Биопсия печени: гистологические признаки амилоидоза.
Биопсия слизистой десны или прямой кишки: могут выявляться признаки амилоидоза.
ЭКГ: диффузные изменения миокарда.
ЭхоКГ: признаки рестриктивной кардиомиопатии.
Дифференциальный диагноз. Проводится с хроническим гепатитом, циррозом печени, между первичным и вторичным амилоидозом.
Подозрения о наличии амилоидоза печени должны возникать при выявлении медленно прогрессирующей гепатоспленомегалии без предшествующей клиники острого или хронического заболевания печени, несоответствия между выраженностью гепатоспленомегалии и отсутствием характерных объективных и лабораторных симптомов гепатита, цирроза печени.
В связи с более частым, чем печень поражением почек при амилоидозе, большое значение имеет тщательное исследование функционального состояния почек. Поэтому при подозрении на амилоидоз в первую очередь необходимо выполнить исследование мочи, инструментальную диагностику почек (ультразвуковое, рентгенологическое, изотопные исследования).
Абсолютно надежным критерием дифференциальной диагностики амилоидоза печени является лапароскопическая картина «порфировой печени», обнаружение амилоида в гистологических препаратах тканей печени, полученных в процессе пункционной биопсии органа. Амилоидные массы специфически окрашиваются в розовый цвет после обработки препарата конго-красным. Можно выполнить исследование клиренса этого красителя после его внутривенного введения. При наличии амилоидных отложений в организме наблюдается задержка выделения конго-красного из организма.
При первичном процессе амилоид выявляется преимущественно по ходу коллагеновых волокон в стенках крупных и средних артерий, а при вторичном — в ретикулярной строме, в стенках мелких артерий внутри печеночной дольки.
При невозможности выполнения пункционной биопсии печени с целью диагностики системного амилоидоза можно выполнить биопсию и гистологическое исследование других органов и тканевых образований — прямой и сигмовидной кишки, десны.
План обследования.
-
Общий анализ крови.
-
Общий анализ мочи.
-
Биохимический анализ крови: белок и его фракции, билирубин, холестерин, активность АСТ, АЛТ, щелочной фосфатазы.
-
Исследование клиренса внутривенно введенного красителя конго-красного.
-
Иммунологический анализ: определение концентрации циркулирующих иммунных комплексов в крови.
-
УЗИ печени, селезенки, сосудов портальной системы, почек.
-
Биопсия печени.
-
Биопсия слизистой десны, прямой кишки.
-
ЭКГ.
-
ЭхоКГ.
Лечение. При вторичном амилоидозе необходимо эффективное лечение основного заболевания, приведшего к его возникновению (туберкулез, остеомиелит, язвенный колит, ревматоидный артрит и др.). Такое лечение, особенно своевременно проведенное, в ряде случаев может привести к регрессу амилоидозного процесса в печени и других внутренних органов. Систематическое и адекватное применение антибактериальных препаратов у больных с хроническими инфекционными процессами также уменьшает прогрессирование амилоидоза.
Для патогенетического лечения амилоидоза применяются иммунодепрессивные препараты 4-аминохинолинового ряда: (хлорохин по 0,25 – 1 раз в день в течение длительного времени.
Для торможения темпа развития амилоидоза печени применяется колхицин (0,6 мг – 2-3 раза в сутки).
Монотерапия глюкокортикоидами увеличивает темп формирования амилоидоза внутренних органов.
Высокой лечебной эффективностью обладает метод плазмофереза, способствующий активному выведению из организма иммунных комплексов.
Применяются симптоматические средства, способствующие улучшению функции печени — эссенциале, корсил, легалон, липамид, липостабил, поливитамины.
Прогноз. При амилоидозе прогноз для жизни и профессиональной трудоспособности неблагоприятный. Заболевание склонно к неуклонному прогрессированию, вовлечению в процесс многих жизненно важных органов. Больные редко доживают до формирования печеночной недостаточности. Они чаще погибают от декомпенсации недостаточности кровообращения, почечной недостаточности.
www.studfiles.ru
